아카이브 요약
이 페이지의 역할
연세예감치과의원의 네이버 블로그 원문을 보존한 아카이브 페이지입니다. 임플란트 카테고리의 [남대문] 치과임플란트 조금더 덜아프고, 간단하게! 글을 통해 병원의 한국어 정보 제공 방식과 진료 관련 안내 톤을 확인할 수 있습니다.
원문 검증
필요하면 원문 블로그와 병원 프로필로 바로 이동해 문맥을 다시 확인할 수 있습니다.
출처 아카이브 열기아카이브된 블로그 글
연세예감치과의원 · Naver Blog
임플란트! 무서우시죠? 치아뿌리대신 잇몸뼈에 임플란트 뿌리부분을 박기 위해 임플란트드릴을 사용 해야합니다ㅠㅠ 임플란트, 조금더 안전하고, 정확하고, 빠르게 수술 받을 수 있는 방법, 있을까요?? 의외로 치과 치료에 두려움과 겁이 많으신 분들, 많으신데요. 그런분들이 특히 더 치과치료를 미루시고 치아를 방치하시다 보...
게시일
2021년 6월 18일
원문 기준으로 확인된 발행일입니다.
카테고리
임플란트
원문 블로그 카테고리를 정리해 함께 표시합니다.
이미지 수
9
현재 아카이브에 연결된 이미지 수입니다.
아카이브 요약
연세예감치과의원의 네이버 블로그 원문을 보존한 아카이브 페이지입니다. 임플란트 카테고리의 [남대문] 치과임플란트 조금더 덜아프고, 간단하게! 글을 통해 병원의 한국어 정보 제공 방식과 진료 관련 안내 톤을 확인할 수 있습니다.
원문 검증
필요하면 원문 블로그와 병원 프로필로 바로 이동해 문맥을 다시 확인할 수 있습니다.
출처 아카이브 열기임플란트! 무서우시죠?
치아뿌리대신
잇몸뼈에 임플란트 뿌리부분을 박기 위해
임플란트드릴을 사용 해야합니다ㅠㅠ
![[남대문] 치과임플란트 조금더 덜아프고, 간단하게! 관련 이미지 1](https://pub-9f2bb3498faf4d1d8714b41df24753e3.r2.dev/content/clinics/archive/rseeanjxfu/naver_blog/yonseiyegam/assets/by_hash/dff1b56867fd7dcf1aa3a7067be3d539444cf0819faf4184d5323baefb97ada9.jpg)
임플란트, 조금더 안전하고, 정확하고, 빠르게 수술 받을 수 있는 방법, 있을까요??
의외로 치과 치료에 두려움과 겁이 많으신 분들, 많으신데요.
그런분들이 특히 더 치과치료를 미루시고 치아를 방치하시다 보니
임플란트 해야하는 경우가 많으십니다.
임플란트 치료가 필요한데
치과치료에 겁이 많이신 분들,
고령이라 당뇨, 고혈압 등등 전신질환이 있으신 분들,
해야할 임플란트 개수가 너무 많아 수술시간이 부담스러운 분들께
네비게이션 임플란트 추천드려요
![[남대문] 치과임플란트 조금더 덜아프고, 간단하게! 관련 이미지 2](https://pub-9f2bb3498faf4d1d8714b41df24753e3.r2.dev/content/clinics/archive/rseeanjxfu/naver_blog/yonseiyegam/assets/by_hash/fb616a9b73ad56912c02fff54dae64deb99d1319c258dc8daa02649564aa8080.gif)
실제 연세예감치과에서 시행한 네비게이션 수술 전 시뮬레이션입니다.
CT와 구강스캔을 사용하여
최적화된 뼈 공간에 임플란트를 심을 수 있도록!
잇몸뼈를 보기 위한 절개가 필요없어서 잇몸절개 부분을 실로 꿰맬 필요가 없습니다.
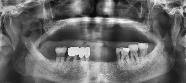
![[남대문] 치과임플란트 조금더 덜아프고, 간단하게! 관련 이미지 3](https://pub-9f2bb3498faf4d1d8714b41df24753e3.r2.dev/content/clinics/archive/rseeanjxfu/naver_blog/yonseiyegam/assets/by_hash/60d88259b496de227ff647eedd4249a1e12402795594b0e7b661c069608be9dc.jpg)
처음 내원하여 치료 받기 전 사진
![[남대문] 치과임플란트 조금더 덜아프고, 간단하게! 관련 이미지 4](https://pub-9f2bb3498faf4d1d8714b41df24753e3.r2.dev/content/clinics/archive/rseeanjxfu/naver_blog/yonseiyegam/assets/by_hash/442cc5e177ff55b1819cc995104a3131316c21aeee32d63478d9b3708821d7eb.jpg)
이렇게 위아래 야매 틀니를 하고 계시던 분이 저희 연세예감치과를 방문하셔서
겁이 많아 위 틀니만 새로 하시고 빠진 이는 그대로 놔두셨는데
아래 어금니 네비게이션 임플란트를 해보시고는
아무렇지도 않고 수술한 느낌도 안난다며,
아래 앞니도 네비게이션 임플란트 진행하셨습니다.
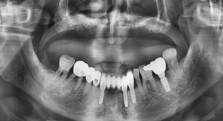
![[남대문] 치과임플란트 조금더 덜아프고, 간단하게! 관련 이미지 5](https://pub-9f2bb3498faf4d1d8714b41df24753e3.r2.dev/content/clinics/archive/rseeanjxfu/naver_blog/yonseiyegam/assets/by_hash/b459cc9da60b9db457e8e7fe7cc435b5450ea22f13eda422553b59a52cd2fa63.jpg)
![[남대문] 치과임플란트 조금더 덜아프고, 간단하게! 관련 이미지 6](https://pub-9f2bb3498faf4d1d8714b41df24753e3.r2.dev/content/clinics/archive/rseeanjxfu/naver_blog/yonseiyegam/assets/by_hash/fbfe12cfb9e6e508fbf44894b7df6e95bdf0b53d905918616453398b40d19bf1.jpg)
![[남대문] 치과임플란트 조금더 덜아프고, 간단하게! 관련 이미지 7](https://pub-9f2bb3498faf4d1d8714b41df24753e3.r2.dev/content/clinics/archive/rseeanjxfu/naver_blog/yonseiyegam/assets/by_hash/4d4ef6a7a0dc435ca71ec87ca9555bd7480bce1c1bebe02f2207a6e1289a51a2.jpg)
이렇게 치아가 없던 분도 아래 쪽 앞니와 어금니는 네비게이션 임플란트 하시고
위는 틀니로 윗 입술도 빵빵해지면서 안정적인 치아와 입주변의 모습이 완성되셨습니다.
3개이상 다수 임플란트 시 할인혜택 많이 들어가니,
네비게이션임플란트 유명한
시청역 연세예감치과 오셔서 상담 받아보세요!
상담예약 02-318-8275
카톡상담문의 카톡아이디: yonseiyegam 친구추가하셔서 문의주세요!
![[남대문] 치과임플란트 조금더 덜아프고, 간단하게! 관련 이미지 8](https://pub-9f2bb3498faf4d1d8714b41df24753e3.r2.dev/content/clinics/archive/rseeanjxfu/naver_blog/yonseiyegam/assets/by_hash/46441658d352ebde5b395f52ccd75f13e837ddcddd9ab61d4c5d9d5cafe96369.gif)
연세예감치과. 해외환자들도 찾아오는 시청역치과
![[남대문] 치과임플란트 조금더 덜아프고, 간단하게! 관련 이미지 9](https://pub-9f2bb3498faf4d1d8714b41df24753e3.r2.dev/content/clinics/archive/rseeanjxfu/naver_blog/yonseiyegam/assets/by_hash/d7f3a7ac53cb4cbc5a8e3e00a9e4154813a42ed88c444ff58839d6ac09964ce5.jpg)