아카이브 요약
이 페이지의 역할
연세예감치과의원의 네이버 블로그 원문을 보존한 아카이브 페이지입니다. 임플란트 카테고리의 임플란트, 빼면서 바로 심을 수 있나요? (발치즉시 임플란트) 글을 통해 병원의 한국어 정보 제공 방식과 진료 관련 안내 톤을 확인할 수 있습니다.
원문 검증
필요하면 원문 블로그와 병원 프로필로 바로 이동해 문맥을 다시 확인할 수 있습니다.
출처 아카이브 열기아카이브된 블로그 글
연세예감치과의원 · Naver Blog
안녕하세요 서울 시청역 7번출구 삼성본관 맞은편에 위치한 시청역 연세예감치과입니다! 서울역에서도 지하철 1정거장으로 지방에서도 오기 쉬운 위치입니다. 오늘은 환자분들의 궁금증 중 임플란트 왜 어떤 치아는 빼고 몇개월 기다리라고 했으면서 또 어떤 치아는 빼면서 바로 임플란트를 하라고 하나요? 라는 질문에 대해 답을 해드...
게시일
2022년 4월 14일
원문 기준으로 확인된 발행일입니다.
카테고리
임플란트
원문 블로그 카테고리를 정리해 함께 표시합니다.
이미지 수
20
현재 아카이브에 연결된 이미지 수입니다.
아카이브 요약
연세예감치과의원의 네이버 블로그 원문을 보존한 아카이브 페이지입니다. 임플란트 카테고리의 임플란트, 빼면서 바로 심을 수 있나요? (발치즉시 임플란트) 글을 통해 병원의 한국어 정보 제공 방식과 진료 관련 안내 톤을 확인할 수 있습니다.
원문 검증
필요하면 원문 블로그와 병원 프로필로 바로 이동해 문맥을 다시 확인할 수 있습니다.
출처 아카이브 열기안녕하세요 서울 시청역 7번출구
삼성본관 맞은편에 위치한 시청역 연세예감치과입니다!
서울역에서도 지하철 1정거장으로 지방에서도 오기 쉬운 위치입니다.
오늘은 환자분들의 궁금증 중
임플란트 왜 어떤 치아는 빼고 몇개월 기다리라고 했으면서
또 어떤 치아는 빼면서 바로 임플란트를 하라고 하나요? 라는 질문에 대해 답을 해드릴게요.
사실 이런 부분에 대해서 처음에 잘 이해를 하지 못하셨던
80대 어르신 환자분이 계셔서 오늘 한번 답해보겠습니다.
[환자분의 동의를 얻어 환자분의 사진을 올립니다]
잇몸뼈가 충분하지 않아 잇몸 뼈이식이 필요하거나
발치 후 뼈가 차기까지 기다려야 하는 경우에는
당연히 몇개월 기다렸다가 임플란트를 해야합니다.

환자분이 처음 오셨을 때의 파노라마사진입니다.
환자분은 부분틀니를 이미 가지고 있는 상태였고
임의상 파노라마에 제가 1번, 2번으로 표시한 것에 대해 말씀드리자면
1번, 2번 모두 최악의 경우 발치를 설명드렸지만

파노라마 상 2번 표시한 치아의 상태
1번의 경우는 치아 주변 잇몸뼈가 많이 녹아
파노라마 상에 까맣게 보이는 부위 = 뼈가 녹은 부위가 보이는 상태
& 치아를 잡아주는 뼈가 녹아 많이 흔들리는 상태였고
2번의 경우는 위의 카메라로 찍은 사진처럼 치아가 엄청 많이 썩어있었지만
치아 주변의 뼈는 비교적 많이 녹지 않았고 치아도 흔들리는 상태는 아니었기 때문에
1번의 경우는 발치 후 뼈가 어느정도 찰때까지 기다렸다가 임플란트를 하는 것이
2번의 경우는 만약 임플란트를 한다면 발치하면서 임플란트를 하는 것이
가능할 수 있다 하겠습니다.
인플란트는 뼈에다가 심는 것이기 때문에 임플란트 식립할 부위 주변의 뼈의 상태가 매우 중요합니다.

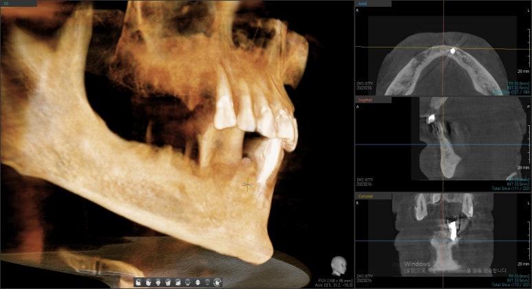
연세예감치과의 3차원 CT 사진
임플란트 심기는 곳에 임플란트 뿌리 주변으로 위아래 양옆 모두 3차원적으로 뼈가 다 둘러 있는 것이 중요한데요,
따라서 치과의사선생님의 소견에 따라 CT등을 찍어본 후
임플란트가 들어갈 곳의 뼈의 상태를 확인하여
발치 후 즉시임플란트가 가능한지, 아니면 3개월이나 몇개월 기다렸다가 임플란트가 가능한지 결정된다고 하겠습니다.
따라서 위 할아버지와 같이 같은 분이라도 뺄 치아=곧 임플란트가 들어갈 곳의 바로 근접한 주변 뼈 상태에 따라
발치즉시 임플란트가 가능할지, 발치 후 뼈가 회복되기를 기다렸다가 임플란트 수술을 해야할지
결정이 됩니다.
무조건적으로 모든 환자의 모든 치아에서 누구에게나
무조건 발치후 즉시임플란트가 가능하다고 한다면 조금 ...그렇지요??
반드시 엑스레이 등을 활용한 검진 후 각자의 상태에 맞게 결정 하는 것이 중요합니다.
발치 후 즉시 당일 임플란트를 한다면 기간이 많이 단축 될 수 있으니
저희 연세예감치과는
가능한 상태라면 발치후 즉시 임플란트를 우선적으로 하고 있고,
뼈가 없는 상태라면 무리하게 하지 않고,
발치 후 기다렸다가 또는 뼈이식을 하고 수술하는 것이 미래를 위해 낫다면 환자분한테 그렇게 권유드리고 있습니다.
오래 튼튼하게 임플란트를 쓰는 것이 제일 중요하니까요!
모래성에 깃발을 꽂아봤자 금방 무너집니다! 튼튼한 땅이 중요하지요.
지금까지 환자분들이 많이 궁금해 하시는
즉시임플란트에 대해
시청역 연세예감치과에서 알려드렸습니다.
저희 연세예감치과는
네비게이션 임플란트로 정확한 위치에 임플란트를 심기위해 노력하고 있습니다.
[아래 사진들은 실제 저희 치과 환자분 케이스로 만든 사진입니다]











해외에서도 찾아오는 시청역 연세예감치과





