연세예감치과(시청역)
[서울시청역치과] 다른 치과에서 오래전에 한 임플란트가 흔들려요 →재수술 케이스
안녕하세요 서울 시청역 7번출구 삼성본관맞은편 시청역 연세예감치과입니다. 오늘은 다른 치과에서 오래전에 한 임플란트가 흔들려서 저희치과에서 오래된 임플란트는 뽑고 재수술을 하고 임플란트 완성까지 하신 케이스를 설명드리려고 합니다. [환자분의 동의를 얻은 케이스만 게시합니다] 간혹 임플란트가 흔들려서 오셨다는 분들이...
아카이브 요약
이 페이지의 역할
연세예감치과(시청역) Yonsei Yegam Dental Clinic ヨンセイェガム歯科의 네이버 블로그 원문을 보존한 아카이브 페이지입니다. 임플란트 카테고리의 [서울시청역치과] 다른 치과에서 오래전에 한 임플란트가 흔들려요 →재수술 케이스 글을 통해 병원의 한국어 정보 제공 방식과 진료 관련 안내 톤을 확인할 수 있습니다.
안녕하세요
서울 시청역 7번출구
삼성본관맞은편 시청역 연세예감치과입니다.
![[서울시청역치과] 다른 치과에서 오래전에 한 임플란트가 흔들려요 →재수술 케이스 관련 이미지 1](https://pub-9f2bb3498faf4d1d8714b41df24753e3.r2.dev/content/clinics/archive/rseeanjxfu/naver_blog/yonseiyegam/assets/by_hash/89dcae2e6cce99cfbc6fc67a003c6f6dbe3a254e65e4ff33983f3fac8426f73a.jpg)
오늘은 다른 치과에서 오래전에 한 임플란트가 흔들려서
저희치과에서 오래된 임플란트는 뽑고
재수술을 하고 임플란트 완성까지 하신 케이스를 설명드리려고 합니다.
[환자분의 동의를 얻은 케이스만 게시합니다]
간혹 임플란트가 흔들려서 오셨다는 분들이 있는데요
그런 분들을 위해 간략히 설명을 드리자면
![[서울시청역치과] 다른 치과에서 오래전에 한 임플란트가 흔들려요 →재수술 케이스 관련 이미지 2](https://pub-9f2bb3498faf4d1d8714b41df24753e3.r2.dev/content/clinics/archive/rseeanjxfu/naver_blog/yonseiyegam/assets/by_hash/f0af18f010aee24e62c26d9e950c2d7e87b5db015e74b8775c3a8e5ffadaf313.jpg)
![[서울시청역치과] 다른 치과에서 오래전에 한 임플란트가 흔들려요 →재수술 케이스 관련 이미지 3](https://pub-9f2bb3498faf4d1d8714b41df24753e3.r2.dev/content/clinics/archive/rseeanjxfu/naver_blog/yonseiyegam/assets/by_hash/05db4e82b8b6df0d1808793a126ee3f194de7dd376abeded4ef476525d2f1d80.jpg)
![[서울시청역치과] 다른 치과에서 오래전에 한 임플란트가 흔들려요 →재수술 케이스 관련 이미지 4](https://pub-9f2bb3498faf4d1d8714b41df24753e3.r2.dev/content/clinics/archive/rseeanjxfu/naver_blog/yonseiyegam/assets/by_hash/f73b4db207838f88e556e9caad65665fca99e841a9802e86409c10ecbb605397.jpg)
임플란트는 크게 3가지 구조로 생각할 수 있습니다.
위 사진은 임플란트 모형인데요, 모형이라서 위와 완전히 같지는 않지만
임플란트는 크게 3가지 구조로 생각할 수 있습니다.
- 치아뼈에 심기는 픽스쳐, 2. 픽스쳐와 연결되는 지대주, 3.지대주에 붙이는 머리부분(크라운) 입니다.
(위 사진의 번호 1,2,3)
보통 임플란트를 오래 사용하게 되면 여러 방향의 힘들에 의해
중간 나사로 연결된 1과 2가 풀리는 경우가 많습니다.
그래서 임플란트가 흔들린다고 오시는 분들이 많은데
그 때는 크라운과 지대주 사이에 연결통로 등을 통해
1과 2사이에 그 풀린 나사를 조여주면 됩니다.
![[서울시청역치과] 다른 치과에서 오래전에 한 임플란트가 흔들려요 →재수술 케이스 관련 이미지 5](https://pub-9f2bb3498faf4d1d8714b41df24753e3.r2.dev/content/clinics/archive/rseeanjxfu/naver_blog/yonseiyegam/assets/by_hash/c27aea7854db7ae19897941b85797a1c0a4ead2a5fcea379fd6dd4f3585ee205.jpg)
주황색 동그라미의 작은 나사를 조여줄 수 있는 상태로 판단이 되고
잘 조여주게 되면
1과 2가 분리되어 흔들리던 것이
고정이 되는 것입니다.
보통은 1의 픽스쳐가 뼈랑 단단히 유착되어 있어 픽스쳐가 흔들리는 경우보다는
1과2사이 나사가 풀려 머리부분이 흔들리는 경우가 더 많은데요
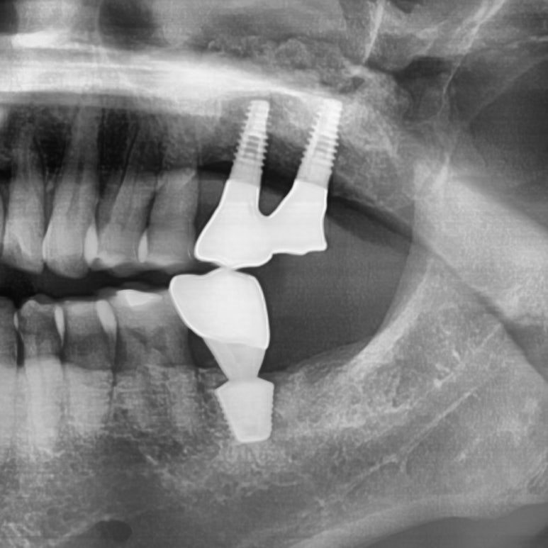
그런데 이번에 소개해 드릴 케이스는 1,2사이의 작은 나사를 쪼여서 해결될 문제가 아니라
다른 치과에서 오래 전에 한 임플란트가 1이라고 표시해드린 뼈에 박힌 픽스쳐가 많이 흔들리는 상태였습니다.
![[서울시청역치과] 다른 치과에서 오래전에 한 임플란트가 흔들려요 →재수술 케이스 관련 이미지 6](https://pub-9f2bb3498faf4d1d8714b41df24753e3.r2.dev/content/clinics/archive/rseeanjxfu/naver_blog/yonseiyegam/assets/by_hash/ea84db90f4b4850aa69afcafff7f723e6ab5ab76a91014b226204aea64acdc6b.jpg)
연결된 2개 인플란트 중
앞쪽 임플란트는 많이 흔들리는 상태였고 뒤쪽 임플란트도 반만 주변 뼈가 잡고있어 오래 못쓸거 같아
같이 빼기로 하였습니다.
또한 바로 앞의 치아도 많이 흔들려서 나중에 또 고생하느니 같이 발치하기로 하였습니다.
![[서울시청역치과] 다른 치과에서 오래전에 한 임플란트가 흔들려요 →재수술 케이스 관련 이미지 7](https://pub-9f2bb3498faf4d1d8714b41df24753e3.r2.dev/content/clinics/archive/rseeanjxfu/naver_blog/yonseiyegam/assets/by_hash/3fe4b56c3362a2b36987028f9d40931d538921277b17ebfa953098b035ccebad.jpg)
두 개 중 앞의 임플란트 제거후.
두개 중 앞의 임플란트는 많이 흔들리는 상태라 매우 쉽게 빠졌고
뒤의 임플란트는 뼈가 임플란트를 반만 잡고 있었지만
수술한지 오래된 임플란트라 잘 빠지지 않아 주변 뼈를 갈아내어 제거하였습니다.
![[서울시청역치과] 다른 치과에서 오래전에 한 임플란트가 흔들려요 →재수술 케이스 관련 이미지 8](https://pub-9f2bb3498faf4d1d8714b41df24753e3.r2.dev/content/clinics/archive/rseeanjxfu/naver_blog/yonseiyegam/assets/by_hash/47a667073c584cf09a9b6de280cc1e668b576497d69914e46200ed64deebccc0.jpg)
![[서울시청역치과] 다른 치과에서 오래전에 한 임플란트가 흔들려요 →재수술 케이스 관련 이미지 9](https://pub-9f2bb3498faf4d1d8714b41df24753e3.r2.dev/content/clinics/archive/rseeanjxfu/naver_blog/yonseiyegam/assets/by_hash/a9cc5ba5dd26442ea0819db80f1898f9bb55f5c4a6b924d72f40bafe7f2f9f4f.jpg)
![[서울시청역치과] 다른 치과에서 오래전에 한 임플란트가 흔들려요 →재수술 케이스 관련 이미지 10](https://pub-9f2bb3498faf4d1d8714b41df24753e3.r2.dev/content/clinics/archive/rseeanjxfu/naver_blog/yonseiyegam/assets/by_hash/26245c72b8ed490dae93095c01d3e96056bb884d33bc79020f32ecf6ea340d3c.jpg)
그래서 임플란트 픽스쳐를 제거하고,
옆의 흔들리는 치아 하나 까지 발치하여
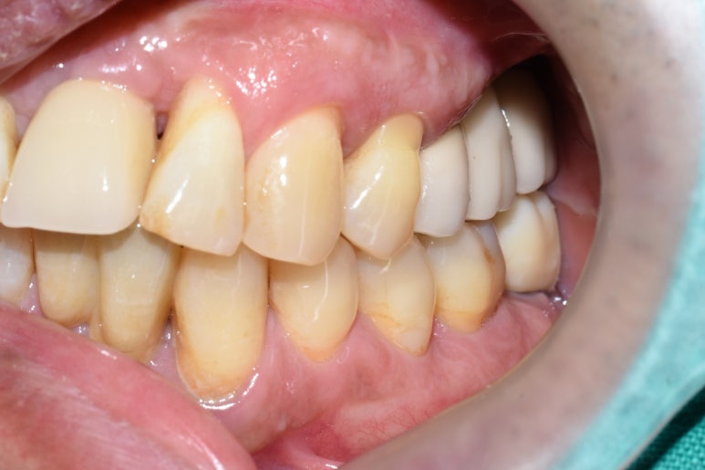
임플란트 재수술은 임플란트 2개를 심고 머리 3개를 만들어 완성하였습니다.
![[서울시청역치과] 다른 치과에서 오래전에 한 임플란트가 흔들려요 →재수술 케이스 관련 이미지 11](https://pub-9f2bb3498faf4d1d8714b41df24753e3.r2.dev/content/clinics/archive/rseeanjxfu/naver_blog/yonseiyegam/assets/by_hash/89dcae2e6cce99cfbc6fc67a003c6f6dbe3a254e65e4ff33983f3fac8426f73a.jpg)
![[서울시청역치과] 다른 치과에서 오래전에 한 임플란트가 흔들려요 →재수술 케이스 관련 이미지 12](https://pub-9f2bb3498faf4d1d8714b41df24753e3.r2.dev/content/clinics/archive/rseeanjxfu/naver_blog/yonseiyegam/assets/by_hash/e10a5890ba822f84ec6e54705184d29beb3cf367014d8266dd09ba7bbbbb99f4.jpg)
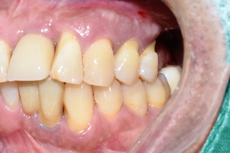
전
지금까지 흔들리는 오래된 임플란트 재수술 케이스에 대해 알아보았습니다.
복잡한 뼈이식, 상악동, 수면임플란트 등 어려운 임플란트 수술도
시청역 연세예감치과에 문의주세요!
![[서울시청역치과] 다른 치과에서 오래전에 한 임플란트가 흔들려요 →재수술 케이스 관련 이미지 13](https://pub-9f2bb3498faf4d1d8714b41df24753e3.r2.dev/content/clinics/archive/rseeanjxfu/naver_blog/yonseiyegam/assets/by_hash/5b0fbae8b36591f2b7a69ddabf0489fd2bed43357da3168c16adf3ed3c07b8b7.png)
신영일아나운서의 비즈정보플러스
![[서울시청역치과] 다른 치과에서 오래전에 한 임플란트가 흔들려요 →재수술 케이스 관련 이미지 14](https://pub-9f2bb3498faf4d1d8714b41df24753e3.r2.dev/content/clinics/archive/rseeanjxfu/naver_blog/yonseiyegam/assets/by_hash/4ae9c3b442a5e506fe0d2b7f099aa98443c366ec83ce80388b67e6dabb221ca6.png)
![[서울시청역치과] 다른 치과에서 오래전에 한 임플란트가 흔들려요 →재수술 케이스 관련 이미지 15](https://pub-9f2bb3498faf4d1d8714b41df24753e3.r2.dev/content/clinics/archive/rseeanjxfu/naver_blog/yonseiyegam/assets/by_hash/844db9d9b9d972506b9bdea01f3806f86718a4d6afa0e8f96cbc3bac9c0b26d1.png)
카톡예약과 문의(카카오톡채널) 카카오톡채널 - 연세예감치과 (kakao.com)
또는 카카오톡 친구 아이디 yonseiyegam 친구추가후 문의
네이버예약 네이버 예약 클릭
네이버 지도 클릭
서울역에서도, 시청역, 남대문에서도 가까운
삼성본관 맞은편 연세예감치과였습니다.
![[서울시청역치과] 다른 치과에서 오래전에 한 임플란트가 흔들려요 →재수술 케이스 관련 이미지 16](https://pub-9f2bb3498faf4d1d8714b41df24753e3.r2.dev/content/clinics/archive/rseeanjxfu/naver_blog/yonseiyegam/assets/by_hash/f04e8fa46c57550767c5c02de65ed206211bfad19919a2e950774d31c7aae57f.jpg)
더 보기
이 병원의 공개 콘텐츠를 계속 살펴보세요
출처 아카이브로 돌아가 더 많은 글을 보거나, 병원 프로필로 이동해 다른 공개 채널도 함께 비교해보세요.