아카이브 요약
이 페이지의 역할
연세예감치과의원의 네이버 블로그 원문을 보존한 아카이브 페이지입니다. 충치치료 카테고리의 서대문역 지르코니아 크라운, 연세예감치과에서 알려드려요[실제환자사례] 글을 통해 병원의 한국어 정보 제공 방식과 진료 관련 안내 톤을 확인할 수 있습니다.
원문 검증
필요하면 원문 블로그와 병원 프로필로 바로 이동해 문맥을 다시 확인할 수 있습니다.
출처 아카이브 열기아카이브된 블로그 글
연세예감치과의원 · Naver Blog
안녕하세요 시청역 7번출구 직진 도보3분 삼성본관빌딩 바로 맞은편에 위치한 연세예감치과입니다. 시청역에 위치하여 신촌,서대문역,광화문,서울역 등에서도 오기 쉽습니다! 오늘은 많은 환자분들이 궁금해 하시는 지르코니아 크라운에 대해 설명드리려고 합니다. 연세예감치과를 소개 또는 추천으로 방문한 해외 환자분들 저희 환자...
게시일
2022년 2월 3일
원문 기준으로 확인된 발행일입니다.
카테고리
충치치료
원문 블로그 카테고리를 정리해 함께 표시합니다.
이미지 수
12
현재 아카이브에 연결된 이미지 수입니다.
아카이브 요약
연세예감치과의원의 네이버 블로그 원문을 보존한 아카이브 페이지입니다. 충치치료 카테고리의 서대문역 지르코니아 크라운, 연세예감치과에서 알려드려요[실제환자사례] 글을 통해 병원의 한국어 정보 제공 방식과 진료 관련 안내 톤을 확인할 수 있습니다.
원문 검증
필요하면 원문 블로그와 병원 프로필로 바로 이동해 문맥을 다시 확인할 수 있습니다.
출처 아카이브 열기안녕하세요
시청역 7번출구 직진 도보3분
삼성본관빌딩 바로 맞은편에 위치한
연세예감치과입니다.
시청역에 위치하여 신촌,서대문역,광화문,서울역 등에서도 오기 쉽습니다!
오늘은 많은 환자분들이 궁금해 하시는 지르코니아 크라운에 대해 설명드리려고 합니다.
![서대문역 지르코니아 크라운, 연세예감치과에서 알려드려요[실제환자사례] 관련 이미지 1](https://pub-9f2bb3498faf4d1d8714b41df24753e3.r2.dev/content/clinics/archive/rseeanjxfu/naver_blog/yonseiyegam/assets/by_hash/7baf27518709d938f6ca6482b95a80ca3f0d7df19fe03330102768636091f92e.jpg)
연세예감치과를 소개 또는 추천으로 방문한 해외 환자분들
저희 환자분들도 한국의,그리고 저희 치과의 지르코니아 크라운 기술이 뛰어나다 보니
해외에서도 일부러 한국에 관광왔을 때 치료를 받고 가기도 합니다.
치아 깨진 부분이 커서, 충치 범위가 커서, 또는 신경치료 후, 크라운을 해야되는 경우가 많은데요,
지르코니아 크라운은
기존 일반메탈의 한계인 심미성과 강도를 보완한 지르코니아를 이용하고 있고
금을 사용하는 골드 크라운과 달리 심미적이며 치아 색으로 만들어지기때문에 자연치아만큼 자연스럽습니다.
예전에는 크라운은 금색이 보이든 말든 골드(금) 크라운을 하는 경우가 많았다면
(금크라운이 갈려서 구멍이 나는 경우도 흔히 꽤 볼 수 있으니까요)
요즘은 기술과 물성의 발전으로 인해 치아색이 나서 심미적이기도 한 지르코니아 크라운을
대부분의 치과에서 많이 권하는 추세입니다.
깨진 어금니 치아를 지르코니아크라운으로 씌운 사례입니다.
![서대문역 지르코니아 크라운, 연세예감치과에서 알려드려요[실제환자사례] 관련 이미지 2](https://pub-9f2bb3498faf4d1d8714b41df24753e3.r2.dev/content/clinics/archive/rseeanjxfu/naver_blog/yonseiyegam/assets/by_hash/334b1a7a82dab9a53b1414db5af5a70a83d76f13cdf213a95c83fcfe5c28489c.jpg)
![서대문역 지르코니아 크라운, 연세예감치과에서 알려드려요[실제환자사례] 관련 이미지 3](https://pub-9f2bb3498faf4d1d8714b41df24753e3.r2.dev/content/clinics/archive/rseeanjxfu/naver_blog/yonseiyegam/assets/by_hash/1d80fa4c98b39b93d58eaeff294143e4af5d9b55978ea1d999217b31539ccbc2.jpg)
깨지고 썩은 치아2개를 지르코니아(어금니용) 2개로.
깨진 앞니 치아를 지르코니아크라운으로 씌운 사례입니다.
![서대문역 지르코니아 크라운, 연세예감치과에서 알려드려요[실제환자사례] 관련 이미지 4](https://pub-9f2bb3498faf4d1d8714b41df24753e3.r2.dev/content/clinics/archive/rseeanjxfu/naver_blog/yonseiyegam/assets/by_hash/bdf585c410e3a3f39b17804f5dfec4f671ce57985638e3fa70cb73968dcd3cb4.jpg)
지르코니아 크라운으로 씌운 치아와 대칭되는 치아가 거의 차이나지 않게 되어 3년째 환자분 만족하고 계십니다.
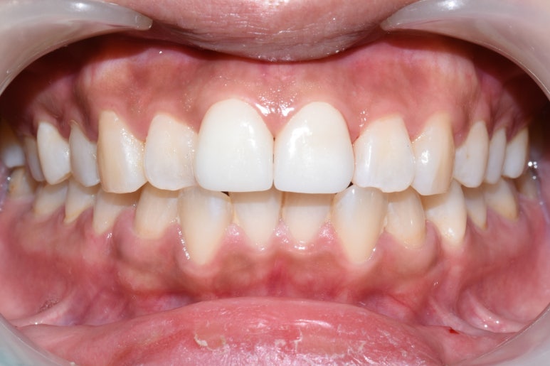
이번에는 넘어져서 깨진 앞니 치아2개를 지르코니아크라운으로 씌운 사례입니다.
크라운으로 하는김에 모양과 색까지 개선시켜
깔끔한 이미지가 되어 환자분이 많이 만족하셨습니다.
![서대문역 지르코니아 크라운, 연세예감치과에서 알려드려요[실제환자사례] 관련 이미지 5](https://pub-9f2bb3498faf4d1d8714b41df24753e3.r2.dev/content/clinics/archive/rseeanjxfu/naver_blog/yonseiyegam/assets/by_hash/d423924e944a172afabe4390b46174eeeafc6704f921d50379a95cc08d5d4d36.jpg)
넘어져서 깨진 앞니
![서대문역 지르코니아 크라운, 연세예감치과에서 알려드려요[실제환자사례] 관련 이미지 6](https://pub-9f2bb3498faf4d1d8714b41df24753e3.r2.dev/content/clinics/archive/rseeanjxfu/naver_blog/yonseiyegam/assets/by_hash/eae3ca04a3b55241adfd2dd497b0fa06264817e2844e016ee1820f021c3c24c3.jpg)
![서대문역 지르코니아 크라운, 연세예감치과에서 알려드려요[실제환자사례] 관련 이미지 7](https://pub-9f2bb3498faf4d1d8714b41df24753e3.r2.dev/content/clinics/archive/rseeanjxfu/naver_blog/yonseiyegam/assets/by_hash/cd8e68f6894f0fc341a21b299009c6f2fb750e54e9c284cb4b3ac54db97d1163.jpg)
깨진 앞니 임시로 떼워놓은 모습과 -> 지르코니아 크라운 2개까지 완성한 모습.
깨ㅣ진 앞니2개를 지르코니아 크라운으로 하시면서 모양과 색도 개선되었습니다.
얼마전에는 원장님 동기인 치과의사 분도
저희 치과에 직접 오셔서 크라운 치료를 받으셨는데요,
(본인 근무하는 치과에서 안받으시고...)
그만큼 치과의사선생님이 보기에도 저희 치과가 믿을만 하다는 증거 아닐까요?
![서대문역 지르코니아 크라운, 연세예감치과에서 알려드려요[실제환자사례] 관련 이미지 8](https://pub-9f2bb3498faf4d1d8714b41df24753e3.r2.dev/content/clinics/archive/rseeanjxfu/naver_blog/yonseiyegam/assets/by_hash/281863d5c8fc0248ab92bee1048ebaa195293346a9505b72d764a5c808cccedc.jpg)
치과의사(동기분) 치료중인 원장님
보건복지부.인증. 전문의가 진료하는 시청역 연세예감치과.
![서대문역 지르코니아 크라운, 연세예감치과에서 알려드려요[실제환자사례] 관련 이미지 9](https://pub-9f2bb3498faf4d1d8714b41df24753e3.r2.dev/content/clinics/archive/rseeanjxfu/naver_blog/yonseiyegam/assets/by_hash/a40a3aac38ada6943720137ec0c2915e863ac738b752dd82ac08d2a196bae9f6.jpg)
시청역치과
![서대문역 지르코니아 크라운, 연세예감치과에서 알려드려요[실제환자사례] 관련 이미지 10](https://pub-9f2bb3498faf4d1d8714b41df24753e3.r2.dev/content/clinics/archive/rseeanjxfu/naver_blog/yonseiyegam/assets/by_hash/e8f2475e734a0fce79dfaf0eb218ff1776b5ec0e7625d8a923a8a18f5b41a69e.jpg)
![서대문역 지르코니아 크라운, 연세예감치과에서 알려드려요[실제환자사례] 관련 이미지 11](https://pub-9f2bb3498faf4d1d8714b41df24753e3.r2.dev/content/clinics/archive/rseeanjxfu/naver_blog/yonseiyegam/assets/by_hash/867cff8a82d67b52634b8d6c99b2344ef3eee9a41241d710a1acfbbef2a8efd1.jpg)
![서대문역 지르코니아 크라운, 연세예감치과에서 알려드려요[실제환자사례] 관련 이미지 12](https://pub-9f2bb3498faf4d1d8714b41df24753e3.r2.dev/content/clinics/archive/rseeanjxfu/naver_blog/yonseiyegam/assets/by_hash/7516cd542cebe781f9cd481e7ca334e4b9ea14eb2e4316c976256b5fa4de2712.jpg)
치과 크라운치료는 해외에서도 찾아오는 시청역 연세예감치과!
시청역&광화문 직장인, 근처 남대문시장 사장님들, 서울 전역, 지방에서 뿐만 아니라
해외에서도 찾아오는 연세예감치과에서 알려드린 지르코니아 크라운이었습니다!