아카이브 요약
이 페이지의 역할
연세예감치과의원의 네이버 블로그 원문을 보존한 아카이브 페이지입니다. 치아성형 카테고리의 [시청역/서울역 치과] 앞니 치아부러짐 자연스럽게 치료사례 글을 통해 병원의 한국어 정보 제공 방식과 진료 관련 안내 톤을 확인할 수 있습니다.
원문 검증
필요하면 원문 블로그와 병원 프로필로 바로 이동해 문맥을 다시 확인할 수 있습니다.
출처 아카이브 열기아카이브된 블로그 글
연세예감치과의원 · Naver Blog
안녕하세요 서울의 중심 서울 시청역7번출구 삼성본관 바로 맞은편에 위치한 연세예감치과입니다. 남대문에서도 가깝고 (남대문 숭례문에서 도보 3분거리. 저희 치과 바로앞 횡단보도에서 남대문이 바로 보여요) 서울역에서도 가까우며 시청역7번 출구에서 직진 도보3~4분입니다. 오늘은 겨울이 되면서 더더욱 많은 분들이 겪는...
게시일
2022년 11월 28일
원문 기준으로 확인된 발행일입니다.
카테고리
치아성형
원문 블로그 카테고리를 정리해 함께 표시합니다.
이미지 수
25
현재 아카이브에 연결된 이미지 수입니다.
아카이브 요약
연세예감치과의원의 네이버 블로그 원문을 보존한 아카이브 페이지입니다. 치아성형 카테고리의 [시청역/서울역 치과] 앞니 치아부러짐 자연스럽게 치료사례 글을 통해 병원의 한국어 정보 제공 방식과 진료 관련 안내 톤을 확인할 수 있습니다.
원문 검증
필요하면 원문 블로그와 병원 프로필로 바로 이동해 문맥을 다시 확인할 수 있습니다.
출처 아카이브 열기안녕하세요 서울의 중심
서울 시청역7번출구 삼성본관 바로 맞은편에 위치한 연세예감치과입니다.
남대문에서도 가깝고 (남대문 숭례문에서 도보 3분거리. 저희 치과 바로앞 횡단보도에서 남대문이 바로 보여요)
서울역에서도 가까우며
시청역7번 출구에서 직진 도보3~4분입니다.
오늘은 겨울이 되면서 더더욱 많은 분들이 겪는 앞니 치아부러짐 사례입니다.
벌써 저희 치과가 시청역에 자리잡은지 5년째인데요
겨울마다 특히 앞니 파절 환자들이 많습니다.
이번주부터 날씨가 매우 추워진다고 하네요
겨울에 앞니가 많이 부러지는 이유로는
미끄러운 길에서 미끄러지거나,
추워서 주머니에 양손을 넣고 걷다가 넘어져서 앞니가 깨지거나,
연말이라 송년회 등으로 회식이 많다보니 술마시고 싸우거나 넘어지는 경우 등등이 있습니다.
그래서 겨울이 앞니 환자들이 유독 많은 계절입니다.
오늘은 그래서 앞니 치아부러진 것을 해결한 사례들을 소개해보고자 합니다.
[환자분의 동의를 얻은 사진만 게시합니다.]
![[시청역/서울역 치과] 앞니 치아부러짐 자연스럽게 치료사례 관련 이미지 1](https://pub-9f2bb3498faf4d1d8714b41df24753e3.r2.dev/content/clinics/archive/rseeanjxfu/naver_blog/yonseiyegam/assets/by_hash/d423924e944a172afabe4390b46174eeeafc6704f921d50379a95cc08d5d4d36.jpg)
앞니가 깨져서 오셨을 때 처음 상태
![[시청역/서울역 치과] 앞니 치아부러짐 자연스럽게 치료사례 관련 이미지 2](https://pub-9f2bb3498faf4d1d8714b41df24753e3.r2.dev/content/clinics/archive/rseeanjxfu/naver_blog/yonseiyegam/assets/by_hash/0ce10fb9146cabc662948510c145394d1311d22527ef043ddb2326fd57716e0e.jpg)
![[시청역/서울역 치과] 앞니 치아부러짐 자연스럽게 치료사례 관련 이미지 3](https://pub-9f2bb3498faf4d1d8714b41df24753e3.r2.dev/content/clinics/archive/rseeanjxfu/naver_blog/yonseiyegam/assets/by_hash/3e66a8b8e1cd3a06995d388c9f0147e2c7e6a2832dd9f3622872bf02b3f4e952.jpg)
회사생활을 위해 임시로 급하게 앞니를 떼운 모습 (왼쪽) -> 깨진 앞니 크라운을 완성한 상태
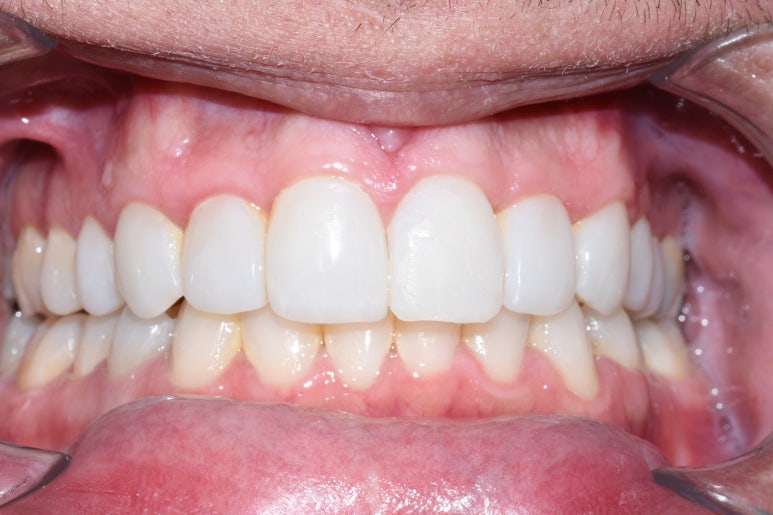
넘어져서 앞니가 많이 깨져서 오셨는데
치료를 물론 받으셔야 하지만 회사에서 점심시간에 잠깐 나오신 거라
사회생활을 하기 위해 임시로 앞니를 떼워드린 후
치료를 진행하여 앞니 크라운이 완성되었습니다.
깨진 치아 크라운을 하시는 김에
삐뚤었던 앞니를 교정하는 효과와 치아 색을 더 밝게 하는 효과를 넣어드려서
2개만 치료했지만
나머지 치아들도 더 전반적으로 깔끔해 보이는 효과가 생겼습니다.
![[시청역/서울역 치과] 앞니 치아부러짐 자연스럽게 치료사례 관련 이미지 4](https://pub-9f2bb3498faf4d1d8714b41df24753e3.r2.dev/content/clinics/archive/rseeanjxfu/naver_blog/yonseiyegam/assets/by_hash/58304014ff7624b7e4e594cd0603776d1f75238160266d5392cc9b93d76baa69.jpg)
![[시청역/서울역 치과] 앞니 치아부러짐 자연스럽게 치료사례 관련 이미지 5](https://pub-9f2bb3498faf4d1d8714b41df24753e3.r2.dev/content/clinics/archive/rseeanjxfu/naver_blog/yonseiyegam/assets/by_hash/003856cb1d518245958e68a875ee91ff4aa856e722cabe806c4e03bcbf65f8a2.jpg)
환자분이 외국인 관광객이신데 외국에서 한 라미네이트가 깨져서 급하게 저희 치과를 소개 받고 오셨습니다.
보통 치과의 치아를 깎아서 붙이는 수복치료에서
재치료시 동일 치료나 점점 큰 치료로 가게 마련이기 때문에
라미네이트의 재치료는 라미네이트 또는 크라운만 가능하지만
환자분의 출국이 바로 다음날이었고 또 계속 다른 나라로의 관광이 예정되어 있어
라미네이트를 할 시간이 없으셔서 임시로 레진 치료를 해드렸습니다.
![[시청역/서울역 치과] 앞니 치아부러짐 자연스럽게 치료사례 관련 이미지 6](https://pub-9f2bb3498faf4d1d8714b41df24753e3.r2.dev/content/clinics/archive/rseeanjxfu/naver_blog/yonseiyegam/assets/by_hash/c4eb2af0d37d9abc0bb41243085accfa741f3f07143a2009d98df87ccac2c50d.jpg)
![[시청역/서울역 치과] 앞니 치아부러짐 자연스럽게 치료사례 관련 이미지 7](https://pub-9f2bb3498faf4d1d8714b41df24753e3.r2.dev/content/clinics/archive/rseeanjxfu/naver_blog/yonseiyegam/assets/by_hash/3e5e626a7a071e4c3c95de33f496d569d527ac2bc3dc45c748cde4f43670bea8.jpg)
놀다가? 넘어져서 치아가 부러진 외국인 환자분입니다.
입술에도 상처가 나 있는 걸 볼 수 있습니다.
레진으로 떼우면 아래 치아와 닿아서 많이 떨어질 가능성이 있지만
다음달 본인 나라로 출국 예정이라 라미네이트 생각이 있긴 한데
지금은 급하게 레진으로 떼우고
본인 나라에서 원래 주치의와 다시 상담하기로 하고 레진으로 떼워드렸습니다.
최근에 앞니 깨진 외국인 환자분들이 너무 많이오셔서
외국인들 사이에 앞니치료 맛집으로 소문이 난 듯한 느낌이었습니다.
![[시청역/서울역 치과] 앞니 치아부러짐 자연스럽게 치료사례 관련 이미지 8](https://pub-9f2bb3498faf4d1d8714b41df24753e3.r2.dev/content/clinics/archive/rseeanjxfu/naver_blog/yonseiyegam/assets/by_hash/425ac705dd35b86414414ca8a1a47718de309df821653007e40a415acd025820.jpg)
![[시청역/서울역 치과] 앞니 치아부러짐 자연스럽게 치료사례 관련 이미지 9](https://pub-9f2bb3498faf4d1d8714b41df24753e3.r2.dev/content/clinics/archive/rseeanjxfu/naver_blog/yonseiyegam/assets/by_hash/dc57dcaf09843dc1f550d4a9d1e983597851da917fb64e096b2708a7958d58e3.jpg)
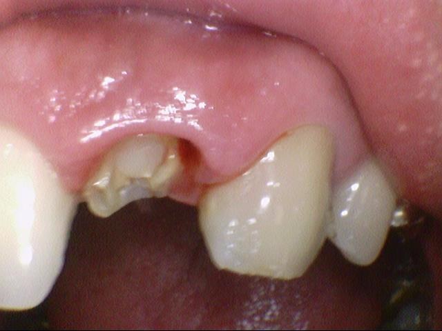
사고 직후 빠진 치아 (왼쪽 사진) -> 윗니 브릿지 및 아랫니 브릿지(오른쪽 사진)
환자분은 넘어졌다고 하셨나? 그랬지만 주변의 증언을 들으면 싸운 것 같다는...
이 환자분은 이미 치아도 빠지고 흔들리는 김에 치아 완전 고르게 해달라고 하셔서
흔들리는 이는 빠지고 치료해야 하는 치아는 처리해서 브릿지를 만들어 드렸고
환자분이 고르고 하얗게 된 이에 굉장히 만족 하셨습니다.
![[시청역/서울역 치과] 앞니 치아부러짐 자연스럽게 치료사례 관련 이미지 10](https://pub-9f2bb3498faf4d1d8714b41df24753e3.r2.dev/content/clinics/archive/rseeanjxfu/naver_blog/yonseiyegam/assets/by_hash/db64e4bd1fc2deb3d0cc33dd988f6e7e6438a16498b10eec481c26b43dac6a79.jpg)
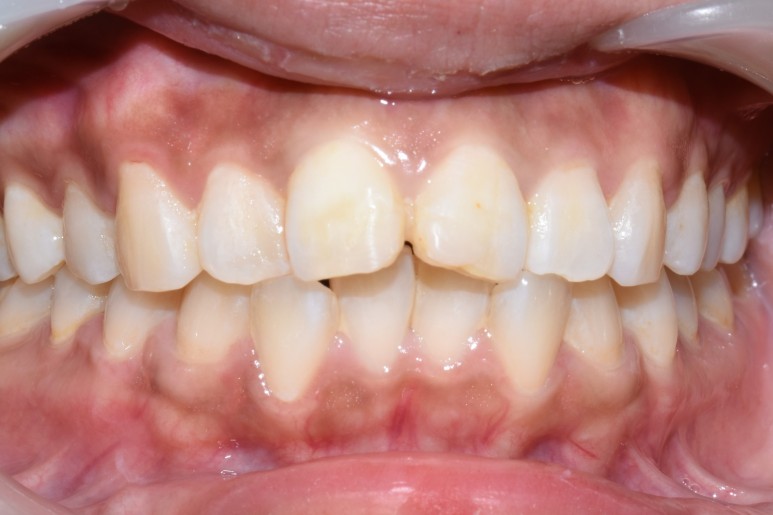
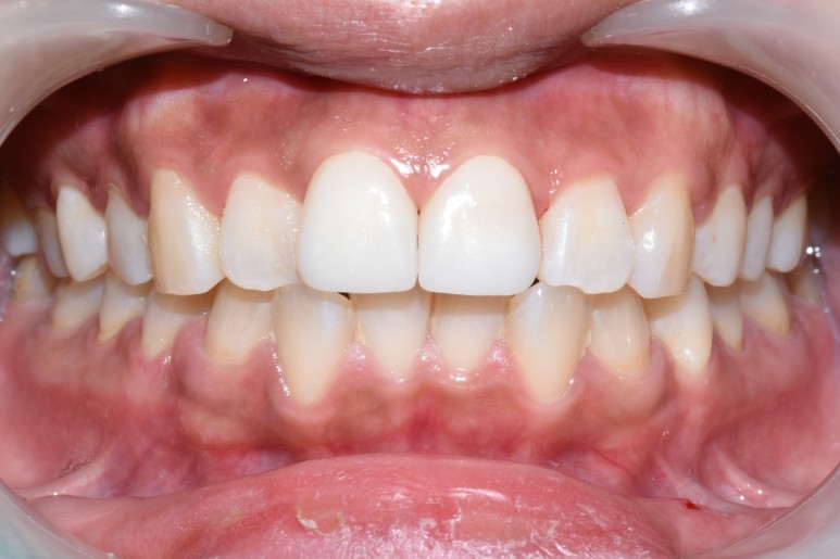
환자분이 올려주신 전후사진
환자분은 기억이 안난다고 하셨는데
옆에 치아에도 현재 깨졌던 모양과 비슷한 모양으로 다른 데서 떼운 흔적
이 있는 걸로 봐서는 아마 오래 전 어렸을 때 때웠던 레진이
이번에 단단한 걸 깨물어 먹다가 떨어지신 것 같았습니다.
단단한 것을 아그작 아그작 씹어먹는것 ! 치아나 보철물, 수복물이 파절될 수 있으므로 매우 안좋습니다.
레진으로 또 때우면 아무래도 면적이 크다보니 약해서 크라운을 해야할 것도 같았지만
환자분의 사정상 일단은 레진으로 떼우게 되었습니다.
환자분이 남겨주신 후기의 사진입니다. [환자분께 동의를 얻고 블로그에 올립니다]
6.앞니가 흔들려서 빼고 앞니 임플란트
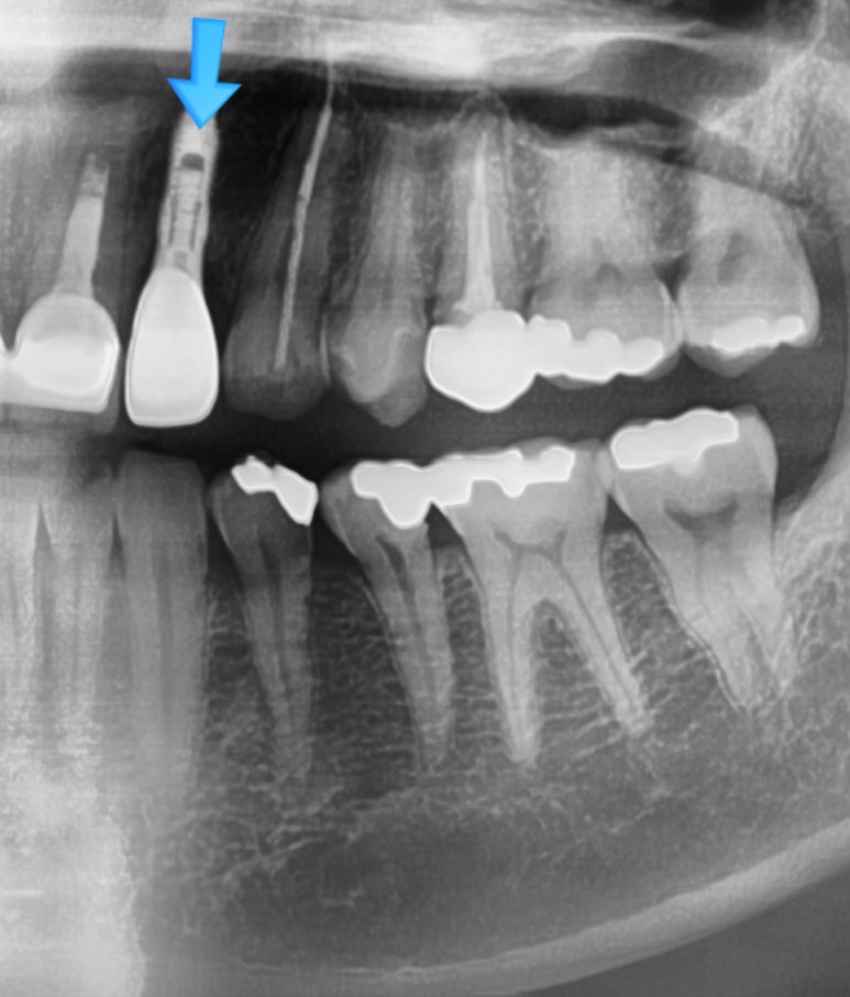
![[시청역/서울역 치과] 앞니 치아부러짐 자연스럽게 치료사례 관련 이미지 11](https://pub-9f2bb3498faf4d1d8714b41df24753e3.r2.dev/content/clinics/archive/rseeanjxfu/naver_blog/yonseiyegam/assets/by_hash/bcf33b682caa05dd5de263fdae60de18c23aebc4d1ce81ceb2896be9e13f76a3.jpg)
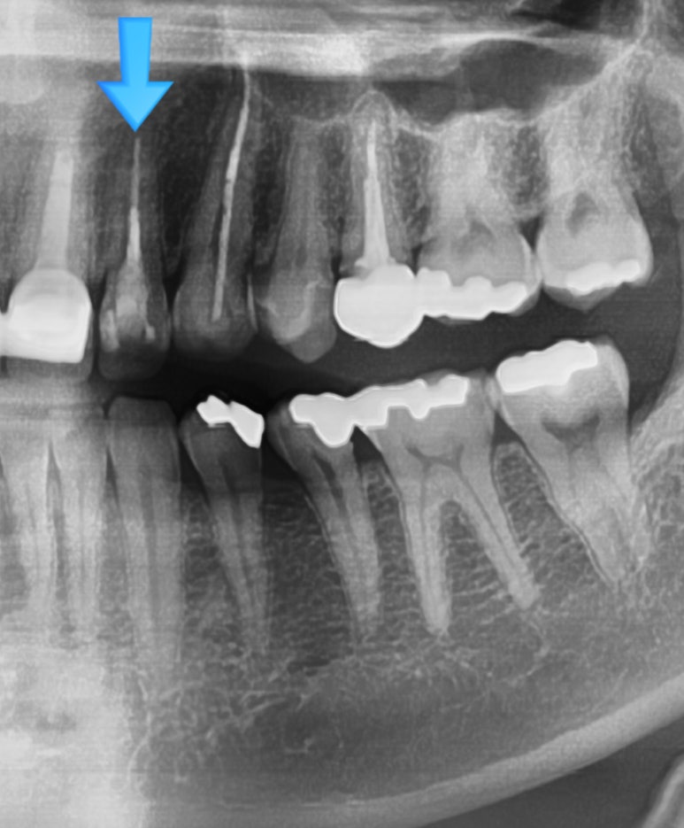
기존에 다른 치과에서 치료받은 치아가 부러진 상태로 오심 (부러진 머리를 끼워서 오셨으나 제거하고 찍은 상태)
![[시청역/서울역 치과] 앞니 치아부러짐 자연스럽게 치료사례 관련 이미지 12](https://pub-9f2bb3498faf4d1d8714b41df24753e3.r2.dev/content/clinics/archive/rseeanjxfu/naver_blog/yonseiyegam/assets/by_hash/59264360e5eb5ea384404f9d64aec71143b92431718f494db0c955179809b65d.jpg)
네비게이션 임플란트를 통해 정확한 각도로 식립하고자 함
![[시청역/서울역 치과] 앞니 치아부러짐 자연스럽게 치료사례 관련 이미지 13](https://pub-9f2bb3498faf4d1d8714b41df24753e3.r2.dev/content/clinics/archive/rseeanjxfu/naver_blog/yonseiyegam/assets/by_hash/efd026313cd8732379f046680523430206d106f1203a8b9dfcd928d1f06f91d0.jpg)
![[시청역/서울역 치과] 앞니 치아부러짐 자연스럽게 치료사례 관련 이미지 14](https://pub-9f2bb3498faf4d1d8714b41df24753e3.r2.dev/content/clinics/archive/rseeanjxfu/naver_blog/yonseiyegam/assets/by_hash/479652a068d9f0c9514499bb8c9079622d9bcedb62cc3339f5894b397da2fa4b.jpg)
임플란트 전 후 사진
저희 연세예감치과가 시청역에 위치하다보니
시청역 직장인들이 전날 저녁에 사고로 이가 흔들리고는
다음날 아침에 오는 경우가 많습니다. (회사에 출근은 해야하니까요...)
회사에 출근 잠깐 하고 치과로 오시는데, 보통 나이 지긋하신 남자 임원분들이 이가 없이 직원들을 만나기는 민망하시겠죠.
일단 다시 회사 복귀할 수 있게 임시치아도 일단 만들어 붙여드리고,
임시치아로만 계속 계실 수는 없으니 조만간 들어갈 수 있게 임플란트 준비도 하게 됩니다.
이 분 같은 경우는 남은 뿌리를 빼면서 동시에 발치즉시 임플란트를 하셨습니다.
![[시청역/서울역 치과] 앞니 치아부러짐 자연스럽게 치료사례 관련 이미지 15](https://pub-9f2bb3498faf4d1d8714b41df24753e3.r2.dev/content/clinics/archive/rseeanjxfu/naver_blog/yonseiyegam/assets/by_hash/3db90b6617f9df9d449db0dd6ab5502ee1bdf243a9ee202a62434c0f048dc2c0.png)
![[시청역/서울역 치과] 앞니 치아부러짐 자연스럽게 치료사례 관련 이미지 16](https://pub-9f2bb3498faf4d1d8714b41df24753e3.r2.dev/content/clinics/archive/rseeanjxfu/naver_blog/yonseiyegam/assets/by_hash/5b0fbae8b36591f2b7a69ddabf0489fd2bed43357da3168c16adf3ed3c07b8b7.png)
![[시청역/서울역 치과] 앞니 치아부러짐 자연스럽게 치료사례 관련 이미지 17](https://pub-9f2bb3498faf4d1d8714b41df24753e3.r2.dev/content/clinics/archive/rseeanjxfu/naver_blog/yonseiyegam/assets/by_hash/2da5b66d618e224b7472470d3faa2d0090e15ed150064bc43330902904f3e999.png)
보건복지부 인증 통합치의학과 전문의 1:1 진료
시청역 연세예감치과
해외에서도 찾아오는 연세예감치과
![[시청역/서울역 치과] 앞니 치아부러짐 자연스럽게 치료사례 관련 이미지 18](https://pub-9f2bb3498faf4d1d8714b41df24753e3.r2.dev/content/clinics/archive/rseeanjxfu/naver_blog/yonseiyegam/assets/by_hash/1c4912ceedf3e52c840dbdc1fcb50df99378c671081f3837da1056ccb24f7a93.png)
![[시청역/서울역 치과] 앞니 치아부러짐 자연스럽게 치료사례 관련 이미지 19](https://pub-9f2bb3498faf4d1d8714b41df24753e3.r2.dev/content/clinics/archive/rseeanjxfu/naver_blog/yonseiyegam/assets/by_hash/368c248b24fb9c9583486e0ebb8e1eeb8858c4da1ac4b6b4eebd42593ecc1941.png)
![[시청역/서울역 치과] 앞니 치아부러짐 자연스럽게 치료사례 관련 이미지 20](https://pub-9f2bb3498faf4d1d8714b41df24753e3.r2.dev/content/clinics/archive/rseeanjxfu/naver_blog/yonseiyegam/assets/by_hash/21c24e1a53636d28eb996e3595899aa77d49dafcc3f1e507f81a22a3ba009bf7.png)
![[시청역/서울역 치과] 앞니 치아부러짐 자연스럽게 치료사례 관련 이미지 21](https://pub-9f2bb3498faf4d1d8714b41df24753e3.r2.dev/content/clinics/archive/rseeanjxfu/naver_blog/yonseiyegam/assets/by_hash/fbc0aeddb091025c151eb1e62fca8ed6535c265cf207051a01729a558fa82b32.png)
![[시청역/서울역 치과] 앞니 치아부러짐 자연스럽게 치료사례 관련 이미지 22](https://pub-9f2bb3498faf4d1d8714b41df24753e3.r2.dev/content/clinics/archive/rseeanjxfu/naver_blog/yonseiyegam/assets/by_hash/32892c57dce4572ae2bc60c705c5dc672839df78fe23995c3cd68eb59c3bb355.png)
![[시청역/서울역 치과] 앞니 치아부러짐 자연스럽게 치료사례 관련 이미지 23](https://pub-9f2bb3498faf4d1d8714b41df24753e3.r2.dev/content/clinics/archive/rseeanjxfu/naver_blog/yonseiyegam/assets/by_hash/1877b3e0a799e9d0671f5826b81e5ecb827ea5e35fbb5915bacc54c4aab158e9.png)
![[시청역/서울역 치과] 앞니 치아부러짐 자연스럽게 치료사례 관련 이미지 24](https://pub-9f2bb3498faf4d1d8714b41df24753e3.r2.dev/content/clinics/archive/rseeanjxfu/naver_blog/yonseiyegam/assets/by_hash/cb060a776e530d7fd0bdeeca44c98a3917b2151c5b43627aad41e9022ef6bc68.png)
![[시청역/서울역 치과] 앞니 치아부러짐 자연스럽게 치료사례 관련 이미지 25](https://pub-9f2bb3498faf4d1d8714b41df24753e3.r2.dev/content/clinics/archive/rseeanjxfu/naver_blog/yonseiyegam/assets/by_hash/c1c4e5687a1ead6362307b8fc611c2900c52c974efcfae50e7ac37840222eca2.png)
↑ 위의 지도 클릭하여 네이버예약가능,
임플란트 수술 중에는 다른 진료를 동시에 할 수 없으니
미리 예약 후 내원 부탁드립니다.
카카오톡 플러스친구 추가 후 문의&예약도 가능합니다 :(클릭) 카카오톡채널 - 연세예감치과
연세예감치과 홈페이지