아카이브 요약
이 페이지의 역할
연세예감치과의원의 네이버 블로그 원문을 보존한 아카이브 페이지입니다. 치아성형 카테고리의 [시청역/광화문]옥니 무삭제라미네이트 전후 소개 및 이벤트 가격안내 글을 통해 병원의 한국어 정보 제공 방식과 진료 관련 안내 톤을 확인할 수 있습니다.
원문 검증
필요하면 원문 블로그와 병원 프로필로 바로 이동해 문맥을 다시 확인할 수 있습니다.
출처 아카이브 열기아카이브된 블로그 글
연세예감치과의원 · Naver Blog
안녕하세요 서울 시청역7번출구 삼성본관 (강북삼성병원 건진센터 및 한국은행 임시본관) 바로 맞은편 위치한 시청역 연.세.예.감.치과 입니다! 서울역에서도 가까워 지방에서도 오기 쉽습니다! 오늘은 많은 문의가 있는 옥니 무삭제 라미네이트 사례에 대해 소개해드리려고 합니다. [사진 공개에 동의하신 분의 사진만 공개합니다.]...
게시일
2021년 9월 6일
원문 기준으로 확인된 발행일입니다.
카테고리
치아성형
원문 블로그 카테고리를 정리해 함께 표시합니다.
이미지 수
16
현재 아카이브에 연결된 이미지 수입니다.
아카이브 요약
연세예감치과의원의 네이버 블로그 원문을 보존한 아카이브 페이지입니다. 치아성형 카테고리의 [시청역/광화문]옥니 무삭제라미네이트 전후 소개 및 이벤트 가격안내 글을 통해 병원의 한국어 정보 제공 방식과 진료 관련 안내 톤을 확인할 수 있습니다.
원문 검증
필요하면 원문 블로그와 병원 프로필로 바로 이동해 문맥을 다시 확인할 수 있습니다.
출처 아카이브 열기안녕하세요
서울 시청역7번출구 삼성본관 (강북삼성병원 건진센터 및 한국은행 임시본관) 바로 맞은편 위치한
시청역 연.세.예.감.치과 입니다!
서울역에서도 가까워 지방에서도 오기 쉽습니다!
오늘은 많은 문의가 있는
옥니 무삭제 라미네이트 사례에 대해 소개해드리려고 합니다.
[사진 공개에 동의하신 분의 사진만 공개합니다.]
옹니? 옥니??
안쪽으로 기운 치아인 옥니의 경우
라미네이트를 정상치아위치만큼 두껍게 만드는 것이므로
치아를 삭제하지 않아도 되는 무삭제라미네이트 가 더욱 용이합니다.
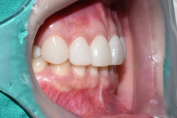
위 앞니(대문니) 두개가 굉장히 많이 들어가 있고
대문니 옆 치아들은 굉장히 튀어나와 대문니가 더 들어가보이는 형태였습니다.
교정은 원하지 않으셨고
위 앞니 두개만 라미네이트로 옥니 개선을 원하여 위앞니 두개만 라미네이트 진행하였습니다.
![[시청역/광화문]옥니 무삭제라미네이트 전후 소개 및 이벤트 가격안내 관련 이미지 1](https://pub-9f2bb3498faf4d1d8714b41df24753e3.r2.dev/content/clinics/archive/rseeanjxfu/naver_blog/yonseiyegam/assets/by_hash/874d3e5b370d352c473d813451583d36032b246cf8f37f3a3f9309dc1a97d172.jpg)
↓
![[시청역/광화문]옥니 무삭제라미네이트 전후 소개 및 이벤트 가격안내 관련 이미지 2](https://pub-9f2bb3498faf4d1d8714b41df24753e3.r2.dev/content/clinics/archive/rseeanjxfu/naver_blog/yonseiyegam/assets/by_hash/2224270873a9e1acbbfb7ef008a24759151c6cf0356e513ac4c9c1ba396bb2fd.jpg)
소요기간: 상악 정중앙 앞니 2개 무삭제라미네이트(프리네이트) 시행, 일주일 간격 두번 내원
총 2번 내원: 본뜰때, 붙일때
![[시청역/광화문]옥니 무삭제라미네이트 전후 소개 및 이벤트 가격안내 관련 이미지 3](https://pub-9f2bb3498faf4d1d8714b41df24753e3.r2.dev/content/clinics/archive/rseeanjxfu/naver_blog/yonseiyegam/assets/by_hash/75e5dbcc1c61082bb1b3e3bc0f74f82938ab4f689d7a5c1fd18a55c00a2938e3.jpg)
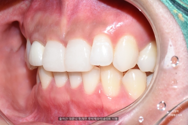
옥니가 너무 싫어서 이가 최대한 나오게 하고 싶다고 하신 분입니다.
![[시청역/광화문]옥니 무삭제라미네이트 전후 소개 및 이벤트 가격안내 관련 이미지 4](https://pub-9f2bb3498faf4d1d8714b41df24753e3.r2.dev/content/clinics/archive/rseeanjxfu/naver_blog/yonseiyegam/assets/by_hash/8e689ef0bfb7e84d04d36e75b1256c7757af07bfd65b03fea1fccec2d5b8b850.jpg)
↓
![[시청역/광화문]옥니 무삭제라미네이트 전후 소개 및 이벤트 가격안내 관련 이미지 5](https://pub-9f2bb3498faf4d1d8714b41df24753e3.r2.dev/content/clinics/archive/rseeanjxfu/naver_blog/yonseiyegam/assets/by_hash/45ecc04e2b5cfdf1a5dba09d7bdbc1350557c005c644a9a85ecfee55db5134e9.jpg)
무삭제 라미네이트 진행하셨으며, 옥니의 경우 무삭제 라미네이트의 경우에도
두께(두껍게 안두껍게 등등), 길이(본인치아길이 이상으로) 등을 본인이 원하는 대로 설정 가능합니다.
들어간 이를 나오게 하고 싶으셨으므로 최대한 더 나오게 만들어드렸습니다.
같은 분의 앞모습 사진입니다.
![[시청역/광화문]옥니 무삭제라미네이트 전후 소개 및 이벤트 가격안내 관련 이미지 6](https://pub-9f2bb3498faf4d1d8714b41df24753e3.r2.dev/content/clinics/archive/rseeanjxfu/naver_blog/yonseiyegam/assets/by_hash/218db15637c46af11e96b9e12484dc72f533f2b41bee78b606f0877e891222b8.jpg)
소요기간: 상악 6개 앞니 무삭제 라미네이트(프리네이트), 일주일 정도
라미네이트위한 내원횟수: 총2회 내원 - 본뜰때, 붙일때
![[시청역/광화문]옥니 무삭제라미네이트 전후 소개 및 이벤트 가격안내 관련 이미지 7](https://pub-9f2bb3498faf4d1d8714b41df24753e3.r2.dev/content/clinics/archive/rseeanjxfu/naver_blog/yonseiyegam/assets/by_hash/329800d495e3e64e8b124f3ce8313bfc1144ff5078657c0a95c2166366c93e43.jpg)
![[시청역/광화문]옥니 무삭제라미네이트 전후 소개 및 이벤트 가격안내 관련 이미지 8](https://pub-9f2bb3498faf4d1d8714b41df24753e3.r2.dev/content/clinics/archive/rseeanjxfu/naver_blog/yonseiyegam/assets/by_hash/efdc065d38f42991165a8f4e5d2d8603c7b4ce167f8739e7c855ebafe87d11da.jpg)
서울 시청역 연세예감치과의 무삭제라미네이트인 프리네이트는
삭제가 없어 시림의 우려가 없으며,
치과내 자체기공소에서 진행하지 않아 하루에 완성되지는 않지만
많은 치과들로부터 라미네이트로 검증된, 서울에서 가장 잘한다고 언급되는 기공소에서 진행합니다.
수작업을 거치는 과정이 있기 때문에
기간은 일주일+주말 정도로 생각하시면 됩니다.
또한 저희 서울 시청역 연세예감치과는
진단한 사람, 실장 같은 상담자와 직접 실제로 진료하는 진료의사가 다른 것을 지양하기 때문에
상담을 원장님이 직접 진행, 진료 또한 같은 원장님이 진료하며
불법으로 라미네이트의 부착을 치과의사가 아닌 직원이 하는 일부치과와 달리
개개인에 맞게 라미네이트,프리네이트의 접착을 통합치의학과의 전문의인
치과의사가 직접 시행합니다.
2025년 기준 연세예감치과 라미네이트 가격: 치아 개당 60만원
2개이상 진행시 개당 50만원
4개이상 진행시 개당 48만원
라미네이트와 치아미백은 미용목적일 경우 법적으로 부가세 10프로를 추가로 받도록 되어있습니다.
(본 가격은 2개이상 부터 입주변 전후(위와같은) 사진공개조건 가격입니다
공개를 원하지 않으시면, 개당 60만원에 진행가능합니다)
또한 라미네이트 전 치과의사의 진단,상담이 필요합니다.
라미네이트 원하는 치아에 충치가 있는 경우 충치제거나 충치치료후 라미네이트를 해야 할 수 있습니다.
시청역 연세예감치과 카카오톡 라미네이트이벤트 문의
: 아이디 yonseiyegam 친구추가 후 문의
카톡플러스친구 문의도 가능합니다
아래 링크 누르고 플러스친구 추가후 문의해주세요
그외 여러 라미네이트 케이스
https://m.blog.naver.com/yonseiyegam/222366170590
![[시청역/광화문]옥니 무삭제라미네이트 전후 소개 및 이벤트 가격안내 관련 이미지 9](https://pub-9f2bb3498faf4d1d8714b41df24753e3.r2.dev/content/clinics/archive/rseeanjxfu/naver_blog/yonseiyegam/assets/by_hash/3d819ff9404fb6dc911b3b6d6a1d9df76dbe9e76b72f552078c34bf07f01928d.jpg)
시청역치과 연세예감치과
![[시청역/광화문]옥니 무삭제라미네이트 전후 소개 및 이벤트 가격안내 관련 이미지 10](https://pub-9f2bb3498faf4d1d8714b41df24753e3.r2.dev/content/clinics/archive/rseeanjxfu/naver_blog/yonseiyegam/assets/by_hash/50a24cdc296e3691fc96cbdeec218a9f5848c8b2f4e25581e1a08a6658081369.jpg)
![[시청역/광화문]옥니 무삭제라미네이트 전후 소개 및 이벤트 가격안내 관련 이미지 11](https://pub-9f2bb3498faf4d1d8714b41df24753e3.r2.dev/content/clinics/archive/rseeanjxfu/naver_blog/yonseiyegam/assets/by_hash/1ce698c71b79cba43f93ca6d3632538019ff78802a31f6382d7d363ed3c02110.jpg)
외국인들이 해외에서도 아름다운 치아를 위해
치료받으러 찾아오는 서울시청역 연세예감치과
![[시청역/광화문]옥니 무삭제라미네이트 전후 소개 및 이벤트 가격안내 관련 이미지 12](https://pub-9f2bb3498faf4d1d8714b41df24753e3.r2.dev/content/clinics/archive/rseeanjxfu/naver_blog/yonseiyegam/assets/by_hash/d72953b3d293b671b5f9275d3a1cf4a7ffb1b8d05c05a2c72061b6f2042f96b7.png)
![[시청역/광화문]옥니 무삭제라미네이트 전후 소개 및 이벤트 가격안내 관련 이미지 13](https://pub-9f2bb3498faf4d1d8714b41df24753e3.r2.dev/content/clinics/archive/rseeanjxfu/naver_blog/yonseiyegam/assets/by_hash/a66471f7db53f8ef9c311fa82523ae2b1b5a1f0208acf6c65099779c683c7a8e.png)
![[시청역/광화문]옥니 무삭제라미네이트 전후 소개 및 이벤트 가격안내 관련 이미지 14](https://pub-9f2bb3498faf4d1d8714b41df24753e3.r2.dev/content/clinics/archive/rseeanjxfu/naver_blog/yonseiyegam/assets/by_hash/5551535fd0bf42d6ff8090f491ddab9caf10d681ecca3a3fa07b63343c70e9d0.png)
![[시청역/광화문]옥니 무삭제라미네이트 전후 소개 및 이벤트 가격안내 관련 이미지 15](https://pub-9f2bb3498faf4d1d8714b41df24753e3.r2.dev/content/clinics/archive/rseeanjxfu/naver_blog/yonseiyegam/assets/by_hash/67a2e28dd0a5addaba82184cb4b16ce90c00fc0077933dd966163322f8a273da.png)
카톡플러스친구 문의도 가능합니다
아래 링크 누르고 플러스친구 추가후 문의해주세요
![[시청역/광화문]옥니 무삭제라미네이트 전후 소개 및 이벤트 가격안내 관련 이미지 16](https://pub-9f2bb3498faf4d1d8714b41df24753e3.r2.dev/content/clinics/archive/rseeanjxfu/naver_blog/yonseiyegam/assets/by_hash/efc8b26a3be3e6e89dfb9fc7a85532a9dcdaa7a4f79a5d1ad8e5dc4f6a3a8fdb.jpg)
서울특별시장 인증 서울특별시 의료관광 협력기관인 시청역 연세예감치과입니다