아카이브 요약
이 페이지의 역할
연세예감치과의원의 네이버 블로그 원문을 보존한 아카이브 페이지입니다. 충치치료 카테고리의 [서대문/광화문]외국인도 찾아오는 치아색나는 크라운, 지르코니아 크라운 치료 치과 어떻게 변하는지 확인해보아요 글을 통해 병원의 한국어 정보 제공 방식과 진료 관련 안내 톤을 확인할 수 있습니다.
원문 검증
필요하면 원문 블로그와 병원 프로필로 바로 이동해 문맥을 다시 확인할 수 있습니다.
출처 아카이브 열기아카이브된 블로그 글
연세예감치과의원 · Naver Blog
안녕하세요 서울 시청역 7번출구 삼성본관 맞은편에서 시청역 직장인들의 치아건강을 책임지고 있는 시청역 연세예감치과입니다. 오늘은 크라운 치료 중에서도 지르코니아 크라운 치료에 대해 설명드리고자 합니다. 크라운을 씌우는 경우는 보통 신경치료를 하고 나서, 또는 특정치아에서 충치가 광범위해서 전체적으로 씌워야 하는 경...
게시일
2022년 11월 11일
원문 기준으로 확인된 발행일입니다.
카테고리
충치치료
원문 블로그 카테고리를 정리해 함께 표시합니다.
이미지 수
8
현재 아카이브에 연결된 이미지 수입니다.
아카이브 요약
연세예감치과의원의 네이버 블로그 원문을 보존한 아카이브 페이지입니다. 충치치료 카테고리의 [서대문/광화문]외국인도 찾아오는 치아색나는 크라운, 지르코니아 크라운 치료 치과 어떻게 변하는지 확인해보아요 글을 통해 병원의 한국어 정보 제공 방식과 진료 관련 안내 톤을 확인할 수 있습니다.
원문 검증
필요하면 원문 블로그와 병원 프로필로 바로 이동해 문맥을 다시 확인할 수 있습니다.
출처 아카이브 열기안녕하세요
서울 시청역 7번출구
삼성본관 맞은편에서
시청역 직장인들의 치아건강을 책임지고 있는
시청역 연세예감치과입니다.
오늘은 크라운 치료 중에서도 지르코니아 크라운 치료에 대해 설명드리고자 합니다.
크라운을 씌우는 경우는
보통 신경치료를 하고 나서,
또는 특정치아에서 충치가 광범위해서 전체적으로 씌워야 하는 경우
또는 기존 크라운을 교체하는 경우 크라운 치료를 하게 됩니다.
요즘은 아주 예전에 쓰이던 재료와 달리
심미성과 강도 두 장점이 모두 있는 '지르코니아'가 크라운의 재료로 널리 쓰이고 있습니다.
금의 색상을 띄는 금크라운과 달리, 지르코니아크라운은 색상이 치아색과 유사하고
안에는 메탈이 있고 하얀 색의 도자기를 올려 치아 색부분이 깨지기 쉬웠던 PFM(Porcelain fused Metal) 크라운과 달리, 지르코니아 크라운은 잘 깨지지 않습니다.
저희 치과에서 실제로 치료한 환자의 사례로 알아보겠습니다.
<환자분의 동의를 얻은 사진만 포스팅합니다>
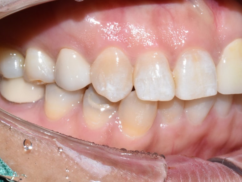
![[서대문/광화문]외국인도 찾아오는 치아색나는 크라운, 지르코니아 크라운 치료 치과 어떻게 변하는지 확인해보아요 관련 이미지 1](https://pub-9f2bb3498faf4d1d8714b41df24753e3.r2.dev/content/clinics/archive/rseeanjxfu/naver_blog/yonseiyegam/assets/by_hash/c0a3112501b385f0448dfdc1a0a68787b39d4db428ea0923ee766c0851b81ec4.jpg)
위 사진의 환자분인데요, 위 사진에서 보이는 두 치아가 아래 큰 사진에서 화살표로 표시한 치아입니다.
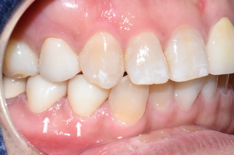
![[서대문/광화문]외국인도 찾아오는 치아색나는 크라운, 지르코니아 크라운 치료 치과 어떻게 변하는지 확인해보아요 관련 이미지 2](https://pub-9f2bb3498faf4d1d8714b41df24753e3.r2.dev/content/clinics/archive/rseeanjxfu/naver_blog/yonseiyegam/assets/by_hash/a5b2e7831db4ef1ae0a5bbcaab71831bdb520fae0b030e9e9c767f936c76bb21.jpg)
원래 사진에 하트 표시된 치아도 저희 치과에서 1년전에 하셨는데
그 때 엑스레이를 보고 많이 썩어서 아래쪽도 해야된다고 말씀드렸는데 미루시다가
결국 아래 치아에 구멍이 나셨다고 방문하셨습니다.
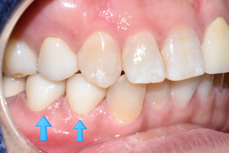
![[서대문/광화문]외국인도 찾아오는 치아색나는 크라운, 지르코니아 크라운 치료 치과 어떻게 변하는지 확인해보아요 관련 이미지 3](https://pub-9f2bb3498faf4d1d8714b41df24753e3.r2.dev/content/clinics/archive/rseeanjxfu/naver_blog/yonseiyegam/assets/by_hash/64655221affe9fdbb613dc0e1921c46f5b38e89d612d1131adeb83f031d6b749.jpg)
치료전
아마 상악에 하셨던 크라운이 만족스러우니 또 방문하셨겠지요??
구멍이 났다는 치아는 큰 사진에서 보면 안에서 많이 썩어서 밖에까지 까만 게 비쳐보입니다.
신경치료 하고 크라운을 씌워서 아래와 같이 하얗고 깨끗한 예쁜 치아로 완성되었습니다.
![[서대문/광화문]외국인도 찾아오는 치아색나는 크라운, 지르코니아 크라운 치료 치과 어떻게 변하는지 확인해보아요 관련 이미지 4](https://pub-9f2bb3498faf4d1d8714b41df24753e3.r2.dev/content/clinics/archive/rseeanjxfu/naver_blog/yonseiyegam/assets/by_hash/f196272159358f6dd22ef035521d1eda74af024699927366f52301c0b1f40f5a.jpg)
![[서대문/광화문]외국인도 찾아오는 치아색나는 크라운, 지르코니아 크라운 치료 치과 어떻게 변하는지 확인해보아요 관련 이미지 5](https://pub-9f2bb3498faf4d1d8714b41df24753e3.r2.dev/content/clinics/archive/rseeanjxfu/naver_blog/yonseiyegam/assets/by_hash/f0b604e2b6b64a84612184f7408030fb251dac18970bbd397a914f14a9ca1b27.jpg)
치료 후 하얗고 깨끗한 지르코니아 크라운 치아로.
![[서대문/광화문]외국인도 찾아오는 치아색나는 크라운, 지르코니아 크라운 치료 치과 어떻게 변하는지 확인해보아요 관련 이미지 6](https://pub-9f2bb3498faf4d1d8714b41df24753e3.r2.dev/content/clinics/archive/rseeanjxfu/naver_blog/yonseiyegam/assets/by_hash/cecce27ed16f314f2482e1f9904b54779ff87831eb91ec262f15f0074fb27c8a.jpg)
![[서대문/광화문]외국인도 찾아오는 치아색나는 크라운, 지르코니아 크라운 치료 치과 어떻게 변하는지 확인해보아요 관련 이미지 7](https://pub-9f2bb3498faf4d1d8714b41df24753e3.r2.dev/content/clinics/archive/rseeanjxfu/naver_blog/yonseiyegam/assets/by_hash/5b8b16986cc7d5c1123d321fe63dfa71cacba47d7e6fd775ed154584ff771519.jpg)
왼쪽 사진(하악 작은어금니 2개 크라운 전) / 오른쪽 사진 (하악 작은어금니 2개 크라운 후)
간혹 다른 치과에서 한 지르코니아 크라운을 보면
지르코니아 크라운이 뭔가 임시치아처럼 생겼거나(?)
치아 모양과 달리 그루브도 없고 뭉툭한 모양을 띄는 경우가 있는데요
저희 시청역 연세예감치과에서는
심미성까지 생각하여 지르코니아 크라운 제작을 의뢰하고 있습니다.
심미성과 강도를 보강한 지르코니아크라운을 이용하여
예쁘면서도 건강한 치아를 만들어보세요!
해외에서도 건강하고 아름다운 치아를 위해 찾아오는
시청역 연세예감치과!
![[서대문/광화문]외국인도 찾아오는 치아색나는 크라운, 지르코니아 크라운 치료 치과 어떻게 변하는지 확인해보아요 관련 이미지 8](https://pub-9f2bb3498faf4d1d8714b41df24753e3.r2.dev/content/clinics/archive/rseeanjxfu/naver_blog/yonseiyegam/assets/by_hash/6cdeb6c4a761005199d8b032c72bfa83482d001736141e9f044722e723198091.jpg)
해외에서 방문하여 연세예감치과에서 치료를 받은 외국인들