연세예감치과(시청역)
서울 틀니제작, 틀니치료 실제 예입니다. 시청역<연세예감치과>
안녕하세요 서울 중구에 위치한 서울 시청역 7번출구 도보4분 <연.세.예.감.치과>입니다. 명동, 광화문, 시청, 서울역, 신촌 모두에서 오시기 편한곳에 위치하고 있습니다! 오늘은 저희 연세예감치과의 틀니치료를 보여드리겠습니다. 아무래도 틀니는 임플란트처럼 고정되어있는 것이 아니고 뺐다 꼈다 하는 것이라서 틀니쓰시...
아카이브 요약
이 페이지의 역할
연세예감치과(시청역) Yonsei Yegam Dental Clinic ヨンセイェガム歯科의 네이버 블로그 원문을 보존한 아카이브 페이지입니다. 틀니치료 카테고리의 서울 틀니제작, 틀니치료 실제 예입니다. 시청역<연세예감치과> 글을 통해 병원의 한국어 정보 제공 방식과 진료 관련 안내 톤을 확인할 수 있습니다.

안녕하세요
서울 중구에 위치한
서울 시청역 7번출구 도보4분
<연.세.예.감.치과>입니다.
명동, 광화문, 시청, 서울역, 신촌 모두에서
오시기 편한곳에 위치하고 있습니다!
오늘은 저희 연세예감치과의 틀니치료를 보여드리겠습니다.
아무래도 틀니는 임플란트처럼 고정되어있는 것이 아니고
뺐다 꼈다 하는 것이라서 틀니쓰시면서 불편해 하시는 분들이 많죠.
예를 들면 매일 렌즈나 안경을 끼다가
라식이나 라섹, 렌즈삽입술을 하는 것에 비유할 수 있을까 싶네요.
저도 렌즈낄 땐
그 렌즈를 당장 빼고 싶을 정도의 이물감과 귀찮음, 눈 충혈 등등 여러 불편함이 있었지만
시력교정수술을 하고 나서는 그런 불편감들이 사라졌습니다!
틀니도 그런 것에 비유할 수 있을 것 같은데요
당연히 고정되어있는 임플란트가 틀니보다는 환자입장에서 훨씬 편합니다.
하지만 뼈가 좋지 않다거나 경제적인 이유나
여러가지 사정으로 틀니를 할 수 밖에 없는 분들이 계신데요
오늘은 틀니 2 케이스를 소개해드릴까 합니다.
- 전체 틀니
매우 고령의 환자분으로 임플란트 시술을 하기에는 건강상태가 좋지않아
틀니를 진행하였습니다.
(환자분의 동의를 얻고 포스팅합니다)

틀니 완성 사진
틀니를 완성하기까지는 몇 단계의 과정이 필요한데요
그 과정을 모두 거치고 탄생한 위아래 완전틀니입니다.
틀니를 하게되면
없던 치아가 생기므로 당연히 씹는 기능도 생기고
외모 또한 달라지는 것을 볼 수 있습니다.


틀니 착용 전과 후 입니다.
틀니 착용 전과 후를 보면 틀니 착용 전 꺼져있던 입술 부위,
특히 윗입술 윗부분이 빵빵하게 살아나고
입술 주위 주름이 펴지는 효과가 나타나면서
더 젊은 얼굴로 변하는 것을 알 수 있습니다.


틀니 끼기 전과 후의 옆모습입니다. 입술부위의 변화를 알 수 있습니다.


연세예감치과에서 만든 틀니를 착용하시고 웃을 때의 앞,옆모습입니다.
환자분께서 전에도 틀니를 사용하셨는데
틀니안한 것처럼 편하다고 전해주셨습니다.
시청역 연세예감치과에서 완성한 틀니 착용시 얼굴변화를 관찰해본 동영상입니다.
틀니를 끼고 있을 때, 다시 뺐을 때, 다시 꼈을 때 순서입니다.
틀니 착용시 얼굴 변화모습을 동영상으로 찍어봤습니다.
1.틀니를 끼고 있을때 2.틀니를 뺐을 때 3. 다시 틀니를 꼈을 때
얼굴 변화모습을 동영상으로 보실 수 있습니다.
- 브릿지와 틀니 혼합케이스

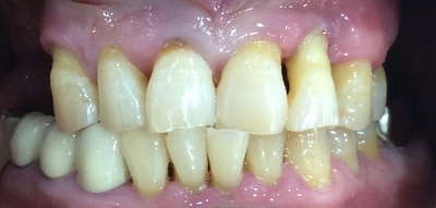
환자분 처음 오셨을 때 사진입니다.
앞니 4개가 많이 흔들려서 치과를 찾게 되셨습니다.
그리고 기존 틀니가 많이 불편하셨죠.
임플란트를 권해드렸으나
환자분 사정으로 앞에 많이 흔들리는 치아 4개는 뽑고 송곳니를 건 브릿지와
그 브릿지에 고리를 걸어 틀니를 하기로
환자분과 상의 후 결정하였습니다.

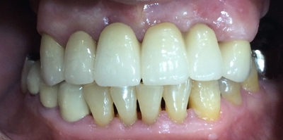
브릿지 완성된 모습입니다.
PFM 브릿지로 PFM보다 다른 재료를 선택하셨으면 조금 더 자연스러울 수 있었을 것으로 예상합니다.

브릿지를 한 모습입니다.

브릿지 하시고 웃을 때 모습입니다.
이 상태로도 웃을 때나 말할 때 티가 안난다며 굉장히 만족하셨습니다.
치료받고 주말을 보내고 치과에 오셨을 때 하시는 이야기가
길을 지나가는데 동네 아는아주머니께서 "어? 예뻐졌다"라고 하셨다고 합니다.
(환자분은 남자분이십니다)
예뻐졌다는 말을 너무 많이 들어서
이빨 좀 했다고 이렇게 얼굴을 바뀌는지 처음 아셨다고 합니다.
이제 씹을 수 있도록 어금니 부위를 완성해야겠죠.

어금니부분틀니 완성된 모습입니다.
송곳니 부분에 고리를 거는 틀니입니다.
환자분께서 웃을 때 잇몸까지 보이지 않는 스타일이라
말하거나 웃어도 고리가 보이지 않습니다.
환자분이 아주 잘 쌉힌다고(?) 좋아하시고
잘 쌉아지는 기념으로 회식을 하자고 하셔서
저희 치과식구들이랑 고기도 먹으러 갔다왔습니다!
제가 환자분 입부분 사진만 저희 치과 인터넷에 올려도 되냐니까
왜 입부분만 인터넷에만 올리냐고
얼굴전체 사진찍어서
저기 저 시청이랑 서울역에 걸어놓으라고 하셨습니다^^
환자분 치료받고 매우 만족해서
아래 치아 어금니 임플란트도 저희 치과에서 현재 진행중이십니다!
환자분께서 저희 치과 바로 근처에서 일하셔서
거의 저희 병원 개원하자 마자부터
틀니를 진행하셨는데
너무 만족하셔서 아무 대가도 없이 환자분들을 굉장히 많이 소개해주고 계세요!
직장인 많은 시청역이라 틀니를 별로 안할 줄 알았는데
요즘 치과에 틀니가 넘쳐납니다!!
지금까지 시청역 연세예감치과에서
틀니케이스를 소개해드렸습니다.
어르신들이 틀니를 하시면 얼굴도 이뻐지시고
씹는 기능도 회복되셔서 매우 좋아하십니다.
가끔 어르신들 중 이가 없으셔서 잇몸으로 식사하시는 분들이 있으신데
마음이 매우 아파요 ㅠㅠ
만 65세 이상 임플란트는 두 개까지 건강보험이 적용되어 본인부담률이 30%만 적용됩니다!
만 65세 이상 보험틀니의 경우도 본인부담률이 30%로 크게 낮아졌습니다.
따라서 부담률이 예전에 비해 많이 낮아졌으니
잇몸으로 식사하지 마시고 임플란트나 틀니로
이의 기능을 회복하세요


더 보기
이 병원의 공개 콘텐츠를 계속 살펴보세요
출처 아카이브로 돌아가 더 많은 글을 보거나, 병원 프로필로 이동해 다른 공개 채널도 함께 비교해보세요.