아카이브 요약
이 페이지의 역할
연세예감치과의원의 네이버 블로그 원문을 보존한 아카이브 페이지입니다. 임플란트 카테고리의 [서울시청역/서울역] 앞니 임플란트 가능할까요? 앞니 내비게이션임플란트 글을 통해 병원의 한국어 정보 제공 방식과 진료 관련 안내 톤을 확인할 수 있습니다.
원문 검증
필요하면 원문 블로그와 병원 프로필로 바로 이동해 문맥을 다시 확인할 수 있습니다.
출처 아카이브 열기아카이브된 블로그 글
연세예감치과의원 · Naver Blog
안녕하세요 서울 시청역 연세예감치과입니다! 서울 시청역 7번출구 도보 4분거리로, 삼성본관빌딩 바로 맞은편에 위치합니다! 지방에서도 오시기 쉽게 서울역, 광화문 에서 버스 1정거장 정도 거리로 매우 가까우며, 서울특별시에서도 현장심사까지 해서 인증한 해외에도 추천하는 의료기관 치과입니다! 오늘은 앞니 임플란트에 대해...
게시일
2022년 2월 12일
원문 기준으로 확인된 발행일입니다.
카테고리
임플란트
원문 블로그 카테고리를 정리해 함께 표시합니다.
이미지 수
15
현재 아카이브에 연결된 이미지 수입니다.
아카이브 요약
연세예감치과의원의 네이버 블로그 원문을 보존한 아카이브 페이지입니다. 임플란트 카테고리의 [서울시청역/서울역] 앞니 임플란트 가능할까요? 앞니 내비게이션임플란트 글을 통해 병원의 한국어 정보 제공 방식과 진료 관련 안내 톤을 확인할 수 있습니다.
원문 검증
필요하면 원문 블로그와 병원 프로필로 바로 이동해 문맥을 다시 확인할 수 있습니다.
출처 아카이브 열기안녕하세요
서울 시청역 연세예감치과입니다!
서울 시청역 7번출구 도보 4분거리로, 삼성본관빌딩 바로 맞은편에 위치합니다!
지방에서도 오시기 쉽게 서울역, 광화문 에서 버스 1정거장 정도 거리로 매우 가까우며,
서울특별시에서도 현장심사까지 해서 인증한 해외에도 추천하는 의료기관 치과입니다!
![[서울시청역/서울역] 앞니 임플란트 가능할까요? 앞니 내비게이션임플란트 관련 이미지 1](https://pub-9f2bb3498faf4d1d8714b41df24753e3.r2.dev/content/clinics/archive/rseeanjxfu/naver_blog/yonseiyegam/assets/by_hash/db92082ff88ab251e71a338d38e492049f2da326f2ff54eae14e03e8a080eb30.jpg)
![[서울시청역/서울역] 앞니 임플란트 가능할까요? 앞니 내비게이션임플란트 관련 이미지 2](https://pub-9f2bb3498faf4d1d8714b41df24753e3.r2.dev/content/clinics/archive/rseeanjxfu/naver_blog/yonseiyegam/assets/by_hash/64ff0ec1d8f7fd1b0d8cf74345e94f479295fcdf4b88c225d87c9a68723679bc.jpg)
오늘은 앞니 임플란트에 대해 소개해드리려고 합니다.
간혹 앞니는 인플란트를 하면 티가 나지 않을까?
부자연스럽지는 않을까?
고민하시는 환자분들이 있는 것 같습니다.
그런 걱정하시는 분들을 위해
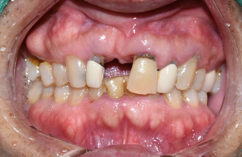
아래 실제 저희 치과에서 진행한 환자분의 앞니 임플란트 케이스를 살펴보도록 하겠습니다.
(사진 공개에 동의한 환자분입니다.)
![[서울시청역/서울역] 앞니 임플란트 가능할까요? 앞니 내비게이션임플란트 관련 이미지 3](https://pub-9f2bb3498faf4d1d8714b41df24753e3.r2.dev/content/clinics/archive/rseeanjxfu/naver_blog/yonseiyegam/assets/by_hash/8b9967a985bd764f3c953728a06b6f9a3c791325f26512e0ee53ddae6564018f.jpg)
![[서울시청역/서울역] 앞니 임플란트 가능할까요? 앞니 내비게이션임플란트 관련 이미지 4](https://pub-9f2bb3498faf4d1d8714b41df24753e3.r2.dev/content/clinics/archive/rseeanjxfu/naver_blog/yonseiyegam/assets/by_hash/07196d4a4278f5471aa3b1def9e81ec0ce41317e38db2956f0da5849a3003be2.jpg)
이 환자분의 경우
대문이(앞니) 중 하나가 없고, 다른 하나는 많이 흔들리는 상태였습니다.
![[서울시청역/서울역] 앞니 임플란트 가능할까요? 앞니 내비게이션임플란트 관련 이미지 5](https://pub-9f2bb3498faf4d1d8714b41df24753e3.r2.dev/content/clinics/archive/rseeanjxfu/naver_blog/yonseiyegam/assets/by_hash/b43d8584bf4426e60cf25481fb220f43dbed658160def7800f8c1bca763d07c7.png)
저희 치과에서 찍은 3차원 치과CT사진입니다.
앞니의 경우 어금니의 경우보다 주변 뼈가 얇아
임플란트의 각도가 중요하기 때문에
더욱 정확한 임프란트를 위해 네비게이션임플란트로 진행하였습니다.
![[서울시청역/서울역] 앞니 임플란트 가능할까요? 앞니 내비게이션임플란트 관련 이미지 6](https://pub-9f2bb3498faf4d1d8714b41df24753e3.r2.dev/content/clinics/archive/rseeanjxfu/naver_blog/yonseiyegam/assets/by_hash/36d4ab849d1586a3a9e61a9a6711c11bf8b03e74d1298d504ad7a3d84c665016.jpg)
![[서울시청역/서울역] 앞니 임플란트 가능할까요? 앞니 내비게이션임플란트 관련 이미지 7](https://pub-9f2bb3498faf4d1d8714b41df24753e3.r2.dev/content/clinics/archive/rseeanjxfu/naver_blog/yonseiyegam/assets/by_hash/5c5d732bdf23aad3b63c9083a26e07e4f7096c15d1e4ae65c9314f5ee2568740.jpg)
![[서울시청역/서울역] 앞니 임플란트 가능할까요? 앞니 내비게이션임플란트 관련 이미지 8](https://pub-9f2bb3498faf4d1d8714b41df24753e3.r2.dev/content/clinics/archive/rseeanjxfu/naver_blog/yonseiyegam/assets/by_hash/4275f3af13f646b90742bbc926a67fdc560b578f21b1f2640102eeb722b0ee53.jpg)
실제 위 환자분의 임프란트 내비게이션 모의수술입니다
네비게이션 임플란트를 위한
환자분 맞춤형 디지털 모의수술을 시행하였고,
그에따라 수술을 진행하였습니다.
![[서울시청역/서울역] 앞니 임플란트 가능할까요? 앞니 내비게이션임플란트 관련 이미지 9](https://pub-9f2bb3498faf4d1d8714b41df24753e3.r2.dev/content/clinics/archive/rseeanjxfu/naver_blog/yonseiyegam/assets/by_hash/1fbf43a4c7cb3de1bc2fccf1bea3c0078881effd3a4a63044706fb23e7362fb8.png)
네비게이션으로 진행시 시술오차 가능성이 많이 적어지는 장점이 있습니다!
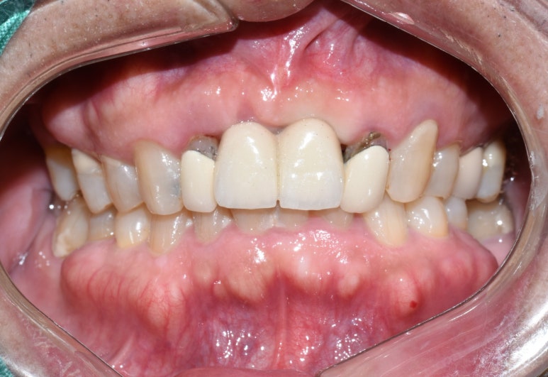
임플란트 머리부분까지 완성된 모습은 아래와 같습니다.
![[서울시청역/서울역] 앞니 임플란트 가능할까요? 앞니 내비게이션임플란트 관련 이미지 10](https://pub-9f2bb3498faf4d1d8714b41df24753e3.r2.dev/content/clinics/archive/rseeanjxfu/naver_blog/yonseiyegam/assets/by_hash/fba180404508eebe92bb5e4c33ed84e201eb834c19904bfc8db53313408422e2.jpg)
![[서울시청역/서울역] 앞니 임플란트 가능할까요? 앞니 내비게이션임플란트 관련 이미지 11](https://pub-9f2bb3498faf4d1d8714b41df24753e3.r2.dev/content/clinics/archive/rseeanjxfu/naver_blog/yonseiyegam/assets/by_hash/4c75c9b6be93e6481767153e5f600a303bda3db6388aaf039ee01cc395f20f50.jpg)
입안에서 자연스러운 모습을 보이고 있습니다.
전후를 다시한번 비교해 볼까요?
![[서울시청역/서울역] 앞니 임플란트 가능할까요? 앞니 내비게이션임플란트 관련 이미지 12](https://pub-9f2bb3498faf4d1d8714b41df24753e3.r2.dev/content/clinics/archive/rseeanjxfu/naver_blog/yonseiyegam/assets/by_hash/2addb263d81579f796dba0a3a3c2bfaa8807cad3b71edad0fd42dc490ae3cf6b.jpg)
![[서울시청역/서울역] 앞니 임플란트 가능할까요? 앞니 내비게이션임플란트 관련 이미지 13](https://pub-9f2bb3498faf4d1d8714b41df24753e3.r2.dev/content/clinics/archive/rseeanjxfu/naver_blog/yonseiyegam/assets/by_hash/4c75c9b6be93e6481767153e5f600a303bda3db6388aaf039ee01cc395f20f50.jpg)
가장 많이 보이는 두 앞니가 제대로 되면서
웃을 때 치아가 많이 환해보이는 효과가 나타납니다.
지금까지 디지털임플란트, 네비게이션 임플란트 많이 시행하는 치과!
<서울시청역 연세예감치과>에서 알려드린 네비게이션임플란트를 사용한
앞니임플란트 치료였습니다!
![[서울시청역/서울역] 앞니 임플란트 가능할까요? 앞니 내비게이션임플란트 관련 이미지 14](https://pub-9f2bb3498faf4d1d8714b41df24753e3.r2.dev/content/clinics/archive/rseeanjxfu/naver_blog/yonseiyegam/assets/by_hash/82d1d418415362dbcb2db228d6efc38d449c6c0aced613bf51a077b97715f0a3.jpg)
![[서울시청역/서울역] 앞니 임플란트 가능할까요? 앞니 내비게이션임플란트 관련 이미지 15](https://pub-9f2bb3498faf4d1d8714b41df24753e3.r2.dev/content/clinics/archive/rseeanjxfu/naver_blog/yonseiyegam/assets/by_hash/04d7374f2d1ff9f5dd20ad81a85d57e4fe5f5693f8aba76227f110e50c11c671.jpg)