연세예감치과(시청역)
[시청역/광화문]라미네이트케이스:"치아가 작아서 옹졸해 보여요. 치아가 길어보이면 좋겠어요"
안녕하세요 해외에서도 미용과 치료를 위해 찾아오는 시청역 7번출구 삼성본관 바로 맞은편 시청역 연세예감치과입니다. 오늘은 치아가 작아서 옹졸해 보여 고민인 환자분의 라미네이트 사례를 살펴보겠습니다. (사진공개 동의를 하신 환자분입니다.) 사실 이 환자분의 경우, 오래전부터 앞니(대문이)를 다시 하고 싶고, 옆의...
아카이브 요약
이 페이지의 역할
연세예감치과(시청역) Yonsei Yegam Dental Clinic ヨンセイェガム歯科의 네이버 블로그 원문을 보존한 아카이브 페이지입니다. 치아성형 카테고리의 [시청역/광화문]라미네이트케이스:"치아가 작아서 옹졸해 보여요. 치아가 길어보이면 좋겠어요" 글을 통해 병원의 한국어 정보 제공 방식과 진료 관련 안내 톤을 확인할 수 있습니다.
안녕하세요 해외에서도 미용과 치료를 위해 찾아오는
시청역 7번출구 삼성본관 바로 맞은편
시청역 연세예감치과입니다.
오늘은 치아가 작아서 옹졸해 보여 고민인 환자분의
라미네이트 사례를 살펴보겠습니다.
(사진공개 동의를 하신 환자분입니다.)
사실 이 환자분의 경우,
오래전부터 앞니(대문이)를 다시 하고 싶고, 옆의 이들도 라미네이트를 하고 싶었는데
계속 못하고 있는 상황이었다가
오래전에 다른 치과에서 한 앞니의 라미네이트가 깨지면서
치료를 시작하게 되었습니다.
사실 저희 치과에서도 앞니 보철물이 깨지기 전에는
다른 치과에서 한 보철물도 문제가 없고 자연스러우므로
쓰시는 걸 추천드렸지만
이번에 다른 치과에서 한 보철물 중 하나가 깨지면서
환자분의 고민거리를 해결하기 위해
앞니 4개 모두 미용치료에 들어가기로 하였습니다.
환자분의 고민으로는
-
치아 길이가 작아 너무 옹졸해 보여요. 길어 보였으면 좋겠어요.
-
치아가 더 하얗게 보였으면 좋겠어요.
등의 고민이 있었습니다.
1번 고민의 경우
환자분이 치아 길이가 짧아 미용목적으로 다른 치과에서
뼈삭제까지 동반한 잇몸치료도 하셨으나
다시 잇몸이 내려와서 본인은 치아길이가 짧아 보이는 것이 싫다고 하셨습니다.
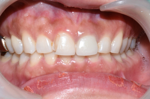
아래 사진은 이번에 치료하기 전 사진입니다.
![[시청역/광화문]라미네이트케이스:"치아가 작아서 옹졸해 보여요. 치아가 길어보이면 좋겠어요" 관련 이미지 1](https://pub-9f2bb3498faf4d1d8714b41df24753e3.r2.dev/content/clinics/archive/rseeanjxfu/naver_blog/yonseiyegam/assets/by_hash/0234b93ff367992c8cc665cab2b50ccfe0aa6f57b1f491fc490758a6cb211952.jpg)
![[시청역/광화문]라미네이트케이스:"치아가 작아서 옹졸해 보여요. 치아가 길어보이면 좋겠어요" 관련 이미지 2](https://pub-9f2bb3498faf4d1d8714b41df24753e3.r2.dev/content/clinics/archive/rseeanjxfu/naver_blog/yonseiyegam/assets/by_hash/3d7d47e90060955bb961b96a82aab1c3e842c4f53a91c8a71b81ae80de34bb4f.jpg)
![[시청역/광화문]라미네이트케이스:"치아가 작아서 옹졸해 보여요. 치아가 길어보이면 좋겠어요" 관련 이미지 3](https://pub-9f2bb3498faf4d1d8714b41df24753e3.r2.dev/content/clinics/archive/rseeanjxfu/naver_blog/yonseiyegam/assets/by_hash/5e9779c8e9be01818fc8501885f7851edde509d6bde5939de2f1809422ec95e9.jpg)
대문이 중 하나는 라미네이트, 하나는 신경치료 후 크라운이 되어있는 상태였습니다.
![[시청역/광화문]라미네이트케이스:"치아가 작아서 옹졸해 보여요. 치아가 길어보이면 좋겠어요" 관련 이미지 4](https://pub-9f2bb3498faf4d1d8714b41df24753e3.r2.dev/content/clinics/archive/rseeanjxfu/naver_blog/yonseiyegam/assets/by_hash/19767d3fd596e82f6763be4756d65b259ecdc3dcd96a724d079761f9a99effb8.jpg)
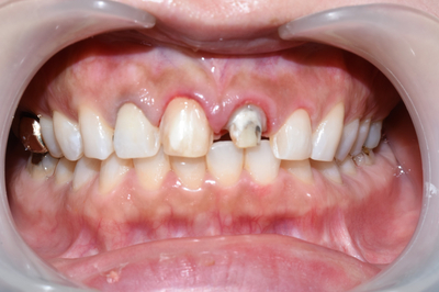
10년전에 하신 기존 보철물을 제거한 상태
환자분이 치아길이가 길어서 시원해 보이고 싶어 하셨고 웃을 때 잇몸이 많이 보인다고 생각하셨으므로
잇몸절개치료 후 힐링기간을 거쳤습니다.
위 사진은 잇몸절개 후 시간이 지나고, 기존 파절된 오래된 라미네이트와 오래된 크라운을 제거했으며
옆의 두 치아의 건강한 치아부분은 삭제하지 않고 충치부위만 삭제하고 찍은 사진입니다.
(치료 중간에 찍은 사진입니다)
기존에 10년전 다른 치과에서 치아삭제 라미네이트를 하셨기 때문에 라미네이트를 제거했을 때 치아가 삭제되어 있고
기존에 크라운이 되어있던 부위도 당연히 치아가 삭제된 상태입니다.
간혹 환자분들 중 오래 전에 한 크라운을 라미네이트로 바꿀 수 있냐고 묻는 분들이 계신데
라미네이트(치아무삭제 or 최소삭제)보다 크라운(하나의 치아머리 부위를 전부 씌워야하므로 전반적으로 치아를 깎음)의 치아 삭제량이 더 크므로
기존의 라미네이트를 한 치아에서 크라운으로 갈 수는 있어도
크라운을 한 치아에 라미네이트를 하는 것은 불가능합니다.
따라서 이 환자분의 경우
잇몸 절개 하고 잇몸 힐링기간을 가진 후
기존에 다른 치과에서 한 라미네이트(깨짐) (아래사진의 번호1) → 다시 라미네이트
기존에 다른 치과에서 한 크라운 (아래사진의 번호2)→ 환자분이 전반적으로 치아 길이, 모양을 바꾸고 싶어 하셔서 옆쪽 라미네이트와 모양을 맞춰야 하므로 다시 크라운
옆쪽 앞니들 (아래사진의 번호3,4)→ 치아가 길어보이는 형태로 충치만 제거 후 다른 건강한 치아부분은 깎지않는 라미네이트(프리네이트)
로 총 4개의 치아를 진행하였습니다.
![[시청역/광화문]라미네이트케이스:"치아가 작아서 옹졸해 보여요. 치아가 길어보이면 좋겠어요" 관련 이미지 5](https://pub-9f2bb3498faf4d1d8714b41df24753e3.r2.dev/content/clinics/archive/rseeanjxfu/naver_blog/yonseiyegam/assets/by_hash/8f8ce19ebdd1785b7d637b68a7cd1faa2e5d4f39290bff2957c8b69ad9d26540.jpg)
라미네이트는 본 뜬지 일주일 후에 완성이 되어 붙였으며
![[시청역/광화문]라미네이트케이스:"치아가 작아서 옹졸해 보여요. 치아가 길어보이면 좋겠어요" 관련 이미지 6](https://pub-9f2bb3498faf4d1d8714b41df24753e3.r2.dev/content/clinics/archive/rseeanjxfu/naver_blog/yonseiyegam/assets/by_hash/a0903b5c35c1e17f0b626b019a91506ee62424dcfe2c3b53c184840dde085136.jpg)
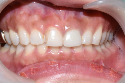
라미네이트 붙이고 일주일 후 촬영한 사진
치료 받은 4개의 앞니가 위와 같이 시원하고 하얗게 보이는 치아로 완성되었습니다.
모양 자체도 그 전의 마름모꼴의 치아보다 훨씬 개선이 된 것을 볼 수 있습니다.
![[시청역/광화문]라미네이트케이스:"치아가 작아서 옹졸해 보여요. 치아가 길어보이면 좋겠어요" 관련 이미지 7](https://pub-9f2bb3498faf4d1d8714b41df24753e3.r2.dev/content/clinics/archive/rseeanjxfu/naver_blog/yonseiyegam/assets/by_hash/1ca022f8e92393fd8a30dc8e970eadea6a739679c8beeb4296d1752bfc782a14.jpg)
![[시청역/광화문]라미네이트케이스:"치아가 작아서 옹졸해 보여요. 치아가 길어보이면 좋겠어요" 관련 이미지 8](https://pub-9f2bb3498faf4d1d8714b41df24753e3.r2.dev/content/clinics/archive/rseeanjxfu/naver_blog/yonseiyegam/assets/by_hash/82455b7dd8293ad2a1d3f2d4cbee308a017baa1e23f6046a1c036bc48c422b4f.jpg)
미용치료 전과 후
지금까지 잇몸절개, 라미네이트와 크라운 치료를 통해
더 아름다운 치아로 바뀐 사례를 보았습니다.
웃을 때 시원해 보이는 치아로 바뀌어
원래도 아름다운 환자분의 미모가 더욱 돋보이게 되셨답니다.
환자분께서 너무 감사하게도
사진을 쓰라고 먼저 말씀을 해주셨답니다~
극적이니까 블로그에도 올리라고 해주시구요
저희 서울 시청역 연세예감치과는
라미네이트의 부착을 치과의사가 아닌 직원이 하는 일부치과와 달리
개개인에 맞게 라미네이트,프리네이트의 접착을 통합치의학과의 전문의인
치과의사가 직접! 시행합니다.
2023년 상반기 기준 시청역 연세예감치과
라미네이트 가격: 치아 개당 50만원
2개이상 진행시 개당 48만원
4개이상 진행시 개당 45만원
라미네이트와 치아미백은 미용목적일 경우 법적으로 부가세 10프로를 받도록 되어있습니다.
(본 가격은 2개이상 부터 입주변 전후(위와같은) 사진공개조건 가격입니다
공개를 원하지 않으시면, 개당 50만원에 진행가능합니다)
또한 라미네이트 전 치과의사의 진단,상담이 필요합니다.
라미네이트 원하는 치아에 충치가 있는 경우 충치제거나 충치치료후 라미네이트를 해야 할 수 있습니다.
시청역 연세예감치과 카카오톡 라미네이트이벤트 문의
: 아이디 yonseiyegam 친구추가 후 문의
또는 카카오톡연세예감치과 채널 문의->클릭
그외 여러 대표 라미네이트 케이스
![[시청역/광화문]라미네이트케이스:"치아가 작아서 옹졸해 보여요. 치아가 길어보이면 좋겠어요" 관련 이미지 9](https://pub-9f2bb3498faf4d1d8714b41df24753e3.r2.dev/content/clinics/archive/rseeanjxfu/naver_blog/yonseiyegam/assets/by_hash/736ff6b63523dd0ad3f22a1dae5e13dd414521d786f3e58a1ad57c3628e588d2.jpg)
![[시청역/광화문]라미네이트케이스:"치아가 작아서 옹졸해 보여요. 치아가 길어보이면 좋겠어요" 관련 이미지 10](https://pub-9f2bb3498faf4d1d8714b41df24753e3.r2.dev/content/clinics/archive/rseeanjxfu/naver_blog/yonseiyegam/assets/by_hash/28ec5ad9e52afc5546ee869e36010a58e90e04e4b01cc0c3d6474db5809710fe.jpg)
시청역 연세예감치과 홈페이지 ▼
![[시청역/광화문]라미네이트케이스:"치아가 작아서 옹졸해 보여요. 치아가 길어보이면 좋겠어요" 관련 이미지 11](https://pub-9f2bb3498faf4d1d8714b41df24753e3.r2.dev/content/clinics/archive/rseeanjxfu/naver_blog/yonseiyegam/assets/by_hash/d72953b3d293b671b5f9275d3a1cf4a7ffb1b8d05c05a2c72061b6f2042f96b7.png)
![[시청역/광화문]라미네이트케이스:"치아가 작아서 옹졸해 보여요. 치아가 길어보이면 좋겠어요" 관련 이미지 12](https://pub-9f2bb3498faf4d1d8714b41df24753e3.r2.dev/content/clinics/archive/rseeanjxfu/naver_blog/yonseiyegam/assets/by_hash/9e89279b3c00282e8d0e25c3f6a86cc977a3b4b782775fbcbfa6aa7ddcbfb07d.png)
![[시청역/광화문]라미네이트케이스:"치아가 작아서 옹졸해 보여요. 치아가 길어보이면 좋겠어요" 관련 이미지 13](https://pub-9f2bb3498faf4d1d8714b41df24753e3.r2.dev/content/clinics/archive/rseeanjxfu/naver_blog/yonseiyegam/assets/by_hash/a66471f7db53f8ef9c311fa82523ae2b1b5a1f0208acf6c65099779c683c7a8e.png)
![[시청역/광화문]라미네이트케이스:"치아가 작아서 옹졸해 보여요. 치아가 길어보이면 좋겠어요" 관련 이미지 14](https://pub-9f2bb3498faf4d1d8714b41df24753e3.r2.dev/content/clinics/archive/rseeanjxfu/naver_blog/yonseiyegam/assets/by_hash/67a2e28dd0a5addaba82184cb4b16ce90c00fc0077933dd966163322f8a273da.png)
![[시청역/광화문]라미네이트케이스:"치아가 작아서 옹졸해 보여요. 치아가 길어보이면 좋겠어요" 관련 이미지 15](https://pub-9f2bb3498faf4d1d8714b41df24753e3.r2.dev/content/clinics/archive/rseeanjxfu/naver_blog/yonseiyegam/assets/by_hash/5551535fd0bf42d6ff8090f491ddab9caf10d681ecca3a3fa07b63343c70e9d0.png)
더 보기
이 병원의 공개 콘텐츠를 계속 살펴보세요
출처 아카이브로 돌아가 더 많은 글을 보거나, 병원 프로필로 이동해 다른 공개 채널도 함께 비교해보세요.