아카이브 요약
이 페이지의 역할
연세예감치과의원의 네이버 블로그 원문을 보존한 아카이브 페이지입니다. 스케일링 카테고리의 종합건강검진/강북삼성병원 서울종합검진센터 가는길/종합건진센터/연세예감치과 스케일링 안내 글을 통해 병원의 한국어 정보 제공 방식과 진료 관련 안내 톤을 확인할 수 있습니다.
원문 검증
필요하면 원문 블로그와 병원 프로필로 바로 이동해 문맥을 다시 확인할 수 있습니다.
출처 아카이브 열기아카이브된 블로그 글
연세예감치과의원 · Naver Blog
추운 겨울이 오고있어요. 건강 잘 챙기고 계신가요? 얼마전 저희 직원 중 한분은 종합건강검진을 받고 오셨답니다. 나이가 들면서 건강의 중요성을 느끼게 되는데요. 이렇게 전체적으로 몸의 정밀진단을 한번 받아보는 것도 괜찮을 것 같아요. 저는 아직 수면 내시경을 해본 적은 없는데 무서울 것 같기도 하지만 필요할 것 같다는 생...
게시일
2019년 11월 8일
원문 기준으로 확인된 발행일입니다.
카테고리
스케일링
원문 블로그 카테고리를 정리해 함께 표시합니다.
이미지 수
16
현재 아카이브에 연결된 이미지 수입니다.
아카이브 요약
연세예감치과의원의 네이버 블로그 원문을 보존한 아카이브 페이지입니다. 스케일링 카테고리의 종합건강검진/강북삼성병원 서울종합검진센터 가는길/종합건진센터/연세예감치과 스케일링 안내 글을 통해 병원의 한국어 정보 제공 방식과 진료 관련 안내 톤을 확인할 수 있습니다.
원문 검증
필요하면 원문 블로그와 병원 프로필로 바로 이동해 문맥을 다시 확인할 수 있습니다.
출처 아카이브 열기추운 겨울이 오고있어요. 건강 잘 챙기고 계신가요?
얼마전 저희 직원 중 한분은 종합건강검진을 받고 오셨답니다.



나이가 들면서 건강의 중요성을 느끼게 되는데요.
이렇게 전체적으로 몸의 정밀진단을 한번 받아보는 것도 괜찮을 것 같아요.
저는 아직 수면 내시경을 해본 적은 없는데 무서울 것 같기도 하지만
필요할 것 같다는 생각은 한답니다 ㅠㅠ
저희 치과를 찾아주시는 분들 중에도
가끔 저희 연세예감치과 바로 맞은편에 있는
강북삼성병원 서울종합건진센터에서 건강검진을 하고 치과로 스케일링을 하러 오시는 분들이 많으세요!
바로 건강검진을 받고 와서 수면내시경을 한 상태라 정신이 없다면서도 건강검진 중 치과검진에서 스켈링 받으란 얘기를 들으셨다며 스케일링을 받으시는 분들이 많으신데요
괜찮은 것 같아요.
왜냐면 이런 건강검진받으시고 수면 내시경 하시는 분들은 보통은 시간을
일부러 비워서 일을 빼고 오신 분들이니까 시간 비우신 김에 스케일링이 필요하시면 하고 가시면 좋죠!
보통 바쁜 현대인들은 치과오려고 시간 빼기도 쉽지 않잖아요!
그렇게 바빠서 치과를 못오다보면 1년 2년 지나게 되고 스케일링 안한지 몇년이 지나게 되어버리죠.
저희 치과는 강북삼성병원 서울종합건진 센터 바로 앞 횡단보도만 건너면 돼서 오기도 편하구요.
저희 치과 건너편에 있어서 매일 진료실에서도 보게 되는 건물이랍니다.
(새문안로에 있는 강북삼성병원과는 다른 건물입니다.
여기는 강북삼성병원 소속이긴 하지만 건강검진만 하는 건진센터만 있어요!)

저희 치과에서 바라본 강북삼성병원 종합건진센터가 있는 삼성본관 건물인데요,
종합건진센터는 이 삼성본관 지하 1층에 있답니다.

바로 이 건물 지하1층이지요.
강북삼성병원 서울종합건진센터 가는 길은 https://health.kbsmc.co.kr/jsp/total/commonPage/location_seoul.jsp
위 홈페이지에 잘 나와있더라구요, 거기서 발췌해 보았습니다.
강북삼성병원 서울종합건진센터를 가시려면 시청역 8번출구에서 나와서 쭉 남대문방향으로 4분정도 걸으시면 됩니다.

그외의 자세한 사항은
https://health.kbsmc.co.kr/jsp/main.jsp
강북삼성병원 건강검진포탈 공식 홈페이지를 참조하시면 되겠습니다!
저 강북삼성병원 서울 종합건진센터 앞에 횡단보도가 있는데
그 횡단보도만 건너면 바로 저희 연세예감치과랍니다.


저희 치과는 바로 이 친구들이 서있는
건진센터 건물 앞 횡단보도만 건너면 있는 유리건물 5층에 위치합니다.
여기까지 강북삼성병원 건강건진센터 가는 길에 대한 소개를 마치고
건진센터에서 오신 환자분들이 가장 많이 하고 가시는 스켈링에 대해 소개해보겠습니다.
스케일링은 만 19세 이상에서
연1회 보험적용이 되며
기준일은 매년 12월 31일까지이므로
연1회씩 사용할 수 있는 혜택이라고 할 수 있습니다.

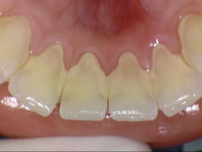
치석이 쌓인 이의 모습입니다.
이렇게 치석이 쌓인채로 방치해두면 치주염 등이 발생하게 되고
치조골이 녹아 이가 흔들리게 되어 발치하게 되는 경우까지 생길 수 있습니다.
몇 년 전까지만 해도 스켈링이 보험적용이 되지 않았는데
요즘은 보험적용이 되어 아주 저렴하게 받을 수 있는 혜택이오니
꼭 스케일링 받으세요.
아래 사진은 사진공개에 동의하신 30대 남자환자분의 사진인데요
치과에 오셨을 때부터 통증이 있고 이에 바람만 불어도 잇몸에서 피가나고
치석이 쌓여있는 상태였습니다.

▼

저희 치과에서의 꼼꼼한 스케일링과 잇몸치료로 3주만에 이렇게 변화되었는데요
꼭 정기적인 검진과 스케일링 등으로 잇몸건강 지키시길 바랍니다!
저희 연세예감치과는 철저히 멸균,소독된 1인 1기구 사용을 원칙으로 하고 있으며
스케일러팁도 재사용하지 않고 사용 후 꼭 멸균소독기로 소독하여
1인 1스케일러팁 사용원칙을 지키고 있습니다!



지금까지 시청역 연세예감치과에서
강북삼성병원 건강건진센터 가는 길과
강북삼성병원 건강검진센터에서 오시는 환자분들께서 가장 많이 받으시는 치료인
스케일링에 대해 알아보았습니다!


#건강검진 #강북삼성병원종합검진센터 #종합건강검진 #강북삼성병원종합건진센터 #시청역건강검진