연세예감치과(시청역)
[시청역/광화문/서대문]삐뚤삐뚤한 치아 무삭제라미네이트로 치아성형
안녕하세요 시청역 7번출구 삼성본관빌딩 맞은편 연세예감치과입니다! 대표적인 치아성형 케이스[옥니, 작은치아, 충치치아 등]를 몇 번 설명드렸는데요 오늘은 삐뚤삐뚤한 치아를 성형한 케이스를 살펴보겠습니다. 이번에도 환자분이 사진 공개에 동의한 케이스입니다. 치아가 고르지 못한 상태였고 처음 상담시 교정을...
아카이브 요약
이 페이지의 역할
연세예감치과(시청역) Yonsei Yegam Dental Clinic ヨンセイェガム歯科의 네이버 블로그 원문을 보존한 아카이브 페이지입니다. 치아성형 카테고리의 [시청역/광화문/서대문]삐뚤삐뚤한 치아 무삭제라미네이트로 치아성형 글을 통해 병원의 한국어 정보 제공 방식과 진료 관련 안내 톤을 확인할 수 있습니다.
안녕하세요 시청역 7번출구
삼성본관빌딩 맞은편 연세예감치과입니다!
대표적인 치아성형 케이스[옥니, 작은치아, 충치치아 등]를 몇 번 설명드렸는데요
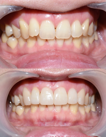
오늘은 삐뚤삐뚤한 치아를 성형한 케이스를 살펴보겠습니다.
![[시청역/광화문/서대문]삐뚤삐뚤한 치아 무삭제라미네이트로 치아성형 관련 이미지 1](https://pub-9f2bb3498faf4d1d8714b41df24753e3.r2.dev/content/clinics/archive/rseeanjxfu/naver_blog/yonseiyegam/assets/by_hash/3093adbf269d3c6c97887fdfa13a93d2694e97a88cc3e0dcf95457b2c7f54c4b.png)
이번에도 환자분이 사진 공개에 동의한 케이스입니다.
![[시청역/광화문/서대문]삐뚤삐뚤한 치아 무삭제라미네이트로 치아성형 관련 이미지 2](https://pub-9f2bb3498faf4d1d8714b41df24753e3.r2.dev/content/clinics/archive/rseeanjxfu/naver_blog/yonseiyegam/assets/by_hash/4af571c87bde6fa9f3139c67a228689e20519a09c302715b04534d61941cd6b5.jpg)
치아가 고르지 못한 상태였고
처음 상담시 교정을 추천드렸으나
환자분께서 최대한 빠른 방법을 원하셔서 교정은 원치 않으셨습니다.
![[시청역/광화문/서대문]삐뚤삐뚤한 치아 무삭제라미네이트로 치아성형 관련 이미지 3](https://pub-9f2bb3498faf4d1d8714b41df24753e3.r2.dev/content/clinics/archive/rseeanjxfu/naver_blog/yonseiyegam/assets/by_hash/1fc1c1b786ecf3b987366d9163a971377438120af1a16720c8aaa665a9b61416.jpg)
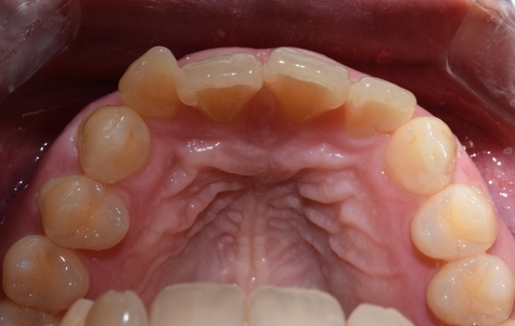
입천장쪽에서 찍은 사진을 보면 치아가 굉장히 삐뚤빼뚤한 것을 볼 수 있습니다.
저희 시청역 연세예감치과의 무삭제 라미네이트는
치아에 아주 얇은 라미네이트를 붙이는 것으로
특별히 제거해야 할 충치가 없는 한 치아의 삭제없이 진행합니다.
이 케이스는 아니지만 옥니(안으로 들어가 있는 치아)처럼 더 밖으로 내야하여 두께를 만들어줘야 하는 경우에도
더 두껍게 만들면 되므로 아주 얇게 부터 두껍게 까지 두께 조절이 가능한데요,
![[시청역/광화문/서대문]삐뚤삐뚤한 치아 무삭제라미네이트로 치아성형 관련 이미지 4](https://pub-9f2bb3498faf4d1d8714b41df24753e3.r2.dev/content/clinics/archive/rseeanjxfu/naver_blog/yonseiyegam/assets/by_hash/ad93c11232f3c9a36e1f23cd28401bb5eaf65c30ca91aae08a7fc4ed2792e30e.jpg)
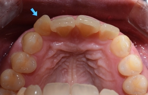
단, 이 케이스에서 화살표의 치아는 너무 많이 튀어 나와있었으므로
이 치아만 삭제를 진행하여 라미네이트가 아닌 크라운으로 진행하였습니다.
라미네이트로 두께를 0.1(거의 차이나지 않게)부터 무한대까지 늘릴 수는 있지만
무언가를 붙이면서 있던 치아의 두께를 줄이는 것은 삭제가 없이는 불가능 하죠.
따라서 위의 화살표 치아는 많이 깎아야 하기 때문에 라미네이트가 아닌 크라운을 씌우는 방식으로 진행하였구요
라미네이트를 붙이면 너무 두꺼워 지는것이 아닌지 걱정하시는 분들을 위해
크라운 과의 비교를 위해 사진을 보여드리면
크라운은 치아삭제를 통해 두께가 어느정도 있는 것에 비해
![[시청역/광화문/서대문]삐뚤삐뚤한 치아 무삭제라미네이트로 치아성형 관련 이미지 5](https://pub-9f2bb3498faf4d1d8714b41df24753e3.r2.dev/content/clinics/archive/rseeanjxfu/naver_blog/yonseiyegam/assets/by_hash/ca47a3a7adb82cded4bcc98fb2b15011b8faa3243f3902cad7ec2063a056df52.jpg)
라미네이트는 치아모델이 비칠만큼 얇습니다.
따라서 본인 치아를 삭제하지 않고도 가능한 것이죠.
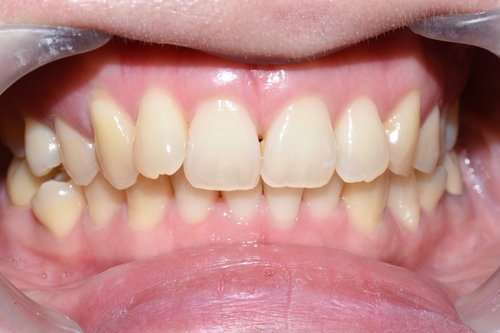
위에서 크라운과 라미네이트를 제거한 원래 치아상태는 아래 사진과 같습니다.
같은 치아모델인데도 라미네이트를 하기전과 한 후의 치아고르기에 굉장한 차이가 있습니다.
(같은 모형에 크라운과 라미네이트만 제거한 것입니다)
![[시청역/광화문/서대문]삐뚤삐뚤한 치아 무삭제라미네이트로 치아성형 관련 이미지 6](https://pub-9f2bb3498faf4d1d8714b41df24753e3.r2.dev/content/clinics/archive/rseeanjxfu/naver_blog/yonseiyegam/assets/by_hash/9453674af1cf6f257bd84e59a18634d7cb0cb0c6763fa7bc5ee14f7e1199d370.jpg)
![[시청역/광화문/서대문]삐뚤삐뚤한 치아 무삭제라미네이트로 치아성형 관련 이미지 7](https://pub-9f2bb3498faf4d1d8714b41df24753e3.r2.dev/content/clinics/archive/rseeanjxfu/naver_blog/yonseiyegam/assets/by_hash/4af571c87bde6fa9f3139c67a228689e20519a09c302715b04534d61941cd6b5.jpg)
![[시청역/광화문/서대문]삐뚤삐뚤한 치아 무삭제라미네이트로 치아성형 관련 이미지 8](https://pub-9f2bb3498faf4d1d8714b41df24753e3.r2.dev/content/clinics/archive/rseeanjxfu/naver_blog/yonseiyegam/assets/by_hash/88aea05fbd807e6969eb23a73ca228ef54ebb0a47616b4fa5c5b640ad58f483f.jpg)
윗니 라미네이트5개와 크라운 전후 입니다.
![[시청역/광화문/서대문]삐뚤삐뚤한 치아 무삭제라미네이트로 치아성형 관련 이미지 9](https://pub-9f2bb3498faf4d1d8714b41df24753e3.r2.dev/content/clinics/archive/rseeanjxfu/naver_blog/yonseiyegam/assets/by_hash/009e303dd3ece828f0ba680ca5c669de45340e9b2de9876decec796df351b473.jpg)
![[시청역/광화문/서대문]삐뚤삐뚤한 치아 무삭제라미네이트로 치아성형 관련 이미지 10](https://pub-9f2bb3498faf4d1d8714b41df24753e3.r2.dev/content/clinics/archive/rseeanjxfu/naver_blog/yonseiyegam/assets/by_hash/77d0d1771b3b6a5498aef19e5596b42441efbdceb48bff2a6e1bb005ef87e2c6.jpg)
윗니 라미네이트5개와 굉장히 많이 튀어나온 치아 1개 크라운으로 자연스럽고 고른 치아가 되었습니다.
연세예감치과의 무삭제라미네이트(프리네이트)의 장점은
치아삭제가 없어 시림이 없고
치아 색상도 본래치아보다 더 밝게 할 수 있으며
잇몸에 자극을 주지 않는 형태로 제작한다는 것입니다.
무삭제라미네이트를 위해서는
통상적으로 본뜨는 날, 붙이는 날 두 번 내원이 필요하며
간격은 일주일에서 10일정도로 생각하시면 됩니다!
또한
저희 연세예감치과는 공장형치과가 아니며
라미네이트 접착을 치과의사가 아닌 직원이 하는 일부치과와 달리
개개인에 맞게 라미네이트,프리네이트의 치아 접착, 조정을 치과의사가 직접 시행합니다.
앞니의 개선, 치료를 원한다면, 치과에서 치과의사와 상담을 거쳐
본인에게 맞는 적절한 치료방법을 찾아
아름다운 앞니, 가지시길 바랍니다!
시청역 연세예감치과 카카오톡 문의 : 아이디 yonseiyegam 친구추가 후 문의
또는 카카오톡채널 연세예감치과의원 검색 또는 채널 클릭 후 상담->클릭
아름다운 치아를 위해 해외에서도 찾아오는 시청역 연세예감치과
![[시청역/광화문/서대문]삐뚤삐뚤한 치아 무삭제라미네이트로 치아성형 관련 이미지 11](https://pub-9f2bb3498faf4d1d8714b41df24753e3.r2.dev/content/clinics/archive/rseeanjxfu/naver_blog/yonseiyegam/assets/by_hash/d72953b3d293b671b5f9275d3a1cf4a7ffb1b8d05c05a2c72061b6f2042f96b7.png)
![[시청역/광화문/서대문]삐뚤삐뚤한 치아 무삭제라미네이트로 치아성형 관련 이미지 12](https://pub-9f2bb3498faf4d1d8714b41df24753e3.r2.dev/content/clinics/archive/rseeanjxfu/naver_blog/yonseiyegam/assets/by_hash/9e89279b3c00282e8d0e25c3f6a86cc977a3b4b782775fbcbfa6aa7ddcbfb07d.png)
![[시청역/광화문/서대문]삐뚤삐뚤한 치아 무삭제라미네이트로 치아성형 관련 이미지 13](https://pub-9f2bb3498faf4d1d8714b41df24753e3.r2.dev/content/clinics/archive/rseeanjxfu/naver_blog/yonseiyegam/assets/by_hash/a66471f7db53f8ef9c311fa82523ae2b1b5a1f0208acf6c65099779c683c7a8e.png)
![[시청역/광화문/서대문]삐뚤삐뚤한 치아 무삭제라미네이트로 치아성형 관련 이미지 14](https://pub-9f2bb3498faf4d1d8714b41df24753e3.r2.dev/content/clinics/archive/rseeanjxfu/naver_blog/yonseiyegam/assets/by_hash/67a2e28dd0a5addaba82184cb4b16ce90c00fc0077933dd966163322f8a273da.png)
![[시청역/광화문/서대문]삐뚤삐뚤한 치아 무삭제라미네이트로 치아성형 관련 이미지 15](https://pub-9f2bb3498faf4d1d8714b41df24753e3.r2.dev/content/clinics/archive/rseeanjxfu/naver_blog/yonseiyegam/assets/by_hash/6821156977ad422e23d1d1e85279331b290ff1ac271068f40b4cbc6faf143881.png)
서울 시청역 연세예감치과는 서울특별시장 인증
서울시 중구 치과의원 중 유일의 서울특별시 의.료.관.광.협.력.기.관.입니다.
![[시청역/광화문/서대문]삐뚤삐뚤한 치아 무삭제라미네이트로 치아성형 관련 이미지 16](https://pub-9f2bb3498faf4d1d8714b41df24753e3.r2.dev/content/clinics/archive/rseeanjxfu/naver_blog/yonseiyegam/assets/by_hash/185f34945e946df6852c95da0b3fdc3540e65e18b087c74a680d644d1dfd73cc.jpg)
2022년 라미네이트이벤트 진행중입니다.
시청역 연세예감치과 카카오톡 문의 : 아이디 yonseiyegam 친구추가 후 문의
2023년 기준(2023년 12월31일까지만) 연세예감치과
라미네이트 가격: 치아 개당 50만원
2개이상 진행시 개당 48만원
4개이상 진행시 개당 45만원
라미네이트와 치아미백은 미용목적일 경우 법적으로 부가세 10프로를 추가로 받도록 되어있습니다.
(본 가격은 2개이상 부터 입주변 전후 사진공개조건 가격입니다. 사진공개를 원하지 않을경우 개당 45만원에 가능합니다.)
또한 라미네이트 전 치과의사의 진단,상담이 필요합니다.
지금까지 시청역, 광화문, 서대문, 신촌, 용산 등
서울 어디에서도 오기 쉬운 서울의 중심
시청역 연세예감치과에서 삐뚤빼뚤한 치아 라미네이트로 개선사례에 대해 알려드렸습니다!
유형별 라미네이트 대표사례 (벌어진 치아, 옥니, 작은 앞니)
치아가 길어보이고 싶은 환자분의 라미네이트 사례
https://blog.naver.com/yonseiyegam/222569321640
심한 옥니의 라미네이트 사례
더 보기
이 병원의 공개 콘텐츠를 계속 살펴보세요
출처 아카이브로 돌아가 더 많은 글을 보거나, 병원 프로필로 이동해 다른 공개 채널도 함께 비교해보세요.