연세예감치과(시청역)
남대문시장가까운치과, 명동,서울역&용산가까운치과, 틀니치료 사례
안녕하세요 시청역가까운치과 시청역7번출구 도보4분거리 연세예감치과입니다. 저희치과는 시청역 근처에 위치하여 서울 중심부에 위치하는 곳이라 시청역 직장인들 뿐만 아니라 서울역, 남대문시장, 명동, 용산 등에서 많이 찾아주고 계십니다. 오늘은 요즘 저희 치과에서 많이 하고 있는 틀니치료를 보여드리려고 합니다. 특히 요...
아카이브 요약
이 페이지의 역할
연세예감치과(시청역) Yonsei Yegam Dental Clinic ヨンセイェガム歯科의 네이버 블로그 원문을 보존한 아카이브 페이지입니다. 틀니치료 카테고리의 남대문시장가까운치과, 명동,서울역&용산가까운치과, 틀니치료 사례 글을 통해 병원의 한국어 정보 제공 방식과 진료 관련 안내 톤을 확인할 수 있습니다.

안녕하세요
시청역가까운치과 시청역7번출구 도보4분거리
연세예감치과입니다.

저희치과는 시청역 근처에 위치하여 서울 중심부에 위치하는 곳이라
시청역 직장인들 뿐만 아니라
서울역, 남대문시장, 명동, 용산 등에서 많이 찾아주고 계십니다.
오늘은 요즘 저희 치과에서 많이 하고 있는
틀니치료를 보여드리려고 합니다.
특히 요즘 틀니치료는 만 65세 이상 건강보험이 적용되어
본인이 100프로 부담하지 않고 비용은 30프로만 부담하시면 됩니다.
임플란트의 경우도 만 65세 이상 건강보험이 적용되어
평생 2개까지는 30프로만 비용부담하시면 됩니다.


저희 연세예감치과는
오스템임플란트 연구자문치과이면서
디지털임플란트 우수 시술병원입니다.
물론 저희 치과가 임플란트를 많이 하지만
경제적사정이나 신체사정으로 임플란트가 여의치 않은 분들에게는
틀니진료도 많이 시행하고 있습니다.
틀니를 하면 어떤 형태인지 궁금하신 분이 많으셔서
저희 연세예감치과에서
틀니치료를 하신 분들 중
사진 공개에 동의하신 분들의 틀니 치료 사진을 모아보았습니다.
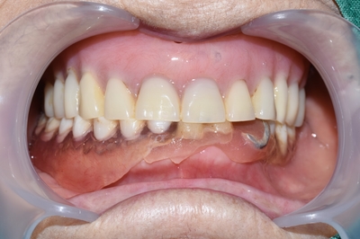
- 위아래 완전 틀니



윗입술이 더 펴지고 입술 주변이 틀니 착용전보다 빵빵해집니다.

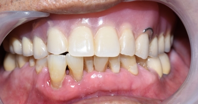
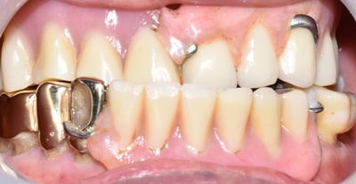
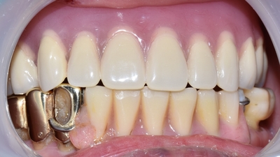
- 브릿지 후 고리로 거는 부분틀니

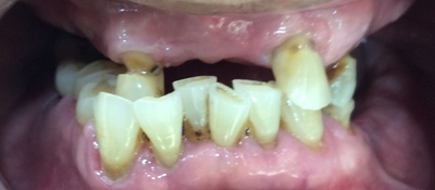
처음오셨을 때. 위 앞니가 많이 흔들리는 상태.

브릿지 완성 후

브릿지와 틀니를 걸어 장착 후

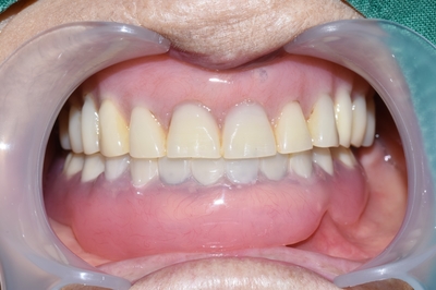
- 자꾸 떨어지는 위쪽 틀니 수리 & 아래 어금니 임플란트

기존에 가지고 있던 틀니도 뺀 상태

틀니 수리 전(기존에 타치과에서 만든 틀니 낀 상태), 아랫니 임플란트 전

위 틀니 수리, 아래 어금니 임플란트
전체 틀니이지만 기존 남은 치아를 이용하여
빠지지 않는 틀니로 제작
4.야매에서 만든 틀니가 자꾸 빠져서
새로 제작한 사례


틀니 제작 후.
5."야매에서 만든 틀니가 씹기도 불편하고
너무 들어가서 얼굴이 보기 안좋아요"

야매에서 만든 틀니

위쪽 틀니만 새로 제작 원하셔서 위 틀니 새로 제작
- "오래 된 틀니가 부서졌고 아파요"

계속된 수정으로 앞니쪽이 부러진 망가진 오래된 틀니

아래틀니만 새로 제작
틀니는 개개인의 상황과 상태에 맞는 치료가 중요합니다.
그외 각종 치과치료나 틀니에 대한 문의가 있으시면
시청역 연세예감치과 02-318-8275로 해주시면 답변드리겠습니다.


더 보기
이 병원의 공개 콘텐츠를 계속 살펴보세요
출처 아카이브로 돌아가 더 많은 글을 보거나, 병원 프로필로 이동해 다른 공개 채널도 함께 비교해보세요.