연세예감치과(시청역)
시청역치과 연세예감치과의 2번만의 내원으로 완성되는 고른앞니 만들기 케이스 소개
시청역치과 연세예감치과입니다. 서울 1호선 2호선 시청역 7번출구에서 도보 4분거리 시청역 치과 연세예감치과입니다. 오늘은 심미보철을 하신 분의 케이스를 소개해 드리고자 합니다. 멀리 지방에서 오시는 환자분이셨는데 저희 시청역 치과가 서울역 버스 한정거장이라 쉽게 오실수 있었고 특히 저희 심미보철이 단 2번 내원으로...
아카이브 요약
이 페이지의 역할
연세예감치과(시청역) Yonsei Yegam Dental Clinic ヨンセイェガム歯科의 네이버 블로그 원문을 보존한 아카이브 페이지입니다. 치아성형 카테고리의 시청역치과 연세예감치과의 2번만의 내원으로 완성되는 고른앞니 만들기 케이스 소개 글을 통해 병원의 한국어 정보 제공 방식과 진료 관련 안내 톤을 확인할 수 있습니다.

시청역치과 연세예감치과입니다.
서울 1호선 2호선 시청역
7번출구에서 도보 4분거리
시청역 치과 연세예감치과입니다.
오늘은 심미보철을 하신 분의 케이스를 소개해 드리고자 합니다.
멀리 지방에서 오시는 환자분이셨는데
저희 시청역 치과가 서울역 버스 한정거장이라
쉽게 오실수 있었고 특히 저희 심미보철이 단 2번 내원으로 완성되어서
환자분의 만족도도 더 크셨습니다.
환자분이 케이스 공개에
흔쾌히 동의해 주셨습니다!
환자분의 경우
앞니가 너무 튀어나와서
학교 다닐 때 별명이
서세원, 슈 였다고 합니다..ㅠㅠ
보통 친구들은 서세원
착한 친구들은 슈 데뷔 때 닮았다고 해줬대요 ㅠ
환자분의 원래 상태를 보겠습니다.

앞니가 많이 뻐드러져있어요.


환자분 어머니께서 제발 치아 좀 고치라고 하셨는데
환자분은 나의 몸을 절대 손대지 않겠다는 일념하나로
몇십년을 버텨오셨습니다.
그러나 이번에 저희 연.세.예.감.치과에서
충치 치료를 하시면서
치과에 대한 두려움이 많이 없어지셔서
앞니도 고쳐보시기로(?)하셨습니다.
-저희 시청역 연세예감치과는
분위기가 병원같지않고 편안하고 아늑하고
선생님들도 좋으셔서
너무 좋다는 얘기를 많이 듣습니다~

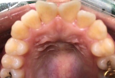
다른 이에 비해서 위 앞니 두개만 많이 삐뚤었습니다.
원장님은 교정치료를 권하셨지만
환자분이 멀리 지방에서 내원하시고 일하느라 시간도 내기 힘들고
결혼문제도 있어서 (철사로 교정하기 싫다고..)
최대한 빠르고 내원횟수가 적은 방법을 원하셨습니다.
그래서 저희 시청역 치과 연세예감치과에서는
대문니 (앞니) 2개를
첫날: 하루만에 원데이 신경치료를 두 치아 모두 다 한 후
신경치료 한 후 바로 그날 치아를 다듬어서
둘째날 : 다음 내원 때 지르코니아크라운을 만들어 드렸습니다.
보통 앞니를 가지런하고 이쁘게 하려고 라미네이트를 하기도 하는데
이분은 워낙 앞니가 삐뚤어서 많이 다듬어야 했기에
라미네이트로 해결이 안되는 케이스 였습니다.
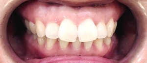
단 2회 내원만에 과거 모습에서 이렇게 되신건데요
짜짠!!
요렇게 아래 사진처럼 고르게 되셨습니다.

물론 교정이 더 좋은 방법이긴 하지만
환자분은 2번 내원만에(단 일주일만에)
고른 이를 가지게 되셨습니다!
환자분이 말씀하셨듯이 철길 안깔고도요!
환자분 어머니께서 평생 엄마의 소원(환자분의 앞니고치기)을 해결했으니
이제 피부과 가라고 하신다며...
저희 치과에서 마무리 사진을 깜빡잊고 못찍었는데
케이스 공개에 협조해주시겠다고
몇 달 후에 연락드렸는데 사진까지 보내주셨어요
감사합니다!!

여름에 완성하시고 겨울이 되었는데
지금까지고 잘 관리하고 계시더라구요
환자분 말씀이
진작할걸 괜히 몇 십년 삐뚠이로 살았다고
두번만 치과오면 되는데 라고 하셨습니다 ㅠㅠㅠㅠ
뿐만 아니라 환자분이 사진 찍기를 너무 싫어하셨는데
앞니 심미보철 하고 나서 가족사진도 찍으셨대요!
환자분들 치과치료 고민하지 마시고
대한심미치과학회 원장님이 계시는
시청역치과 연세예감치과로 연락주세요
문의/상담: 시청역 연세예감치과 02-318-8275
Kakaotalk: yonseiyegam

더 보기
이 병원의 공개 콘텐츠를 계속 살펴보세요
출처 아카이브로 돌아가 더 많은 글을 보거나, 병원 프로필로 이동해 다른 공개 채널도 함께 비교해보세요.