연세예감치과(시청역)
광화문역 스케일링 만19세이상 국민이면 누구나 혜택
안녕하세요 시청역 7번출구 직진 도보3분 거리에 위치한 연세예감 치과입니다. 광화문에서도 걸어올 수 있는 위치에 있습니다! 오늘은 실외마스크의무가 해제되면서 환자분들이 많이 관심가지시는 스케일링에 대해 알아보겠습니다. 치과에서의 스케일링이란 치아에 붙은 치석을 제거하는 술식입니다. 연1회 건강보험스케일링 기준 연1...
아카이브 요약
이 페이지의 역할
연세예감치과(시청역) Yonsei Yegam Dental Clinic ヨンセイェガム歯科의 네이버 블로그 원문을 보존한 아카이브 페이지입니다. 연세예감치과 카테고리의 광화문역 스케일링 만19세이상 국민이면 누구나 혜택 글을 통해 병원의 한국어 정보 제공 방식과 진료 관련 안내 톤을 확인할 수 있습니다.
안녕하세요
시청역 7번출구 직진 도보3분 거리에 위치한
연세예감 치과입니다.
광화문에서도 걸어올 수 있는 위치에 있습니다!
오늘은 실외마스크의무가 해제되면서
환자분들이 많이 관심가지시는 스케일링에 대해 알아보겠습니다.
치과에서의 스케일링이란 치아에 붙은 치석을 제거하는 술식입니다.
연1회 건강보험스케일링 기준
연1회 건강보험스케일링은
만 19세이상
국민건강보험이 적용되는 국민(외국인도 국민건강보험이 적용되는 사람)에서
매년 1월1일에서 12월 31일까지 1회기준으로
건강보험이 적용되는 스케일링입니다.
보험으로는 연1회만 적용되나요?
만약 "보험스켈링은 연1회만 적용되나요?
저는 치석이 많이 쌓이기 때문에 스케일링 1년에 2번 받고 싶은데요?"
라고 생각하시는 분이라면
후속 잇몸치료가 필요하다 등으로 검진한 치과의사의 진단이 내려지는 경우에서
6개월에 한번씩도 가능하십니다.
비용은요?
"건강보험 스케일링, 무료인가요?"라고 질문하시는 분들이 계신데요
건강보험 스케일링은 무료가 아닙니다.
총비용에서 일부 나라에서 건강보험으로 지원해주고,
환자분은 나머지 금액을 진료비로 내시는 형태로,
만원대 후반에서 이만원대 정도를 내게 됩니다(국가에서 만든 기준에 따릅니다).
건강보험 스케일링을 무료로 해드린다고 홍보하는 치과는
의료법상 환자 유인행위로 불법입니다.

광화문 가까운 치과 연세예감치과에서는 얘기해주시면 가글마취 후 스케일링 가능합니다.
스케일링, 아플까봐 시릴까봐 걱정되시나요?
저희 광화문 가까운 치과 연세예감치과에서는
스케일링 전 얘기해주시면 추가비용없이 가글마취 후 스케일링 가능합니다.
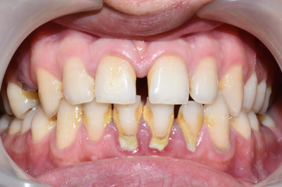
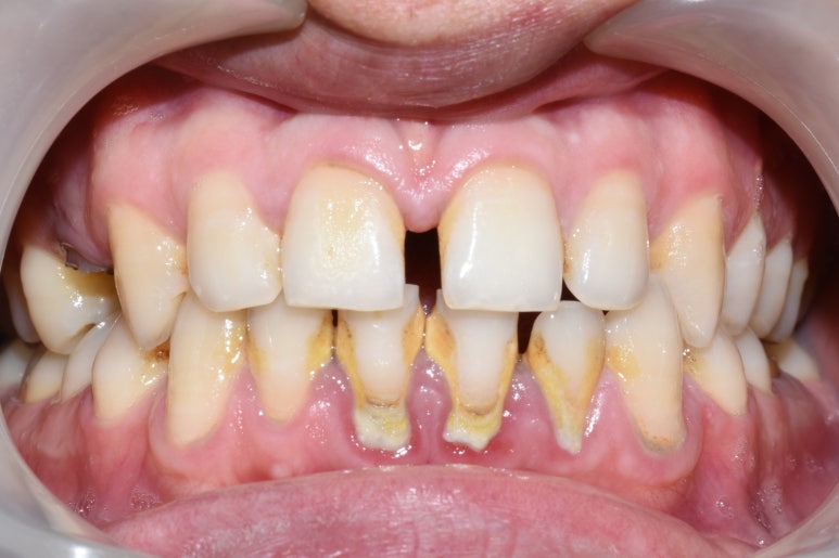
아래는 저희 치과에서 스켈링을 받으신
20대 환자의 사진입니다. [환자분의 동의를 얻은 사진만 포스팅합니다]
스케일링 전후사진이 있어 치석사진이 있으니 보고 싶지 않으신 분들은 주의해주세요.

치석이 아주 많이 쌓인 모습. 잇몸도 부어있습니다.
20대초의 나이임에도 불구하고 구강관리가 잘 되지않고 치석이 많이 쌓인 모습, 잇몸도 전반적으로 붉은 모습을 볼 수 있습니다.

안쪽에도 치석이 많이 쌓여있습니다.
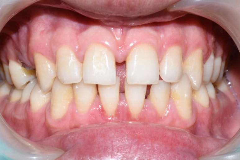
아래 두 사진은 이 환자가 저희 치과에서 스케일링을 받고 난 전 후 사진입니다.


광화문 가까운 연세예감 치과 스케일링 전후사진
지금까지 광화문 가까운 연세예감치과에서 요즘 환자분들의 문의가 많은
스케일링에 대한 궁금증에 대한 답변을 해드렸습니다.


아래 지도 클릭하시면 네이버예약도 가능합니다.
더 보기
이 병원의 공개 콘텐츠를 계속 살펴보세요
출처 아카이브로 돌아가 더 많은 글을 보거나, 병원 프로필로 이동해 다른 공개 채널도 함께 비교해보세요.