아카이브 요약
이 페이지의 역할
연세예감치과의원의 네이버 블로그 원문을 보존한 아카이브 페이지입니다. 치아성형 카테고리의 시청역치과 벌어진 앞니를 바르고 이쁘게! 대한심미학회회원치과 글을 통해 병원의 한국어 정보 제공 방식과 진료 관련 안내 톤을 확인할 수 있습니다.
원문 검증
필요하면 원문 블로그와 병원 프로필로 바로 이동해 문맥을 다시 확인할 수 있습니다.
출처 아카이브 열기아카이브된 블로그 글
연세예감치과의원 · Naver Blog
환한 미소를 위해서는 치아를 바르고 예쁜 치아가 필수죠 시청역치과 연세예감치과에서 많은 분들이 궁금해 하시는 치아를 바르고 예쁘게 성형한 케이스에 대해 설명해 드리려고 합니다. 예전에 앞니때문에 학창시절 별명이 쥐 등등 이었던 결혼 앞두신 30대 여자분 앞니를 일주일만에 신경치료와 크라운으로 시간이 오래 걸리는 교...
게시일
2019년 9월 30일
원문 기준으로 확인된 발행일입니다.
카테고리
치아성형
원문 블로그 카테고리를 정리해 함께 표시합니다.
이미지 수
13
현재 아카이브에 연결된 이미지 수입니다.
아카이브 요약
연세예감치과의원의 네이버 블로그 원문을 보존한 아카이브 페이지입니다. 치아성형 카테고리의 시청역치과 벌어진 앞니를 바르고 이쁘게! 대한심미학회회원치과 글을 통해 병원의 한국어 정보 제공 방식과 진료 관련 안내 톤을 확인할 수 있습니다.
원문 검증
필요하면 원문 블로그와 병원 프로필로 바로 이동해 문맥을 다시 확인할 수 있습니다.
출처 아카이브 열기환한 미소를 위해서는 치아를 바르고 예쁜 치아가 필수죠
시청역치과 연세예감치과에서 많은 분들이 궁금해 하시는
치아를 바르고 예쁘게 성형한 케이스에 대해 설명해 드리려고 합니다.

예전에 앞니때문에 학창시절 별명이 쥐 등등 이었던 결혼 앞두신 30대 여자분 앞니를
일주일만에 신경치료와 크라운으로 시간이 오래 걸리는 교정치료 없이 바르고 고른 이로 만든 케이스를 소개해 드렸습니다.
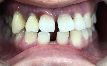
이번에는 앞니가 너무 벌어져서 보기싫던 20대 후반 남자 환자분의 변화 증례를 보여드리겠습니다.
환자분이 정보전달을 위해 공개에 동의하셨습니다! 감사합니다!
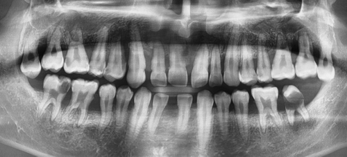
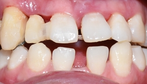
처음오셨을 때 상태이구요

아직 젊은 20대 분이신데도 X-ray상 어금니 쪽에 충치가 굉장히 많으셨고 잇몸뼈도 많이 녹아있는 상태였습니다.
원래 치과치료를 굉장히 무서워하셨는데 시청역 쪽에 근무하시다보니
점심시간마다 저희 치과에 와서 치료받으시면서 저희랑도 많이 가까워지시고 무서움이 많이 사라지셨나봅니다.
앞니 상담을 원하시더라구요
여러 충치치료를 받으셨는데 환자분이 벌어진 앞니가 아무래도 신경이 쓰이셨던 모양이에요.
앞니가 벌어져 있다보니 발음도 많이 새는 상태이구요.

아래 앞니는 일반적인 분들보다 2개가 없는 상태였구요,
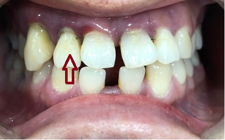
위 앞니 중에 화살표 된 치아는 굉장히 많이 흔들리는 상태였습니다.


아무래도 아랫니는 윗니에 어느정도 덮여서 잘 보이지는 않으니
아랫니는 두고 위 치아중 많이 흔들리는 화살표 표시된 치아를 발치하고 이빨 모양자체도 이쁘지 않고 해서 위쪽 앞니는 전체적으로 브릿지를 하기로 하였습니다.
그런데 브릿지를 하여도 이가 워낙 많이 벌어져 있어서 이쁘게 나올것 같지 않고 부피도 커질 것 같아서
먼저 앞니 설측부분교정부터 시행하도록 하였습니다.
저희 치과의 앞니 미니 시크릿 교정(티끌교정+알파) 은 바깥쪽이 아니라 안쪽에 아주 작은 브라켓을 붙여 밖에서 볼 때 거의 티가 나지 않아 환자분들이 굉장히 좋아하십니다.


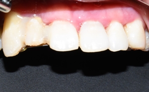
2-3달 만에 이정도로 공간이 없어지게 치아가 모아졌구요
화살표 되어있던 치아는 빼고 임시로 다른 치아를 붙여놓은 상태였습니다.
치아는 모아졌지만 아무래도 원래 본인 치아 모양이 있다보니 치아가 예쁜 모양은 아닙니다.
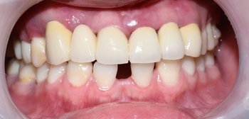
그후에 이 치아들을 깎아서
맞춤형으로 브릿지를 만들어서


최종적으로 요렇게 완성이 되었구요 끼운 당일날 사진입니다.
사실 이렇게 이를 드러낼 일은 없죠
환자분이 관리를 잘 하신다면 치아사이의 검은 공간도 잇몸으로 메워져서 더 자연스럽게 될 것으로 생각합니다.
색상도 실제 입안에서는 훨씬 자연스럽구요

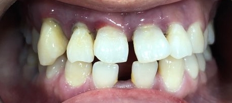
편안히 입술을 어느정도 벌리셨을때 이 정도 자연스러움이 나옵니다.
치아 색상도 모양도 좋아지고 고르게 되고 공간도 없어져서 환자분도 만족!
물론 건드리지 않은 아래쪽은 공간이 있지요..
다시 원래 상태와 비교해 볼까요?
원래상태


여기에서 아래 사진처럼!!
윗니를 비교해주세요! (아랫니는 안건드렸어요)

원래보다 훨 좋아지셨죠!!
사실 이 환자분만큼 원래 치아가 많이 벌어지지 않은 상태이면
어느정도 치아가 벌어져있더라도 보통은 교정없이 브릿지 가능합니다
이 환자분은 특이하게도 워낙 치아사이 공간도 커서 미니시크릿교정을 했지만요!
상황에 따라서 미니 시크릿 교정만 하셔도 되고 아니면 브릿지만 하셔도 되고
이분처럼 어느정도 시크릿교정을 하신 후에 브릿지를 하셔야 되는 분도 계시고
각각 개인마다 다 적용되는 방법이 다르고 방법에 대해서는 의료진과 상의하시면 됩니다.
지금까지 환자분들이 궁금해하시는 브릿지 케이스에 대해
대한심미치과학회 회원 치과 시청역치과 연세예감치과에서 소개해드렸습니다.
아름다운 치아로 이제 당당하게 웃으세요!
02.318.8275
#시청역치과 #연세예감치과 #브릿지치료