연세예감치과(시청역)
Q&A:"교정을 예전에 오래전에 했는데 앞니치아가 삐뚤어졌어요"해결방법은, 비용은?
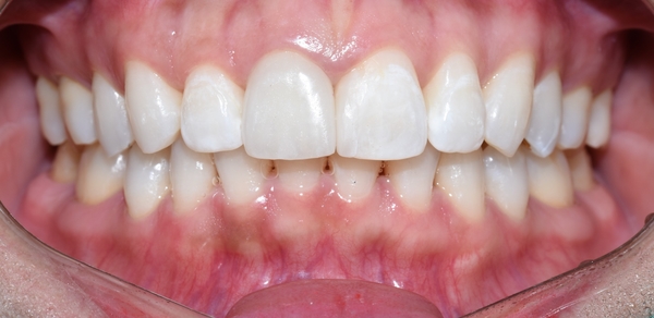
교정을 몇년전에 했는데 앞니 치아가 삐뚤어졌어요 서울 시청역 연세예감치과 [사진공개 동의한 환자분 사진입니다.] 요즘은 미용에 대한 관심도 높아지면서 미용적인 측면과 기능적인 측면을 위해 교정을 하는 분들이 많아졌습니다. 다들 인생에 한번 쯤은 교정기를 달아본 적이 있달까요.. 이번 소개해 드릴 분은 몇 년 전 다...
아카이브 요약
이 페이지의 역할
연세예감치과(시청역) Yonsei Yegam Dental Clinic ヨンセイェガム歯科의 네이버 블로그 원문을 보존한 아카이브 페이지입니다. 교정치료 카테고리의 Q&A:"교정을 예전에 오래전에 했는데 앞니치아가 삐뚤어졌어요"해결방법은, 비용은? 글을 통해 병원의 한국어 정보 제공 방식과 진료 관련 안내 톤을 확인할 수 있습니다.
교정을 몇년전에 했는데 앞니 치아가 삐뚤어졌어요
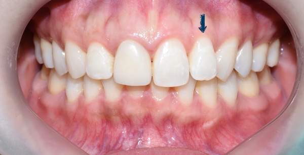
서울 시청역 연세예감치과 [사진공개 동의한 환자분 사진입니다.]
요즘은 미용에 대한 관심도 높아지면서
미용적인 측면과 기능적인 측면을 위해 교정을 하는 분들이 많아졌습니다.
다들 인생에 한번 쯤은 교정기를 달아본 적이 있달까요..
이번 소개해 드릴 분은 몇 년 전 다른 치과에서 교정을 하셨는데
다시 앞니가 튀어나와보인다는 것을 해결하기 위해 오신 환자분입니다.
많이 튀어나오진 않았지만, 유독 이런 이가 사진을 찍을 때 도드라지게 보이죠.
그래서 남들이 보기엔 티가 별로 안나는 것 같을지라도
특히 결혼을 앞두거나, 연예인분이나, 사진찍을일이 있으신 분들은 고민이 되게 마련입니다.



사진에서 한 치아가 옆 치아들과 비교해 유독 튀어나온 것 같은 느낌? 있으시죠?
교정을 했더라도 치아는 원래대로 돌아가려는 성질이 있습니다.
뿐만 아니라, 교정을 했든 안했든 간에
나이가 들수록 잇몸뼈가 약해지면서 치아가 더더욱 삐뚤어지거나 벌어져 틈이 생기는 분들도 있습니다.
그래서 특히 교정을 한 후 치아에 안보이게 붙이는 유지장치를 하지 않거나
뺐다꼈나하는 유지장치를 하지 않으면
치아가 원래대로 삐뚤어지는 일이 흔합니다.

이렇게 말이죠. 위 사진의 환자분의 아래쪽 치아입니다.
다른 치과에서 교정이 끝나고 아래쪽만 유지장치를 붙이고 위쪽은 안붙이셨나봐요.
그래서 이 환자분의 경우
보이지 않는 방식으로 교정을 원하셨기 때문에
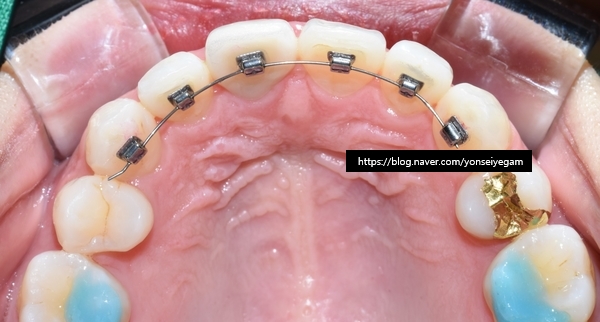
보이지 않게 설측에 붙이는 티끌교정으로 진행하였습니다.

치아안쪽에 장치를 부착하기 때문에 겉에서는 보이지 않습니다.
변화모습 다시 한번 처음 사진이랑 비교해 볼까요?

↓

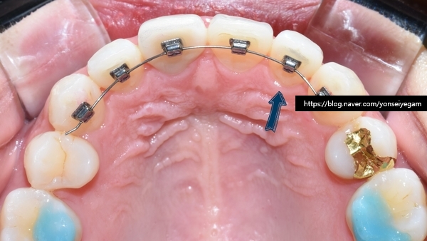
요렇게 티끌장치를 붙였고, 2주만에 이렇게 변화하셨습니다.
치아의 배열이 달라진게 느껴지시나요?
조금더 넣고 싶다고 하셔서 더 진행하고

요렇게 마무리 되었습니다.
물론 안쪽에는 다시 틀어지지 않기 위해 유지장치 부착되어있습니다.
교정 유지장치를 붙이지 않아 앞니가 틀어졌다면,
또는 나이가 들면서 앞니가 자꾸 벌어지거나 튀어나온다면
보이지 않게 남들 모르게, 빠르게, 티끌교정을 해보는 것도 좋은 방법입니다.
앞니 미니시크릿 교정 (티끌교정) (~2022년12월31일)
1.앞니 살짝 보이게 붙이는 장치 진행시 129만원 + 월5만원
2.앞니 안보이게 붙이는 설측 교정으로 진행시
하악:149만원 + 월비 5만원
상악:169만원+월비5만원
상악,하악 중 하나만도 가능
위 비용은 고정형유지장치 비용 포함입니다.
유지장치비용포함이며 상악/하악 각각 비용이며 상악만, 하악만 하셔도 됩니다.
위 포스팅과 같이 치아와 입 주변 사진 공개 조건입니다.
문의사항은 카카오톡 ID: yonseiyegam
시청역 연세예감치과 친구추가하여 질문주세요.
더 보기
이 병원의 공개 콘텐츠를 계속 살펴보세요
출처 아카이브로 돌아가 더 많은 글을 보거나, 병원 프로필로 이동해 다른 공개 채널도 함께 비교해보세요.