연세예감치과(시청역)
[서울시청역/광화문]치과에서 하는 원데이 치아미백, 연세예감치과에서 알려드려요
서울시청역, 서울역, 광화문 직장인들 또는 결혼식을 앞두고 계신 분들, 큰 발표를 앞두고 계신 분들 치아미백 찾고계신가요? 서울 시청역 삼성본관빌딩(강북삼성병원건강검진센터, 한국은행임시본부) 바로 맞은편에 위치한 연세예감치과에서 치아미백 알려드립니다! 아무리 우리 시청역 연세예감치과가 미백으로 유명하지만 코로나...
아카이브 요약
이 페이지의 역할
연세예감치과(시청역) Yonsei Yegam Dental Clinic ヨンセイェガム歯科의 네이버 블로그 원문을 보존한 아카이브 페이지입니다. 치아미백 카테고리의 [서울시청역/광화문]치과에서 하는 원데이 치아미백, 연세예감치과에서 알려드려요 글을 통해 병원의 한국어 정보 제공 방식과 진료 관련 안내 톤을 확인할 수 있습니다.
서울시청역, 서울역, 광화문 직장인들
또는 결혼식을 앞두고 계신 분들, 큰 발표를 앞두고 계신 분들
치아미백 찾고계신가요?
서울 시청역 삼성본관빌딩(강북삼성병원건강검진센터, 한국은행임시본부)
바로 맞은편에 위치한 연세예감치과에서 치아미백 알려드립니다!
아무리 우리 시청역 연세예감치과가 미백으로 유명하지만
코로나 시대에 마스크를 쓰고 다니는데 미백을 하는 분이 있을까 하고 연초에 생각했는데
친구한테 우리치과는 코로나에도 미백하러 오는 분들이 많아서 신기하다라고 했더니 친구가 한 말이 있죠!
![[서울시청역/광화문]치과에서 하는 원데이 치아미백, 연세예감치과에서 알려드려요 관련 이미지 1](https://pub-9f2bb3498faf4d1d8714b41df24753e3.r2.dev/content/clinics/archive/rseeanjxfu/naver_blog/yonseiyegam/assets/by_hash/5dac8b5aa236f35d2e06ae554828d73353bb317399ef1c111bda46acea56c7ac.jpg)
히잡쓰고도 미용실 가는 미용의 심오한 세계!
사실, 마스크를 쓰지만,
결혼식을 앞두고 있다든지, 소개팅,선 등을 앞두고 있다든지
연예인분들 또는 모델이라든지,
중요한 사진촬영을 앞두고 있다든지 등등
미용에 신경을 써야 하는 분들은 치아미백이 필요한 경우가 알게 모르게 우리 주변에 많더라구요.
그래서 시청역 연세예감치과의 원데이미백!
궁금한 것들에 대해 알려드립니다.
가장 궁금해하시는 치아미백 가격
2025년까지 적용가능한
원데이 치아미백 가격알려드립니다.
저희 치과에서는 파노라마 포함한 정밀 검진 후 미백 진행하고 있습니다.
치아 검진 비용은 국민건강보험비용 처리 되시고
미백 2025년기준! 이벤트 가격 알려드립니다.
치아미백 원데이로 하루에 2회 진행시 25만원 (부가세 10프로 별도)
치아미백 원데이로 하루에 3회 진행시 32만원 (부가세 10프로 별도)
저희 치과는 부작용 최소화를 위해
치아미백 전 충치 및 치아 전반에 대한 파노라마 포함한 검진을 필히 실시하며,
검진은 보험비용 추가됩니다.
치아미백은 미용진료이므로 피부과나 성형외과처럼 법적으로 부가세가 붙는 진료입니다.
[부가세가 없다면 불법적인 루트나 불법적인 재료로 진행하는 곳입니다]
또한 미백은 미용진료이므로 연말정산세액공제에 포함되지 않습니다.
저희 치과는 미백 전, 시림 등의 부작용 최소화를 위해
미백 치료가 가능한 치아인지 검진은 필수로 진행하고 있습니다.
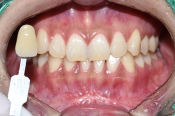
실제 사진
미백 전후 궁금해하시는 분들 위해
실제로 하신 사례 몇분만 소개해드립니다.
![[서울시청역/광화문]치과에서 하는 원데이 치아미백, 연세예감치과에서 알려드려요 관련 이미지 2](https://pub-9f2bb3498faf4d1d8714b41df24753e3.r2.dev/content/clinics/archive/rseeanjxfu/naver_blog/yonseiyegam/assets/by_hash/462e56167c514fee07ab5a4f025af0334972d7c08b7e998ba0ce7c23f9607488.jpg)
![[서울시청역/광화문]치과에서 하는 원데이 치아미백, 연세예감치과에서 알려드려요 관련 이미지 3](https://pub-9f2bb3498faf4d1d8714b41df24753e3.r2.dev/content/clinics/archive/rseeanjxfu/naver_blog/yonseiyegam/assets/by_hash/566cb7bcb8a61449aba2bb9d5c01008191c5540eefc6bfa1f5571b352650bf15.jpg)
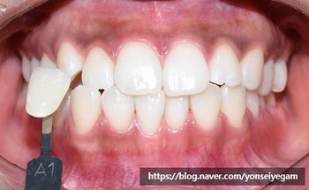
전 A3.5 -> 후 A1으로 (원데이3회진행)
![[서울시청역/광화문]치과에서 하는 원데이 치아미백, 연세예감치과에서 알려드려요 관련 이미지 4](https://pub-9f2bb3498faf4d1d8714b41df24753e3.r2.dev/content/clinics/archive/rseeanjxfu/naver_blog/yonseiyegam/assets/by_hash/d0807acc0250b34be1e4bb4c8cf41ca490eff478f5a8c1f635e9b9398a97dcab.jpg)
![[서울시청역/광화문]치과에서 하는 원데이 치아미백, 연세예감치과에서 알려드려요 관련 이미지 5](https://pub-9f2bb3498faf4d1d8714b41df24753e3.r2.dev/content/clinics/archive/rseeanjxfu/naver_blog/yonseiyegam/assets/by_hash/03e698bab76c233cbee10c6ae25f556aa7d2a3967aca1841d3d13063a9b6d289.jpg)
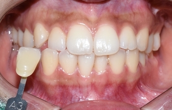
전 A3 -> 후A1으로 (원데이3회진행)
![[서울시청역/광화문]치과에서 하는 원데이 치아미백, 연세예감치과에서 알려드려요 관련 이미지 6](https://pub-9f2bb3498faf4d1d8714b41df24753e3.r2.dev/content/clinics/archive/rseeanjxfu/naver_blog/yonseiyegam/assets/by_hash/9edcbe819e1be4956e21dffa08c3751af9e5fc3c325e7b5b96fe428d221dab80.jpg)
![[서울시청역/광화문]치과에서 하는 원데이 치아미백, 연세예감치과에서 알려드려요 관련 이미지 7](https://pub-9f2bb3498faf4d1d8714b41df24753e3.r2.dev/content/clinics/archive/rseeanjxfu/naver_blog/yonseiyegam/assets/by_hash/0db61f922f41ab843854d3be43393c6fb79846adf46dc88752bb8a796892a020.jpg)
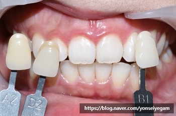
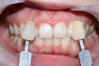
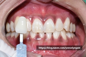
전 D2 -> 후 B1으로 (원데이2회진행)
특별히 "연세예감치과"에서 미백을 선택하는 이유!
- 외국인들,유튜버가 치아미백을 위해 찾아오는 치과
![[서울시청역/광화문]치과에서 하는 원데이 치아미백, 연세예감치과에서 알려드려요 관련 이미지 8](https://pub-9f2bb3498faf4d1d8714b41df24753e3.r2.dev/content/clinics/archive/rseeanjxfu/naver_blog/yonseiyegam/assets/by_hash/c62395f731aeb8531f65d468c4b9787421bcd8c752cac8f59ca9f4d4a3bcaa72.jpg)
대부분들의 외국인들이 치아미백치료를 위해 찾아왔습니다!
- 전문가미백의 전문가!
저희 연세예감치과 원장님은
2013년 겨울 동료치과의사 세 분과 직접 미백제 개발중인
오스템임플란트 공장에 가셔서
현재 사용하는 미백제 출시 전 개발하고 만드신 분으로 부터
상품 발매 전 이미 설명듣고 제품 보고 직접 시연까지 받기도하고 하기도 하고 오셨다고 합니다!
- 부작용최소화
치과에서만 사용할 수 있도록 허가된 고농도의 미백제품을 사용하며,
지각과민방지제가 함유되어 시림증상이 적고 안전한 제품사용, 식약처 허가받은 안전한 제품을 사용합니다.
저희 연세예감치과는 국산 대기업 미백 제품을 사용하고 있습니다.
K-beauty의 선두주자!
[그래서 외국인들이 본인 나라에서는 저희 치과에서 쓰는 미백제품을 사용할 수 없으므로
한국에 온 김에 한국 미백제품을 쓰는 저희 치과 미백을 더 선호하기도 하였죠!]
미백과정
이전에 다른 외국인 블로거 분이 남겨주신 미백과정 후기를 참고해주세요!
https://blog.naver.com/yonseiyegam/222096446054
저희 치과는 인터넷에 널리 알려져있는 치아미백 후의 부작용인 시림 등등을 방지하기 위해
치아미백 전 구강검진을 필수로 진행하고 있습니다.
궁금한 점 있으시면 카카오톡 ID : yonseiyegam 친구 추가 후 질문해주시거나
전화 02.318.8275로 문의주세요!
https://booking.naver.com/booking/13/bizes/190347
시청역 7번출구 직진 도보3분. 스타벅스-파리바게트-옆 건물 5층.
더 보기
이 병원의 공개 콘텐츠를 계속 살펴보세요
출처 아카이브로 돌아가 더 많은 글을 보거나, 병원 프로필로 이동해 다른 공개 채널도 함께 비교해보세요.