연세예감치과(시청역)
[남대문시장] 임플란트 조금 더 안아프고 간편하게
시청역 7번출구 남대문방향에 위치 삼성본관빌딩 맞은편 연세예감치과입니다. 남대문에서 도보4분 거리에 위치하고 있습니다. 오늘은 임플란트, 조금 더 안아프고 간편하게 할 수 있는 방법에 대해 실제 저희 치과에서 진행한 사례를 통해 알아보고자 합니다. 50대의 나이에도 남은 이가 거의 없는 분입니다. ↓ (아래 쪽은...
아카이브 요약
이 페이지의 역할
연세예감치과(시청역) Yonsei Yegam Dental Clinic ヨンセイェガム歯科의 네이버 블로그 원문을 보존한 아카이브 페이지입니다. 임플란트 카테고리의 [남대문시장] 임플란트 조금 더 안아프고 간편하게 글을 통해 병원의 한국어 정보 제공 방식과 진료 관련 안내 톤을 확인할 수 있습니다.
시청역 7번출구 남대문방향에 위치
삼성본관빌딩 맞은편 연세예감치과입니다.
남대문에서 도보4분 거리에 위치하고 있습니다.
오늘은 임플란트, 조금 더 안아프고 간편하게 할 수 있는 방법에 대해
실제 저희 치과에서 진행한 사례를 통해 알아보고자 합니다.
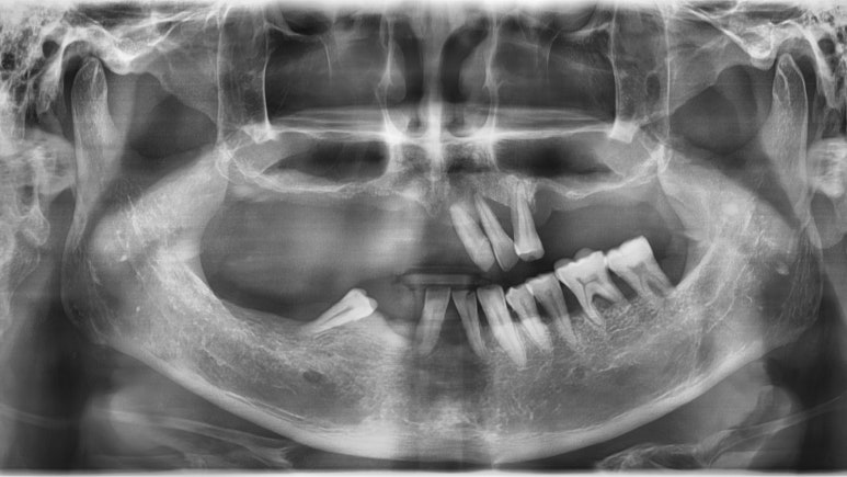
50대의 나이에도 남은 이가 거의 없는 분입니다.
![[남대문시장] 임플란트 조금 더 안아프고 간편하게 관련 이미지 1](https://pub-9f2bb3498faf4d1d8714b41df24753e3.r2.dev/content/clinics/archive/rseeanjxfu/naver_blog/yonseiyegam/assets/by_hash/e59e4e4006f435474ff0538d4cbd79575f4ecde03b9ebb5532cb72e02bd32557.jpg)
![[남대문시장] 임플란트 조금 더 안아프고 간편하게 관련 이미지 2](https://pub-9f2bb3498faf4d1d8714b41df24753e3.r2.dev/content/clinics/archive/rseeanjxfu/naver_blog/yonseiyegam/assets/by_hash/d10d717a5e8ee3fe26d881f1a64a878b310f025f5dda4c415440d3bac4f8988b.jpg)
↓
![[남대문시장] 임플란트 조금 더 안아프고 간편하게 관련 이미지 3](https://pub-9f2bb3498faf4d1d8714b41df24753e3.r2.dev/content/clinics/archive/rseeanjxfu/naver_blog/yonseiyegam/assets/by_hash/f478a148b6fb926365b11832906e93207a0a7e01007a5d7cbad57b32c2adc5f6.jpg)
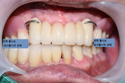
(아래 쪽은 원래 계획대로 진행되어 임플란트5개를 식립하였으며, 위 쪽은 환자가 도중에 2개의 임플란트만 심고 싶어하여 2개의 임플란트 식립)
![[남대문시장] 임플란트 조금 더 안아프고 간편하게 관련 이미지 4](https://pub-9f2bb3498faf4d1d8714b41df24753e3.r2.dev/content/clinics/archive/rseeanjxfu/naver_blog/yonseiyegam/assets/by_hash/78647afddd1b08091b8abb8ae619986ad67481e2399dd4ceed6551256aecc065.jpg)
처음과 비교했을 때 엄청난 차이를 보이죠.
![[남대문시장] 임플란트 조금 더 안아프고 간편하게 관련 이미지 5](https://pub-9f2bb3498faf4d1d8714b41df24753e3.r2.dev/content/clinics/archive/rseeanjxfu/naver_blog/yonseiyegam/assets/by_hash/ea32301cf93d2536c325ffe1fa9e8444339cd144c075e970d821905f3d323456.jpg)
![[남대문시장] 임플란트 조금 더 안아프고 간편하게 관련 이미지 6](https://pub-9f2bb3498faf4d1d8714b41df24753e3.r2.dev/content/clinics/archive/rseeanjxfu/naver_blog/yonseiyegam/assets/by_hash/6cbc7198875a1b9828277d7ff4c88baf40150901f7ffb2ef9570b45306166e93.jpg)
![[남대문시장] 임플란트 조금 더 안아프고 간편하게 관련 이미지 7](https://pub-9f2bb3498faf4d1d8714b41df24753e3.r2.dev/content/clinics/archive/rseeanjxfu/naver_blog/yonseiyegam/assets/by_hash/877a3255768e4eadefb50367cd32babc2ce062e397d00052c604f3877f80ac2c.jpg)
![[남대문시장] 임플란트 조금 더 안아프고 간편하게 관련 이미지 8](https://pub-9f2bb3498faf4d1d8714b41df24753e3.r2.dev/content/clinics/archive/rseeanjxfu/naver_blog/yonseiyegam/assets/by_hash/eecbb7e445cf3c00ce36af8d178394bb1bb31f482e610c27a9f0cae77cd17dd5.jpg)
![[남대문시장] 임플란트 조금 더 안아프고 간편하게 관련 이미지 9](https://pub-9f2bb3498faf4d1d8714b41df24753e3.r2.dev/content/clinics/archive/rseeanjxfu/naver_blog/yonseiyegam/assets/by_hash/979fe47f3f44832cc13eaa328dd176ec66094298cd1dca8797c0cea6146ee185.jpg)
![[남대문시장] 임플란트 조금 더 안아프고 간편하게 관련 이미지 10](https://pub-9f2bb3498faf4d1d8714b41df24753e3.r2.dev/content/clinics/archive/rseeanjxfu/naver_blog/yonseiyegam/assets/by_hash/d55b63a9bb42eee4af3709a0325d0c71560be1f4ab539ea9dc2ad7666a793c6b.jpg)
![[남대문시장] 임플란트 조금 더 안아프고 간편하게 관련 이미지 11](https://pub-9f2bb3498faf4d1d8714b41df24753e3.r2.dev/content/clinics/archive/rseeanjxfu/naver_blog/yonseiyegam/assets/by_hash/dcc3babcccb18c5aa92c183191ebb24e246da4b213e897c7a1360ec00c170d33.jpg)
![[남대문시장] 임플란트 조금 더 안아프고 간편하게 관련 이미지 12](https://pub-9f2bb3498faf4d1d8714b41df24753e3.r2.dev/content/clinics/archive/rseeanjxfu/naver_blog/yonseiyegam/assets/by_hash/cbfc1ae23e5032547cab02b66b87cdd08d0eac5fdcbea3e5ad0feab706763314.jpg)
![[남대문시장] 임플란트 조금 더 안아프고 간편하게 관련 이미지 13](https://pub-9f2bb3498faf4d1d8714b41df24753e3.r2.dev/content/clinics/archive/rseeanjxfu/naver_blog/yonseiyegam/assets/by_hash/3ccf7a400eec6664dd793ca4ac59172d836b2cebf096592e87309759d2382914.jpg)
![[남대문시장] 임플란트 조금 더 안아프고 간편하게 관련 이미지 14](https://pub-9f2bb3498faf4d1d8714b41df24753e3.r2.dev/content/clinics/archive/rseeanjxfu/naver_blog/yonseiyegam/assets/by_hash/315569b2132613c22d676273bfb1278e5e505ee697cc22656cb80f649a8d7bd5.jpg)
![[남대문시장] 임플란트 조금 더 안아프고 간편하게 관련 이미지 15](https://pub-9f2bb3498faf4d1d8714b41df24753e3.r2.dev/content/clinics/archive/rseeanjxfu/naver_blog/yonseiyegam/assets/by_hash/6b51e7d4a86dddc64f8d7917bb5456025006f9eefe25be13e5284296dfc27496.jpg)
![[남대문시장] 임플란트 조금 더 안아프고 간편하게 관련 이미지 16](https://pub-9f2bb3498faf4d1d8714b41df24753e3.r2.dev/content/clinics/archive/rseeanjxfu/naver_blog/yonseiyegam/assets/by_hash/1ca085688dae222e6fb2249c6d7a06ecef5b198a2fda5fb5028ba80b1ea4f8e8.jpg)
이러한 세세한 시뮬레이션, ct를 이용한 컴퓨터 분석을 통해
더 정확하고 안전하게 적절한 위치에 임플란트를 식립할 수 있었으며
절개가 없는 비절개 방식을 이용한 인플란트로
수술시간이 짧고 실밥을 풀 필요가 없으며, 환자분의 만족도도 높습니다.
특히 당뇨,고혈압 등의 전신질환을 가지신 분들, 노령,고령의 분들에게도
수술시간이 짧고 출혈이 적어 더 선호되는 방식이며
임플란트 수술을 해야하지만 치과공포증이 있거나
임플란트 식립 개수가 많을 때에도 네비게이션임플란트를 많이 찾으십니다.
또한 저희 시청역 치과에서는 시청역 주변 바쁜 직장인들이
짧은 수술 시간으로 인해 점심시간을 활용한 임플란트 식립에도 선호하는 방식입니다.
시청역 네비게이션 임플란트는
시청역 연세예감치과입니다.
어르신들을 위한 건강보험임플란트 안내
대상 : 만65세 이상 대한민국 국민건강보험이 적용되는 어르신
개수: 평생 임플란트 2개까지
비용: 하나당 30만원대 후반(38만원정도로, 나머지는 국가 국민건강보험에서 부담)
![[남대문시장] 임플란트 조금 더 안아프고 간편하게 관련 이미지 17](https://pub-9f2bb3498faf4d1d8714b41df24753e3.r2.dev/content/clinics/archive/rseeanjxfu/naver_blog/yonseiyegam/assets/by_hash/d7f3a7ac53cb4cbc5a8e3e00a9e4154813a42ed88c444ff58839d6ac09964ce5.jpg)
연세예감치과 후기
더 보기
이 병원의 공개 콘텐츠를 계속 살펴보세요
출처 아카이브로 돌아가 더 많은 글을 보거나, 병원 프로필로 이동해 다른 공개 채널도 함께 비교해보세요.