연세예감치과(시청역)
[시청역/광화문]벌어진 앞니 어떻게 치료되었을까요?-부분교정
오늘은 1호선,2호선 시청역 연세예감치과에서 벌어진 앞니 치료 사례에 대해 알아보겠습니다. 많은 분들이 벌어진 앞니, 또는 점점 벌어지는 앞니로 인해 고민이 많으신데요. 치과에서 일하다 보면 가끔 정말 앞니가 많이 벌어지신 분들도 볼 수 있습니다. 아무래도 보이는 부위다 보니 그런 분들은 고민이 많으시죠. 벌어진...
아카이브 요약
이 페이지의 역할
연세예감치과(시청역) Yonsei Yegam Dental Clinic ヨンセイェガム歯科의 네이버 블로그 원문을 보존한 아카이브 페이지입니다. 교정치료 카테고리의 [시청역/광화문]벌어진 앞니 어떻게 치료되었을까요?-부분교정 글을 통해 병원의 한국어 정보 제공 방식과 진료 관련 안내 톤을 확인할 수 있습니다.
오늘은 1호선,2호선 시청역 연세예감치과에서
벌어진 앞니 치료 사례에 대해 알아보겠습니다.
많은 분들이 벌어진 앞니, 또는 점점 벌어지는 앞니로 인해 고민이 많으신데요.
치과에서 일하다 보면 가끔 정말 앞니가 많이 벌어지신 분들도 볼 수 있습니다.
아무래도 보이는 부위다 보니 그런 분들은 고민이 많으시죠.
벌어진 앞니의 경우에는 흔히 세가지 방법 중 하나를 선택하여 치료하게 됩니다.
-
앞니 사이에 레진으로 치아모양을 만드는 방법,
-
치아에 라미네이트를 붙이는 방법,
-
교정을 하여 공간을 모아주는 방법 이죠.
오늘은 그 중 벌어진 앞니를 부분교정을 통해 간단하게 해결한 사례를 보겠습니다.
벌어진 앞니교정, 비용, 예시, 전후 등등
오늘은 그 중 벌어진 앞니를 부분교정을 통해 간단하게 해결한 사례를 보겠습니다.
(환자분이 정보공개에 동의하셨습니다)
환자분은 예전에 다른 치과에서 벌어진 앞니 때문에 앞니 사이를 레진으로 떼웠는데 떨어지셨다고 해요.
다시 레진으로 떼울지를 고민하셨는데, 타 치과에서 한 레진이 이미 떨어진 이력이 있으신 분이니 또 떨어질 가능성이 많은 조건일 수 있어 다시 떼운다고 해도 또 떨어질 수도 있고,
특히 앞니 사이가 벌어진 분들은 나이가 들어도 또 벌어지는 경우가 많아 부분교정으로 해결하기로 원장님과 상담이 되었죠.
이 환자분 같은 경우에는 어금니 교합도 좋기 때문에 어금니쪽은 건드리지 않고
딱 앞니만 교정하면 좋은 케이스였습니다.
![[시청역/광화문]벌어진 앞니 어떻게 치료되었을까요?-부분교정 관련 이미지 1](https://pub-9f2bb3498faf4d1d8714b41df24753e3.r2.dev/content/clinics/archive/rseeanjxfu/naver_blog/yonseiyegam/assets/by_hash/4fe49f1c6c736c6853bcc89fc585b335abe7e5441ba5f5b02b8a3cf03aa3b4f5.jpg)
![[시청역/광화문]벌어진 앞니 어떻게 치료되었을까요?-부분교정 관련 이미지 2](https://pub-9f2bb3498faf4d1d8714b41df24753e3.r2.dev/content/clinics/archive/rseeanjxfu/naver_blog/yonseiyegam/assets/by_hash/05ff45a8ec530d47aa908fc7c91145d402cbf24fd242cc0f18b9a6d954eb3e47.jpg)
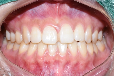
앞니교정 전과 후
전: 벌어진 대문이 사이에 다른 치과에서 하신 기존 레진이 떨어지고, 남은 레진이 보입니다.
만약 다시 레진으로 떼운다면 또 떨어질 가능성도 있고, 빈 공간에 레진으로 메우다보니 앞니가 너무 커 보일 가능성도 있으며, 시간이 지나서 나이가 들면 앞니가 더 벌어졌을 때 또 공간이 생길 수 있습니다.
따라서 앞니 교정으로 결정하고 앞니 부분교정을 진행하였습니다.
후: 앞니 교정 후 모습입니다. 2개월 정도에 전체교합을 바꾸지 않고도 간단하게 교정되었습니다.
뒤쪽에 붙인 유지장치로 인해 나이가 들고 시간이 지나도 앞니가 더 벌어지지 않습니다.
공간은 2개월 안되어 다 닿혔고 환자분이 수정 원하는 부분 있어 조금 더 교정 수정하고 마무리 하였어요.
앞니 교정!
티끌교정 등의 방법으로 간단하고 빠르게,
원한다면 보이지 않게 교정기를 붙이는 방법으로도 해결할 수 있습니다!
앞니 교정으로 환한 웃음, 가져보세요!
2022년 티끌교정, 앞니부분교정 가격
1.보이게 붙이는 장치:각 악당 129만원+월비5만원
2.안보이게 붙이는 장치:
하악:149만원 + 월비 5만원
상악:169만원+월비5만원
상악,하악 중 하나만도 가능
위 비용은 고정형유지장치 비용 포함입니다.
모든 치료는 부작용을 동반할 수 있으므로 의료인과의 상담이 필요합니다.
더 보기
이 병원의 공개 콘텐츠를 계속 살펴보세요
출처 아카이브로 돌아가 더 많은 글을 보거나, 병원 프로필로 이동해 다른 공개 채널도 함께 비교해보세요.