연세예감치과(시청역)
[치과브릿지케이스] 앞니가 너무 많이 흔들려서 발치해야 할 것 같아요
안녕하세요 시청역 7번출구 도보4분거리 시청역 연세예감치과입니다! 오늘은 브릿지 케이스에 대해 알아보려고 합니다. *환자분이 사진공개에 흔쾌히 동의해 주셨습니다. 50대 초반 남자환자분이셨는데요, 앞니가 흔들린다는 것을 이유로 저희 치과를 처음 방문하셨습니다. 물론 어금니도 없어서 문제였지만, 보이는 앞니가 이...
아카이브 요약
이 페이지의 역할
연세예감치과(시청역) Yonsei Yegam Dental Clinic ヨンセイェガム歯科의 네이버 블로그 원문을 보존한 아카이브 페이지입니다. 치아성형 카테고리의 [치과브릿지케이스] 앞니가 너무 많이 흔들려서 발치해야 할 것 같아요 글을 통해 병원의 한국어 정보 제공 방식과 진료 관련 안내 톤을 확인할 수 있습니다.
안녕하세요
시청역 7번출구 도보4분거리
시청역 연세예감치과입니다!
오늘은 브릿지 케이스에 대해 알아보려고 합니다.
*환자분이 사진공개에 흔쾌히 동의해 주셨습니다.
50대 초반 남자환자분이셨는데요, 앞니가 흔들린다는 것을 이유로 저희 치과를 처음 방문하셨습니다.
물론 어금니도 없어서 문제였지만, 보이는 앞니가 이러면 사회생활에 문제가 있죠.
![[치과브릿지케이스] 앞니가 너무 많이 흔들려서 발치해야 할 것 같아요 관련 이미지 1](https://pub-9f2bb3498faf4d1d8714b41df24753e3.r2.dev/content/clinics/archive/rseeanjxfu/naver_blog/yonseiyegam/assets/by_hash/4541c07cf9d9ef2d428355cf98e301aebe7bfba9362b96ea1f637bd2a5322e3f.jpg)
![[치과브릿지케이스] 앞니가 너무 많이 흔들려서 발치해야 할 것 같아요 관련 이미지 2](https://pub-9f2bb3498faf4d1d8714b41df24753e3.r2.dev/content/clinics/archive/rseeanjxfu/naver_blog/yonseiyegam/assets/by_hash/a1f8fce414045638c1ba08d9c48d7279175a04ba6d106a61e024ce3730464fbb.jpg)
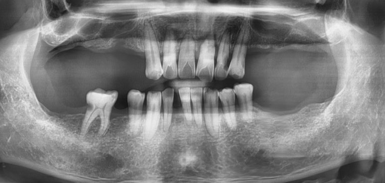
많이 흔들리는 치아들은 엑스레이 상에서 치아뼈가 많이 녹아있어 치아뿌리를 거의 잡아주지 못하고 있었구요
![[치과브릿지케이스] 앞니가 너무 많이 흔들려서 발치해야 할 것 같아요 관련 이미지 3](https://pub-9f2bb3498faf4d1d8714b41df24753e3.r2.dev/content/clinics/archive/rseeanjxfu/naver_blog/yonseiyegam/assets/by_hash/516c26ca6135a778aa3e835e80554e8dd4660927dcaad2a394eae7f3a67bfe00.jpg)
치아를 부딪히는 사고도 당하셨다고 합니다.
자세히 보는 정밀 엑스레이를 찍어봤더니
치아 뿌리가 가로로 부서진 것을 볼 수 있었습니다.
당연히 흔들릴 수 밖에 없겠죠.
임플란트와 브릿지 중 환자분과 상담하여 브릿지를 하기로 하였구요
간단히 설명드리면
임플란트의 장점은 옆의 치아를 건드리지 않고
문제의 치아들만 만들수 있다는 점이고,
브릿지의 장점은 옆의 치아를 깎아서 걸어야 하지만
옆의 치아도 필연적으로 씌우게 되므로 옆의 치아도 좀 더 이쁘게 만들 수 있다는 장점이 있습니다.
![[치과브릿지케이스] 앞니가 너무 많이 흔들려서 발치해야 할 것 같아요 관련 이미지 4](https://pub-9f2bb3498faf4d1d8714b41df24753e3.r2.dev/content/clinics/archive/rseeanjxfu/naver_blog/yonseiyegam/assets/by_hash/4541c07cf9d9ef2d428355cf98e301aebe7bfba9362b96ea1f637bd2a5322e3f.jpg)
환자분 나이 가격 등을 고려해서 PFM브릿지를
하기로 상담,결정하였고
가장 많이 흔들리는 문제의 두 치아를 발치하고
옆의 치아들을 걸어 브릿지를 만들었습니다.
(옆의 치아들도 잇몸이 좋지않아 살짝씩 다 흔들리는 상태)
환자분이 만드는 김에 모양도 조금더 이쁘고, 색깔도 조금 더 하얗게 만들어 드렸습니다.
뿐만 아니라 나중에 어금니 틀니를 할 때를 대비해서
브릿지를 어금니 틀니에 맞는 구조로 제작했습니다.
![[치과브릿지케이스] 앞니가 너무 많이 흔들려서 발치해야 할 것 같아요 관련 이미지 5](https://pub-9f2bb3498faf4d1d8714b41df24753e3.r2.dev/content/clinics/archive/rseeanjxfu/naver_blog/yonseiyegam/assets/by_hash/0142106d0b82c0d962c8ee9a8769e13b541c396f670bf1653bd5df4aee817e9f.jpg)
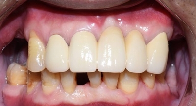
전과 후 사진을 보면 아래와 같습니다.
![[치과브릿지케이스] 앞니가 너무 많이 흔들려서 발치해야 할 것 같아요 관련 이미지 6](https://pub-9f2bb3498faf4d1d8714b41df24753e3.r2.dev/content/clinics/archive/rseeanjxfu/naver_blog/yonseiyegam/assets/by_hash/284d74b744b15da1d5c3cb3cdb3178b2d4400281d298530669a3d9d3f545d4ac.jpg)
-50대 초반 남자환자분
-PFM브릿지 제작기간 일주일
-동일한 장소 조건에서 찍은 사진입니다.
![[치과브릿지케이스] 앞니가 너무 많이 흔들려서 발치해야 할 것 같아요 관련 이미지 7](https://pub-9f2bb3498faf4d1d8714b41df24753e3.r2.dev/content/clinics/archive/rseeanjxfu/naver_blog/yonseiyegam/assets/by_hash/7f9dec7100788b945afb75240bd19b6348d2e75e51c43f42b725789c08834d8a.jpg)
실제로는 입술로 살짝 가려지기 때문에
웃을 때도 위 사진보다 더 자연스러운 치아가 됩니다
건강과 아름다움!
모두 찾는 시청역 연세예감치과 에서 알려드린
흔들려서 발치해야 하는 치아의 브릿지 사례였습니다.
![[치과브릿지케이스] 앞니가 너무 많이 흔들려서 발치해야 할 것 같아요 관련 이미지 8](https://pub-9f2bb3498faf4d1d8714b41df24753e3.r2.dev/content/clinics/archive/rseeanjxfu/naver_blog/yonseiyegam/assets/by_hash/398529e4e86b8150ce907df75d6459b857dbd709d808952156c85a06ba3b0143.gif)
해외에서도 아름다운 미소를 위해 찾아오는 시청역 연세예감치과입니다
더 보기
이 병원의 공개 콘텐츠를 계속 살펴보세요
출처 아카이브로 돌아가 더 많은 글을 보거나, 병원 프로필로 이동해 다른 공개 채널도 함께 비교해보세요.