연세예감치과(시청역)
만65세이상 중 의료급여1종 보험임플란트 얼마일까요? 비용안내, 조건안내
만65세이상 중 의료급여1종 임플란트 얼마일까요? 비용안내 안녕하세요 서울의 중심 서울 중구 서울시청역에 위치한 시청역 연세예감치과입니다. (시청역7번출구 도보3분, 삼성본관 바로 맞은편 위치합니다.) 광화문, 서울역에서도 가깝습니다! 어르신들은 나라에서 지원되는 보험임플란트 가능한 것 알고 계시죠? 만65세 이상...
아카이브 요약
이 페이지의 역할
연세예감치과(시청역) Yonsei Yegam Dental Clinic ヨンセイェガム歯科의 네이버 블로그 원문을 보존한 아카이브 페이지입니다. 임플란트 카테고리의 만65세이상 중 의료급여1종 보험임플란트 얼마일까요? 비용안내, 조건안내 글을 통해 병원의 한국어 정보 제공 방식과 진료 관련 안내 톤을 확인할 수 있습니다.
만65세이상 중 의료급여1종 임플란트 얼마일까요? 비용안내
안녕하세요 서울의 중심 서울 중구
서울시청역에 위치한 시청역 연세예감치과입니다.
(시청역7번출구 도보3분, 삼성본관 바로 맞은편 위치합니다.)
광화문, 서울역에서도 가깝습니다!
어르신들은 나라에서 지원되는 보험임플란트 가능한 것 알고 계시죠?
만65세 이상, 이가 하나라도 있으신 어르신분들은
임플란트 2개까지 국민보험이 지원되는데요,
건강보험이 적용되는
보통 만65세 이상 분들은 나라에서 70%지원되어
나머지 30프로인 개당 30만원대 후반(38만원 정도)에 임플란트가 가능합니다.
그렇다면 수급권자, 또는 소득이나 여러 이유로 의료급여에 해당하는 분들은
나라에서 지원이 더 많이 될텐데
얼마에 의료급여1종 보험임플란트가 가능할까요?
2022년 기준 만 65세 이상 어르신에서 2개까지 지원되는
나라에서 정해놓은
의료급여1종에 해당되는 분들의 보험임플란트의 본인부담금은
1개당 13만원정도입니다.
(사용되는 재료에 따라 치과마다 13만원에서 몇천원 정도 차이가 있으며, 이가 단 하나라도 있는 경우만 가능합니다.
무치악 환자는 보험임플란트가 적용되지 않습니다.)
서울 시청역 연세예감치과에서
보험 임플란트 저렴한 비용으로
일반 비보험 인플란트와 동일하게
수준높은 임프란트 치료를 만나보세요!

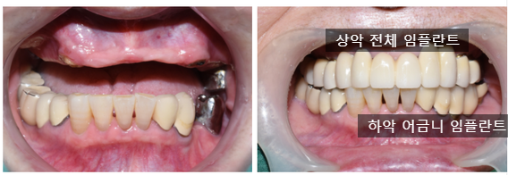
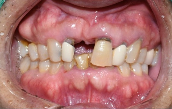
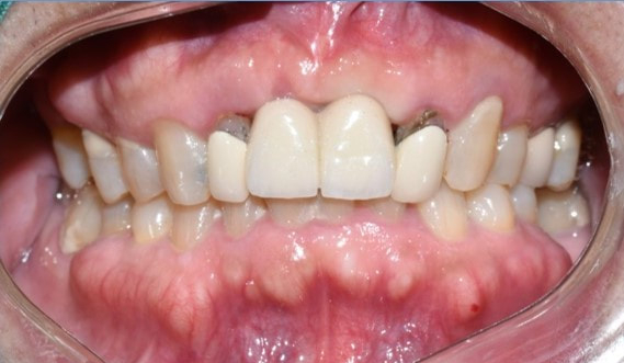
↓ 실제 얼굴에서 변화 모습 ↓



앞니 2개 임플란트
↓ 앞니 2개 임플란트 후 실제 얼굴에서 모습

서울 중구 세종대로 70, 4층에 위치한
서울 중구치과 연세예감치과에서 알려드린
의료급여1종 임프란트 비용이었습니다.
해외에서도 찾아오는 서울 시청역 연세예감치과





문의 : 서울 시청역 연세예감치과
(서울 중구 시청역 7번출구 삼성본관 맞은편)
전화: 02-318-8275
카카오톡 문의: 클릭(카톡 플러스채널) 또는 yonseiyegam 아이디 친구추가 후 문의
https://map.naver.com/v5/entry/place/1715143717
▲네이버지도클릭하여 네이버예약가능합니다.



더 보기
이 병원의 공개 콘텐츠를 계속 살펴보세요
출처 아카이브로 돌아가 더 많은 글을 보거나, 병원 프로필로 이동해 다른 공개 채널도 함께 비교해보세요.