연세예감치과(시청역)
벌어진 앞니 교정치료 & 오래된 앞니 브릿지 다시하기
서울 시청역치과 연세예감치과입니다. 벌어진 공간이 까맣게 보이면 다른 사람들과 대화할 때 신경도 많이 쓰이고 불편하죠. 앞니 사이 공간으로 인해 스트레스 받다가 치과를 찾으신 환자분의 케이스입니다. 교정 전 이렇게 곳곳에 치아 사이 벌어진 공간이 있었어요. 보이지 않게 교정 장치를 붙인 쪽입니다. 치...
아카이브 요약
이 페이지의 역할
연세예감치과(시청역) Yonsei Yegam Dental Clinic ヨンセイェガム歯科의 네이버 블로그 원문을 보존한 아카이브 페이지입니다. 교정치료 카테고리의 벌어진 앞니 교정치료 & 오래된 앞니 브릿지 다시하기 글을 통해 병원의 한국어 정보 제공 방식과 진료 관련 안내 톤을 확인할 수 있습니다.
서울 시청역치과 연세예감치과입니다.
벌어진 공간이 까맣게 보이면 다른 사람들과 대화할 때 신경도 많이 쓰이고 불편하죠.
앞니 사이 공간으로 인해 스트레스 받다가 치과를 찾으신 환자분의 케이스입니다.
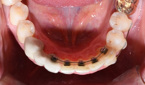
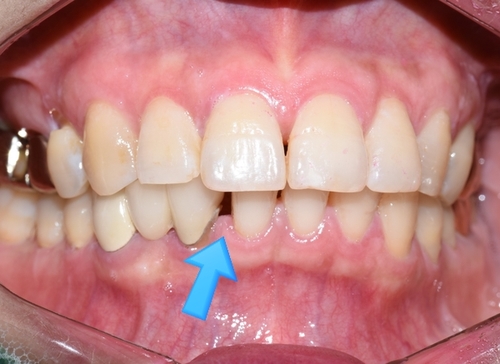
교정 전




이렇게 곳곳에 치아 사이 벌어진 공간이 있었어요.

보이지 않게 교정 장치를 붙인 쪽입니다.
치아 단면의 볼쪽과 혀쪽 중에서 보이지 않게 혀쪽에 붙이는 방식으로 진행하였습니다.

그리고,
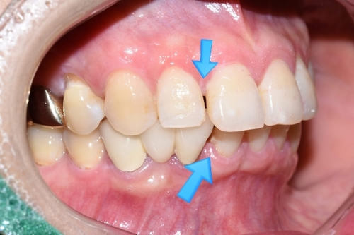
10년 전에 치아 공간이 너무 커서 치아 2개 자리에 머리 3개를 만들었다는 브릿지는
브릿지의 모양이 이쁘지도 않고, 너무 기울어진 모양이라 도드라져 보이고,
자연스럽지도 않아서 교정으로 공간 확보를 조금 더 하고
10년이상 오래된 브릿지는 뜯고 새로 다시하기로 결정하셨습니다.
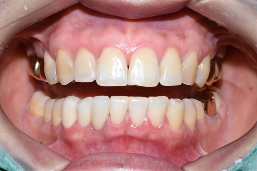
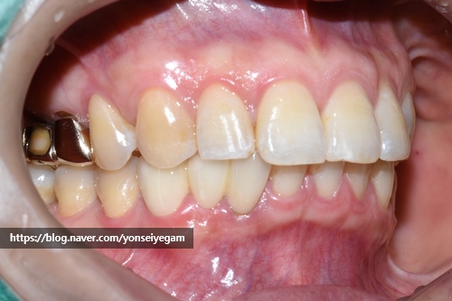
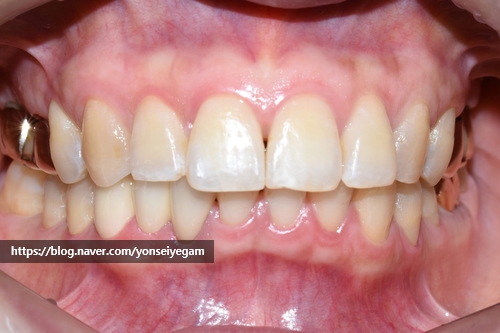
앞니 교정 & 브릿지를 새로 한 후의 사진입니다. ↓

치아 2개자리에 치아머리3개짜리 브릿지가 들어갔지만 예전만큼 어색하지 않습니다!
다시 한 번 비교해볼게요.
좌측사진: 전 / 우측사진: 후




환자분이 원하는 부분들이 잘 해결되었으며
조금더 진행 할 수도 있지만
환자분이 매우 만족하여 마무리하시기 원하시어
교정유지장치를 붙이고 마무리 되었습니다.

자연스러운 브릿지, 그리고 치아사이 빈공간을 닫아주는 부분 교정으로
이제 자신있게 웃을 수 있습니다!
이 환자분의 경우 위쪽 앞니 교정기간: 1개월반
아래쪽 앞니 교정기간(브릿지 기간포함): 3개월
환자분께서 감사하다고 교정 끝나는 날
직접 만들어오신 귀한 유자청까지 주셨어요!

정성 가득담긴 유자청 감사합니다!!!
저희 치과 식구들이 한동안 매일매일 먹었답니다!
지금까지 시청역 부분교정
연세예감치과에서 알아본
부분교정, 그리고 앞니 브릿지 실제 사례였습니다!
앞니 부분교정치료 비용 (2022년 비용, 고정유지장치비용포함. 치아변화사진공개동의시,상하악 각각)
*보이는 면에 붙이는 앞니 부분교정:
129만.원. +월비5만.원
상하악 각각 비용입니다
*보이지 않게 붙이는 앞니 설측부분교정:
하악:149만원 + 월비 5만원
상악:169만원+월비5만원
상악,하악 중 하나만도 가능
위 비용은 고정형유지장치 비용 포함입니다.
02.318.8275
카카오톡은 yonseiyegam 친구추가하시어 문의주세요

시청역 부근에 위치하여 남대문, 서대문역, 용산, 서울역, 광화문 등
어디에서도 오기 쉬운 서울 중심에 위치하고 있습니다!

더 보기
이 병원의 공개 콘텐츠를 계속 살펴보세요
출처 아카이브로 돌아가 더 많은 글을 보거나, 병원 프로필로 이동해 다른 공개 채널도 함께 비교해보세요.