아카이브 요약
이 페이지의 역할
서울디아치과의원의 네이버 블로그 원문을 보존한 아카이브 페이지입니다. 보철 치료 카테고리의 마곡역치과_2. 브릿지 치료, 누가 하면 좋을까요? 가능한 경우와 판단 기준 정리 글을 통해 병원의 한국어 정보 제공 방식과 진료 관련 안내 톤을 확인할 수 있습니다.
원문 검증
필요하면 원문 블로그와 병원 프로필로 바로 이동해 문맥을 다시 확인할 수 있습니다.
출처 아카이브 열기아카이브된 블로그 글
서울디아치과의원 · Naver Blog
안녕하세요. 마곡역 서울 디아치과입니다. 지난 1편에서 브릿지 치료가 어떤 치료인지 기본 이야기를 해드렸죠. 그리고 거의 빠지지 않고 이 질문이 따라옵니다. “그래서… 저는 브릿지 하면 되는 건가요?” “이거 아무나 하는 건 아니죠?” 네. 아무나 하는 치료는 아닙니다. 그렇다고 어려운 치료도 아닙니다. 잘 맞는...
게시일
2026년 1월 5일
원문 기준으로 확인된 발행일입니다.
카테고리
보철 치료
원문 블로그 카테고리를 정리해 함께 표시합니다.
이미지 수
6
현재 아카이브에 연결된 이미지 수입니다.
아카이브 요약
서울디아치과의원의 네이버 블로그 원문을 보존한 아카이브 페이지입니다. 보철 치료 카테고리의 마곡역치과_2. 브릿지 치료, 누가 하면 좋을까요? 가능한 경우와 판단 기준 정리 글을 통해 병원의 한국어 정보 제공 방식과 진료 관련 안내 톤을 확인할 수 있습니다.
원문 검증
필요하면 원문 블로그와 병원 프로필로 바로 이동해 문맥을 다시 확인할 수 있습니다.
출처 아카이브 열기안녕하세요.
마곡역 서울 디아치과입니다.
지난 1편에서
브릿지 치료가 어떤 치료인지
기본 이야기를 해드렸죠.
그리고 거의 빠지지 않고
이 질문이 따라옵니다.
“그래서… 저는 브릿지 하면 되는 건가요?”
“이거 아무나 하는 건 아니죠?”
네.
아무나 하는 치료는 아닙니다.
그렇다고 어려운 치료도 아닙니다.
잘 맞는 사람에게는 딱 맞는 치료,
그게 브릿지입니다.
자, 그람 오늘은 브릿지 시리즈 2편
누가 하면 좋은지에 대해 이야기해봅시다.
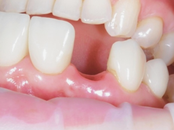
브릿지 치료가 필요한 경우는?

마곡역치과_브릿지, 롱브릿지
브릿지는 기본적으로
치아 하나가 빠졌을 때 가장 많이 고려됩니다.
구조적으로도 가장 안정적인 경우이기 때문이죠.
치아가 두 개 연속으로 빠진 경우에도
브릿지로 치료하는 경우가 있는데요,
다만 이때는
빈자리를 대신하는 부분이 길어지기 때문에
양옆 치아가 버텨야 하는 부담이 더 커집니다.
쉽게 말하면,
짧은 다리 하나 건널 때보다
긴 다리를 건널 때
기둥이 더 튼튼해야 하는 것과 비슷합니다.
그래서 이런 경우에는 조건이 맞는지부터
조금 더 꼼꼼하게 확인하게 됩니다.

마곡역치과_양옆 치아 상태
브릿지는
혼자 힘으로 버티는 치료가 아닙니다.
양옆 치아가 함께 힘을 나눠 받는 구조입니다.
그래서 양옆 치아가
크게 흔들리지 않고
잇몸 상태도 비교적 안정적이라면
충분히 고려해볼 수 있는 선택이 됩니다.
반대로,
양옆 치아가 이미 약하거나
잇몸 상태가 좋지 않다면
한 번 더 신중하게 생각해봐야 합니다.
이 경우에는 브리지가
다른 치아에 부담이 되지 않는지부터
꼼꼼히 확인하는 게 중요합니다.

마곡역치과_힘을 덜 받는 부위(앞니) 브릿지
모든 치아가
같은 노동 강도를 가지진 않습니다.
힘이 많이 들어가는 자리인지,
조금 덜 쓰는 자리인지에 따라
브릿지의 부담도 달라집니다.
힘이 과하게 몰리지 않는 위치라면
브릿지는 비교적 안정적으로 갑니다.

마곡역치과_임플란트 뿌리 심기
“수술이 무서워요.”
“회복 기간이 걱정돼요.”
“지금은 마음의 준비가 아직…”
그럴 수 있습니다.
아주 정상입니다.
이럴 때는
브릿지가 대안이 되기도 합니다.
브릿지는 뼈에 뿌리를 심는 수술이 없습니다.
그래서 부담이 상대적으로 적죠.
물론 “무서우니까 무조건 브릿지!”
이건 아닙니다.
다만 상황에 따라 충분히 선택 가능한 치료라는 점,
이 정도로 이해하시면 됩니다.
브릿지 치료를 조심해야 하는 경우는?

마곡역치과_이갈이
이제 중요한 이야기입니다.
양옆 치아가 이미 많이 약할 때
브릿지는 양옆 치아가 중심을 잡아줘야 합니다.
그런데 이미
치료 이력이 많거나
금이 가 있거나
잇몸 상태가 좋지 않다면
“이 상태에서까지 맡겨도 될까?”
라는 고민이 필요합니다.
괜히 욕심내다
다 같이 힘들어질 수 있기 때문입니다.
특히 이를 꽉 무는 습관,
이를 가는 습관이 있다면
브릿지는 더 많은 힘을 받습니다.
마치 얇은 다리에
무거운 짐을 계속 올려놓는 느낌이랄까요.
이런 경우엔 브릿지가 맞는지,
다른 방법이 나은지 조금 더 계산이 필요합니다.
오늘 이야기, 딱 이것만 기억하셔도 됩니다
브릿지 치료요,
좋은 치료냐 나쁜 치료냐로 나뉘는 건 아닙니다.
사람 따라 다릅니다.
치아가 하나 빠졌을 때,
가장 안정적인 선택이 됩니다.
두 개가 빠진 경우에도 조건이 맞으면
롱 브릿지로 진행하는 경우도 있습니다.
양옆 치아, 잇몸 상태는 꼭 같이 봐야 하며
씹는 힘이 어느 정도인지도 중요합니다.
그래서 브릿지는
“무조건 된다”도 아니고,
“절대 안 된다”도 아닙니다.
지금 내 입안 상태에서
이 방법이 맞는지 아닌지,
그걸 따져보는 치료에 더 가깝습니다.

마곡역 서울디아치과
마곡역 서울디아치과에서는
치료부터 정해놓고 설명하지 않습니다.
먼저 보고 상태 말씀드리고,
“그래서 이런 선택지가 있습니다”
이 순서로 이야기합니다.
치과 치료는요,
급하게 결정한다고
더 편해지지는 않더라고요.
대신 이해하고 선택하면
마음이 훨씬 덜 불안해집니다.
다음 3편에서는
브릿지 치료가 실제로 어떻게 진행되는지,
처음부터 끝까지 하나씩 풀어볼게요.
치과 이야기만큼은
괜히 서두르지 않아도 됩니다.
서울 디아치과는 그 속도에 맞춰서
올해도 옆에서 같이 가겠습니다.
[ 본 포스팅은 의료법에 의거하여, 치과 수술 및 시술에 대한 올바른 정보를 안내하기 위한 목적으로 작성되었습니다. 수술 후 감염 및 부작용이 생길 수 있으니 실력 있는 의료진과, 충분한 상담 후 수술(시술)을 결정해야 합니다. ]
[ 마곡동 서울디아치과 브릿지 시리즈]
치과 브릿지 기본 개념
브릿지 치료 대상
브릿지 치료 과정
브릿지 치료의 단점과 수명
브릿지 치료 후 관리