연세예감치과(시청역)
[남대문/시청역/광화문]당일 스케일링가능한 치과?
안녕하세요 시청역 연세예감치과입니다. 오늘은 시청역 7번출구, 삼성본관맞은편에 위치한 연세예감치과에서 스케일링에 대해서 말씀드리려고 해요~ 저희 치과는 시청역 7번출구, 삼성본관빌딩 맞은편 위치하여 광화문에서도, 남대문에서도, 서울역에서도 가깝습니다. 아래 사진과 동영상은 사진공개와 촬영에 동의하신 분들의 것들...
아카이브 요약
이 페이지의 역할
연세예감치과(시청역) Yonsei Yegam Dental Clinic ヨンセイェガム歯科의 네이버 블로그 원문을 보존한 아카이브 페이지입니다. 스케일링 카테고리의 [남대문/시청역/광화문]당일 스케일링가능한 치과? 글을 통해 병원의 한국어 정보 제공 방식과 진료 관련 안내 톤을 확인할 수 있습니다.
안녕하세요
시청역 연세예감치과입니다.
오늘은
시청역 7번출구, 삼성본관맞은편에 위치한
연세예감치과에서 스케일링에 대해서 말씀드리려고 해요~
저희 치과는 시청역 7번출구, 삼성본관빌딩 맞은편 위치하여
광화문에서도, 남대문에서도, 서울역에서도 가깝습니다.
아래 사진과 동영상은 사진공개와 촬영에 동의하신 분들의 것들로
동의하신 분들의 사진과 동영상만 공개합니다.
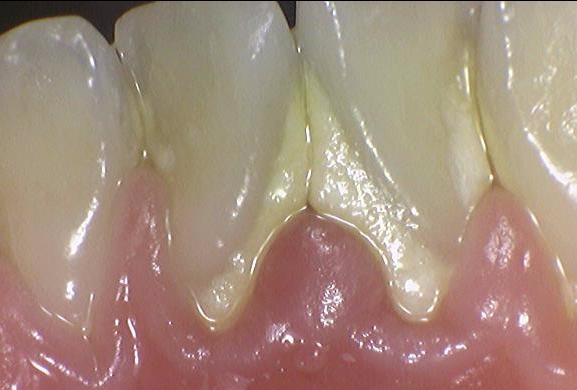
<스케일링>이란
스케일링이란 치아 표면에 붙어있는 치석을 제거하는 시술입니다.
국민건강보험이 적용되는 스케일링은 흔히 '치석제거'라고 명칭이 붙어있습니다.
잇몸 위에 치아에 붙어있는 보이는 치석을 제거하는 것이지요.
![[남대문/시청역/광화문]당일 스케일링가능한 치과? 관련 이미지 1](https://pub-9f2bb3498faf4d1d8714b41df24753e3.r2.dev/content/clinics/archive/rseeanjxfu/naver_blog/yonseiyegam/assets/by_hash/dc6fb1e9fb245f5dd4315e16fac8517e9680fb51a1fd0d08276c8f39519c888d.jpg)
잇몸주변과 치아에 노란 치석이 붙어있는 것을 볼 수 있습니다.
실제로 저희 치과에서 촬영한 스케일링시의 동영상인데요
치석이 틱 하고 떨어져 나가는거, 작은 거울을 통해 보이시나요?
속이 시원하죠?
마스크 쓰면서 입냄새가 확느껴지세요?
여러 원인이 있겠지만, 스케일링부터 받아보는것 어떠세요?
스케일링, 보험적용 기준은?
치석제거(스케일링)는 2013년부터 치료 등의 목 적 없이도 보험이 적용되기 때문에 예방차원에서 부담 없이 받을 수 있습니다.
대상: 만19세 이상의 건강보험 가입자 및 피부양자라면 누구나 연 1회 적용
기준: 1월1일부터 12월31일까지 중 1회 적용
스케일링, 1년에 2번 받고 싶은데
1년에 두 번 보험 적용받을 수도 있나요?
치과의사로부터 치주질환으로 진단받는 경우에는
잇몸치료 전 스케일링으로 (잇몸치료를 후속치료가 뒤 따를 예정의 스케일링)
연1회 스케일링과 별개로 건강보험이 적용가능합니다.
스케일링 전 마취해주시나요?
많이 잇몸이 부어있는 경우를 제외하고는 잇몸주사 마취를 하지는 않습니다.
저희 치과의 경우, 원하시는 분은 말씀하시면,
덜아픈 스케일링을 위해 가글로 간단히 하는 가글마취를 해드립니다.
[어떤 분들은 스켈링 할 때 시원하다고 하시는 분도 많으셔서
말씀하시는 분들에 한해서만 가글마취 해드려요]
![[남대문/시청역/광화문]당일 스케일링가능한 치과? 관련 이미지 2](https://pub-9f2bb3498faf4d1d8714b41df24753e3.r2.dev/content/clinics/archive/rseeanjxfu/naver_blog/yonseiyegam/assets/by_hash/3e7bbb4d12f426d5f9e475d8eb5ded8456b22c571a141bf791023ec2e9e9af6b.png)
스케일링 하기 전, 구강검진&파노라마 꼭 찍어야하나요?
구강검진 없이 치과의사 선생님 안보고 스케일링 가능한가요?
검진없이 스케일링 받는 건, 이비인후과가서 의사선생님 안볼테니, 약 이거이거만 주세요 라고 말하는 것과 같지 않을까요?
스케일링을 받으면 안되는 경우도 있으니, 꼭 검진과 진단 & 스케일링 받기를 권해드립니다.
저희 치과의 경우에는 첫내원, 그리고 기본적으로 1년 주기로 파노라마를 찍는 것을 원칙으로 하고 있으며
파노라마를 찍으셔야 치아 속까지 진단이 가능하고, 악골에 있을 수 있는 병소나 염증상황을 알 수 있으니 찍는 것을 권해드립니다.
파노라마 찍으셔도 국민건강보험 적용되어 안찍으셨을 때와 비교하여 4천원미만 정도의 가격만 추가됩니다.
특히 파노라마를 찍어야 겉으로만 봐서는 모르는, 스케일링을 하면 안되는 부분을 피해서 스케일링이 가능하니 안전한 스케일링을 위해 파노라마 찍고 검진 후 스케일링! 권해드려요. [파노라마를 원치 않으시는 분은 찍지 않고 있습니다.]
![[남대문/시청역/광화문]당일 스케일링가능한 치과? 관련 이미지 3](https://pub-9f2bb3498faf4d1d8714b41df24753e3.r2.dev/content/clinics/archive/rseeanjxfu/naver_blog/yonseiyegam/assets/by_hash/b51b799cd20f8cc79e4bb58930713ef02314de51b158e282131b9cfb818de1e6.jpg)
연세예감치과 파노라마촬영[사진공개에 동의하신 현직 모델분의 사진입니다]
지금까지 시청역치과 연세예감치과에서 알아본 스케일링이었습니다.
정기적인 검진과 스케일링 통해 구강건강 챙겨주세요!
임플란트 등 오래 걸리는 진료가 있을 경우 예약없이 오시면 대기 시간 있을 수 있으니
환자분들의 소중한 시간을 위해
전화 문의 주시면 당일 스케일링 가능한 시간 최대한 맞춰드립니다.
*공지사항에 휴진일 참고해주세요!
시청역 연세예감치과
02-318-8275
카톡플러스친구로 문의,예약
하단 지도 눌러 네이버 예약도 가능합니다!
![[남대문/시청역/광화문]당일 스케일링가능한 치과? 관련 이미지 4](https://pub-9f2bb3498faf4d1d8714b41df24753e3.r2.dev/content/clinics/archive/rseeanjxfu/naver_blog/yonseiyegam/assets/by_hash/037006a04747cb6128f00d7d8696999fb19b54755c15522b11627d4c4acab3bf.jpg)
![[남대문/시청역/광화문]당일 스케일링가능한 치과? 관련 이미지 5](https://pub-9f2bb3498faf4d1d8714b41df24753e3.r2.dev/content/clinics/archive/rseeanjxfu/naver_blog/yonseiyegam/assets/by_hash/3c849449462d3ef71200c6a8e6bba9af9108014ca34e09ca0ac636bb5ac34eb5.jpg)
해외에서도
전세계에서 찾아오는 연세예감치과!
![[남대문/시청역/광화문]당일 스케일링가능한 치과? 관련 이미지 6](https://pub-9f2bb3498faf4d1d8714b41df24753e3.r2.dev/content/clinics/archive/rseeanjxfu/naver_blog/yonseiyegam/assets/by_hash/ce9658623ec7a4f6ec1b3d8c90630b406d7b506cec74ad5536eba53de7a3c307.jpg)
더 보기
이 병원의 공개 콘텐츠를 계속 살펴보세요
출처 아카이브로 돌아가 더 많은 글을 보거나, 병원 프로필로 이동해 다른 공개 채널도 함께 비교해보세요.