아카이브 요약
이 페이지의 역할
연세예감치과의원의 네이버 블로그 원문을 보존한 아카이브 페이지입니다. 스케일링 카테고리의 [시청역치과]해외에서도 일부러 치료받으러 오는 치과가 있다구요? 스케일링도 연세예감치과! 글을 통해 병원의 한국어 정보 제공 방식과 진료 관련 안내 톤을 확인할 수 있습니다.
원문 검증
필요하면 원문 블로그와 병원 프로필로 바로 이동해 문맥을 다시 확인할 수 있습니다.
출처 아카이브 열기아카이브된 블로그 글
연세예감치과의원 · Naver Blog
안녕하세요, 시청역 연세예감치과입니다. 오늘은 저희 치과의 자랑거리, 저희 치과가 외국인들이 찾아오는 international 치과 임을 소개해 보려고 합니다. 외국인들이 알아서 찾아오는 치과입니다. 지난 2018년 개원 이래 수많은 외국인들과 교포분들이 충치치료와 심미치료를 위해 저희 치과를 찾았습니다. (사진은 저...
게시일
2021년 2월 4일
원문 기준으로 확인된 발행일입니다.
카테고리
스케일링
원문 블로그 카테고리를 정리해 함께 표시합니다.
이미지 수
5
현재 아카이브에 연결된 이미지 수입니다.
아카이브 요약
연세예감치과의원의 네이버 블로그 원문을 보존한 아카이브 페이지입니다. 스케일링 카테고리의 [시청역치과]해외에서도 일부러 치료받으러 오는 치과가 있다구요? 스케일링도 연세예감치과! 글을 통해 병원의 한국어 정보 제공 방식과 진료 관련 안내 톤을 확인할 수 있습니다.
원문 검증
필요하면 원문 블로그와 병원 프로필로 바로 이동해 문맥을 다시 확인할 수 있습니다.
출처 아카이브 열기안녕하세요, 시청역 연세예감치과입니다.
오늘은 저희 치과의 자랑거리, 저희 치과가 외국인들이 찾아오는
international 치과 임을 소개해 보려고 합니다.
외국인들이 알아서 찾아오는 치과입니다.
![[시청역치과]해외에서도 일부러 치료받으러 오는 치과가 있다구요? 스케일링도 연세예감치과! 관련 이미지 1](https://pub-9f2bb3498faf4d1d8714b41df24753e3.r2.dev/content/clinics/archive/rseeanjxfu/naver_blog/yonseiyegam/assets/by_hash/00e30108a1df3e49873b4ad99af2c00aa6277b1ef89b9df49195fcf14c398dff.gif)
지난 2018년 개원 이래 수많은 외국인들과 교포분들이
충치치료와 심미치료를 위해 저희 치과를 찾았습니다.
(사진은 저희가 시간이 있을 때만 찍어서, 사진 못찍고 치료만 받으신 외국인환자분이 많아요ㅠㅠ)
물론 현재는 코로나 상황 때문에 입국 자체가 별로 없어 한국에 거주하시는 외국인들만 내원중이며,
해외에서 입국하시는 분들도 자가격리기간 이후 음성 판정 후 내원 가능합니다.
(병원 자체내에서 여권번호와 생년월일로 나라에서 지원하는 프로그램에서 입국일 확인과 코로나 결과확인 가능합니다)
프랑스 치과의사의 추천으로 외국인들에게 유명해졌어요
#월드클래스
![[시청역치과]해외에서도 일부러 치료받으러 오는 치과가 있다구요? 스케일링도 연세예감치과! 관련 이미지 2](https://pub-9f2bb3498faf4d1d8714b41df24753e3.r2.dev/content/clinics/archive/rseeanjxfu/naver_blog/yonseiyegam/assets/by_hash/1dee6cf7dcdc0fdd6609741d20d77554ab17355164ba79d68407835d381f0b7f.jpg)
프랑스에서 오랜기간 치과를 운영하시고 계신 프랑스인 치과의사분께서
3년 전인 2018년 한국에 방문하셨을 때, 저희 치과에서의 옵저베이션 요청을 하시고
이틀간 저희 치과에서 원장님 진료도 지켜보시고, 직접 체험하시고, 기구,기계도 직접 보신 후
유럽으로 다시 가신 후에 외국인 분들에게 저희 치과를 많이 소개해주셔서
외국인들이 찾는 치과로 유명해진 후,
각 대륙에서 한국에 관광올 때나 한국을 찾을 때, 또는 교포들이 한국에 올 때
꼭 일부러 찾아와서 치료받는 치과가 되었습니다.
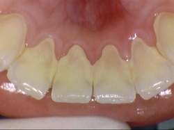
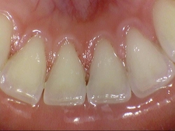
치료 전 거의 모든 환자들에게서 필요한 스케일링
외국인들이 주로 선호하는 치료는 주로 레진치료, 지르코니아 크라운 치료, 치아미백 치료 등 심미치료 인데요
아무래도 치아를 이쁘고 자연스럽게 만드는 기술이 있다고 소문이 나서, 믿고 저희 치과를 찾아주는 것이겠지요!
거의 모든 외국인 환자들이 치료를 받기 전 꼭 받는 치료가 스케일링인데요,
치아와 잇몸이 깨끗한 상태에서 다른 치료들이 들어가는 것이 기본이기 때문이지요.
![[시청역치과]해외에서도 일부러 치료받으러 오는 치과가 있다구요? 스케일링도 연세예감치과! 관련 이미지 3](https://pub-9f2bb3498faf4d1d8714b41df24753e3.r2.dev/content/clinics/archive/rseeanjxfu/naver_blog/yonseiyegam/assets/by_hash/d04721b67c9e27c96ba315094d42041bddea67be254c77b6b7999c20951f511c.jpg)
![[시청역치과]해외에서도 일부러 치료받으러 오는 치과가 있다구요? 스케일링도 연세예감치과! 관련 이미지 4](https://pub-9f2bb3498faf4d1d8714b41df24753e3.r2.dev/content/clinics/archive/rseeanjxfu/naver_blog/yonseiyegam/assets/by_hash/f7238402e12263878a28398c65e4910fc0d01cfef6a60e3c1ffedb6aefd1ef45.jpg)
깨끗해진 치아를 보면 환자분들의 만족도가 매우 큽니다.
스케일링은 주로 초음파스케일링 기구를 사용하여 이루어지며
당연히 소독된 1인 1기구 사용원칙!
원하시는 경우 말씀해주시면 가글마취를 해드려서 더욱 편안한 스켈링이 이루어지게 노력하고 있습니다.
연1회 보험스케일링 기준
대상: 만19세 이상 건강보험적용자
기준: 매년 1월1일~12월31일
연1회 스케일링 외에도
잇몸이 좋지 않으신 분은
의사 진단을 기준으로
6개월씩 적용가능한 보험 스케일링 + 잇몸치료를 받을 수 있습니다.
https://store.naver.com/hospitals/detail?id=1715143717
![[시청역치과]해외에서도 일부러 치료받으러 오는 치과가 있다구요? 스케일링도 연세예감치과! 관련 이미지 5](https://pub-9f2bb3498faf4d1d8714b41df24753e3.r2.dev/content/clinics/archive/rseeanjxfu/naver_blog/yonseiyegam/assets/by_hash/2ff7f442848edc3a1ea7d6a6d7bc577aaa68d7d5c41952e1e56a44fcf688d785.jpg)