아카이브 요약
이 페이지의 역할
연세예감치과의원의 네이버 블로그 원문을 보존한 아카이브 페이지입니다. 교정치료 카테고리의 시청역 앞니교정 알아보겠습니다![실제 사례:앞니 하나가 점점 튀어나오고 벌어져요] 글을 통해 병원의 한국어 정보 제공 방식과 진료 관련 안내 톤을 확인할 수 있습니다.
원문 검증
필요하면 원문 블로그와 병원 프로필로 바로 이동해 문맥을 다시 확인할 수 있습니다.
출처 아카이브 열기아카이브된 블로그 글
연세예감치과의원 · Naver Blog
나이가 들면서, 시간이 가면서 앞니가 몇개가 점점 튀어나오거나 틀어지는 분들이 있죠. 이번에도 그러한 사례를 소개해드리고자 합니다. [환자분의 공개동의를 얻은 사진과 포스팅입니다] 환자분은 40대 남자분으로, 아래 앞니가 원래 안이랬는데 점점 벌어진다고 하셨습니다. 이렇게 앞니가 벌어지게 되면 입안 틈이 까맣게 보...
게시일
2020년 9월 10일
원문 기준으로 확인된 발행일입니다.
카테고리
교정치료
원문 블로그 카테고리를 정리해 함께 표시합니다.
이미지 수
6
현재 아카이브에 연결된 이미지 수입니다.
아카이브 요약
연세예감치과의원의 네이버 블로그 원문을 보존한 아카이브 페이지입니다. 교정치료 카테고리의 시청역 앞니교정 알아보겠습니다![실제 사례:앞니 하나가 점점 튀어나오고 벌어져요] 글을 통해 병원의 한국어 정보 제공 방식과 진료 관련 안내 톤을 확인할 수 있습니다.
원문 검증
필요하면 원문 블로그와 병원 프로필로 바로 이동해 문맥을 다시 확인할 수 있습니다.
출처 아카이브 열기나이가 들면서, 시간이 가면서
앞니가 몇개가 점점 튀어나오거나 틀어지는 분들이 있죠.
이번에도 그러한 사례를 소개해드리고자 합니다.
[환자분의 공개동의를 얻은 사진과 포스팅입니다]
환자분은 40대 남자분으로, 아래 앞니가 원래 안이랬는데 점점 벌어진다고 하셨습니다.
이렇게 앞니가 벌어지게 되면 입안 틈이 까맣게 보여서 미관상 좋지 않은 것이 사실입니다.
여기서 많은 분들이 궁금해 하시는것!
어릴 때가 아니라 나이 들어서 교정해도 되는건가요?
이런 분들처럼 나이가 들어서 치아가 점점 틀어지면서 보기에 안좋은 문제가 있다면
교정을 하는 것이 좋겠지요.
그리고 치아가 가지런해지면서 관리가 더 수월해지면서 잇몸이 악화되는 것을 막을 수 있습니다.
앞니 같은 경우에 이가 삐뚤수록 고른이보다 양치질도 힘들고 관리도 안되어
앞니가 삐뚤수록 나이가 들면서 잇몸뼈 상실 등의 문제가 생기는 경우가 많습니다.
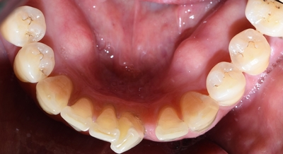
환자분의 앞니 교정전 치아 상태입니다.
![시청역 앞니교정 알아보겠습니다![실제 사례:앞니 하나가 점점 튀어나오고 벌어져요] 관련 이미지 1](https://pub-9f2bb3498faf4d1d8714b41df24753e3.r2.dev/content/clinics/archive/rseeanjxfu/naver_blog/yonseiyegam/assets/by_hash/54302807762de9388d2a2f1485afaca670051bc7762499ccfc47a1db989e8a81.jpg)
![시청역 앞니교정 알아보겠습니다![실제 사례:앞니 하나가 점점 튀어나오고 벌어져요] 관련 이미지 2](https://pub-9f2bb3498faf4d1d8714b41df24753e3.r2.dev/content/clinics/archive/rseeanjxfu/naver_blog/yonseiyegam/assets/by_hash/d2bb277f326cb11e1ee67d0cbc2c5deb5393bacbcd90fe5bf0c619319c6d1259.jpg)
[2019년10월의 사진입니다.]
어떤 치아가 문제인지 한눈에 보입니다.
치아가 틀어진 정도가 심해서 이런 치아는 일반 앞니 부분교정 보다
좀 더 심화적인 조치를 취해야 했습니다.
보통 앞니 부분교정은 3~5개월 정도로 완료되고
이분의 경우는 틀어진 정도가 심해서 처음 배열전 추가적인 조치를 하느라
6개월만에 완료되었습니다.
사회생활을 하는 40대 남자분이지만, 보이지 않게 안쪽으로 붙이는 설측앞니교정을 하여
남들 모르게 교정을 마무리할 수 있었습니다.
![시청역 앞니교정 알아보겠습니다![실제 사례:앞니 하나가 점점 튀어나오고 벌어져요] 관련 이미지 3](https://pub-9f2bb3498faf4d1d8714b41df24753e3.r2.dev/content/clinics/archive/rseeanjxfu/naver_blog/yonseiyegam/assets/by_hash/485be917fc7291a1a1f1eabc72ce94874792fa117ff0ae3be8e1a8a560ae74e6.jpg)
![시청역 앞니교정 알아보겠습니다![실제 사례:앞니 하나가 점점 튀어나오고 벌어져요] 관련 이미지 4](https://pub-9f2bb3498faf4d1d8714b41df24753e3.r2.dev/content/clinics/archive/rseeanjxfu/naver_blog/yonseiyegam/assets/by_hash/73bfc46c948103b89e6c2d41c62fdf4a63dece345ed6a527c946b90f495dc466.jpg)
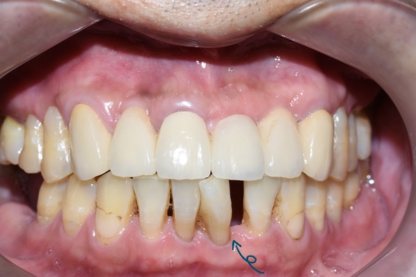
[2020년 3월]
6개월만에 교정장치가 보이지 않는 비밀스런 설측교정으로
요렇게 완료되고 유지장치까지 완성되었습니다.
![시청역 앞니교정 알아보겠습니다![실제 사례:앞니 하나가 점점 튀어나오고 벌어져요] 관련 이미지 5](https://pub-9f2bb3498faf4d1d8714b41df24753e3.r2.dev/content/clinics/archive/rseeanjxfu/naver_blog/yonseiyegam/assets/by_hash/e0d9074b52454b8e208cf0de910df16cb09a096fb66ea0c7c71bc5047ffcc640.jpg)
![시청역 앞니교정 알아보겠습니다![실제 사례:앞니 하나가 점점 튀어나오고 벌어져요] 관련 이미지 6](https://pub-9f2bb3498faf4d1d8714b41df24753e3.r2.dev/content/clinics/archive/rseeanjxfu/naver_blog/yonseiyegam/assets/by_hash/cb86343003e75c6fe267ec9ad443eb583cbdaab6c362a6bc795dfc560d5b277b.jpg)
지금까지 서울 시청역 연세예감치과에서 알려드린 점점 튀어나오는 앞니부분교정이었습니다.
서울역에서 한 정거장으로 지방에서도 빠르고 편리한 앞니교정을 위해 환자들이 방문하는 연세예감치과였습니다.