연세예감치과(시청역)
[임플란트/서울역] 서울 상악 전체인플란트 실제사례.극한의 케이스도
안녕하세요 시청역 7번출구 삼성본관 맞은편에 위치한 시청역 연세예감치과입니다! 서울의 중심에 위치하여 서울역, 광화문 등이 가깝고 어디서든 오기 좋은 위치에 자리하고 있습니다. 오늘은 남아있는 상악의 단 4개의 이가 모두 흔들려서 발치를 하고 전체 임플란트를 한, 50대 남자분의 케이스를 소개해 드리려고 합니다...
아카이브 요약
이 페이지의 역할
연세예감치과(시청역) Yonsei Yegam Dental Clinic ヨンセイェガム歯科의 네이버 블로그 원문을 보존한 아카이브 페이지입니다. 임플란트 카테고리의 [임플란트/서울역] 서울 상악 전체인플란트 실제사례.극한의 케이스도 글을 통해 병원의 한국어 정보 제공 방식과 진료 관련 안내 톤을 확인할 수 있습니다.
안녕하세요 시청역 7번출구
삼성본관 맞은편에 위치한
시청역 연세예감치과입니다!
서울의 중심에 위치하여 서울역, 광화문 등이 가깝고
어디서든 오기 좋은 위치에 자리하고 있습니다.
오늘은 남아있는 상악의 단 4개의 이가 모두 흔들려서 발치를 하고
전체 임플란트를 한, 50대 남자분의 케이스를 소개해 드리려고 합니다.
[환자분의 동의를 얻은 케이스만 공개합니다]
![[임플란트/서울역] 서울 상악 전체인플란트 실제사례.극한의 케이스도 관련 이미지 1](https://pub-9f2bb3498faf4d1d8714b41df24753e3.r2.dev/content/clinics/archive/rseeanjxfu/naver_blog/yonseiyegam/assets/by_hash/b9c0ce45bec5c719d01d67c3aaabe1469b4f5b5560ed8e19bf83dc57959f878c.jpg)
위의 엑스레이 사진은 처음에 오셨을 때의 엑스레이 사진입니다.
위쪽에 큰 어금니는 하나도 없고 앞니로만 식사를 하는 상태였습니다.
앞니 6개 중 3개만 진짜 치아이고 브릿지를 오래전에 하신 상태인데
앞니로만 식사를 할 수밖에 없다보니 앞니도 망가져서 아주 많이 흔들흔들 흔들리는 상태여서
저희 치과에 내원하게 되었습니다.
![[임플란트/서울역] 서울 상악 전체인플란트 실제사례.극한의 케이스도 관련 이미지 2](https://pub-9f2bb3498faf4d1d8714b41df24753e3.r2.dev/content/clinics/archive/rseeanjxfu/naver_blog/yonseiyegam/assets/by_hash/edb07868ebaa69eadec519063a4c6072a9f92fe95d1473e6a607d1d28c323064.jpg)
![[임플란트/서울역] 서울 상악 전체인플란트 실제사례.극한의 케이스도 관련 이미지 3](https://pub-9f2bb3498faf4d1d8714b41df24753e3.r2.dev/content/clinics/archive/rseeanjxfu/naver_blog/yonseiyegam/assets/by_hash/dc9f797afd2e5018b20dd412a0f9df5aefe4908ef8a4d499d125003c1652afd2.jpg)
![[임플란트/서울역] 서울 상악 전체인플란트 실제사례.극한의 케이스도 관련 이미지 4](https://pub-9f2bb3498faf4d1d8714b41df24753e3.r2.dev/content/clinics/archive/rseeanjxfu/naver_blog/yonseiyegam/assets/by_hash/a9bf8d6c52b2523458fcff6bd599fe9229624f69e2d8ea2fa5b1e43736799871.jpg)
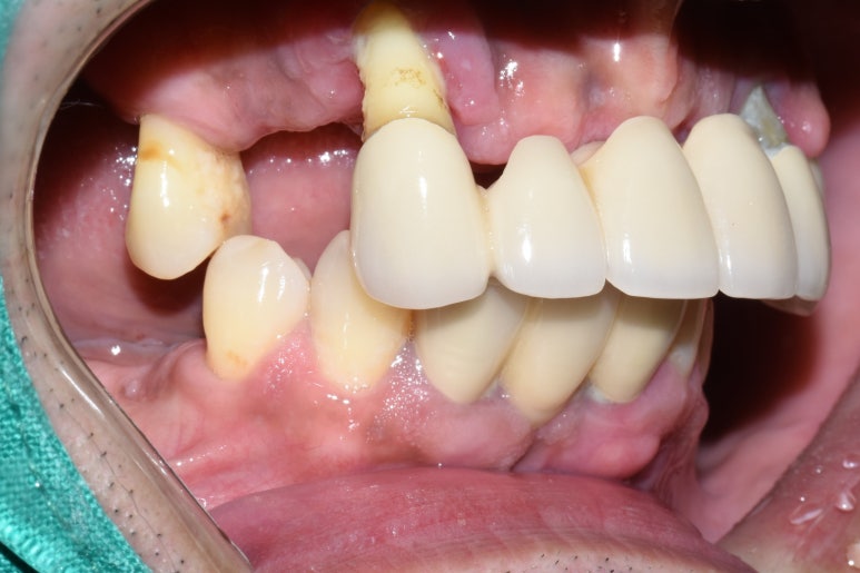
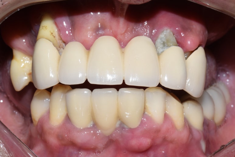
처음 오셨을 때 치아 사진입니다.
앞니가 너무 많이 흔들리고 남은 작은 어금니도 상태가 좋지 않아 다 뽑고 전체틀니를 하기로 했다가
환자분이 아직 50대이시기도 하고 뺐다꼈다 하는 틀니보다는
장기적으로 생각했을 때 임플란트를 하는게 낫다고 판단하신데다가
저희 치과가 서울에서 유명한 임플란트 전문이라고 주변에서 얘기를 들으셨다며
상악 전체임플란트를 하기로 하셨습니다.
![[임플란트/서울역] 서울 상악 전체인플란트 실제사례.극한의 케이스도 관련 이미지 5](https://pub-9f2bb3498faf4d1d8714b41df24753e3.r2.dev/content/clinics/archive/rseeanjxfu/naver_blog/yonseiyegam/assets/by_hash/190d5ae3a42cc7e59a2aafe81c31cc8234252fc09cc105b0f5869cebbe0786ba.jpg)
빨간선(상악동 하방), 파란선(치조골경계부위)
위의 엑스레이 사진에서 보듯이 상악동이라 불리는 공기주머니가 많이 내려와 있어서
그 부위에 어금니 임플란트를 심을 수 있는 뼈의 수직길이가 극히 적어서
일반 상악동 거상술보다 더 고난도의 상악동거상술 상악동 뼈이식까지 해야하는 상황이었습니다.
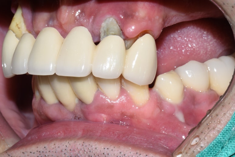
그리고 아래쪽에 어금니도 없는 부분도 어금니임플란트를 하기로 하였습니다.
![[임플란트/서울역] 서울 상악 전체인플란트 실제사례.극한의 케이스도 관련 이미지 6](https://pub-9f2bb3498faf4d1d8714b41df24753e3.r2.dev/content/clinics/archive/rseeanjxfu/naver_blog/yonseiyegam/assets/by_hash/d198b272c1f5e32f3e3c071a9966d1e50ca2e41fbd07e5cb14d2e2cd8f7134e6.jpg)
치아에 기구만 들어가도 너무 겁이 많아서 깜짝 깜짝 놀라는 치과공포증을 가진 분이었는데
네비게이션 임플란트를 통해 쉽고 빠르게, 덜아프게 임플란트 수술을 진행하셨습니다.
![[임플란트/서울역] 서울 상악 전체인플란트 실제사례.극한의 케이스도 관련 이미지 7](https://pub-9f2bb3498faf4d1d8714b41df24753e3.r2.dev/content/clinics/archive/rseeanjxfu/naver_blog/yonseiyegam/assets/by_hash/32e2fa73a7054c2583d16f75cbae1d9e4848e369e8d91382238d07e73fab9efa.jpg)
![[임플란트/서울역] 서울 상악 전체인플란트 실제사례.극한의 케이스도 관련 이미지 8](https://pub-9f2bb3498faf4d1d8714b41df24753e3.r2.dev/content/clinics/archive/rseeanjxfu/naver_blog/yonseiyegam/assets/by_hash/52b32f8024c1f58cc76efb89537806215b711acaf804f1a242dedc55fbe096fe.jpg)
![[임플란트/서울역] 서울 상악 전체인플란트 실제사례.극한의 케이스도 관련 이미지 9](https://pub-9f2bb3498faf4d1d8714b41df24753e3.r2.dev/content/clinics/archive/rseeanjxfu/naver_blog/yonseiyegam/assets/by_hash/5d1297374c1057b6035399375053d3babe9903c5fc0e1fe23304b629894e05d7.jpg)
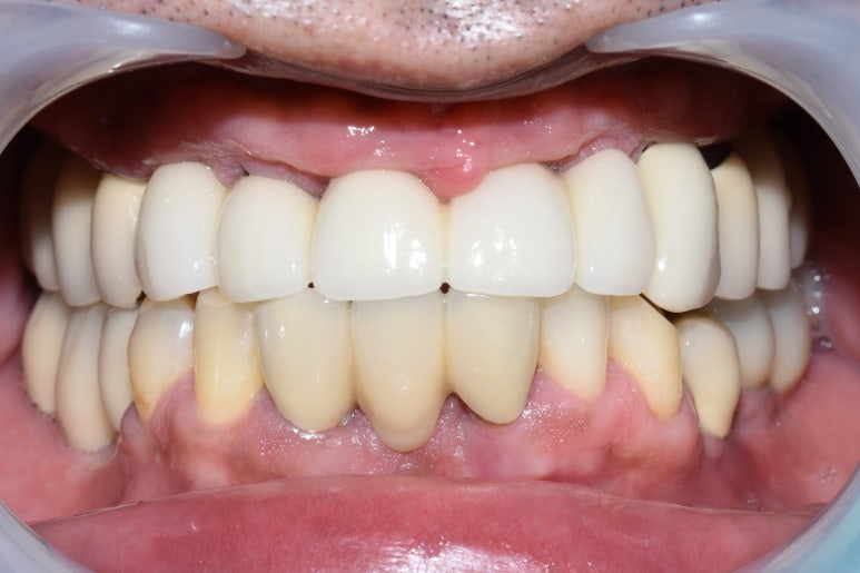
아래는 전후 비교사진입니다.
![[임플란트/서울역] 서울 상악 전체인플란트 실제사례.극한의 케이스도 관련 이미지 10](https://pub-9f2bb3498faf4d1d8714b41df24753e3.r2.dev/content/clinics/archive/rseeanjxfu/naver_blog/yonseiyegam/assets/by_hash/dc9f797afd2e5018b20dd412a0f9df5aefe4908ef8a4d499d125003c1652afd2.jpg)
![[임플란트/서울역] 서울 상악 전체인플란트 실제사례.극한의 케이스도 관련 이미지 11](https://pub-9f2bb3498faf4d1d8714b41df24753e3.r2.dev/content/clinics/archive/rseeanjxfu/naver_blog/yonseiyegam/assets/by_hash/52b32f8024c1f58cc76efb89537806215b711acaf804f1a242dedc55fbe096fe.jpg)
전 & 후
![[임플란트/서울역] 서울 상악 전체인플란트 실제사례.극한의 케이스도 관련 이미지 12](https://pub-9f2bb3498faf4d1d8714b41df24753e3.r2.dev/content/clinics/archive/rseeanjxfu/naver_blog/yonseiyegam/assets/by_hash/5d1297374c1057b6035399375053d3babe9903c5fc0e1fe23304b629894e05d7.jpg)
치료 후
위의 사진처럼 이제 환하게 웃을 수도 있고, 어금니로 음식도 잘 드실 수 있어서
5kg나 쪘다고 이번 체크 때 말씀해 주셨어요 ^^
환자분이 만족해하시니 저희도 행복해요!
[환자분의 동의를 얻은 케이스만 공개합니다]
지금까지 서울 시청역 연세예감치과에서
측방 상악동뼈이식 (상악동 거상술)을 포함해
내비게이션임플란트로 상악 전체임플란트, 하악 어금니 임플란트를 시행한 케이스
를 소개해 드렸습니다 ^^
또다른 상악 전체 임플란트케이스 소개 ▼
![[임플란트/서울역] 서울 상악 전체인플란트 실제사례.극한의 케이스도 관련 이미지 13](https://pub-9f2bb3498faf4d1d8714b41df24753e3.r2.dev/content/clinics/archive/rseeanjxfu/naver_blog/yonseiyegam/assets/by_hash/613f79c6bf33d0215114822afc023a6564e5e3d804937ecb40ece6691254a2f6.png)
시청역 연세예감치과
카톡예약과 문의 카카오톡채널 - 연세예감치과(클릭)
또는 카카오톡 ID: yonseiyegam 친구추가 후 문의
네이버예약 네이버 예약 클릭
전화예약 02-318-8275
아름답고 건강한 치아를 위해
해외에서도 외국인이 찾아오는 연세예감치과!
![[임플란트/서울역] 서울 상악 전체인플란트 실제사례.극한의 케이스도 관련 이미지 14](https://pub-9f2bb3498faf4d1d8714b41df24753e3.r2.dev/content/clinics/archive/rseeanjxfu/naver_blog/yonseiyegam/assets/by_hash/368c248b24fb9c9583486e0ebb8e1eeb8858c4da1ac4b6b4eebd42593ecc1941.png)
![[임플란트/서울역] 서울 상악 전체인플란트 실제사례.극한의 케이스도 관련 이미지 15](https://pub-9f2bb3498faf4d1d8714b41df24753e3.r2.dev/content/clinics/archive/rseeanjxfu/naver_blog/yonseiyegam/assets/by_hash/21c24e1a53636d28eb996e3595899aa77d49dafcc3f1e507f81a22a3ba009bf7.png)
![[임플란트/서울역] 서울 상악 전체인플란트 실제사례.극한의 케이스도 관련 이미지 16](https://pub-9f2bb3498faf4d1d8714b41df24753e3.r2.dev/content/clinics/archive/rseeanjxfu/naver_blog/yonseiyegam/assets/by_hash/1c4912ceedf3e52c840dbdc1fcb50df99378c671081f3837da1056ccb24f7a93.png)
![[임플란트/서울역] 서울 상악 전체인플란트 실제사례.극한의 케이스도 관련 이미지 17](https://pub-9f2bb3498faf4d1d8714b41df24753e3.r2.dev/content/clinics/archive/rseeanjxfu/naver_blog/yonseiyegam/assets/by_hash/cb060a776e530d7fd0bdeeca44c98a3917b2151c5b43627aad41e9022ef6bc68.png)
![[임플란트/서울역] 서울 상악 전체인플란트 실제사례.극한의 케이스도 관련 이미지 18](https://pub-9f2bb3498faf4d1d8714b41df24753e3.r2.dev/content/clinics/archive/rseeanjxfu/naver_blog/yonseiyegam/assets/by_hash/fbc0aeddb091025c151eb1e62fca8ed6535c265cf207051a01729a558fa82b32.png)
![[임플란트/서울역] 서울 상악 전체인플란트 실제사례.극한의 케이스도 관련 이미지 19](https://pub-9f2bb3498faf4d1d8714b41df24753e3.r2.dev/content/clinics/archive/rseeanjxfu/naver_blog/yonseiyegam/assets/by_hash/32892c57dce4572ae2bc60c705c5dc672839df78fe23995c3cd68eb59c3bb355.png)
![[임플란트/서울역] 서울 상악 전체인플란트 실제사례.극한의 케이스도 관련 이미지 20](https://pub-9f2bb3498faf4d1d8714b41df24753e3.r2.dev/content/clinics/archive/rseeanjxfu/naver_blog/yonseiyegam/assets/by_hash/1877b3e0a799e9d0671f5826b81e5ecb827ea5e35fbb5915bacc54c4aab158e9.png)
![[임플란트/서울역] 서울 상악 전체인플란트 실제사례.극한의 케이스도 관련 이미지 21](https://pub-9f2bb3498faf4d1d8714b41df24753e3.r2.dev/content/clinics/archive/rseeanjxfu/naver_blog/yonseiyegam/assets/by_hash/c1c4e5687a1ead6362307b8fc611c2900c52c974efcfae50e7ac37840222eca2.png)
더 보기
이 병원의 공개 콘텐츠를 계속 살펴보세요
출처 아카이브로 돌아가 더 많은 글을 보거나, 병원 프로필로 이동해 다른 공개 채널도 함께 비교해보세요.