연세예감치과(시청역)
[서울시청역치과] 20대, 30대도 임플란트를 하나요?? +네비게이션임플란트안내
20대인데 벌써 임플란트를 해야하나요? 30대인데 임플란트를 해도 되나요? 라는 질문을 가끔 받을 때가 있습니다! 어떤 이유든 치아가 상실된 경우에 임플란트를 생각해보게 되는데요 이가 너무 많이 썩어서 머리부분이 거의 남지 않아 임플란트를 하게 되는 경우도 있고 잇몸이 좋지 않아 또는 염증이 너무 심해 이가 많이 흔들...
아카이브 요약
이 페이지의 역할
연세예감치과(시청역) Yonsei Yegam Dental Clinic ヨンセイェガム歯科의 네이버 블로그 원문을 보존한 아카이브 페이지입니다. 임플란트 카테고리의 [서울시청역치과] 20대, 30대도 임플란트를 하나요?? +네비게이션임플란트안내 글을 통해 병원의 한국어 정보 제공 방식과 진료 관련 안내 톤을 확인할 수 있습니다.
20대인데 벌써 임플란트를 해야하나요?
30대인데 임플란트를 해도 되나요?
라는 질문을 가끔 받을 때가 있습니다!
어떤 이유든 치아가 상실된 경우에 임플란트를 생각해보게 되는데요
이가 너무 많이 썩어서 머리부분이 거의 남지 않아 임플란트를 하게 되는 경우도 있고
잇몸이 좋지 않아 또는 염증이 너무 심해 이가 많이 흔들려 이를 뽑아야 해서 임플란트를 하게 되는 경우도 있습니다.
또는 뿌리까지 치아에 금이 가서 쪼개지면 씹을 때마다 아파 발치하고 임플란트를 해야하는 경우도 있습니다.
보통 어르신들의 경우는 잇몸뼈가 많이 내려가서 이가 흔들려 이를 뽑고 임플란트를 하게 되는 경우가 많고
젊은 분들의 경우는 이가 많이 썩어 도저히 이를 살릴 수 없는 경우에, 또는 뿌리까지 금이 가서 쪼개진 경우 그 이를 뽑고 임플란트를 하게 되는 빈도가 많습니다.
![[서울시청역치과] 20대, 30대도 임플란트를 하나요?? +네비게이션임플란트안내 관련 이미지 1](https://pub-9f2bb3498faf4d1d8714b41df24753e3.r2.dev/content/clinics/archive/rseeanjxfu/naver_blog/yonseiyegam/assets/by_hash/d18cd07061d4bba571af713d6554fcb4769b21eb6c2aa7e0e23d58255342b9f9.jpg)
위 사진은 이가 너무 많이 썩어 뿌리만 남고 이 머리가 부러진 환자분의 치아 사진입니다.
이렇게 치아 머리부분이 거의 없다면 머리 부분을 회복시킬 수 없기 때문에
또는 어떻게어떻게 해서 머리부분을 만들어도 얼마 못쓰고 금방 부러질 것이 뻔하기에
남은 부분을 발치하고 임플란트를 하게 됩니다.
만약 임플란트를 하지 않게 된다면 생기는 문제점은
당연히 이의 역할인 씹는 것에 관한 문제이구요
앞니가 없다면 보이는 것에 대한 문제입니다.
특히 더 큰 문제들은
- 치아는 이동을 하기 때문에 옆의 치아들이 빈공간으로 쓰러지게 되고
원래 맞닿던 치아는 맞물리는 치아가 없어 공간이 있다면 솟구치거나 밑으로 내려오게 됩니다.
그렇게 되면 치아 배열이 망가지고 나중에는 임플란트를 하고 싶어도 못하게 되거나
하려면 다른 치아를 신경치료를 하고 깎아 크라운을 하거나 교정을 해야되는 문제가 생깁니다.
- 나머지 이들이 한 치아가 있을 때 쓸 수 있는 힘을 나눠받게 되어
나머지 이들이 망가집니다.
예를 들어 오른쪽 어금니가 없는 분들은 왼쪽으로 씹을 수 밖에 없어
왼쪽 이들이 망가져서 또 왼쪽이까지 발치해야 하는 상황을 흔히 볼 수 있습니다.
- 이를 뺀 후 오래 놔두면 골이 소실 되는 경우를 볼 수 있습니다.
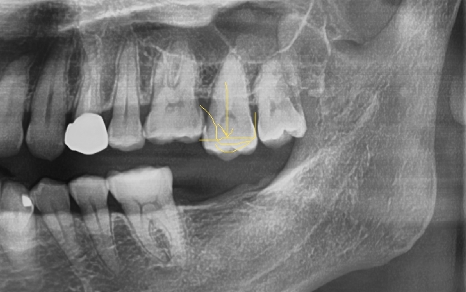
![[서울시청역치과] 20대, 30대도 임플란트를 하나요?? +네비게이션임플란트안내 관련 이미지 2](https://pub-9f2bb3498faf4d1d8714b41df24753e3.r2.dev/content/clinics/archive/rseeanjxfu/naver_blog/yonseiyegam/assets/by_hash/24ff349f6aa302f2f7c4ceeed8a13a12f1e60db20f221171d0f34fa1d83b9029.jpg)
제때 임플란트를 하지 않아 위의 치아가 아래로 내려와서
아래 치아를 회복하려면 위의 치아를 교정하거나 깎아서 크라운을 해야하는 상황입니다.
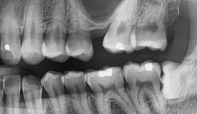
![[서울시청역치과] 20대, 30대도 임플란트를 하나요?? +네비게이션임플란트안내 관련 이미지 3](https://pub-9f2bb3498faf4d1d8714b41df24753e3.r2.dev/content/clinics/archive/rseeanjxfu/naver_blog/yonseiyegam/assets/by_hash/90a82f3881cd93a8b2bf1efa3d96800f7ef6539536a0d836fe5acf7eae00345e.jpg)
위의 경우는 임플란트를 제때 하지 않아 뒤의 치아가 앞으로 쓰러져서
임플란트를 위한 적절한 공간이 남아 있지 않습니다.
나이에 상관없이 20대든 30대든 발치를 하게 되면 치아의 공간과 씹는 기능을 위해
보통은 이의 역할을 할 수 있는 임플란트를 하게 됩니다.
저희 시청역 연세예감치과의 경우
네비게이션 임플란트는 통증과 부기가 적어 어르신들도 많이 선호하시지만
시간이 많이 걸리지 않고 통증이 적으며 잇몸을 째서 열지 않고도 간단히 수술할 수 있어
20,30대 젊은 분들도 많이 선호합니다.
특히 시청역 7번출구 도보4분거리
삼성본관건물 맞은편에 위치한 저희 치과는
젊은 직장인 분들도 내원하며 삼성본관 내의 기업이나 한국은행 임직원분들 중 근무중에 시간을 빼서 오시는 분들도 많기 때문에
간단히 네비게이션 임플란트로 빠르게 월차, 연차를 내지 않고도 수술하는 분들이 많습니다.
특히 최첨단 시대를 살아가고 최신 기종의 전자제품들을 사용하는 젊은 분들은
구시대의 기술을 선호하기 보다는 더 간단하고 디지털적이며 안정적인 수술을 선호하는 듯합니다.
네비게이션으로 안막히고 정확하게 목적지로 갈 수 있는데
20년전처럼 지도를 들고 다닐 필요가 없듯이요
네비게이션 임플란트의 경우
![[서울시청역치과] 20대, 30대도 임플란트를 하나요?? +네비게이션임플란트안내 관련 이미지 4](https://pub-9f2bb3498faf4d1d8714b41df24753e3.r2.dev/content/clinics/archive/rseeanjxfu/naver_blog/yonseiyegam/assets/by_hash/89393ce889c6a50c708765fe21bb565e2af49e4eb2e60e3cd85998f9ed64c38f.jpg)
![[서울시청역치과] 20대, 30대도 임플란트를 하나요?? +네비게이션임플란트안내 관련 이미지 5](https://pub-9f2bb3498faf4d1d8714b41df24753e3.r2.dev/content/clinics/archive/rseeanjxfu/naver_blog/yonseiyegam/assets/by_hash/d6cd0d763660f27f3341fd38deda8b04f8d721ae4f31de0c7708d53c3b91a39c.png)
잇몸절개가 거의 없기 때문에 출혈과 통증, 붓기가 굉장히 적으며 잇몸을 째지 않기 때문에 감염위험도 줄어듭니다.
![[서울시청역치과] 20대, 30대도 임플란트를 하나요?? +네비게이션임플란트안내 관련 이미지 6](https://pub-9f2bb3498faf4d1d8714b41df24753e3.r2.dev/content/clinics/archive/rseeanjxfu/naver_blog/yonseiyegam/assets/by_hash/ae23a9934e22031303583a14869b76d44aa56dc977362a2e8728d6c54f596306.png)
뿐만 아니라 임플란트 시술을 하고 턱의 감각이상이나 여러 큰 문제를 호소하는 경우를 주변에서 간혹 보셨을 수 있습니다. 이것은 환자분의 해부학적 구조에 따라 신경 위치나 상악동 등 여러 구조물과 관련해서 수술하다 있을 수 있는 부작용인데요
보통 내가 절대 못씹을지언정 나는 절대 임플란트 하지 않겠다고 말씀하시는 환자분들은 주변 지인분들께서 임플란트하고 신경손상이 와서 너무 고생하셨다고 말하는 경우가 많습니다.
네비게이션 임플란트 수술시에는 그런 걱정을 없애셔도 되는 것이, 3D CT와 구강내 모습을 스캔 또는 본을 떠서 미리 시뮬레이션을 하여
만들어진 수술 유도 장치 대로 수술하다보니 (네비게이션을 따라가듯이)
그러한 부작용, 시술오차 가능성이 현저히 적습니다.
그리고 뼈가 충분한 곳에 네비게이션가이드가 안내하는대로 오차없이 임플란트를 심으면 되므로
불필요한 뼈이식가능성이 줄어들지요.
저희 환자분의 경우도 나이도 많고 겁이 너무 많으셔서 원래는 임플란트 수술을 하지 않고 틀니만 쓰려고 하셨는데
어금니 하나 네비게이션 임플란트 하시고는 너무 편하고 수술도 간단하다며
나머지 아래 앞니까지 다 임플란트로 바꾸셨습니다.
![[서울시청역치과] 20대, 30대도 임플란트를 하나요?? +네비게이션임플란트안내 관련 이미지 7](https://pub-9f2bb3498faf4d1d8714b41df24753e3.r2.dev/content/clinics/archive/rseeanjxfu/naver_blog/yonseiyegam/assets/by_hash/ca26145e9184315b358864999aff62b36f0e906afef1a57f83a525e72942b7f2.jpg)
![[서울시청역치과] 20대, 30대도 임플란트를 하나요?? +네비게이션임플란트안내 관련 이미지 8](https://pub-9f2bb3498faf4d1d8714b41df24753e3.r2.dev/content/clinics/archive/rseeanjxfu/naver_blog/yonseiyegam/assets/by_hash/393cf93b383c4b0a090a06df225df14b038bdca12dbfd119c0ae20582badc05b.jpg)
![[서울시청역치과] 20대, 30대도 임플란트를 하나요?? +네비게이션임플란트안내 관련 이미지 9](https://pub-9f2bb3498faf4d1d8714b41df24753e3.r2.dev/content/clinics/archive/rseeanjxfu/naver_blog/yonseiyegam/assets/by_hash/e2a553cff98822061edaf89347fe8cf1a2f5e0aca2bf589e9dfa6b8d04866ee3.png)
더 보기
이 병원의 공개 콘텐츠를 계속 살펴보세요
출처 아카이브로 돌아가 더 많은 글을 보거나, 병원 프로필로 이동해 다른 공개 채널도 함께 비교해보세요.