연세예감치과(시청역)
앞니가 너무 많이 썩었어요 앞니 충치치료
안녕하세요! 서울의 중심 서울 시청역에 위치한 시청역 연세예감치과입니다. 시청역7번출구에서 도보 3분, 서울역에서 지하철 한정거장, 광화문에서 도보로 걸어올 수 있습니다! 오늘은 앞니 충치치료에 대해 알아보겠습니다. 보통의 경우 앞니보다는 어금니가 썩어 있는 분들이 더 많지만, 앞니가 고르지 못한 경우 양치질이 힘...
아카이브 요약
이 페이지의 역할
연세예감치과(시청역) Yonsei Yegam Dental Clinic ヨンセイェガム歯科의 네이버 블로그 원문을 보존한 아카이브 페이지입니다. 충치치료 카테고리의 앞니가 너무 많이 썩었어요 앞니 충치치료 글을 통해 병원의 한국어 정보 제공 방식과 진료 관련 안내 톤을 확인할 수 있습니다.
안녕하세요! 서울의 중심 서울 시청역에 위치한 시청역 연세예감치과입니다.
시청역7번출구에서 도보 3분, 서울역에서 지하철 한정거장, 광화문에서 도보로 걸어올 수 있습니다!
오늘은 앞니 충치치료에 대해 알아보겠습니다.
보통의 경우 앞니보다는 어금니가 썩어 있는 분들이 더 많지만,
앞니가 고르지 못한 경우 양치질이 힘들다 보니 앞니가 썩는 경우도 많아요.
앞니의 경우 어금니의 경우와 다르게 보이는 부위다 보니,
보통은 보이는 곳에 충치가 생기면 빨리 치료를 받으러 오시지만
시간이 없어서 아니면 충치가 너무 많아서 치과에 오기 부끄럽다 민망하다는 이유로
극한 치아가 되어 오시는 경우도 많으십니다.
정말 많이 썩어서 오시거나 도저히 치료가 불가능한 상태이면 발치하셔야 할 수 있으니 빠른 시일내 치과내원 권유드려요.
그러면 오늘의 케이스를 한번 볼게요.
-환자의 사진공개 동의하에 올립니다.
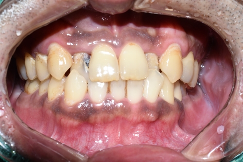
앞니가 많이 썩은 환자분으로,
보이는 앞니의 충치 뿐만 아니라 보이지 않는 입천장 쪽의 충치, 치아 사이 속의 충치도 있었습니다.

앞니 충치 치료전



앞니 4개 모두 충치치료가 필요한 상태입니다.
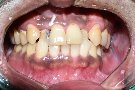
매우 심한 충치는 충치 부위가 신경부위까지 닿아있어 신경치료도 시행하였으며
그 외 치아는 레진 치료 시행하였습니다.

심한 위쪽 앞니 4개 심한 충치 치료만 진행한 후의 사진입니다.


앞에서 보이던 충치(화살표부분)도 레진 치료로 자연스럽게 레진 충치치료가 된 상태입니다.
앞니 외의 다른 치아들도 치료가 필요한 상태입니다.
뿐만 아니라 스케일링을 며칠 전에 한 상태였으나
양치질이 잘 되지 않아 치태가 금방 쌓여있어
치아 삐뚤어 힘들겠지만 환자 본인의 올바른 양치질 등 추후 관리도 필요한 모습입니다.
레진 치료의 경우 당일에 끝나는 치료로 다른 치료들 보다 간단한 치료이니,
보이는 앞니 까만 충치로 고민인 분들은
더 충치가 진행되기 전에 빨리 치료 받기를 권해드립니다.
극한 충치, 극한의 치아 성형도!
대한.심미.치과.학회. 회원 치과!
서울 시청역 연세예감치과
02-318-8275 전화 예약
카톡 친구추가 ID: 아이디 yonseiyegam 친구추가후 문의, 예약가능
더 보기
이 병원의 공개 콘텐츠를 계속 살펴보세요
출처 아카이브로 돌아가 더 많은 글을 보거나, 병원 프로필로 이동해 다른 공개 채널도 함께 비교해보세요.