아카이브 요약
이 페이지의 역할
연세예감치과의원의 네이버 블로그 원문을 보존한 아카이브 페이지입니다. 충치치료 카테고리의 시청역치과 충치치료, 많이 썩었을 때? 신경치료에 대해 알아보아요 글을 통해 병원의 한국어 정보 제공 방식과 진료 관련 안내 톤을 확인할 수 있습니다.
원문 검증
필요하면 원문 블로그와 병원 프로필로 바로 이동해 문맥을 다시 확인할 수 있습니다.
출처 아카이브 열기아카이브된 블로그 글
연세예감치과의원 · Naver Blog
충치치료는 빠를수록 좋다! 들어보셨죠? 충치는 계속 방치되면 신경치료가 필요할 가능성이 높아집니다. 신경치료, 왜 받게 될까요? 신경치료가 필요한 경우 신경치료는 충치가 신경까지 진행된 경우, 치아신경이 손상된 경우(치수괴사의 경우), 치아 신경을 통한 치아 뿌리끝 염증이 있을 때 , 치아파절이나 크랙으로 인한 신경치...
게시일
2021년 3월 5일
원문 기준으로 확인된 발행일입니다.
카테고리
충치치료
원문 블로그 카테고리를 정리해 함께 표시합니다.
이미지 수
9
현재 아카이브에 연결된 이미지 수입니다.
아카이브 요약
연세예감치과의원의 네이버 블로그 원문을 보존한 아카이브 페이지입니다. 충치치료 카테고리의 시청역치과 충치치료, 많이 썩었을 때? 신경치료에 대해 알아보아요 글을 통해 병원의 한국어 정보 제공 방식과 진료 관련 안내 톤을 확인할 수 있습니다.
원문 검증
필요하면 원문 블로그와 병원 프로필로 바로 이동해 문맥을 다시 확인할 수 있습니다.
출처 아카이브 열기충치치료는 빠를수록 좋다! 들어보셨죠? 충치는 계속 방치되면 신경치료가 필요할 가능성이 높아집니다.
신경치료, 왜 받게 될까요?
신경치료가 필요한 경우
신경치료는 충치가 신경까지 진행된 경우, 치아신경이 손상된 경우(치수괴사의 경우), 치아 신경을 통한 치아 뿌리끝 염증이 있을 때 , 치아파절이나 크랙으로 인한 신경치료가 필요할 때 등이 있습니다.
치아가 겉보기에 문제도 없고, 아프지도 않은데 신경치료 받아야한대요
위와 같은 사례를 위해, 저희 치과에 내원한 원장님의 아는 동료 치과의사분의 예를 보겠습니다. 환자가 치과의사라면 더 신뢰가 가지 않을까 싶어 아래 사례를 동의후에 게시합니다.
이 치과의사 분은 저희 치과에 몇 번 방문하셔서 스케일링도 받으셨는데, 본인이 치과의사라서 원하면 언제든 엑스레이를 찍을 수 있으니(저희 연세예감치과는 일반 환자분들의 경우에는 치과 첫 방문 검진 시 정확한 치아와 잇몸상태 검진을 위해 엑스레이찍는 것을 원칙으로 하고 있습니다.) 저희치과에서 스케일링만 6개월마다 받으셨습니다. 외부 치과의사가 인정하는 스켈링 맛집입니다.
그러던 어느날 그냥 저희 원장님이 이번엔 파노라마 하나 찍어봐~ 해서 찍었는데 충치가 따딴!

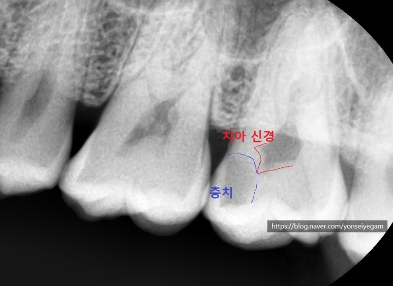
매우 치아 신경과 가깝게 충치가 있어서 그 치과의사분(원장님 친구분)도 당황하셨습니다. 치과의사라면 딱봐도 신경치료해야 될 상태였기 때문이죠. 아무 증상이 없었는데도 말이죠.

심지어 이렇게 치아 상에서는 그 부분이 크게 충치가 있는 것처럼 보이지 않는데도 말입니다. X-RAY의 중요성이지요. 이 분 같은 경우는 본인이 치과의사라서 저희 치과에서 정기적으로 엑스레이를 촬영하지 않았지만, 일반적인 환자분들 같은 경우는 정기검진과 정기적인 파노라마나 엑스레이 촬영이 필수입니다. 눈으로만 보는 것으로는 충치검진이 명확하지 않습니다.

이렇게 충치가 치아신경과 근접해 있어 신경치료가 필요한 것입니다.

신경치료가 끝난 후 엑스레이 입니다. 하얗게 충전물질들이 보입니다.
신경치료 총 몇 번 해야되나요?
신경치료는 빨리 끝낼수록 좋은 건 아니고, 보통은 경과를 보면서 하게 되어있어 큰어금니 기준 3-4번 정도의 신경치료 내원이 필요합니다. 앞니의 경우 1-2번만에 끝내기도 하고 어금니의 경우도 상태에 따라 한번에 마무리 하는 경우도 간혹 있습니다.
신경치료 한 후 꼭 크라운 씌워야 하나요?
신경치료 한 후에는 정상교합과 치아 파절 방지 등을 위해 보통 크라운을 씌우게 됩니다.

크라운을 씌우지 않아 치아 뿌리까지 금이 가서 발치하게 된 치아,세로로 쭉 간 금이 보입니다.
신경치료 한 치아는 크라운을 씌우지 않는 경우 쪼개져서 발치하게 되는 경우가 흔해서, 특별한 경우, 특별한 부위를 제외하고는 신경치료 후에는 크라운을 씌우는 것이 원칙입니다.
저희 시청역 연세예감치과는 크라운의 경우, 치아색깔과 유사해 심미적이고,생체친화적이며, 강도도 높은 지르코니아 크라운을 기본적으로 사용하고 있습니다.
신경치료 필요한 경우의 팁
치아 신경의 경우는 매우 미세하고 복잡하기 때문에, 일반 2차원의 엑스레이만으로는 혹시라도 남은 치아신경의 위치를 파악하기 힘든 경우가 있을 수 있으므로 정확한 치료를 위해 3D CT를 구비하고 있는 치과에서 치료 받는 것을 추천드립니다.

저희 치과원장님의 신경치료 직접 받으신 사례
부제: 치과 원장님은 어디서 치과치료 받으세요??
2020년 저희 시청역 연세예감치과 원장님이 신경치료받은 동영상입니다.
원장님은 처음엔 충치 때문이 아니라 나쵸 드시다가 치아에 금이가서 신경치료를 받게 되셨는데요,ㅠㅠ
치과의사도 단단한 음식엔 파절을 피할 수 없나 봅니다 ㅠㅠ
다른 치과 가시지 않고 저희 연세예감치과 위생, 시설, 기계 등등이 최고이고 신경치료 하면 크라운 씌워야 하고 저희 치과에서 쓰는 지르코니아 크라운 퀄리티가 엄청 좋은걸 아는데 어떻게 내가 다른 치과를 믿고 가냐며,
원장님 친한 치과의사 동생분 모셔 오셔서 저희 연세예감치과에서 직접 치료 받으셨습니다.

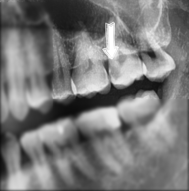
신경치료 끝나고 지르코니아 크라운 치료 까지 받으셨는데요
화살표 한 치아인데 크라운이 씌워져 있다고 믿기지 않을만큼 감쪽같죠?

지금까지 시청역 연세예감치과에서 신경치료에 대해 알아보았습니다.
