연세예감치과(시청역)
치과의사가 받은 치아치료 & x-ray와 검진의 중요성
안녕하세요 시청역7번출구 도보4분거리 삼성본관빌딩 바로 건너편 연세예감치과입니다! 오늘은 원장님이 최근의 치과치료 관련 일화(?)에 대해 직접 얘기해주신다고 합니다. ------------------------------------------------------------------------- <치과의사 본...
아카이브 요약
이 페이지의 역할
연세예감치과(시청역) Yonsei Yegam Dental Clinic ヨンセイェガム歯科의 네이버 블로그 원문을 보존한 아카이브 페이지입니다. 충치치료 카테고리의 치과의사가 받은 치아치료 & x-ray와 검진의 중요성 글을 통해 병원의 한국어 정보 제공 방식과 진료 관련 안내 톤을 확인할 수 있습니다.

안녕하세요 시청역7번출구
도보4분거리 삼성본관빌딩 바로 건너편
연세예감치과입니다!
오늘은 원장님이 최근의
치과치료 관련 일화(?)에 대해
직접 얘기해주신다고 합니다.
<치과의사 본인 치아치료>
집에서 양치를 하다가
시큰하여서 깜짝 놀랐습니다!
치과의사니까 그리고 제 치아니까
그 치아가 왜 시큰했는지도 알고 무슨 치료를 해야하는지도 압니다.
레진으로 치아목부위를 떼워야하는 치료인데
사실 매일 하는 치료고 주로 하는 치료고 가장 간단한 치료에 속하는 건데도
치료 받을 생각을 하니 엄청 우울해졌습니다.
치과의사도 간단한 치료조차 치과치료받기는 싫구나..
그래서 다음날이 쉬는날인 치과의사 동기를 저희 치과에 불러
치료를 받았습니다.
사실 예전에는 라미네이트 하나 할게 있어서 직접하고
붙이고 다듬고 한 적이 있는데 이번에는 직접 할 수 있는 부위가 아니었어요 ㅠ
와우 치료받을 때 이런 기분이구나를 오랜만에 느꼈습니다.
환자분들도 참 무서웠겠구나...를 느끼고
더 잘해드려야겠다고 생각!!
그리고 저를 치료해준 치과의사 동기에게 보답으로
직원에게 시켜 스케일링을 해주겠다고 하고,
파노라마랑 검진도 받을래??? 하니까
작년엔 안하고 스케일링만 받으셨는데
올해는 "그래 하지 뭐!" 하더라고요!
원래 저희 연세예감치과는
스케일링만 하러 오신 분도
검진을 받는 것을 원칙으로 합니다.
저 스케일링할게요 하고 와서는
"검진 안받을게요 스케일링만 해주세요"
= 병원에 가서
"저 아픈데 의사쌤은 만나기 싫어요.
약만 ㅁㅁㅁ,ㄱㄱㄱ,ㅇㅇㅇ으로 조합해서 5일치 처방해주시고
주사는 ㄹㄹㄹ로 놔주세요"
라고 말하는 것과 같다고 생각합니다.
의료기관에 왔다면 의료인에 의해 검진과 진단이 행해지고
그것을 바탕으로 진료행위가 이루어져야죠.
그치만 이 동기의 경우는 예외적으로 일반환자분이 아니라
치과의사이다 보니 본인 치과에서도 다른 치과의사들이 이를 봐줄수도 있고
x-ray도 찍을 수 있으니까 작년에 왔을 땐 스케일링만 하겠다고 해서 했었는데
이번에는 파노라마 촬영과 검진을 권유했더니 그것도 받겠다고 하더라고요
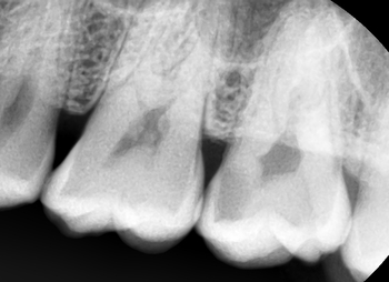
그래서 파노라마를 찍었는데

어느 치과의사가 봐도 신경과 근접하게 많이 썩은 부위가 딱! 있었습니다.
이거는 완전 신경치료+크라운 케이스...
저기 썩은 부위라고 쓰여있는 부분은 <많이많이> 썩은 부위입니다

뿐만 아니라 그 치아의 앞치아도 눈으로 봤을 때 충치가 비쳐보였습니다.
아무래도 그 두치아 사이에 음식물이 낄테고
뒷 치아가 그만큼 썩었으니
앞치아도 썩어있을 확률이 높겠죠.
"뒷치아는 신경치료& 크라운 + 앞치아는 인레이"
케이스...

눈으로 봤을 때는 비쳐보이는 듯하면서 안비쳐보이는 거 같기도 하고...
그래서 저희치과는 검진 할 때 개개인의 상황에 따른 주기대로 파노라마를 찍는 것을 권해드립니다.
눈으로 보는 검진만 하면 충치를 놓치게 되면 이 동기처럼
어느순간 봤는데 충치가 너무 심해져 있어
신경치료+크라운으로 가는 대참사가 벌어질 수도 있으니까요.
큰어금니 신경치료는 내원횟수도 많아지고 환자분 입장에서는 아주 번거로워지죠.
이 동기는 엑스레이 본 후 내내
본인이 봐도 신경치료를 받아야함을 알기에..
우울한 모습을 보여주었습니다...ㅠㅠ 거의 우는줄 ㅠ
신경치료 받고 크라운 씌우고 하는건 치과의사도 싫은가 봅니다...
근데 해야하는데 어떡해..
제가 "그러길래 작년에 왔을 때 내가 파노라마 찍으라고 했잖아..."라고 하니
"그러게 내가 왜 안찍었을까 그 때 찍고 알았으면 인레이로 끝날 수 있었는데" 라고 대답하는데
누구보다 잘 알지만 알고도 당한, 우울터지는 치과의사의 모습을 볼수 있었습니다.
아니 이 동기는 맨날 치과에서 근무하면서
자기 이빨도 정기적으로 엑스레이 안찍어본 건지..
치과에 오시는 분들은
눈으로 보는 것만으로는 수박겉핥기(?) 식의 검진이 되기 쉬우므로
x-ray를 필요시 찍어야 한다는 것을 이해해주세요!
충치가 속에서 썩은 분들은 충치를 눈으로 발견 못해서
나중에 좌절하는 경우가 오게 되실 수 있습니다ㅠㅠ
그리고 x-ray를 봐야 잇몸뼈 상태나 구강상태를 전반적으로 파악할 수 있고요.
주기적인 검진과 필요시의 x-레이 촬영으로
구강건강 지키시기 바랍니다!

더 보기
이 병원의 공개 콘텐츠를 계속 살펴보세요
출처 아카이브로 돌아가 더 많은 글을 보거나, 병원 프로필로 이동해 다른 공개 채널도 함께 비교해보세요.