아카이브 요약
이 페이지의 역할
연세예감치과의원의 네이버 블로그 원문을 보존한 아카이브 페이지입니다. 임플란트 카테고리의 [서울시청역/남대문]어금니임플란트+상악동거상술(뼈이식):실제케이스 글을 통해 병원의 한국어 정보 제공 방식과 진료 관련 안내 톤을 확인할 수 있습니다.
원문 검증
필요하면 원문 블로그와 병원 프로필로 바로 이동해 문맥을 다시 확인할 수 있습니다.
출처 아카이브 열기아카이브된 블로그 글
연세예감치과의원 · Naver Blog
안녕하세요 서울 시청역7번출구 남대문방향 (시청역7번출구에서 직진 도보3분) 삼성본관 바로 맞은편 연세예감치과입니다! 서울역, 광화문 등에서도 오기 쉬운 위치입니다! 오늘은 임플란트와 크라운을 완성하신 환자분의 케이스를 소개하고자 합니다. 치과 공포증이 있으신 환자분으로 포 덮는 것도 힘들어하시는 환자분이었습니다....
게시일
2022년 1월 24일
원문 기준으로 확인된 발행일입니다.
카테고리
임플란트
원문 블로그 카테고리를 정리해 함께 표시합니다.
이미지 수
17
현재 아카이브에 연결된 이미지 수입니다.
아카이브 요약
연세예감치과의원의 네이버 블로그 원문을 보존한 아카이브 페이지입니다. 임플란트 카테고리의 [서울시청역/남대문]어금니임플란트+상악동거상술(뼈이식):실제케이스 글을 통해 병원의 한국어 정보 제공 방식과 진료 관련 안내 톤을 확인할 수 있습니다.
원문 검증
필요하면 원문 블로그와 병원 프로필로 바로 이동해 문맥을 다시 확인할 수 있습니다.
출처 아카이브 열기안녕하세요
서울 시청역7번출구 남대문방향 (시청역7번출구에서 직진 도보3분)
삼성본관 바로 맞은편 연세예감치과입니다!
서울역, 광화문 등에서도 오기 쉬운 위치입니다!
오늘은 임플란트와 크라운을 완성하신 환자분의 케이스를 소개하고자 합니다.
치과 공포증이 있으신 환자분으로 포 덮는 것도 힘들어하시는 환자분이었습니다.
오랜 시간 치아가 방치되어 아래 파노라마와 같은 모습이었습니다.
큰 위쪽 어금니는 3개가 없고 하나는 매우 흔들리는 상태,
아래쪽 큰 어금니는 파절되고 썩어있는 상태였습니다.
![[서울시청역/남대문]어금니임플란트+상악동거상술(뼈이식):실제케이스 관련 이미지 1](https://pub-9f2bb3498faf4d1d8714b41df24753e3.r2.dev/content/clinics/archive/rseeanjxfu/naver_blog/yonseiyegam/assets/by_hash/b20313194ecc334ef0553408d6aeeb1bdfa302de8daec196c785c8a5ba197c19.jpg)
![[서울시청역/남대문]어금니임플란트+상악동거상술(뼈이식):실제케이스 관련 이미지 2](https://pub-9f2bb3498faf4d1d8714b41df24753e3.r2.dev/content/clinics/archive/rseeanjxfu/naver_blog/yonseiyegam/assets/by_hash/f3a7ec1f447d289c3b5b885c72b5cc5f52d0cc075c5cbf5d7bbc4d70d4fd0022.png)
엑스레이 사진에서 길이측정을 해보면 위쪽 어금니쪽에 뼈 수직길이가 2~3 미리 정도밖에 남지 않아
보통 심는 8~10미리의 임플란트를 심기위해 상악동수술(상악동거상술과 뼈이식)도 해야하는 상태였습니다.
![[서울시청역/남대문]어금니임플란트+상악동거상술(뼈이식):실제케이스 관련 이미지 3](https://pub-9f2bb3498faf4d1d8714b41df24753e3.r2.dev/content/clinics/archive/rseeanjxfu/naver_blog/yonseiyegam/assets/by_hash/f28c6b56cc02c2ada9e3fd181ef74ece518c98ca9dcbbceb0a3ff1a17474599d.jpg)
![[서울시청역/남대문]어금니임플란트+상악동거상술(뼈이식):실제케이스 관련 이미지 4](https://pub-9f2bb3498faf4d1d8714b41df24753e3.r2.dev/content/clinics/archive/rseeanjxfu/naver_blog/yonseiyegam/assets/by_hash/0e7e4a7fc66120a781a1356af89af10efa1f83d9fd81d29df36e420ef9514b77.jpg)
이런식으로 파절된 치아, 충치치아도 많았구요.
![[서울시청역/남대문]어금니임플란트+상악동거상술(뼈이식):실제케이스 관련 이미지 5](https://pub-9f2bb3498faf4d1d8714b41df24753e3.r2.dev/content/clinics/archive/rseeanjxfu/naver_blog/yonseiyegam/assets/by_hash/15c45dedd610f23e51e496d8aeb944b55dea38c6049b579e75fec54fbf96d7fc.jpg)
정확한 임플란트 식립을 위해 3차원 ct를 사용합니다.
3차원 CT로 임플란트를 심을 위치를 3차원적으로 분석한 후 임플란트를 심습니다.
![[서울시청역/남대문]어금니임플란트+상악동거상술(뼈이식):실제케이스 관련 이미지 6](https://pub-9f2bb3498faf4d1d8714b41df24753e3.r2.dev/content/clinics/archive/rseeanjxfu/naver_blog/yonseiyegam/assets/by_hash/9b2ca467e44759cbc8f6c596a19720f77a925dd08779277a872f0878a541bb8f.jpg)
![[서울시청역/남대문]어금니임플란트+상악동거상술(뼈이식):실제케이스 관련 이미지 7](https://pub-9f2bb3498faf4d1d8714b41df24753e3.r2.dev/content/clinics/archive/rseeanjxfu/naver_blog/yonseiyegam/assets/by_hash/97631661af0dc02e80657fd7d6d9b6ab2d4316948a295652fd24690d0a8dec37.jpg)
![[서울시청역/남대문]어금니임플란트+상악동거상술(뼈이식):실제케이스 관련 이미지 8](https://pub-9f2bb3498faf4d1d8714b41df24753e3.r2.dev/content/clinics/archive/rseeanjxfu/naver_blog/yonseiyegam/assets/by_hash/7fe8ca4eb760a1bafeb468a7c046aada2569c49d21f001536cd288807cc45f93.jpg)
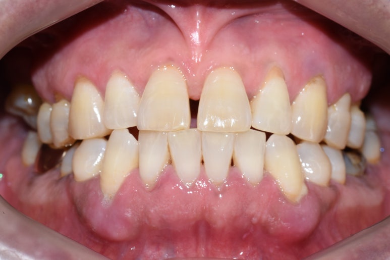
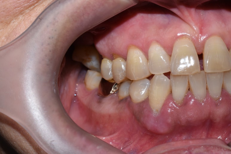
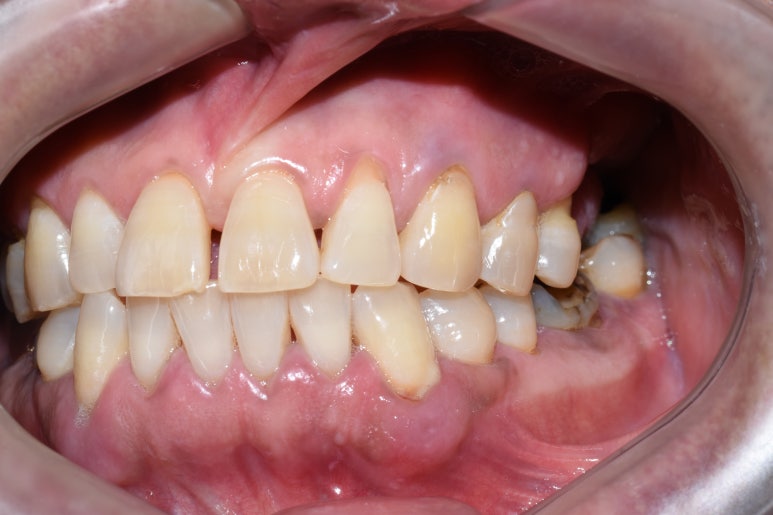
↑치료 전 사진입니다. 큰 어금니 쪽에 치아들이 성하지 않아
씹기가 힘든 상태입니다.
![[서울시청역/남대문]어금니임플란트+상악동거상술(뼈이식):실제케이스 관련 이미지 9](https://pub-9f2bb3498faf4d1d8714b41df24753e3.r2.dev/content/clinics/archive/rseeanjxfu/naver_blog/yonseiyegam/assets/by_hash/b97000979e6423df6e9fb764c71b3f5c45dba30d4d89015ea83c9b35ee8b5322.jpg)
![[서울시청역/남대문]어금니임플란트+상악동거상술(뼈이식):실제케이스 관련 이미지 10](https://pub-9f2bb3498faf4d1d8714b41df24753e3.r2.dev/content/clinics/archive/rseeanjxfu/naver_blog/yonseiyegam/assets/by_hash/60a1520fda982c5d095124227a409ec7f15e06cc92977235d9fdd39c6a6fd104.jpg)
![[서울시청역/남대문]어금니임플란트+상악동거상술(뼈이식):실제케이스 관련 이미지 11](https://pub-9f2bb3498faf4d1d8714b41df24753e3.r2.dev/content/clinics/archive/rseeanjxfu/naver_blog/yonseiyegam/assets/by_hash/fdd9eb43257c02c107e9acf406e25e1e00fe9871b2e4c78f05b69bd8127b5dbd.jpg)
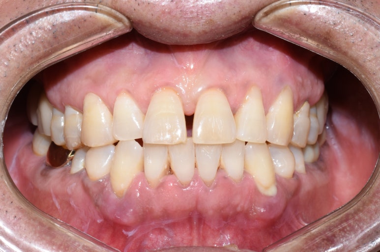
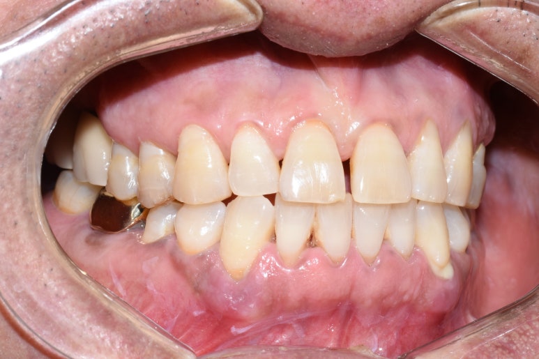
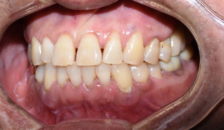
↑치료후에는 큰 어금니쪽 치아들을 윗니어금니 임플란트, 아랫니는 크라운 등으로 회복시켜
양쪽으로 잘 씹을 수 있게 되었습니다.
공포증이 있던 환자분이라 치과치료를 미뤄오셨던
저희 치과가 있는 시청역 근처 직장인 분인데
저희 치과에서 네비게이션 임플란트, 수압거상 등등으로
어려운 수술도 빠르고 쉽고 편안하게 임플란트 와 다른 치료등을 받으셨고
감사하다며 치료 끝나시고 이렇게 선물도 주셨답니다!
![[서울시청역/남대문]어금니임플란트+상악동거상술(뼈이식):실제케이스 관련 이미지 12](https://pub-9f2bb3498faf4d1d8714b41df24753e3.r2.dev/content/clinics/archive/rseeanjxfu/naver_blog/yonseiyegam/assets/by_hash/b2aa2eab28283ad0be32b2e5f0401d9f30d35f2f2e01099d38528e884b49d562.jpg)
저희 연세예감치과는 주변 시청역 광화문 근처 직장인들이
환자분으로 많이 오셔서 특별히 연차를 내지않고도
내비게이션 임플란트 등을 이용하여 빠르고 정확하게, 빠른 회복이 되는 치료를 하는 것을 목표로 하고 있습니다!
![[서울시청역/남대문]어금니임플란트+상악동거상술(뼈이식):실제케이스 관련 이미지 13](https://pub-9f2bb3498faf4d1d8714b41df24753e3.r2.dev/content/clinics/archive/rseeanjxfu/naver_blog/yonseiyegam/assets/by_hash/5e6e0810555fcfad540f4c36d273f0baac590f98898a52ef82077ecb8b8dda00.jpg)
![[서울시청역/남대문]어금니임플란트+상악동거상술(뼈이식):실제케이스 관련 이미지 14](https://pub-9f2bb3498faf4d1d8714b41df24753e3.r2.dev/content/clinics/archive/rseeanjxfu/naver_blog/yonseiyegam/assets/by_hash/f51cf38df34cca80546230da19204d340101c4657dac2fa522bd476bbb56619a.jpg)
![[서울시청역/남대문]어금니임플란트+상악동거상술(뼈이식):실제케이스 관련 이미지 15](https://pub-9f2bb3498faf4d1d8714b41df24753e3.r2.dev/content/clinics/archive/rseeanjxfu/naver_blog/yonseiyegam/assets/by_hash/e351da27da405ad37060d1bf5ab48b71da6656d327601aab82f3f2c165113a42.jpg)
![[서울시청역/남대문]어금니임플란트+상악동거상술(뼈이식):실제케이스 관련 이미지 16](https://pub-9f2bb3498faf4d1d8714b41df24753e3.r2.dev/content/clinics/archive/rseeanjxfu/naver_blog/yonseiyegam/assets/by_hash/7baf27518709d938f6ca6482b95a80ca3f0d7df19fe03330102768636091f92e.jpg)
![[서울시청역/남대문]어금니임플란트+상악동거상술(뼈이식):실제케이스 관련 이미지 17](https://pub-9f2bb3498faf4d1d8714b41df24753e3.r2.dev/content/clinics/archive/rseeanjxfu/naver_blog/yonseiyegam/assets/by_hash/cf01331d48893d6110e0c12ab7d2212f80ef6d37ad4748d52480e9f31dd76641.jpg)