아카이브 요약
이 페이지의 역할
연세예감치과의원의 네이버 블로그 원문을 보존한 아카이브 페이지입니다. 치아성형 카테고리의 [시청역 치과]앞니가 튀어나왔어요&부러졌어요 ->앞니를 바르고 예쁘게,앞니 크라운 글을 통해 병원의 한국어 정보 제공 방식과 진료 관련 안내 톤을 확인할 수 있습니다.
원문 검증
필요하면 원문 블로그와 병원 프로필로 바로 이동해 문맥을 다시 확인할 수 있습니다.
출처 아카이브 열기아카이브된 블로그 글
연세예감치과의원 · Naver Blog
안녕하세요 서울 시청역 7번출구 삼성본관빌딩 바로 맞은편에 위치한 시청역 연세예감치과입니다. 시청역에 위치하여 용산,신촌,광화문,서대문역 등등 서울어디에서도 오기 쉬운 서울 중심에 위치하고 있습니다. 오늘은 부러진 앞니의 치아 크라운 사례를 보여드리겠습니다 환자분은 넘어져서 앞니가 부러진 상태로 오셨습니다. 아무래...
게시일
2022년 1월 12일
원문 기준으로 확인된 발행일입니다.
카테고리
치아성형
원문 블로그 카테고리를 정리해 함께 표시합니다.
이미지 수
5
현재 아카이브에 연결된 이미지 수입니다.
아카이브 요약
연세예감치과의원의 네이버 블로그 원문을 보존한 아카이브 페이지입니다. 치아성형 카테고리의 [시청역 치과]앞니가 튀어나왔어요&부러졌어요 ->앞니를 바르고 예쁘게,앞니 크라운 글을 통해 병원의 한국어 정보 제공 방식과 진료 관련 안내 톤을 확인할 수 있습니다.
원문 검증
필요하면 원문 블로그와 병원 프로필로 바로 이동해 문맥을 다시 확인할 수 있습니다.
출처 아카이브 열기안녕하세요
서울 시청역 7번출구
삼성본관빌딩 바로 맞은편에 위치한 시청역 연세예감치과입니다.
시청역에 위치하여 용산,신촌,광화문,서대문역 등등
서울어디에서도 오기 쉬운 서울 중심에 위치하고 있습니다.
오늘은 부러진 앞니의 치아 크라운 사례를 보여드리겠습니다
환자분은 넘어져서 앞니가 부러진 상태로 오셨습니다.
아무래도 겨울이고 미끄러운 길이 많다보니 겨울마다 앞니가 부러져 오시는 분들이 많죠.
그리고 환자분은 앞니가 튀어나온 스타일이라
튀어나왔으니 넘어져도 부러지기 쉬웠을 것 같습니다.
![[시청역 치과]앞니가 튀어나왔어요&부러졌어요 ->앞니를 바르고 예쁘게,앞니 크라운 관련 이미지 1](https://pub-9f2bb3498faf4d1d8714b41df24753e3.r2.dev/content/clinics/archive/rseeanjxfu/naver_blog/yonseiyegam/assets/by_hash/06d29183de77343d9a43d2208fb84996dbb14602d28c747e4986118b820fc15e.jpg)
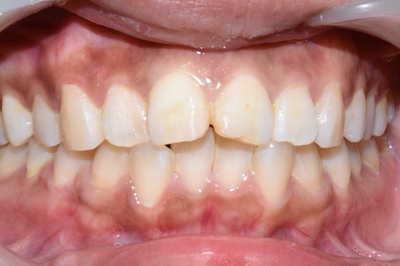
위와같이 부러진 상태로 오셔서 이 상태로 다닐 순 없으니 당일에는 레진으로 임시로 떼워드렸습니다.
아래 사진이 임시로 떼워서 보내드릴 때 찍은 사진인데 임시로 잠깐 쓰는거라 급하게 하느라 이쁘진 않습니다.
![[시청역 치과]앞니가 튀어나왔어요&부러졌어요 ->앞니를 바르고 예쁘게,앞니 크라운 관련 이미지 2](https://pub-9f2bb3498faf4d1d8714b41df24753e3.r2.dev/content/clinics/archive/rseeanjxfu/naver_blog/yonseiyegam/assets/by_hash/be4ad96c001c79fa7c984a4ab1641c2f71282f8cc5138fa79c698a05a992a22c.jpg)
만약 깨진 부위가 작다면 레진으로 떼우는 것도 가능하겠지만
부위가 크다면 씹는 힘 깨무는 힘 등이 가해지면 금방 떨어질 수 밖에 없습니다.
![[시청역 치과]앞니가 튀어나왔어요&부러졌어요 ->앞니를 바르고 예쁘게,앞니 크라운 관련 이미지 3](https://pub-9f2bb3498faf4d1d8714b41df24753e3.r2.dev/content/clinics/archive/rseeanjxfu/naver_blog/yonseiyegam/assets/by_hash/b3c7083addcbc4229108548e7aa8c24b05e61a3a8691e8a43fbb98d7538c60f0.jpg)
그래서 환자분은 대문이 앞니 2개 크라운을 하였구요
하는 김에 조금더 이쁘게 색깔도 환하게 하고, 삐뚤었던 모양도 바르게 만들어 드려서
환자분의 만족감이 매우 컸습니다!
대문이가 환해지니 나머지 치아도 그 전보다 전체적으로 환해지는 느낌입니다.
![[시청역 치과]앞니가 튀어나왔어요&부러졌어요 ->앞니를 바르고 예쁘게,앞니 크라운 관련 이미지 4](https://pub-9f2bb3498faf4d1d8714b41df24753e3.r2.dev/content/clinics/archive/rseeanjxfu/naver_blog/yonseiyegam/assets/by_hash/06d29183de77343d9a43d2208fb84996dbb14602d28c747e4986118b820fc15e.jpg)
![[시청역 치과]앞니가 튀어나왔어요&부러졌어요 ->앞니를 바르고 예쁘게,앞니 크라운 관련 이미지 5](https://pub-9f2bb3498faf4d1d8714b41df24753e3.r2.dev/content/clinics/archive/rseeanjxfu/naver_blog/yonseiyegam/assets/by_hash/6327df5a417bf19e5e07fca73ad0fe0f1f63756f8c32a33ecf3029d90f7718d7.jpg)
앞니가 깨져서 또는 삐뚤어서 고민인 분들은
앞니 크라운 치료에 대해서 위 케이스로 참고하시면 될 것 같습니다.
▼삐뚠 앞니 크라운과 무삭제라미네이트 케이스
궁금한 점이 있으시면
카카오톡 ID: yonseiyegam 문의주시거나
카톡 플러스친구 문의: 카카오톡채널 - 연세예감치과카톡채널 클릭
또는 아래 지도 클릭하시어 네이버 톡톡으로 문의주셔도 됩니다.
전화: 02-318-8275