연세예감치과(시청역)
커피많이드세요? 치과에서 하는 치아미백 알려드려요[효과, 유지 등등 실제사례]
위 사진의 외국인들은 심미(미백 치료 등등)치료를 위해 시청역 연세예감치과에 방문한 외국인들입니다. 치아미백으로 유명한, 해외에서도 관광왔다가 미백하러 방문하는, 심미(에스테틱)로 유명한 치과 서울 시청역 연세예감치과 오늘은 서울시청역 삼성본관빌딩 맞은편에 위치한 연세예감치과에서 미백 문의가 많아 참고하시라고 다른 케...
아카이브 요약
이 페이지의 역할
연세예감치과(시청역) Yonsei Yegam Dental Clinic ヨンセイェガム歯科의 네이버 블로그 원문을 보존한 아카이브 페이지입니다. 치아미백 카테고리의 커피많이드세요? 치과에서 하는 치아미백 알려드려요[효과, 유지 등등 실제사례] 글을 통해 병원의 한국어 정보 제공 방식과 진료 관련 안내 톤을 확인할 수 있습니다.
![커피많이드세요? 치과에서 하는 치아미백 알려드려요[효과, 유지 등등 실제사례] 관련 이미지 1](https://pub-9f2bb3498faf4d1d8714b41df24753e3.r2.dev/content/clinics/archive/rseeanjxfu/naver_blog/yonseiyegam/assets/by_hash/ad3a9886c045c028c7892b092a15e243eac6881d7ff18573ddc523ea8faea8db.png)
위 사진의 외국인들은 심미(미백 치료 등등)치료를 위해 시청역 연세예감치과에 방문한 외국인들입니다.
치아미백으로 유명한, 해외에서도 관광왔다가 미백하러 방문하는,
심미(에스테틱)로 유명한 치과
서울 시청역 연세예감치과
오늘은 서울시청역 삼성본관빌딩 맞은편에 위치한
연세예감치과에서
미백 문의가 많아 참고하시라고
다른 케이스도 소개해 드려요.
치아가 누렇거나 착색이 많으신 분들은
담배를 핀다고 오해받기도 하죠.
사실 코로나 시국에 마스크를 씀에도 불구하고
치아미백하러 방문하시는 분들이 꽤 있는 걸 보면
누런이는 스트레스를 받게하는 요인이죠.
이번 환자분도 그러한 케이스인데요,
환자분의 동의를 얻고, 사진과 케이스 공개합니다.
![커피많이드세요? 치과에서 하는 치아미백 알려드려요[효과, 유지 등등 실제사례] 관련 이미지 2](https://pub-9f2bb3498faf4d1d8714b41df24753e3.r2.dev/content/clinics/archive/rseeanjxfu/naver_blog/yonseiyegam/assets/by_hash/a3e809187a94d54bc36435129d77a21568161eab90ab9d5f5b81a88e3622d70c.jpg)
매일 커피를 많이 먹어요
커피를 많이 드신다는 직장인 남자분인데요
1일1커피 또는 그이상하는 분들 많으시죠?
담배를 피지 않음에도 치아가 아래 사진과 같은 모습이었어요.
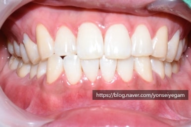
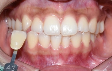
![커피많이드세요? 치과에서 하는 치아미백 알려드려요[효과, 유지 등등 실제사례] 관련 이미지 3](https://pub-9f2bb3498faf4d1d8714b41df24753e3.r2.dev/content/clinics/archive/rseeanjxfu/naver_blog/yonseiyegam/assets/by_hash/cc833f3197e88e2ce34d17708465b5f6a1f6c8f6d74e43813366107505ee12dd.jpg)
치료 전 모습으로 치아가 누렇고 착색이 있으며, 치아 패인 부분이 있음(화살표)
구강검진 후 스케일링,치아 패인곳(화살표) 떼우기, 원데이2회미백을 진행하기로 상담하였으며
원데이 2회 미백 후 몇 달 지나고 원데이 미백2회를 더 하길 원한다고 하셨습니다.(커피를 많이 드시기 때문에)
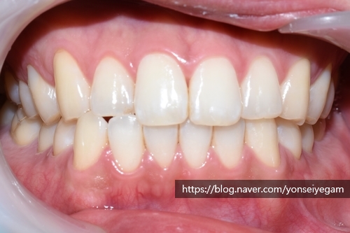
아래는 첫 날 치료(스케일링, 치아패인곳 떼우기, 원데이2회미백 진행)의 전&후 사진입니다.
![커피많이드세요? 치과에서 하는 치아미백 알려드려요[효과, 유지 등등 실제사례] 관련 이미지 4](https://pub-9f2bb3498faf4d1d8714b41df24753e3.r2.dev/content/clinics/archive/rseeanjxfu/naver_blog/yonseiyegam/assets/by_hash/1e65223da3c9d331dc298ea1517ed7b4c66291db0c1c9086c34238ed5d5b1217.jpg)
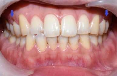
같은 날 치료 전 후 다시 비교해 볼게요
![커피많이드세요? 치과에서 하는 치아미백 알려드려요[효과, 유지 등등 실제사례] 관련 이미지 5](https://pub-9f2bb3498faf4d1d8714b41df24753e3.r2.dev/content/clinics/archive/rseeanjxfu/naver_blog/yonseiyegam/assets/by_hash/3048b15bd33295fc45e547f2819069bfceddec14801430aa4a4141c6849008d3.jpg)
![커피많이드세요? 치과에서 하는 치아미백 알려드려요[효과, 유지 등등 실제사례] 관련 이미지 6](https://pub-9f2bb3498faf4d1d8714b41df24753e3.r2.dev/content/clinics/archive/rseeanjxfu/naver_blog/yonseiyegam/assets/by_hash/e961375aaf5d59f7f4e055041d504452a287a7d5b964470078a09e2ebd809702.jpg)
당일 스케일링,화살표패인곳떼우는치료,미백2회 치료
색상의 변화가 보이시죠!
보통 저희치과 환자분들은 원데이3회를 원하시는데
물론 이 분의 경우 추후에 또 원데이 2회를 추가적으로 하시겠다고 하셨기 때문에
이날 원데이 2회 진행하신 모습입니다.
한시간 내외 시간만에 스케일링,레진,미백2회를 하고 이렇게 밝아지다니 놀랍죠?
만약 원데이 3회미백 진행하셨으면 더 밝아지셨을 것 같네요.
치아미백의 경우는 영구적인 치료가 아니기 때문에
계속적으로 커피나 착색되는 행위 등이 지속되면 다시 치아가 어두워 질 수 있습니다.
미백, 시간이 지나면 얼마나 돌아오나요? 얼마나 유지되나요?
미백치료를 받으신 분들은
보통 6개월에서 1년 단위로 검사하시면서 스케일링을 하시며 관리를 하시고,
필요하면 미백을 받으시라고 말씀드립니다.
또한 착색이 되는 음식을 피해주시면 좋습니다.
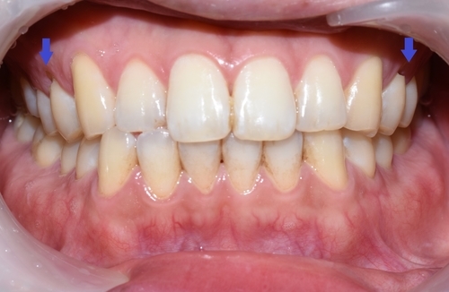
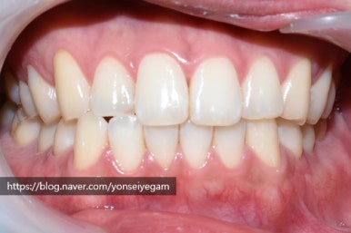
몇 달 후 환자분이 말씀하신 대로 다시 미백2회진행을 위해 오셨는데
여전히 매일 커피는 드신다고 하셨지만
그래도 처음 때와 비교하면 잘 유지되고 있는 모습이었습니다.
![커피많이드세요? 치과에서 하는 치아미백 알려드려요[효과, 유지 등등 실제사례] 관련 이미지 7](https://pub-9f2bb3498faf4d1d8714b41df24753e3.r2.dev/content/clinics/archive/rseeanjxfu/naver_blog/yonseiyegam/assets/by_hash/3ab7b4c4ea821fe4c46612757cecdd320ff7553f23f1bd2d3df79b9f91fa33a3.jpg)
몇 달 동안 커피를 매일 드셨지만 그래도 처음에 비하면 잘 유지된 모습입니다.
이번에도 치아미백2회 진행하였습니다.
![커피많이드세요? 치과에서 하는 치아미백 알려드려요[효과, 유지 등등 실제사례] 관련 이미지 8](https://pub-9f2bb3498faf4d1d8714b41df24753e3.r2.dev/content/clinics/archive/rseeanjxfu/naver_blog/yonseiyegam/assets/by_hash/f4fd5e43e8cc72b2486367122be12b6a2975e7f0e9d9919f3b953044ab716fa0.jpg)
![커피많이드세요? 치과에서 하는 치아미백 알려드려요[효과, 유지 등등 실제사례] 관련 이미지 9](https://pub-9f2bb3498faf4d1d8714b41df24753e3.r2.dev/content/clinics/archive/rseeanjxfu/naver_blog/yonseiyegam/assets/by_hash/862dae81b691e083d0c9f3a070bc45ac8f99ec73e486f3bc00f090576b90ae54.jpg)
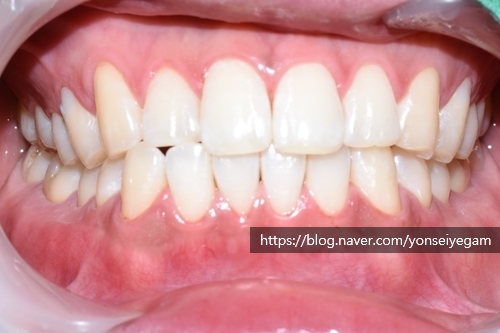
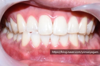
예전에 미백을 하신 상태이므로 이미 애초보다는 밝은 치아였지만 거기서 또 밝아진 것을 볼 수 있습니다.
(미백 진행 전 후 같은 날 사진입니다)
미백을 한번도 하지 않았던 상태와
미백2회 진행을 2번 하신 후 비교
이번에는 미백을 한번도 하지 않았던 상태와 미백2회 진행을 2번 하신 후를 비교해 볼까요?
![커피많이드세요? 치과에서 하는 치아미백 알려드려요[효과, 유지 등등 실제사례] 관련 이미지 10](https://pub-9f2bb3498faf4d1d8714b41df24753e3.r2.dev/content/clinics/archive/rseeanjxfu/naver_blog/yonseiyegam/assets/by_hash/3048b15bd33295fc45e547f2819069bfceddec14801430aa4a4141c6849008d3.jpg)
![커피많이드세요? 치과에서 하는 치아미백 알려드려요[효과, 유지 등등 실제사례] 관련 이미지 11](https://pub-9f2bb3498faf4d1d8714b41df24753e3.r2.dev/content/clinics/archive/rseeanjxfu/naver_blog/yonseiyegam/assets/by_hash/0aabfbfc50ca6f59c381ed57cb972bbb0e7879ec3c05bec3a2851906206c973b.jpg)
미백 외에도 스케일링, 화살표 부분 떼우는 치료를 하셨습니다.
치아가 매우 환하고 깨끗해진 것을 한눈에 볼 수 있습니다.
치아가 누래서 고민이신 분들,
결혼식이나 큰 행사를 앞두고 계시는 분들은
치아미백으로 스트레스 날려버리시고
웃는 인상 만드시길 바랍니다!
2025년까지 책정된 치아미백비용 (시청역 연세예감치과)
2025년 12월 31일까지 2025년 적용가능한
원데이 치아미백 가격알려드립니다.
아래의 치아미백이벤트 가격설명 참고해주세요!
저희 치과에서는 파노라마 포함한 정밀 검진 후 미백 진행하고 있습니다.
치아 검진 비용은 국민건강보험비용 처리 되시고
치아미백은
원데이3회기준 32만원 (부가세 10프로 포함 35만2천원)입니다.
원데이2회기준 25만원 (부가세 10프로 포함 27만5천원)입니다.
-치아미백은 부가세를 받도록 법으로 정해져 있으며, 부가세 없이 진행하는 곳은 불법적인 루트로 진행되는 것입니다.
시림 등의 부작용을 최소화하기 위해 반드시 구강검진 후에 미백치료 진행합니다.
더 자세한 미백과정을 알고 싶으신 분은?
아래링크는 캐나다교포분 원데이3회 치아미백하신 사례를 예전에 포스팅한 것입니다.
https://blog.naver.com/yonseiyegam/222096446054
![커피많이드세요? 치과에서 하는 치아미백 알려드려요[효과, 유지 등등 실제사례] 관련 이미지 12](https://pub-9f2bb3498faf4d1d8714b41df24753e3.r2.dev/content/clinics/archive/rseeanjxfu/naver_blog/yonseiyegam/assets/by_hash/c28f7b2303e3bcf37b5b44759276cad13ef2b3f6ea028de426c7dc99ef34917d.jpg)
![커피많이드세요? 치과에서 하는 치아미백 알려드려요[효과, 유지 등등 실제사례] 관련 이미지 13](https://pub-9f2bb3498faf4d1d8714b41df24753e3.r2.dev/content/clinics/archive/rseeanjxfu/naver_blog/yonseiyegam/assets/by_hash/4d05a928238e866f5bd7617785dbe1240b157705a180c0c2878ba0d66ba07f3b.jpg)
원데이3회 미백 진행 전&후
![커피많이드세요? 치과에서 하는 치아미백 알려드려요[효과, 유지 등등 실제사례] 관련 이미지 14](https://pub-9f2bb3498faf4d1d8714b41df24753e3.r2.dev/content/clinics/archive/rseeanjxfu/naver_blog/yonseiyegam/assets/by_hash/ab3e5b60fdd31583208d2a98c42f2291a7c6a35e23ba2f02acd924ce4822af62.png)
광화문, 신촌, 홍대, 용산, 서울역 등등 서울 중심에 위치하여 어디서든 오기 편한
시청역 연세예감치과
전화 02-318-8275 또는 카톡 ID: yonseiyegam 친구추가하셔서 문의 가능합니다~!
네이버 톡톡 (naver.com)
저희 연세예감치과는
미백에 관한 노하우를 통해 원데이 치아 미백으로 유명해서
전세계에서 온 외국인들이 바쁜 관광일정 중에도 찾아오는 치과입니다!
더 보기
이 병원의 공개 콘텐츠를 계속 살펴보세요
출처 아카이브로 돌아가 더 많은 글을 보거나, 병원 프로필로 이동해 다른 공개 채널도 함께 비교해보세요.