아카이브 요약
이 페이지의 역할
연세예감치과의원의 네이버 블로그 원문을 보존한 아카이브 페이지입니다. 임플란트 카테고리의 [서울시청역/케이스]"다른 치과에서 한 임플란트가 흔들려서 빼야할 것 같아요" 글을 통해 병원의 한국어 정보 제공 방식과 진료 관련 안내 톤을 확인할 수 있습니다.
원문 검증
필요하면 원문 블로그와 병원 프로필로 바로 이동해 문맥을 다시 확인할 수 있습니다.
출처 아카이브 열기아카이브된 블로그 글
연세예감치과의원 · Naver Blog
안녕하세요! 서울 시청역 7번출구 직진 도보3분 삼성본관맞은편에 위치한 시청역 연세예감치과입니다! 저희 치과가 고난이도의 수술을 많이 하다보니 다른치과에서 이미 임플란트 하신 분들의 임플란트를 제거하고 다시 임플란트를 해야하는 경우도 많습니다. 그런 사례를 한번 살펴보도록 하겠습니다,. 위 사진은 임...
게시일
2022년 10월 21일
원문 기준으로 확인된 발행일입니다.
카테고리
임플란트
원문 블로그 카테고리를 정리해 함께 표시합니다.
이미지 수
15
현재 아카이브에 연결된 이미지 수입니다.
아카이브 요약
연세예감치과의원의 네이버 블로그 원문을 보존한 아카이브 페이지입니다. 임플란트 카테고리의 [서울시청역/케이스]"다른 치과에서 한 임플란트가 흔들려서 빼야할 것 같아요" 글을 통해 병원의 한국어 정보 제공 방식과 진료 관련 안내 톤을 확인할 수 있습니다.
원문 검증
필요하면 원문 블로그와 병원 프로필로 바로 이동해 문맥을 다시 확인할 수 있습니다.
출처 아카이브 열기안녕하세요!
서울 시청역 7번출구 직진 도보3분
삼성본관맞은편에 위치한
시청역 연세예감치과입니다!
저희 치과가 고난이도의 수술을 많이 하다보니
다른치과에서 이미 임플란트 하신 분들의 임플란트를 제거하고
다시 임플란트를 해야하는 경우도 많습니다.
그런 사례를 한번 살펴보도록 하겠습니다,.
![[서울시청역/케이스]"다른 치과에서 한 임플란트가 흔들려서 빼야할 것 같아요" 관련 이미지 1](https://pub-9f2bb3498faf4d1d8714b41df24753e3.r2.dev/content/clinics/archive/rseeanjxfu/naver_blog/yonseiyegam/assets/by_hash/dac179e2b6150db7650220070262bec6112ad7e91cd9b0e60519fe77acb28eb3.jpg)
위 사진은 임플란트 모형인데요
![[서울시청역/케이스]"다른 치과에서 한 임플란트가 흔들려서 빼야할 것 같아요" 관련 이미지 2](https://pub-9f2bb3498faf4d1d8714b41df24753e3.r2.dev/content/clinics/archive/rseeanjxfu/naver_blog/yonseiyegam/assets/by_hash/6d1450b25a1f14e8edcbc18bc8277bb5263f954055c174a4bdbf015eb1f74b26.jpg)
임프란트는 주로 위의 사진에 표시된 1,2,3 으로 구성됩니다.
1.은 픽스쳐라 부르는 뿌리부분
2.는 지대주라 부르는 1과3을 연결하는 중간구조물
3.는 머리부분인 크라운입니다.
기존 임플란트 뿌리(픽스쳐)까지 제거해야 하는 경우는 여러 가지 이유가 있을 수 있는데요
머리부분만 흔들리는 경우는 머리만 교체하면 되겠지만
머리만이 아니라 픽스쳐부위인 뿌리부분까지 문제가 있는 경우는
픽스쳐를 제거하고 재수술을 해야하는 경우가 많습니다.
저희 치과에서 직접 시행한 사례를 살펴보도록 하겠습니다.
[환자분의 동의를 얻은 케이스입니다]
![[서울시청역/케이스]"다른 치과에서 한 임플란트가 흔들려서 빼야할 것 같아요" 관련 이미지 3](https://pub-9f2bb3498faf4d1d8714b41df24753e3.r2.dev/content/clinics/archive/rseeanjxfu/naver_blog/yonseiyegam/assets/by_hash/548cf67e60b75c9597d5704c4e423d73a8df8a9d8276430b562f576932287845.jpg)
![[서울시청역/케이스]"다른 치과에서 한 임플란트가 흔들려서 빼야할 것 같아요" 관련 이미지 4](https://pub-9f2bb3498faf4d1d8714b41df24753e3.r2.dev/content/clinics/archive/rseeanjxfu/naver_blog/yonseiyegam/assets/by_hash/1e8117be8f49c33957fc0d3e35492e69b7a919aad31daf92d18ddf8963516c88.jpg)
환자분이 처음에 오신 상태가 왼쪽 사진이고 많이 썩은 어금니와 임플란트픽스쳐를 제거한 것이 오른쪽 사진입니다.
환자분의 다른 치과에서 한 임플란트의 머리 부분은 없어진 상태이고 픽스쳐는 찢어져 있어서
픽스쳐 위에 지대주나 머리를 올릴 수 없어서 임플란트를 제거하는 수술을 하였습니다.
![[서울시청역/케이스]"다른 치과에서 한 임플란트가 흔들려서 빼야할 것 같아요" 관련 이미지 5](https://pub-9f2bb3498faf4d1d8714b41df24753e3.r2.dev/content/clinics/archive/rseeanjxfu/naver_blog/yonseiyegam/assets/by_hash/7fe73084adae7e6468cd357c26d567f8b2fe7481ccf459ac10063cce5dede96e.jpg)
다른치과에서 오래전에 수술한 임플란트가 많이 흔들리고
또한 엑스레이 상에 인프란트 주변 뼈도 많이 녹아있어
묶여있는 임플란트 2개를 제거하였습니다.
![[서울시청역/케이스]"다른 치과에서 한 임플란트가 흔들려서 빼야할 것 같아요" 관련 이미지 6](https://pub-9f2bb3498faf4d1d8714b41df24753e3.r2.dev/content/clinics/archive/rseeanjxfu/naver_blog/yonseiyegam/assets/by_hash/3fe4b56c3362a2b36987028f9d40931d538921277b17ebfa953098b035ccebad.jpg)
![[서울시청역/케이스]"다른 치과에서 한 임플란트가 흔들려서 빼야할 것 같아요" 관련 이미지 7](https://pub-9f2bb3498faf4d1d8714b41df24753e3.r2.dev/content/clinics/archive/rseeanjxfu/naver_blog/yonseiyegam/assets/by_hash/47a667073c584cf09a9b6de280cc1e668b576497d69914e46200ed64deebccc0.jpg)
두 개 중 하나는 흔들려서 쉽게 제거되었으나 나머지 하나는 상부 뼈가 녹아있음에도
뿌리부분에는 임프란트 픽스쳐가 뼈와 강하게 유착되어 있어 다 갈아내어 임플란트를 제거하였습니다.
![[서울시청역/케이스]"다른 치과에서 한 임플란트가 흔들려서 빼야할 것 같아요" 관련 이미지 8](https://pub-9f2bb3498faf4d1d8714b41df24753e3.r2.dev/content/clinics/archive/rseeanjxfu/naver_blog/yonseiyegam/assets/by_hash/e10a5890ba822f84ec6e54705184d29beb3cf367014d8266dd09ba7bbbbb99f4.jpg)
앞에 흔들리는 치아 1개까지 추가로 발치하여 임플란트 2개와 중간 머리1개를 연결하여
3개의 치아를 대체하는 2개의 임플란트를 식립한 케이스입니다.
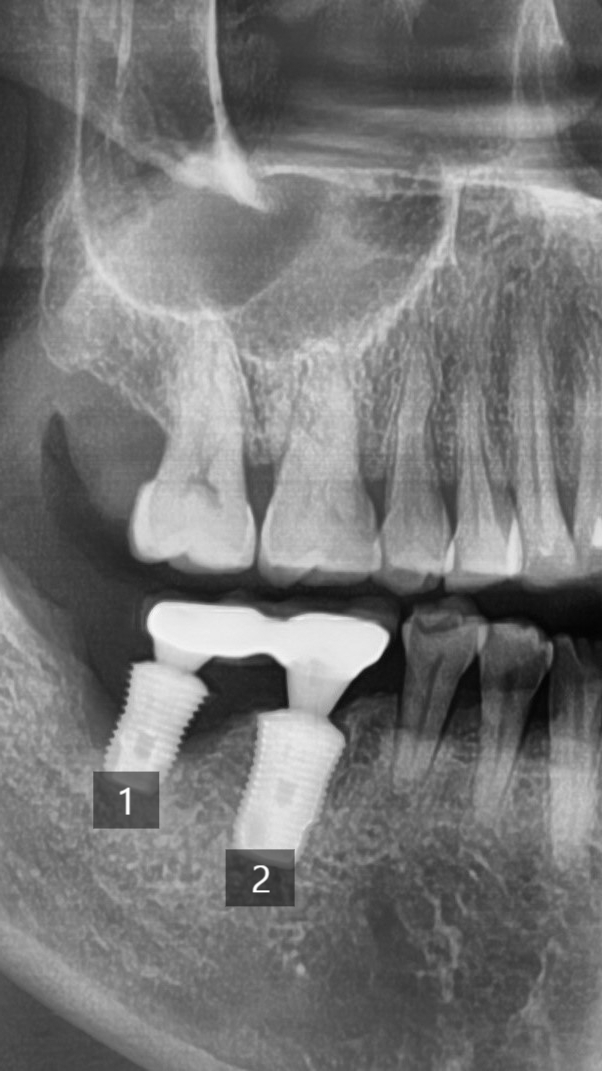
![[서울시청역/케이스]"다른 치과에서 한 임플란트가 흔들려서 빼야할 것 같아요" 관련 이미지 9](https://pub-9f2bb3498faf4d1d8714b41df24753e3.r2.dev/content/clinics/archive/rseeanjxfu/naver_blog/yonseiyegam/assets/by_hash/cc3eb953d18c35ee6105a995ffa6846a826da9aaeb7ef2a6ea8c3020f8c1d459.jpg)
![[서울시청역/케이스]"다른 치과에서 한 임플란트가 흔들려서 빼야할 것 같아요" 관련 이미지 10](https://pub-9f2bb3498faf4d1d8714b41df24753e3.r2.dev/content/clinics/archive/rseeanjxfu/naver_blog/yonseiyegam/assets/by_hash/67993974b3cc0c81fbbce090d58584f6b967f35db41d2f78bb45e1c00b2f43f3.jpg)
아래쪽 임플란트가 흔들려서 뽑기를 원하셨습니다.
사진에 1번이라고 표시된 인프란트는 뼈가 많이 녹아서 흔들리는 것이고
2번의 임프란트는 엑스레이상에 뼈가 많이는 녹은 것처럼 보이지 않지만
실제로 수술을 해보니 2번의 임플란트 중간에 어버트먼트를 위한 나사가 파절되어 임플란트 머리가 흔들렸습니다.
![[서울시청역/케이스]"다른 치과에서 한 임플란트가 흔들려서 빼야할 것 같아요" 관련 이미지 11](https://pub-9f2bb3498faf4d1d8714b41df24753e3.r2.dev/content/clinics/archive/rseeanjxfu/naver_blog/yonseiyegam/assets/by_hash/67989eb2b43fa475be50ab1fb843b78f6d048a3b7ee16388ffbf717bbffdd9be.jpg)
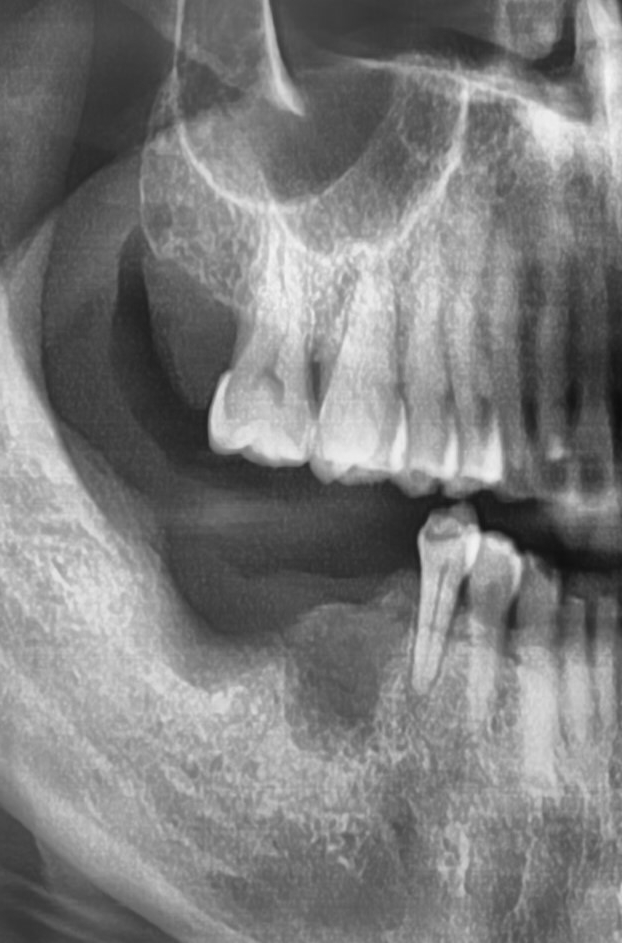
![[서울시청역/케이스]"다른 치과에서 한 임플란트가 흔들려서 빼야할 것 같아요" 관련 이미지 12](https://pub-9f2bb3498faf4d1d8714b41df24753e3.r2.dev/content/clinics/archive/rseeanjxfu/naver_blog/yonseiyegam/assets/by_hash/c27aea7854db7ae19897941b85797a1c0a4ead2a5fcea379fd6dd4f3585ee205.jpg)
다른치과 임프란트 스크류 파절상태
왼쪽은 위의 파노라마 실제환자 사진이고 오른쪽은 참고사진입니다.
참고 사진을 보면 중간에 나사가 있습니다.
위의 환자는 윗부분 지대주와 아래 픽스쳐를 연결시키는 스크류(나사)가 부러져서
머리부분이 흔들릴 수 밖에 없는 것이었습니다.
나사가 박혀있기 때문에 기존 임플란트를 재사용하기는 힘들었고
기존 임플란트도 제거하였습니다.
![[서울시청역/케이스]"다른 치과에서 한 임플란트가 흔들려서 빼야할 것 같아요" 관련 이미지 13](https://pub-9f2bb3498faf4d1d8714b41df24753e3.r2.dev/content/clinics/archive/rseeanjxfu/naver_blog/yonseiyegam/assets/by_hash/cc3eb953d18c35ee6105a995ffa6846a826da9aaeb7ef2a6ea8c3020f8c1d459.jpg)
![[서울시청역/케이스]"다른 치과에서 한 임플란트가 흔들려서 빼야할 것 같아요" 관련 이미지 14](https://pub-9f2bb3498faf4d1d8714b41df24753e3.r2.dev/content/clinics/archive/rseeanjxfu/naver_blog/yonseiyegam/assets/by_hash/67993974b3cc0c81fbbce090d58584f6b967f35db41d2f78bb45e1c00b2f43f3.jpg)
다른 치과 기존 임플란트를 제거한 경우에
케이스에 따라 바로 재수술을 하는 경우도 있고
회복을 기다렸다가 재수술을 하는 경우도 있습니다.
지금까지 고난도 임플란트수술 경험이 많은
시청역 연세예감치과에서 알려드린
임플란트 픽스쳐 제거 수술 사례였습니다.
네이버 예약 클릭 (naver.com)
카톡문의: 카카오톡채널 연세예감치과(클릭)
![[서울시청역/케이스]"다른 치과에서 한 임플란트가 흔들려서 빼야할 것 같아요" 관련 이미지 15](https://pub-9f2bb3498faf4d1d8714b41df24753e3.r2.dev/content/clinics/archive/rseeanjxfu/naver_blog/yonseiyegam/assets/by_hash/15a28e6726318d88709b1e22f4c5da8d175f736f92ab4c59d1ff522ec4366c1f.png)