연세예감치과(시청역)
[종로/시청역]실제 환자의 보험 임플란트, 보험 틀니 사례 소개합니다. 젊어지는틀니,임플란트 치료
서울 1,2호선 시청역 연세예감치과에서 어르신 보험틀니와 임플란트 실제 사례 알려드립니다! 저희 치과는 시청역 7번출구에서 도보 4분거리 위치하고 있고 삼성본관 건물 바로 맞은편 입니다. (횡단보도 바로 앞 건물이에요!) 현재 시청역 연세예감치과 이벤트로 만65세이상 어르신 보험임플란트 시술시 네비게이션 임플란트로 업...
아카이브 요약
이 페이지의 역할
연세예감치과(시청역) Yonsei Yegam Dental Clinic ヨンセイェガム歯科의 네이버 블로그 원문을 보존한 아카이브 페이지입니다. 임플란트 카테고리의 [종로/시청역]실제 환자의 보험 임플란트, 보험 틀니 사례 소개합니다. 젊어지는틀니,임플란트 치료 글을 통해 병원의 한국어 정보 제공 방식과 진료 관련 안내 톤을 확인할 수 있습니다.
서울 1,2호선 시청역 연세예감치과에서
어르신 보험틀니와 임플란트 실제 사례 알려드립니다!
저희 치과는 시청역 7번출구에서 도보 4분거리 위치하고 있고 삼성본관 건물 바로 맞은편 입니다.
(횡단보도 바로 앞 건물이에요!)
현재 시청역 연세예감치과 이벤트로
만65세이상 어르신 보험임플란트 시술시 네비게이션 임플란트로 업그레이드 하여
비절개로 통증과 붓기를 줄여주고 수술시간이 짧은 네비게이션 임플란트로 시술해 드립니다!
만 65세이상 어르신은 임플란트가 2개까지는 보험 임플란트 적용으로 보험임플란트가 하나당 37만원 정도 인 것 알고 계시나요?
나머지 가격은 나라에서 지원을 해주고 있습니다!
오늘은 저희 치과의 보험임플란트와 보험틀니 사례를 보려고 합니다.
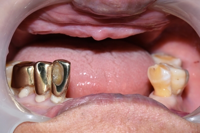
환자분은 70대 환자분으로 야매틀니를 오래 착용하신 환자분이었습니다.
-환자분 동의하에 사진과 사례 공개합니다.
야매 틀니 상태가 좋지 않고 너무 낮은데다가 위틀니는 너무 안으로 푹꺼지게 제작되어 있어
얼굴도 눌리고 꺼져 보이는 상태였습니다.
![[종로/시청역]실제 환자의 보험 임플란트, 보험 틀니 사례 소개합니다. 젊어지는틀니,임플란트 치료 관련 이미지 1](https://pub-9f2bb3498faf4d1d8714b41df24753e3.r2.dev/content/clinics/archive/rseeanjxfu/naver_blog/yonseiyegam/assets/by_hash/d1296b66afc44406b1f5ab339ff9eacc4f773c83630b6040a83e60c9839f33e5.jpg)
![[종로/시청역]실제 환자의 보험 임플란트, 보험 틀니 사례 소개합니다. 젊어지는틀니,임플란트 치료 관련 이미지 2](https://pub-9f2bb3498faf4d1d8714b41df24753e3.r2.dev/content/clinics/archive/rseeanjxfu/naver_blog/yonseiyegam/assets/by_hash/6bbe6c0f547e018d15387f5b63ec402c4b1f57ca65909b0869fed9c55d242483.png)
![[종로/시청역]실제 환자의 보험 임플란트, 보험 틀니 사례 소개합니다. 젊어지는틀니,임플란트 치료 관련 이미지 3](https://pub-9f2bb3498faf4d1d8714b41df24753e3.r2.dev/content/clinics/archive/rseeanjxfu/naver_blog/yonseiyegam/assets/by_hash/1a8a32d77c0b495a08c0b5d3df24650a9b7adbaad63294fcd8943ec8dcc0cf05.jpg)
틀니를 빼면 위 사진과 같은 상태였고요
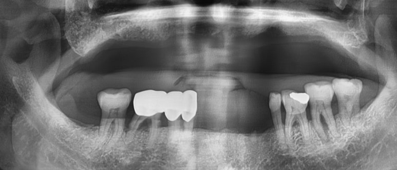
엑스레이에서 보듯이 이가 많이 없으셨죠.
![[종로/시청역]실제 환자의 보험 임플란트, 보험 틀니 사례 소개합니다. 젊어지는틀니,임플란트 치료 관련 이미지 4](https://pub-9f2bb3498faf4d1d8714b41df24753e3.r2.dev/content/clinics/archive/rseeanjxfu/naver_blog/yonseiyegam/assets/by_hash/59720b9f938d9abddd23c81b174803754941e6a22bc7c6b0893d93669733aec1.jpg)
![[종로/시청역]실제 환자의 보험 임플란트, 보험 틀니 사례 소개합니다. 젊어지는틀니,임플란트 치료 관련 이미지 5](https://pub-9f2bb3498faf4d1d8714b41df24753e3.r2.dev/content/clinics/archive/rseeanjxfu/naver_blog/yonseiyegam/assets/by_hash/7cb6681b4fb419efef2458f4965bc149bf6b5369ef0a4848404cfe77f051e533.jpg)
먼저 환자분이 위 사진에서 손가락으로 가리키는 부분 어금니를 아파하셔서 발치하셔서 비어있는 사진이고요,
일단 환자분이 임플란트 수술은 너무너무 무서워 하셔서 위 틀니만 제작하였습니다.
연세예감치과에서 위쪽 틀니 제작 후 사진 ▼
![[종로/시청역]실제 환자의 보험 임플란트, 보험 틀니 사례 소개합니다. 젊어지는틀니,임플란트 치료 관련 이미지 6](https://pub-9f2bb3498faf4d1d8714b41df24753e3.r2.dev/content/clinics/archive/rseeanjxfu/naver_blog/yonseiyegam/assets/by_hash/d816ad6e42a4867795f36a46b9ef834937a915c64264267c6ece41dfd721dcb3.jpg)
위의 틀니를 저희 치과에서 만들고 났더니 얼굴이 살아나셨습니다.
꺼져보이던 얼굴의 입술 부분이 살아나면서 굉장히 젊어보이게 되었죠.
환자분이 이때부터 저희 치과를 아주 신뢰하시면서
수술을 정말 무서워하시지만 뺀 아래 어금니부위 임플란트를 하시겠다고 하셨습니다.
임플란트는 환자분의 통증과 붓기를 최대한 줄여주기 위해 네비게이션 임플란트로 들어가게 되었고
연세예감치과에서 어금니 네비게이션 임플란트 완성 후 사진 ▼
![[종로/시청역]실제 환자의 보험 임플란트, 보험 틀니 사례 소개합니다. 젊어지는틀니,임플란트 치료 관련 이미지 7](https://pub-9f2bb3498faf4d1d8714b41df24753e3.r2.dev/content/clinics/archive/rseeanjxfu/naver_blog/yonseiyegam/assets/by_hash/cad4cf09ba92d890f1fcec2d0a3a69c58f0cb68bf0993c276ee83319ed5c1147.jpg)
요렇게 화살표가 가리키는 부분에 네비게이션 임플란트가 들어가게 되었습니다.
임플란트 수술을 하시고 나서는 "하나도 안아파서 임플란트 수술 한것 같지도 않다"라는 소감을 전해주셨습니다.
저희 치과의 네비게이션 임플란트는 일반 임플란트처럼 뼈를 노출하기 위해 잇몸을 째지 않고
비절개로 들어가기 때문에 통증과 붓기가 적고 수술시간이 현저히 짧습니다.
특히 환자분은 만65세 이상으로 보험임플란트 자격이 되시기때문에
2개까지 보험임플란트로 시술 가능하셨으며
보험임플란트 적용시 나라에서 나머지 비용을 건강보험으로 지원해주므로
만 65세 이상 일반 환자분의 경우 하나당 약 37만원만 부담하시면 됩니다.
![[종로/시청역]실제 환자의 보험 임플란트, 보험 틀니 사례 소개합니다. 젊어지는틀니,임플란트 치료 관련 이미지 8](https://pub-9f2bb3498faf4d1d8714b41df24753e3.r2.dev/content/clinics/archive/rseeanjxfu/naver_blog/yonseiyegam/assets/by_hash/bfb9bbea9587d71c416f8088ddc16bc9e3a5bf40d342b2169111e22f795edbca.jpg)
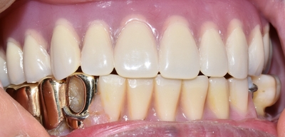
어금니 임플란트를 하고 나시더니 아래 앞니 야매 틀니도 임플란트로 바꾸고 싶어하셨습니다.
그래서 아래 앞니도 임플란트로 하시고 그 중 하나는 보험임플란트를 하셔서
보험임플란트 2개 쓸 수 있는 것을 모두 쓰시고 나머지 몇개는 비보험임플란트까지 흔쾌히 하셨습니다.
아래 앞니도 마찬가지로 네비게이션 임플란트로 시술하였습니다!
연세예감치과에서 아래 쪽 앞니 네비게이션 임플란트 완성 후 사진 ▼
![[종로/시청역]실제 환자의 보험 임플란트, 보험 틀니 사례 소개합니다. 젊어지는틀니,임플란트 치료 관련 이미지 9](https://pub-9f2bb3498faf4d1d8714b41df24753e3.r2.dev/content/clinics/archive/rseeanjxfu/naver_blog/yonseiyegam/assets/by_hash/ca50ea4ef946f12336d4f0b6fe0e5d35e5fd5c2188c6fddd067bba394cf08784.jpg)
요렇게 자연스럽게 완성 되셨구요!!
얼굴도 매우 좋아지셨습니다.
하기 전과 비교해볼까요?
저희 치과에서 시술하시기 전 모습입니다.
![[종로/시청역]실제 환자의 보험 임플란트, 보험 틀니 사례 소개합니다. 젊어지는틀니,임플란트 치료 관련 이미지 10](https://pub-9f2bb3498faf4d1d8714b41df24753e3.r2.dev/content/clinics/archive/rseeanjxfu/naver_blog/yonseiyegam/assets/by_hash/3d8b9018a1ff8a8b91568f131d8f468ded2ac07a2be2fa7adcd249dcfaf51d1e.png)
야매 틀니를 다 뺀 사진과 야매 틀니를 하고 입을 다문 옆모습입니다. 틀니를 끼고 있어도 윗 입술 부분이 꺼져보여 좋지 않습니다.
저희 치과에서 보험 틀니와 보험 임플란트 시술 후 모습입니다. ↓
![[종로/시청역]실제 환자의 보험 임플란트, 보험 틀니 사례 소개합니다. 젊어지는틀니,임플란트 치료 관련 이미지 11](https://pub-9f2bb3498faf4d1d8714b41df24753e3.r2.dev/content/clinics/archive/rseeanjxfu/naver_blog/yonseiyegam/assets/by_hash/ca50ea4ef946f12336d4f0b6fe0e5d35e5fd5c2188c6fddd067bba394cf08784.jpg)
저희 치과에서 시술한 위쪽 틀니나 아래 앞니 임플란트가 모두 잘 기능을 하며
입 주변도 예전보다 빵빵해져서 젊어보입니다.
치과에서 적절한 틀니와 임플란트 치료로 젊어지세요!
시청역 연세예감치과
상담예약 02-318-8275
![[종로/시청역]실제 환자의 보험 임플란트, 보험 틀니 사례 소개합니다. 젊어지는틀니,임플란트 치료 관련 이미지 12](https://pub-9f2bb3498faf4d1d8714b41df24753e3.r2.dev/content/clinics/archive/rseeanjxfu/naver_blog/yonseiyegam/assets/by_hash/dacdbf24fb1a6332488dfec086d5c637c8c4ecde76092d897ff3697e75233086.jpg)
![[종로/시청역]실제 환자의 보험 임플란트, 보험 틀니 사례 소개합니다. 젊어지는틀니,임플란트 치료 관련 이미지 13](https://pub-9f2bb3498faf4d1d8714b41df24753e3.r2.dev/content/clinics/archive/rseeanjxfu/naver_blog/yonseiyegam/assets/by_hash/fd32c0f42e031720866b0926d5e692b1c299e75c487a4ed41f5bd1b6a0aa6502.jpg)
더 보기
이 병원의 공개 콘텐츠를 계속 살펴보세요
출처 아카이브로 돌아가 더 많은 글을 보거나, 병원 프로필로 이동해 다른 공개 채널도 함께 비교해보세요.