아카이브 요약
이 페이지의 역할
연세예감치과의원의 네이버 블로그 원문을 보존한 아카이브 페이지입니다. 충치치료 카테고리의 [서울역/치과] 앞니가 조금 아주조금 깨졌어요 치료가능한가요? 글을 통해 병원의 한국어 정보 제공 방식과 진료 관련 안내 톤을 확인할 수 있습니다.
원문 검증
필요하면 원문 블로그와 병원 프로필로 바로 이동해 문맥을 다시 확인할 수 있습니다.
출처 아카이브 열기아카이브된 블로그 글
연세예감치과의원 · Naver Blog
안녕하세요 서울 시청역 삼성본관 바로 맞은편 위치한 연세예감치과입니다. 서울역, 광화문, 시청역 등 서울의 중심부라서 어디서든 오기 좋은 위치에 자리잡고 있습니다. 간혹 음식을 세게 깨물었다가 또는 넘어져서 등등으로 앞니가 조금 깨지신 분들이 있습니다. 많이 깨지신 분들은 흔히 크라운 등등의 치료를 받게 되는데요 ...
게시일
2022년 8월 9일
원문 기준으로 확인된 발행일입니다.
카테고리
충치치료
원문 블로그 카테고리를 정리해 함께 표시합니다.
이미지 수
13
현재 아카이브에 연결된 이미지 수입니다.
아카이브 요약
연세예감치과의원의 네이버 블로그 원문을 보존한 아카이브 페이지입니다. 충치치료 카테고리의 [서울역/치과] 앞니가 조금 아주조금 깨졌어요 치료가능한가요? 글을 통해 병원의 한국어 정보 제공 방식과 진료 관련 안내 톤을 확인할 수 있습니다.
원문 검증
필요하면 원문 블로그와 병원 프로필로 바로 이동해 문맥을 다시 확인할 수 있습니다.
출처 아카이브 열기안녕하세요
서울 시청역 삼성본관 바로 맞은편 위치한 연세예감치과입니다.
서울역, 광화문, 시청역 등 서울의 중심부라서 어디서든 오기 좋은 위치에 자리잡고 있습니다.
간혹 음식을 세게 깨물었다가 또는 넘어져서 등등으로
앞니가 조금 깨지신 분들이 있습니다.
많이 깨지신 분들은 흔히 크라운 등등의 치료를 받게 되는데요
앞니가 아주 조금 깨진 경우에 어떤 치료를 받을 수 있을까요?
저희 내원 환자분 사례로 알아보겠습니다!
[환자분의 동의를 얻은 사진만 게시합니다.]
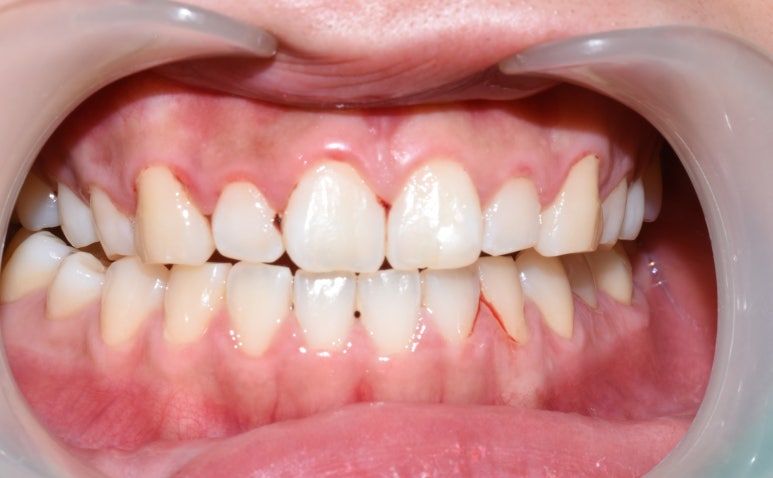
Case 1. 옥수수 먹다가 예전에 다른 치과에서 윗니 떼운 게 깨졌어요
![[서울역/치과] 앞니가 조금 아주조금 깨졌어요 치료가능한가요? 관련 이미지 1](https://pub-9f2bb3498faf4d1d8714b41df24753e3.r2.dev/content/clinics/archive/rseeanjxfu/naver_blog/yonseiyegam/assets/by_hash/7ddc755701f801d888c22e3ee44c8ec01a10bd6bdb6f6ae8b1d6b56a7e8b1bf5.jpg)
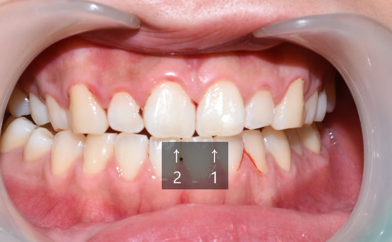
표시 1: 깨지고 떨어진 부분 레진으로 치료
표시 2: 밑면이 고르지 못한 부분 살짝만 다듬음
↓
![[서울역/치과] 앞니가 조금 아주조금 깨졌어요 치료가능한가요? 관련 이미지 2](https://pub-9f2bb3498faf4d1d8714b41df24753e3.r2.dev/content/clinics/archive/rseeanjxfu/naver_blog/yonseiyegam/assets/by_hash/8f662834914788db4785585599adc1380e990717300d20c2cd8301e6c8776d08.jpg)
![[서울역/치과] 앞니가 조금 아주조금 깨졌어요 치료가능한가요? 관련 이미지 3](https://pub-9f2bb3498faf4d1d8714b41df24753e3.r2.dev/content/clinics/archive/rseeanjxfu/naver_blog/yonseiyegam/assets/by_hash/1b75721bb5c9450ff3af1abfda48e299eef3fe780f6d8aea893eabf219863bd5.jpg)
어디가 깨진지 잘 모르시겠다고요? 위의 큰 확대 사진을 보시면 치아 하나가 깨져있는게 보이실 겁니다.
위의 전후 사진에서 '1'이라고 표시된 치아는 레진으로 살짝 치료하였고,
'2'라고 표시된 치아는 원래 조금 밑면이 삐뚤어서 고르게 다듬기만 해주었습니다.
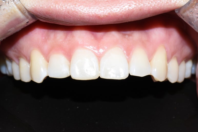
![[서울역/치과] 앞니가 조금 아주조금 깨졌어요 치료가능한가요? 관련 이미지 4](https://pub-9f2bb3498faf4d1d8714b41df24753e3.r2.dev/content/clinics/archive/rseeanjxfu/naver_blog/yonseiyegam/assets/by_hash/c7ed87b99dac24d0fd32c55d3fadeb858cdfbc9468347658e1c05ff6dca520d3.jpg)
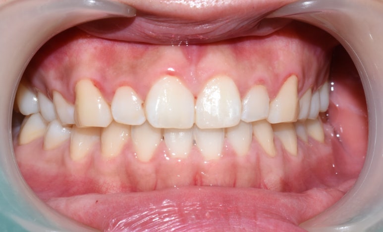
![[서울역/치과] 앞니가 조금 아주조금 깨졌어요 치료가능한가요? 관련 이미지 5](https://pub-9f2bb3498faf4d1d8714b41df24753e3.r2.dev/content/clinics/archive/rseeanjxfu/naver_blog/yonseiyegam/assets/by_hash/8f662834914788db4785585599adc1380e990717300d20c2cd8301e6c8776d08.jpg)
Case 2. 이빨로 병뚜껑 따다가 이가 깨진 적
이 있고 원래도 조금 삐뚤어요
![[서울역/치과] 앞니가 조금 아주조금 깨졌어요 치료가능한가요? 관련 이미지 6](https://pub-9f2bb3498faf4d1d8714b41df24753e3.r2.dev/content/clinics/archive/rseeanjxfu/naver_blog/yonseiyegam/assets/by_hash/ba61682173ba7ed2bd11460085a4dc3341c18c5a77546fc3a74f76ef57b59535.jpg)
![[서울역/치과] 앞니가 조금 아주조금 깨졌어요 치료가능한가요? 관련 이미지 7](https://pub-9f2bb3498faf4d1d8714b41df24753e3.r2.dev/content/clinics/archive/rseeanjxfu/naver_blog/yonseiyegam/assets/by_hash/135b46ad29917d782211130a53f7e9b5cc1e0569b431da45c6947ef9bab61d90.jpg)
깨진 앞니 치아 레진 치료 전후
교정하는 환자분이 었는데 교정을 해도 치아의 배열은 바뀌지만 모양은 바뀌지 않죠.
'1' '2'라고 적힌 치아는 레진으로 치료하여 모양을 잡아주어 훨씬 깔끔한 전체적인 치아분위기가 만들어 졌습니다.
앞니 레진의 경우 어금니와 달리
치료비가 상이하여 치과 상담후 치료비가 결정됩니다.
지금까지 앞니가 살짝 깨진 경우
레진으로 단시간에 감쪽같이 치료하는 경우를 살펴 보았습니다.
인레이, 크라운과 달리 기공물을 만드는 시간이 필요하지 않고
치과체어에서 바로 치료가 이루어 집니다.
단, 앞니로 깨물어 드시는 경우가 많다보니 때워놓은 레진이 떨어지는 경우가 있을 수 있습니다.
앞니의 경우 씹는 아랫면에 때워놓은 것이 자꾸 떨어지는 경우는 부위에 따라, 크기에 따라
아예 크라운으로 씌워버려야 하는 경우도 있다는 것! 알고 계시면 될 것 같아요.
아래 링크와 같이 앞니가 더 많이 부러진 경우에 크라운 치료를 해야 한 케이스도 살펴보세요!
지금까지 아름답고 건강한 치아를 위해
해외에서도 찾아오는 서울 시청역 연세예감치과였습니다.
![[서울역/치과] 앞니가 조금 아주조금 깨졌어요 치료가능한가요? 관련 이미지 8](https://pub-9f2bb3498faf4d1d8714b41df24753e3.r2.dev/content/clinics/archive/rseeanjxfu/naver_blog/yonseiyegam/assets/by_hash/ebe905f4ba22fa82b795d84cfb9a30bbce599b906a109f150bdce55bb4ffd37d.png)
![[서울역/치과] 앞니가 조금 아주조금 깨졌어요 치료가능한가요? 관련 이미지 9](https://pub-9f2bb3498faf4d1d8714b41df24753e3.r2.dev/content/clinics/archive/rseeanjxfu/naver_blog/yonseiyegam/assets/by_hash/2602027c1f060300fc0653bd055498d8a8e2dd4b07a6205cf3b7f3ea9cd61577.png)
![[서울역/치과] 앞니가 조금 아주조금 깨졌어요 치료가능한가요? 관련 이미지 10](https://pub-9f2bb3498faf4d1d8714b41df24753e3.r2.dev/content/clinics/archive/rseeanjxfu/naver_blog/yonseiyegam/assets/by_hash/494ce21a23b9b4f33e3026c65ef76c50d4b8f1d2f89205d65996f6b0506133b5.png)
![[서울역/치과] 앞니가 조금 아주조금 깨졌어요 치료가능한가요? 관련 이미지 11](https://pub-9f2bb3498faf4d1d8714b41df24753e3.r2.dev/content/clinics/archive/rseeanjxfu/naver_blog/yonseiyegam/assets/by_hash/d4b3fbd2086aebe35462197ccd8c31e65d2f928c03bb34d807f9cfd222c2a886.png)
![[서울역/치과] 앞니가 조금 아주조금 깨졌어요 치료가능한가요? 관련 이미지 12](https://pub-9f2bb3498faf4d1d8714b41df24753e3.r2.dev/content/clinics/archive/rseeanjxfu/naver_blog/yonseiyegam/assets/by_hash/6e703bb67527d97e266b3b05d96e38eb0cadc094810e49bd5be8bedb0d718128.png)
![[서울역/치과] 앞니가 조금 아주조금 깨졌어요 치료가능한가요? 관련 이미지 13](https://pub-9f2bb3498faf4d1d8714b41df24753e3.r2.dev/content/clinics/archive/rseeanjxfu/naver_blog/yonseiyegam/assets/by_hash/4808251e330b755f45a21295813aa1e3881315eb635f613583e03820f4e9d0e2.png)
연세예감치과 홈페이지