아카이브 요약
이 페이지의 역할
연세예감치과의원의 네이버 블로그 원문을 보존한 아카이브 페이지입니다. 치아성형 카테고리의 [서울시청역치과] 옥니 간단한 해결방법 찾고 계신가요? →이벤트안내 글을 통해 병원의 한국어 정보 제공 방식과 진료 관련 안내 톤을 확인할 수 있습니다.
원문 검증
필요하면 원문 블로그와 병원 프로필로 바로 이동해 문맥을 다시 확인할 수 있습니다.
출처 아카이브 열기아카이브된 블로그 글
연세예감치과의원 · Naver Blog
안녕하세요 서울시청역 7번출구 도보 3분 시청역 연세예감치과입니다! 오늘은 특별히 저희 치과에 많은 환자층인 무삭제라미네이트 중에서도 옥니라미네이트에 대해 알려드리려고 해요! (왜냐면 다른 치과에서 근무할 때는 이렇게 옥니 라미네이트 환자가 여기만큼 많지 않았거든요) 대학생분들 방학을 맞이하여, 또 해외에서 입국하신...
게시일
2022년 6월 23일
원문 기준으로 확인된 발행일입니다.
카테고리
치아성형
원문 블로그 카테고리를 정리해 함께 표시합니다.
이미지 수
10
현재 아카이브에 연결된 이미지 수입니다.
아카이브 요약
연세예감치과의원의 네이버 블로그 원문을 보존한 아카이브 페이지입니다. 치아성형 카테고리의 [서울시청역치과] 옥니 간단한 해결방법 찾고 계신가요? →이벤트안내 글을 통해 병원의 한국어 정보 제공 방식과 진료 관련 안내 톤을 확인할 수 있습니다.
원문 검증
필요하면 원문 블로그와 병원 프로필로 바로 이동해 문맥을 다시 확인할 수 있습니다.
출처 아카이브 열기안녕하세요
서울시청역 7번출구 도보 3분
시청역 연세예감치과입니다!
![[서울시청역치과] 옥니 간단한 해결방법 찾고 계신가요? →이벤트안내 관련 이미지 1](https://pub-9f2bb3498faf4d1d8714b41df24753e3.r2.dev/content/clinics/archive/rseeanjxfu/naver_blog/yonseiyegam/assets/by_hash/a4e9441e515297539cee1d3eedcb06c07a32bea92a89a41b3944d8537644a2db.png)
오늘은 특별히 저희 치과에 많은 환자층인
무삭제라미네이트 중에서도 옥니라미네이트에 대해 알려드리려고 해요!
(왜냐면 다른 치과에서 근무할 때는 이렇게 옥니 라미네이트 환자가 여기만큼 많지 않았거든요)
대학생분들 방학을 맞이하여, 또 해외에서 입국하신 외국인들,
마스크를 벗게 되면서 치아가 신경쓰이는 분들로부터 문의가 많아요!
네이버에서 '무삭제라미네이트'를 검색해보시면
전국 전역, 서울치과들중에 여러 치과중에 지도(플레이스)에서 저희 치과가 제일 처음으로 떠요
그만큼 무삭제라미네이트로 저희 치과를 찾아오는 분들이 많아서겠죠?
![[서울시청역치과] 옥니 간단한 해결방법 찾고 계신가요? →이벤트안내 관련 이미지 2](https://pub-9f2bb3498faf4d1d8714b41df24753e3.r2.dev/content/clinics/archive/rseeanjxfu/naver_blog/yonseiyegam/assets/by_hash/d48316fc0ac1169b75c03ea0e9ecc14120f0557ff2e0c1375d8330072e3c0b40.png)
실제로 해외에서도 아름답고 건강한 치아를 위해 저희 치과를 찾아주시고
성형을 위해 외국인들이 많이 입국하듯이
치아성형의 대표격인 라미네이트를 위해서도 많은 외국인들이 저희 치과를 찾아주고 있습니다.
![[서울시청역치과] 옥니 간단한 해결방법 찾고 계신가요? →이벤트안내 관련 이미지 3](https://pub-9f2bb3498faf4d1d8714b41df24753e3.r2.dev/content/clinics/archive/rseeanjxfu/naver_blog/yonseiyegam/assets/by_hash/6cdeb6c4a761005199d8b032c72bfa83482d001736141e9f044722e723198091.jpg)
시청역 연세예감치과를 찾은 해외환자들
그렇다면 본격적으로 옥니 무삭제 라미네이트에 대해 알아볼까요?
★환자분의 공개 동의를 얻은 사진만 공개합니다
옥니? 옹니? 그게 뭔가요?
<옥니>란 치아의 정상 각도보다 안쪽(혀쪽이나 입천장쪽)으로 앞니가 기울어진 상태입니다.
원래부터 몇개 치아만 심한 옥니인 경우도 있으시구요,
간혹 다른 치과 교정 후에 이를 너무 넣어서 옥니가 되었다고 말하는 환자분들도 계세요.
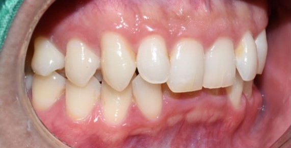
![[서울시청역치과] 옥니 간단한 해결방법 찾고 계신가요? →이벤트안내 관련 이미지 4](https://pub-9f2bb3498faf4d1d8714b41df24753e3.r2.dev/content/clinics/archive/rseeanjxfu/naver_blog/yonseiyegam/assets/by_hash/9b20eebdedb9659dbcae93e2c39fc6a2bc2d60bdab18b038ffe63dbe8dd2f641.jpg)
연세예감치과: 옥니로 상담오신 환자분 (상담 후 라미네이트 진행함)
위의 사진에서 다른 치아배열과 달리 안으로 많이 들어가 있는 모습을 보입니다.
라미네이트에 대한 오해
라미네이트, 라미네이트 하면 치아를 깎아야 하니 이가 시릴까봐, 또는 이 깎는 것 자체에 대한 두려움이 있으신 분들이 있습니다.
그런데, 이가 썩어서 크라운 하신 분들 많으시죠?
크라운은 하나의 이를 전체적으로 씌우는 것이기 때문에
오히려 크라운이 치아삭제량이 훨씬 많습니다.
라미네이트는 최소한 크라운보다는 치아 삭제량이 적지요
또한 옥니이신 분들은 이를 더 두껍게 만들고자 하기 때문에,
기존 이에 라미네이트의 두께를 더하는 것이기 때문에 일부러 이를 깎을 필요가 없습니다.
요즘은 치아 최소삭제 라미네이트나 치아무삭제 라미네이트도 많이 시행하고 있으니 크게 걱정하지 마시고
라미네이트를 생각하시는 분들은 라미네이트를 시행하는 치과의 의료진과 잘 상담해 보시면 되겠습니다.
실제 시청역 연세예감치과에서 시행한 옥니개선 라미네이트 사례
★환자분의 공개 동의를 얻은 사진만 공개합니다
![[서울시청역치과] 옥니 간단한 해결방법 찾고 계신가요? →이벤트안내 관련 이미지 5](https://pub-9f2bb3498faf4d1d8714b41df24753e3.r2.dev/content/clinics/archive/rseeanjxfu/naver_blog/yonseiyegam/assets/by_hash/59b75544f45b83ed13823665c72d3df591b12d9b9ab35c0d624ad8bb88f84e07.jpg)
![[서울시청역치과] 옥니 간단한 해결방법 찾고 계신가요? →이벤트안내 관련 이미지 6](https://pub-9f2bb3498faf4d1d8714b41df24753e3.r2.dev/content/clinics/archive/rseeanjxfu/naver_blog/yonseiyegam/assets/by_hash/75e5dbcc1c61082bb1b3e3bc0f74f82938ab4f689d7a5c1fd18a55c00a2938e3.jpg)
![[서울시청역치과] 옥니 간단한 해결방법 찾고 계신가요? →이벤트안내 관련 이미지 7](https://pub-9f2bb3498faf4d1d8714b41df24753e3.r2.dev/content/clinics/archive/rseeanjxfu/naver_blog/yonseiyegam/assets/by_hash/34f20de819b8e6922b5ddd6b8d0f3f7c0c801f0983793fa9ca13b3335c39ec49.jpg)
옥니 라미네이트의 경우
라미네이트를 하면서 라미네이트의 색을 본인 치아보다 더 밝게하여
색도 개선할 수 있고, 모양도 바르게 개선할 수 있는 장점이 있습니다.
그외에도 라미네이트를 하면 좋은 케이스는
치아 몇개가 작은 왜소치 케이스,
치아가 삐뚤빼뚤 하지만 교정은 하기 싫은 케이스,
앞니가 벌어진 케이스
등이 있습니다.
라미네이트 제작
입안에서 보는 것과 본을 떠서 구강외에서 보는 것은 다릅니다.
입 벌리는 것에는 한계가 있고 치아의 배열과 교합상태를
구강밖에서 본을 뜬 모델로 보는 것이 필요합니다.
본을 뜨고 가시면 모델을 제작하여 구강외에서 치아의 상태를 파악할 수 있고
고른 치아배열로 라미네이트를 만들게 됩니다.
![[서울시청역치과] 옥니 간단한 해결방법 찾고 계신가요? →이벤트안내 관련 이미지 8](https://pub-9f2bb3498faf4d1d8714b41df24753e3.r2.dev/content/clinics/archive/rseeanjxfu/naver_blog/yonseiyegam/assets/by_hash/20418701f05f4ba285a294612c3bfafc6648ad8feda104029f53a4f957c448a2.jpg)
몇 번 방문해야 하며 제작기간은 얼마나 되나요?
라미네이트를 하겠다고 결정하시면
본뜨는 날 (본을 뜬 걸 기준으로 기공소에서 라미네이트를 제작함)
제작된 라미네이트를 붙이는 작업 이 들어가므로 2번의 내원이 필요합니다.
저희 서울 시청역 연세예감치과 기준
수작업을 거치기 때문에 개수에 따라 다르지만 1개기준 [일주일+주말,공휴일] 정도의 기간이 소요되며
2개이상시 10~13일정도 걸릴 수 있습니다.
단, 두번의 내원으로 옥니가 해결되어 환자분들의 만족도가 높으며
두번만 내원하면 되기때문에
해외에서도 많이 찾아오십니다!
2023년 라미네이트 이벤트 진행가격
2022년 라미네이트이벤트 진행중입니다.
시청역 연세예감치과 카카오톡 문의 : 아이디 yonseiyegam 친구추가 후 문의
또는 카카오톡채널 - 연세예감치과 ←클릭 후 문의
2023년 기준이벤트 (2023년 12월31일까지만) 연세예감치과
1개 진행시 50만원
2개이상 진행시 개당 48만원
4개이상 진행시 개당 45만원
라미네이트와 치아미백은 미용목적일 경우 법적으로 부가세 10프로를 추가로 받도록 되어있습니다.
(본 가격은 2개이상 부터 위의 환자분들 치아 사진 같은 구강사진 전후 사진공개조건 가격입니다.
사진공개를 원하지 않을경우 이벤트 적용되지 않아 개당50만원에 가능합니다.)
또한 라미네이트 전
파노라마를 포함한충치, 치아상태 등 치과의사의 진단,상담이 필요합니다.
(진단에 대한 건강보험비 별도, 상담후 진료시간 내 당일진행 가능)
옥니외에도 다른 유형별 라미네이트 사례
[광화문]라미네이트/무삭제 프리네이트 케이스(.. : 네이버블로그 (naver.com)
지금까지 시청역, 서울역, 광화문, 서대문, 신촌, 용산 등
서울 어디에서도 오기 쉬운 서울의 중심
전세계에서 찾아오는
시청역 연세예감치과에서 삐뚤빼뚤한 치아 라미네이트로 개선사례에 대해 알려드렸습니다!
전화 02-318-8275
네ㅣ이버예약가능.
시청역 연세예감치과 카카오톡 문의 : 아이디 yonseiyegam 친구추가 후 문의
또는 카카오톡채널 - 연세예감치과 ←클릭 후 문의
![[서울시청역치과] 옥니 간단한 해결방법 찾고 계신가요? →이벤트안내 관련 이미지 9](https://pub-9f2bb3498faf4d1d8714b41df24753e3.r2.dev/content/clinics/archive/rseeanjxfu/naver_blog/yonseiyegam/assets/by_hash/4c00b76a4b136fc09840dd1382c133fb1142e442068bc3b73b03e7129bebf7b8.png)
원장님 tv인터뷰모습
![[서울시청역치과] 옥니 간단한 해결방법 찾고 계신가요? →이벤트안내 관련 이미지 10](https://pub-9f2bb3498faf4d1d8714b41df24753e3.r2.dev/content/clinics/archive/rseeanjxfu/naver_blog/yonseiyegam/assets/by_hash/8a0d074e5234257513181a213cc57e19949d3ffe4e9ac3a9ca2a3a6612a50306.jpg)