아카이브 요약
이 페이지의 역할
연세예감치과의원의 네이버 블로그 원문을 보존한 아카이브 페이지입니다. 치아미백 카테고리의 [해외에서도 찾아오는 서울시청역/치과미백]커피를 많이 마셔서 치아가 착색이 됐어요. 치아미백?? 글을 통해 병원의 한국어 정보 제공 방식과 진료 관련 안내 톤을 확인할 수 있습니다.
원문 검증
필요하면 원문 블로그와 병원 프로필로 바로 이동해 문맥을 다시 확인할 수 있습니다.
출처 아카이브 열기아카이브된 블로그 글
연세예감치과의원 · Naver Blog
안녕하세요 해외에서도 바르고 예쁜 치아를 위해 찾아오는 서울의 중심에 위치한 시청역 연세예감치과입니다. 용산, 신촌, 광화문, 서대문역,서울역 등등 서울 어디에서도 오기 편한 서울 시청역에 위치하고 있습니다! 해외에서 특히 서구권에서 가장 인기있는 미용치과치료는 치아미백입니다! 오늘은 저희 치과에 매년 3년동안 멀...
게시일
2021년 12월 21일
원문 기준으로 확인된 발행일입니다.
카테고리
치아미백
원문 블로그 카테고리를 정리해 함께 표시합니다.
이미지 수
4
현재 아카이브에 연결된 이미지 수입니다.
아카이브 요약
연세예감치과의원의 네이버 블로그 원문을 보존한 아카이브 페이지입니다. 치아미백 카테고리의 [해외에서도 찾아오는 서울시청역/치과미백]커피를 많이 마셔서 치아가 착색이 됐어요. 치아미백?? 글을 통해 병원의 한국어 정보 제공 방식과 진료 관련 안내 톤을 확인할 수 있습니다.
원문 검증
필요하면 원문 블로그와 병원 프로필로 바로 이동해 문맥을 다시 확인할 수 있습니다.
출처 아카이브 열기안녕하세요
해외에서도 바르고 예쁜 치아를 위해 찾아오는
서울의 중심에 위치한 시청역 연세예감치과입니다.
용산, 신촌, 광화문, 서대문역,서울역 등등 서울 어디에서도 오기 편한
서울 시청역에 위치하고 있습니다!
![[해외에서도 찾아오는 서울시청역/치과미백]커피를 많이 마셔서 치아가 착색이 됐어요. 치아미백?? 관련 이미지 1](https://pub-9f2bb3498faf4d1d8714b41df24753e3.r2.dev/content/clinics/archive/rseeanjxfu/naver_blog/yonseiyegam/assets/by_hash/a0405a10bb182ace8db8d50190deb4fd97cc8baa9f10e2d0f9a5f7bf2721d8a9.jpg)
해외에서 특히 서구권에서 가장 인기있는 미용치과치료는
치아미백입니다!
오늘은 저희 치과에 매년 3년동안 멀리 분당에서 서울시청역까지 찾아오시는
외국인 환자분의 치아미백 전후 사진으로 미백 전후모습을 궁금해하시는 여러분들께 도움이 되고자합니다.
[사진공개에 동의하셨습니다]
커피를 하루에 5잔이상은 무조건 마셔서 착색이 많이 된다고 하셨구요
저희 치과에서 미백을 하실 때마다 매우 만족!하셔서
멀리 일부러 저희 치과까지 찾아오셔서
어느새 3년동안 일 년에 한 번 정도씩 미백을 진행하고 계십니다.
치아미백은 영구적인 치료는 아닌만큼 본인이 어떤 음식을 먹고 관리하느냐에 따라
지속기간이 개개인마다 다릅니다.
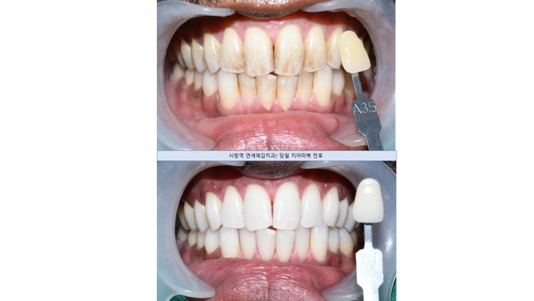
<커피를 하루에 5잔씩 마셔요>
3년 전 미백
![[해외에서도 찾아오는 서울시청역/치과미백]커피를 많이 마셔서 치아가 착색이 됐어요. 치아미백?? 관련 이미지 2](https://pub-9f2bb3498faf4d1d8714b41df24753e3.r2.dev/content/clinics/archive/rseeanjxfu/naver_blog/yonseiyegam/assets/by_hash/a7cfa11d708bf18e08ec77b30f67b29699e1b64abd03a75699d57bb19904e696.jpg)
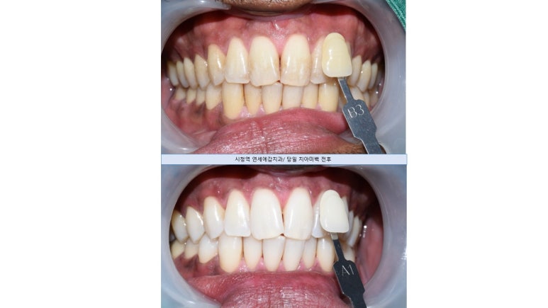
1년 후 미백
![[해외에서도 찾아오는 서울시청역/치과미백]커피를 많이 마셔서 치아가 착색이 됐어요. 치아미백?? 관련 이미지 3](https://pub-9f2bb3498faf4d1d8714b41df24753e3.r2.dev/content/clinics/archive/rseeanjxfu/naver_blog/yonseiyegam/assets/by_hash/d24263c4690abefb77bd28a454b6ef4e3bd324d87ef45a9fd287a10e8692411c.jpg)
2년 후 미백
![[해외에서도 찾아오는 서울시청역/치과미백]커피를 많이 마셔서 치아가 착색이 됐어요. 치아미백?? 관련 이미지 4](https://pub-9f2bb3498faf4d1d8714b41df24753e3.r2.dev/content/clinics/archive/rseeanjxfu/naver_blog/yonseiyegam/assets/by_hash/bad6650b54bfb4233189680307156d78039418d37dc5e1c1c50690795d52f747.jpg)
미백효과 지속을 위해서는
커피 등의 색깔있는 음식을 피해주시는 게 좋아요.
피할 수 없다면 커피를 하루에 5잔드시는
이분처럼 정기적으로 미백을 하셔야겠죠...
미백 비용은
2025년 12월 31일까지 2025년동안 적용가능한
원데이 치아미백 가격알려드립니다.
아직 코로나시기라서 가능한 파격적인 비용이죠!
몇 년 전 미백하신 분들은 깜짝 놀랄 가격이죠.
아래의 치아미백이벤트 가격설명 참고해주세요!
저희 치과에서는 파노라마 포함한 정밀 검진 후 미백 진행하고 있습니다.
치아 검진 비용은 국민건강보험비용 처리 되시고
치아미백은
치아미백 원데이로 하루에 2회 진행시 25만원 (부가세 10프로 별도)
치아미백 원데이로 하루에 3회 진행시 32만원 (부가세 10프로 별도)
저희 치과는 부작용 최소화를 위해
치아미백 전 충치 및 치아 전반에 대한 파노라마 포함한 검진을 필히 실시하며, 검진은 보험비용 추가됩니다.
치아미백은 미용진료이므로 피부과나 성형외과처럼 법적으로 부가세가 붙는 진료입니다.
또한 미백은 미용진료이므로 연말정산세액공제에 포함되지 않습니다.
-치아미백은 부가세를 받도록 법으로 정해져 있으며, 부가세 없이 진행하는 곳은 미백을 하도록 승인받지 못한 곳, 불법적인 재료 등 불법적인 루트로 진행되는 것입니다.
시림 등의 부작용을 최소화하기 위해 반드시 구강검진 후에 미백치료 진행합니다.
전문가미백의 전문가!
저희 시청역 연세예감치과 원장님은
2013년 겨울 동료치과의사 세 분과 직접 미백제 개발중인
오스템임플란트 공장에 가셔서
현재 사용하는 미백제 출시 전 개발하고 만드신 분으로 부터
상품 발매 전 이미 설명듣고 제품 보고 직접 시연까지 받기도하고 하기도 하고 오셨다고 합니다!
카카오톡 문의: 카카오톡 아이디 : yonseiyegam 친구추가 후 문의주세요.
*모든 치료는 개인차에 따라 부작용의 위험과 결과의 차이가 있으며 충분한 상담 후 치료받으시길 바랍니다.