연세예감치과(시청역)
[치과브릿지]남대문치과/깨지고 오래된 앞니브릿지 교체케이스
남대문에서 도보3분, 서울의 중심 서울 시청역 삼성본관 바로 맞은편 시청역 7번출구 직진 도보3분 시청역 연세예감치과입니다. 저희 치과를 3년 정도 다니신 환자분의 케이스입니다. [환자분께서 사진 공개에 동의하셨습니다.] 몇 십년 전에 다른 치과에서 하신 앞니 브릿지가 파절되었다고 내원하셨습니다. 이 몇 십...
아카이브 요약
이 페이지의 역할
연세예감치과(시청역) Yonsei Yegam Dental Clinic ヨンセイェガム歯科의 네이버 블로그 원문을 보존한 아카이브 페이지입니다. 충치치료 카테고리의 [치과브릿지]남대문치과/깨지고 오래된 앞니브릿지 교체케이스 글을 통해 병원의 한국어 정보 제공 방식과 진료 관련 안내 톤을 확인할 수 있습니다.
남대문에서 도보3분,
서울의 중심
서울 시청역 삼성본관 바로 맞은편
시청역 7번출구 직진 도보3분
시청역 연세예감치과입니다.
저희 치과를 3년 정도 다니신 환자분의 케이스입니다.
[환자분께서 사진 공개에 동의하셨습니다.]
몇 십년 전에 다른 치과에서 하신 앞니 브릿지가 파절되었다고 내원하셨습니다.
![[치과브릿지]남대문치과/깨지고 오래된 앞니브릿지 교체케이스 관련 이미지 1](https://pub-9f2bb3498faf4d1d8714b41df24753e3.r2.dev/content/clinics/archive/rseeanjxfu/naver_blog/yonseiyegam/assets/by_hash/267b14dd8da78f0b2432955caac78b2ef2dd47ffbf17fd946189f21bda3c9efa.jpg)
![[치과브릿지]남대문치과/깨지고 오래된 앞니브릿지 교체케이스 관련 이미지 2](https://pub-9f2bb3498faf4d1d8714b41df24753e3.r2.dev/content/clinics/archive/rseeanjxfu/naver_blog/yonseiyegam/assets/by_hash/ce5b30bd62e34bab0e0af8f3270287b6e61a7a545545197ca6ee8aa5bb1bfd93.jpg)
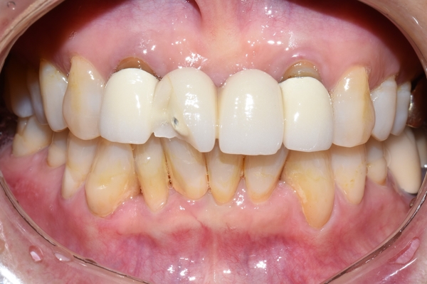
이 몇 십년동안 쓰신 브릿지는 위 엑스레이 처럼
중간 치아 2개는 발치하고 양 옆 치아를 걸어 브릿지를 만든 것입니다.
재료는 PFM으로
깨진 부위는 금속위에 도자기를 올린 부위로 도자기가 충격에 의해 깨져나간 것입니다.
![[치과브릿지]남대문치과/깨지고 오래된 앞니브릿지 교체케이스 관련 이미지 3](https://pub-9f2bb3498faf4d1d8714b41df24753e3.r2.dev/content/clinics/archive/rseeanjxfu/naver_blog/yonseiyegam/assets/by_hash/445d7ddd68f41657c47e82d25e86ed745632130cfc62e85e2fc44134baab4011.jpg)
브릿지 깨진 부위 '임시로' 떼워드렸습니다.
환자분과 상담후, 오래된 브릿지고 몇 십년전 잇몸에 맞춘 상태였기 때문에 잇몸이 내려가면서 브릿지에 싸여있어야 할 치아도 노출 되어 있었기 때문에 브릿지를 새로 제작하기로 하였습니다.
일단 앞니라서 신경쓰인다고 하셔서 브릿지 깨진 부위를 임시로 간단히 떼워드렸구요
며칠 간만 쓸, 빠르게 임시로 떼운 거라서
이쁘진 않습니다~
그 후 며칠 후에 오셔서 브릿지를 뜯어냈는데요,(시간이 되시면 당일에도 가능합니다)
치아가 많이 상해있진 않지만 조금 더 다듬어야 했습니다.
몇 십년전 잇몸에 맞춘 상태였기 때문에 잇몸이 내려가면서 브릿지에 싸여있어야 할 치아도 노출 되어 있었구요.
![[치과브릿지]남대문치과/깨지고 오래된 앞니브릿지 교체케이스 관련 이미지 4](https://pub-9f2bb3498faf4d1d8714b41df24753e3.r2.dev/content/clinics/archive/rseeanjxfu/naver_blog/yonseiyegam/assets/by_hash/7a3e45906ee107c0ec551d401e08e08da968170471db5a990660efbf6f01d294.jpg)
일주일 후 치아 4개짜리 공간에 들어가는 브릿지가 완성되었구요.
![[치과브릿지]남대문치과/깨지고 오래된 앞니브릿지 교체케이스 관련 이미지 5](https://pub-9f2bb3498faf4d1d8714b41df24753e3.r2.dev/content/clinics/archive/rseeanjxfu/naver_blog/yonseiyegam/assets/by_hash/64d5fcc70fb22b5d0831cfeb00017db4e34433be0d6eaea535d48227ba7399c3.jpg)
환자분이 너무 불투명하게 가짜같은 치아는 싫다고 하셔서
자연광에서, 입 안에서 보일 때 자연스러운 치아로 제작하였습니다.
그리고 당연히 누런 치아보다는 조금 더 밝은 치아가 나으므로 본인 치아와 잘 어우러지면서도
더 밝은 색상으로 디자인하였습니다.
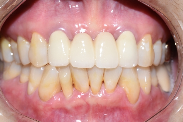
위처럼 입안을 개구기로 훤히 들어냈을 때보다
입술로 그림자도 생기고 살짝 가려진 상태에서 더 자연스러워 집니다.
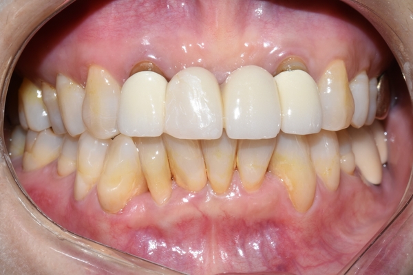
![[치과브릿지]남대문치과/깨지고 오래된 앞니브릿지 교체케이스 관련 이미지 6](https://pub-9f2bb3498faf4d1d8714b41df24753e3.r2.dev/content/clinics/archive/rseeanjxfu/naver_blog/yonseiyegam/assets/by_hash/38fbc14a3e357c1322a7ab8f6e20e4eb7cfac3f602b642f5b7fad5ffdabd939b.jpg)
위 4개 치아가 브릿지 임에도 불구하고 지금 보이는 8개 치아 중
어떤 것이 브릿지인지 티나지 않습니다.
원래도 아름다우셨지만 깨끗하고 깔끔해진 앞니 덕에 더욱더 아름답고 고급스러운 이미지가
되셨습니다.
![[치과브릿지]남대문치과/깨지고 오래된 앞니브릿지 교체케이스 관련 이미지 7](https://pub-9f2bb3498faf4d1d8714b41df24753e3.r2.dev/content/clinics/archive/rseeanjxfu/naver_blog/yonseiyegam/assets/by_hash/453ee27baaa9f983c72a83c4580f318c91e8fa42f5b07194f722ab250412d70a.jpg)
제작기간: 5일
동일한 위치에서 동일한 조건에서 찍은 사진입니다.
오래되고 깨진 PFM 브릿지 -> 새로운 PFM브릿지로 교체
지금까지 시청역 연세예감치과에서 알려드린
오래된 브릿지 교체 사례였습니다!
다른 브릿지 케이스는
https://blog.naver.com/yonseiyegam/222052035888
https://blog.naver.com/yonseiyegam/222422194852
참고 바랍니다.
![[치과브릿지]남대문치과/깨지고 오래된 앞니브릿지 교체케이스 관련 이미지 8](https://pub-9f2bb3498faf4d1d8714b41df24753e3.r2.dev/content/clinics/archive/rseeanjxfu/naver_blog/yonseiyegam/assets/by_hash/e574d8ff1112dd3a43f1a9e0577bfc5b87d533e17b543d32b1606db506f79bd1.jpg)
![[치과브릿지]남대문치과/깨지고 오래된 앞니브릿지 교체케이스 관련 이미지 9](https://pub-9f2bb3498faf4d1d8714b41df24753e3.r2.dev/content/clinics/archive/rseeanjxfu/naver_blog/yonseiyegam/assets/by_hash/46441658d352ebde5b395f52ccd75f13e837ddcddd9ab61d4c5d9d5cafe96369.gif)
외국인도 충치치료와 미용치료를 위해 일부러 찾아오는 시청역 연세예감치과
더 보기
이 병원의 공개 콘텐츠를 계속 살펴보세요
출처 아카이브로 돌아가 더 많은 글을 보거나, 병원 프로필로 이동해 다른 공개 채널도 함께 비교해보세요.