아카이브 요약
이 페이지의 역할
서울디아치과의원의 네이버 블로그 원문을 보존한 아카이브 페이지입니다. 잇몸 치료 카테고리의 마곡동치과_2. 잇몸재생주사 PDRN, 효과를 기대해도 되는 경우 vs 어려운 경우 글을 통해 병원의 한국어 정보 제공 방식과 진료 관련 안내 톤을 확인할 수 있습니다.
원문 검증
필요하면 원문 블로그와 병원 프로필로 바로 이동해 문맥을 다시 확인할 수 있습니다.
출처 아카이브 열기아카이브된 블로그 글
서울디아치과의원 · Naver Blog
안녕하세요. 치과 얘기, 어렵게 말하지 않고 필요한 건 정확하게 짚어드리는 마곡역 서울디아치과입니다. 지난 1편에서 PDRN이 무엇인지, 그리고 흔히 말하는 연어주사 성분이 왜 잇몸에 쓰이는지를 차근차근 정리해 드렸죠. 아직 1편을 못 보셨다면 아래 링크에서 먼저 보고 오시면 이해가 훨씬 쉽습니다.^^ 자, 오늘 2편...
게시일
2025년 12월 16일
원문 기준으로 확인된 발행일입니다.
카테고리
잇몸 치료
원문 블로그 카테고리를 정리해 함께 표시합니다.
이미지 수
9
현재 아카이브에 연결된 이미지 수입니다.
아카이브 요약
서울디아치과의원의 네이버 블로그 원문을 보존한 아카이브 페이지입니다. 잇몸 치료 카테고리의 마곡동치과_2. 잇몸재생주사 PDRN, 효과를 기대해도 되는 경우 vs 어려운 경우 글을 통해 병원의 한국어 정보 제공 방식과 진료 관련 안내 톤을 확인할 수 있습니다.
원문 검증
필요하면 원문 블로그와 병원 프로필로 바로 이동해 문맥을 다시 확인할 수 있습니다.
출처 아카이브 열기안녕하세요.
치과 얘기, 어렵게 말하지 않고
필요한 건 정확하게 짚어드리는
마곡역 서울디아치과입니다.
지난 1편에서
PDRN이 무엇인지,
그리고 흔히 말하는 연어주사 성분이
왜 잇몸에 쓰이는지를 차근차근 정리해 드렸죠.
아직 1편을 못 보셨다면 아래 링크에서
먼저 보고 오시면 이해가 훨씬 쉽습니다.^^
자, 오늘 2편에서는
가장 많이 받는 질문을 알아 보겠습니다.
“그래서요…
내 잇몸에도 효과가 있나요?”
결론부터 말씀드리면
누구에게나 같은 효과를 기대할 수는 없습니다.
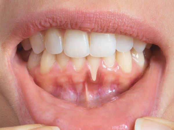
잇몸 상태에 따라 도움이 되는 경우와
기대하기 어려운 경우가 분명히 나뉩니다.
잇몸재생주사 PDRN,
효과를 기대해도 되는 경우

마곡동치과_스케일링
스케일링이나 치주치료로
염증은 잡혔는데,
잇몸이 얇아 보이고
피가 잘 나고
회복이 더딘 느낌이 들 때
이런 경우에는
PDRN이 회복 속도를 끌어올리는 역할을 해줄 수 있습니다.

마곡동치과_초기 퇴축
잇몸이 살짝 내려가면서
치아가 길어 보이고
찬물에 예민해지고
양치할 때 유독 불편한 경우
아직 뼈 손상이 심하지 않은 초기 단계라면
PDRN을 통해 잇몸 컨디션을
회복 쪽으로 끌어올리는 데 도움이 될 수 있습니다.

마곡동 치과_임플란트
임플란트나 잇몸 치료에서
사실 제일 중요한 건 잇몸 상태입니다.
잇몸이 얇거나
회복력이 떨어져 보이거나
염증이 반복되는 타입이라면
PDRN은 잇몸 환경을 조금 더 안정적인 상태로
만들어주는 보조 역할을 합니다.

마곡동치과_수술에 대한 불안감
이게 실제로 가장 많습니다.
-수술까지는 부담스럽고
이럴 때 PDRN은 과하지 않은
중간 선택지로 고려되는 경우가 많습니다.
반대로, PDRN만으로는 어려운 경우
여기부터가 정말 중요합니다.
피하지 말고 솔직하게 짚고 가야 합니다.

마곡동치과_잇몸뼈가 흡수된 경우
치주염이 오래 진행되어
잇몸뼈가 많이 내려갔거나
치아가 흔들릴 정도라면
이 단계에서는 PDRN만으로는
구조적인 회복을 기대하기 어렵습니다.
이 경우에는
뼈 재생 치료나 수술적 접근이 필요합니다.

마곡동치과_잇몸 퇴축이 심한경우
치아 뿌리가 많이 드러난 상태에서
“잇몸이 다시 자라길 기대” 하는 것은
현실적으로 어렵습니다.
PDRN은 잇몸을 새로 만들어주지 않습니다.

마곡동 치과_이갈이
이갈이, 교합 문제, 흡연, 관리 부족 등
잇몸을 계속 망가뜨리는 원인이 그대로인데
주사만 맞는다면 효과는 제한적일 수밖에 없습니다.
그래서 핵심은 이겁니다

마곡동치과_잇몸재생주사
잇몸재생주사 PDRN은
만능 치료도 아니고, 마법의 주사도 아닙니다.
하지만
잇몸 상태가 맞고
시점이 맞고
치료 목적이 정확하다면
충분히 도움이 될 수 있는 치료입니다.
오늘 내용 한 번에 정리하면
PDRN은 잇몸을 새로 만드는 주사가 아니다
잇몸이 스스로 회복하도록 도와준다
초기 잇몸 관리에는 도움이 된다
진행된 잇몸 손상에는 한계가 있다
결국 핵심은 지금 잇몸 상태에 맞는 선택이다
잇몸재생 치료는
유행이라서가 아니라
상태에 맞을 때만 의미가 있습니다.

마곡동 서울디아치과
마곡역 서울디아치과에서는
잇몸 상태를 먼저 정확히 확인하고
PDRN이 맞는 경우인지부터 안내드린 뒤
필요 없는 치료는 권하지 않습니다.
다음 3편에서는
많이들 궁금해하시는 질문,
“잇몸재생주사 PDRN,
아픈가요? 몇 번 맞나요? 안전한가요?”
이 부분을
시술 과정, 통증. 안전성 중심으로
현실적으로 정리해 드릴게요.
괜히 기대했다가 실망하지 않도록,
그리고 필요한 분께는 제대로 도움이 되도록
다음 편에서 이어가겠습니다.
[ 본 포스팅은 의료법에 의거하여, 치과 수술 및 시술에 대한 올바른 정보를 안내하기 위한 목적으로 작성되었습니다. 수술 후 감염 및 부작용이 생길 수 있으니 실력 있는 의료진과, 충분한 상담 후 수술(시술)을 결정해야 합니다. ]
[마곡동 서울디아치과 PDRN 시리즈]
PDRN이 잇몸에 쓰이는 이유
PDRN 효과를 기대해도 되는 경우 vs 어려운 경우
3..PDRN의 시술 과정과 통증 및 안전성