Hello,
Located at a 3-minute walk from Exit 7 of City Hall Station(SEOUL)
in the center of Seoul,
Yonsei Yegam Dental Clinic is right across from the Samsung Main Building.
Today, I am posting about Veneers.
Why Dental veneer ?
Dental veneer can improve the colour of your teeth if you want them to be brighter, and the shape and arrangement of your teeth can be improved as well.
Some misunderstandings about laminate.
Patients are usually afraid of getting their teeth shaved as their teeth will get more sensitive.
The facts is that crown is the most common restoration that requires more shaving of the tooth compared to the dental veneer but patients actually are less concerned with crowns.
Also, those who have inturned teeth usually want their teeth to be more thicker, so shaving off your teeth will not be necessary during the process.
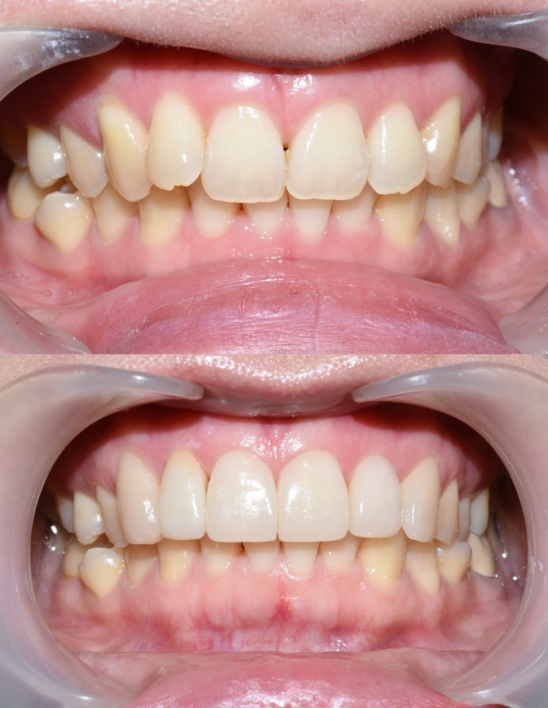
Shall we take a look at the before and after?
Several cases of dental veneer conducted
in Yonsei Yegam Dental Clinic.
case1 .
4 upper front Incisors veneered

Case 2.
Non-shave 6 front teeth veneers for Teeth Gaps


case 3.
Gingivectomy

case 4.
6 Upper Front teeth non-shave veneers

case5.
4 upper front teeth veneers (without shave)

case 6.
2 Peg lateralis Veneers

case 7.
Patient's request: THe molar implant I received in my country is too bright.
I want to blend the color of my upper teeth to match it more natural.
= 5 upper front teeth Veneers

case 8.
2 Veneers for Fractured front teeth

case 9.
5 upper front teeth veneers (without shave) + 1 upper front tooth crown

case 10.
2 upper front teeth veneers ( inturned teeth arrangement, without shave)

case 11.
Front 6 teeth veneered (after finishing the braces from other dental clinic, patient wanted longer teeth)

How your veneers are made
Putty mould is created of the teeth with that layer of enamel. This mould hardens and will be sent to a lab for the veneer creation.
How long does it take to set veneer and how many times do I have to visit dentist?
First of all you need to make a mould on the day you decide to do veneer and the mould is sent to the lab. Making the veneer in the lab will take about 9-12days of working day.
You will set the veneer when it is ready.
So total two times of visiting the clinic will be necessary.
EVENT: Price for veneer in 2025 (until December 31, 2025, Yonsei Yegam Dental Clinic
600,000 won per tooth
500,000 won per tooth if more than two veneer
480,000 won per tooth if 4 or more veneer
Laminates and teeth whitening are legally required to receive an additional 10% VAT for cosmetic purposes.
(This price is for those who agree on photo events of before and after of the veneer such as the previous photos shown above.)
If you don't agree with photo event, the price is 600,000 won each.)
Also, before laminating
General examination and medical counselling are required, including panorama to check the oral condition of the patient.
YONSEI YEGAM DENTAL CLINIC (near City hall station,Seoul)
Contact:
Kakaotalk app:
Please contact us via KakaoTalk: our ID is yonseiyegam .
Add us in KakaoTalk and feel free to ask if there’s any questions :)
Or click here for Kakaotalk channel chat.
E-mail: [email protected]
Address: 5F, Deokje building, 70, Sejong-daero, Jung-gu, Seoul
Website(Korean): https://www.yonseiyegam.com
With our best Dentist and dental hygienist,
Yonsei Yegam Dental Clinic is one of the best dental clinic in Seoul.
Surely there is a reason why so many patients
from foreign countries visit our clinic.


Dentist from England and Dentist from France visited Yonsei Yegam Dental Clinic.







