연세예감치과(시청역)
시청역치과 심한 (앞니)충치 치료방법 전후 사례 살펴보아요
해외에서도 찾아오는 예술적인 감각! 시청역 '예'술적인 '감'각을 추구하는 연세 예!감! 치과에서 심한 충치치료 , 특히 앞니 충치치료의 사례 살펴보겠습니다. 간혹 심한 앞니 충치환자분들이 충치치료가 어떻게 진행되는지 궁금해 하셔서 실제 치료사례 남겨봅니다! 환자분은 20대 남자분이었고, 군대를 가기 며칠전...
아카이브 요약
이 페이지의 역할
연세예감치과(시청역) Yonsei Yegam Dental Clinic ヨンセイェガム歯科의 네이버 블로그 원문을 보존한 아카이브 페이지입니다. 충치치료 카테고리의 시청역치과 심한 (앞니)충치 치료방법 전후 사례 살펴보아요 글을 통해 병원의 한국어 정보 제공 방식과 진료 관련 안내 톤을 확인할 수 있습니다.
해외에서도 찾아오는 예술적인 감각!

시청역 '예'술적인 '감'각을 추구하는 연세 예!감! 치과에서
심한 충치치료 , 특히 앞니 충치치료의 사례 살펴보겠습니다.
간혹 심한 앞니 충치환자분들이 충치치료가 어떻게 진행되는지 궁금해 하셔서 실제 치료사례 남겨봅니다!
환자분은 20대 남자분이었고, 군대를 가기 며칠전을 앞둔 분이었습니다.
환자분 어머니가 저희 치과를 3년 다닌 환자분이었는데, 아드님이 치료를 받아야 하는데라는 말을 몇 년전에 언뜻 듣긴 했는데 한 번도 저희 치과에 오진 않으셨습니다.
그런데 그러다가 군대 가기 전에 처음으로 오셨는데, 나이도 어리신데 이런 상태일 줄은 몰랐습니다 ㅠㅠ
사진공개에 대해 환자분의 동의를 얻었고, 환자분 어머니께 말씀드렸더니 '사진 올려주시라고..(?)얘는 부끄러운줄 알아야 한다"는 취지로 말씀하셨습니다...
(저희 치과는 더 심한 충치, 더 심한 극한의 구강상태 환자분들도 전국에서, 해외에서 많이 오시니, 부끄러워하거나 걱정하지 않으셔도 됩니다!)

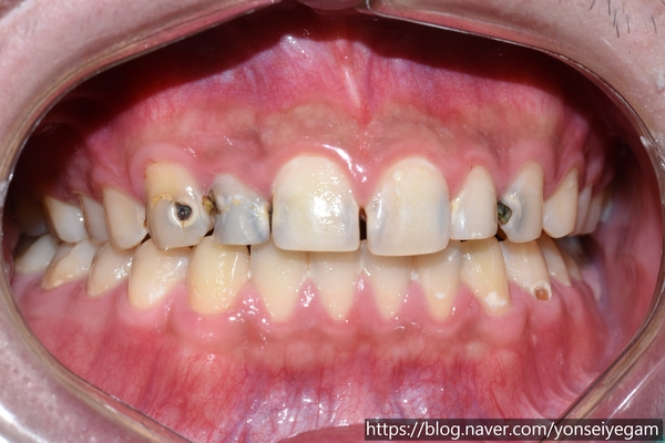
앞에서 봤을 때도 충치가 심해 보였고, 특히 앞니 충치가 눈에 띄게 보였습니다.
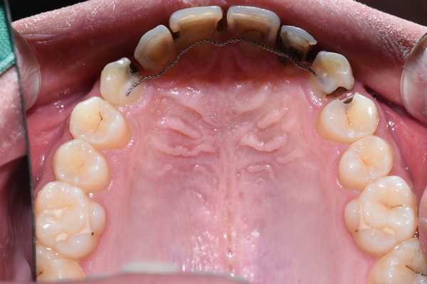
그런데 속(입천장)쪽에서 거울을 대고 봤을 때는 앞에서 봤을 때보다도 더 충치가 심각함을 알 수 있습니다.
게다가 교정유지장치가 붙어 있는 걸 보아 교정을 한 환자 인데
교정을 한지 얼마 되지도 않았는데 이렇게 충치가 심한 경우는 드물죠.
이렇게 앞니 까지 다 썩어있는 경우는 보통 <1. 비용문제 때문에> 또는 <2. 치과치료를 극도로 무서워 해서> 치과치료를 미루다 보니 이렇게 썩게 되는 경우가 많은데 불과 몇 년전에 치아교정을 했다니! 놀라울 따름 이었습니다.
치아 교정을 했다는건 교정을 하면서 이미 비용도 꽤 지불했고, 그 치과를 정기적으로 갔다는 것을 의미하는데 말이죠...


윗니의 경우 치아 입천장쪽을 보면 충치가 아주 심한 것을 볼 수 있습니다.

어금니도 씹는면도 썩어있었지만 어금니의 옆면도 많이 썩어있었습니다.
환자분과 상담을 해보니 비용에 대해 꽤 민감하다는 것을 느낄 수 있었습니다.
안타깝지만 환자분은 며칠 후에 입대가 예정되어 있었고, 비용에도 민감하셔서 (썩은 치아가 한두개가 아니니 비용이 많이 나갈 수 밖에 없습니다) 거의 다 심한 충치였지만 치료는 몇 개만 원하셨습니다.
그리하여 진짜 충치가 심각하게 심한 어금니 몇 개와 앞니 몇개를 치료 하였습니다.
사실 나머지 앞니들도 충치가 심해서 치료가 아주아주 필요하지만,,,
일단 보호자분과 상담하여 몇개만 하기로 하였습니다.

앞니 충치 파고파고 팠는데도 아직 남아있고 치아 다 없어질 정도만 남은거 실화인가요ㅠㅠ
그래도 살리기 위해 최대한 노력하여 임플란트 없이
살렸습니다...

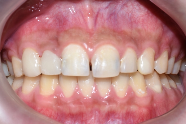
몇 개 치아 치료 후 (환자분이 일부만 치료하길 원함)


전과 후 (보이는 곳만 표시, 어금니도 일부 치료하셨습니다)
비용문제와 여러 문제로 일부만 치료하였기 때문에
아마도 치료 안한 남은 충치 치아는 치료하지 않으면 더 진행되어 조만간 통증이 생기거나, 현재도 치아껍질만 간신히 남아 있는 상태라 치아가 깨져서 나중에는 발치까지 갈 수도 있을 것으로 예상됩니다.ㅠ_ㅠ
최대한 빨리 나머지 치아도 치료받기를 권해드립니다.
그래도 굉장히 심한 충치 치아의 치료 후에 환자분은 눈으로 결과가 보이다 보니 만족하셨습니다! 거의 치아성형수준이죠!
실제 치료기간: 앞니 신경치료 일주일이내, 라미네이트, 인레이 등 보철물 제작 4~5일, 레진치료 당일완료
모든 치료는 부작용최소화를 위해 전문가와 상담하셔야 합니다.
해외에서도 '예'술적인 '감'각을 찾아서 오는 서울 시청역 연세 예!감! 치과에서
심한 충치치료 , 특히 앞니 충치치료의 사례 살펴보았습니다.
https://map.naver.com/v5/entry/place/1715143717


신영일아나운서의 비즈정보플러스 시청역 연세예감치과 원장님 출연



무통마취기와 마취스프레이 등을 사용한 마취통증을 줄이는 연세예감치과
더 보기
이 병원의 공개 콘텐츠를 계속 살펴보세요
출처 아카이브로 돌아가 더 많은 글을 보거나, 병원 프로필로 이동해 다른 공개 채널도 함께 비교해보세요.