연세예감치과(시청역)
[서울역/시청역] 레진치료 : 화이트스팟(반상치) 케이스 & 치아패임으로 시린 케이스 & 깨진 치아 케이스
안녕하세요 서울의 중심, 서울 시청역(1호선&2호선) 7번출구에서 직진 도보4분 삼성본관빌딩 바로 맞은편에 위치한 시청역 연세예감치과입니다. 레진치료는 충치치료 중 가장 흔한 치료, 가장 낮은 단계의 충치에 행해지는 치료로 알려져 저희 치과 환자분들 치료 사례로 레진 치료에 대해 알아보겠습니다. [환자분의 동의를...
아카이브 요약
이 페이지의 역할
연세예감치과(시청역) Yonsei Yegam Dental Clinic ヨンセイェガム歯科의 네이버 블로그 원문을 보존한 아카이브 페이지입니다. 치아성형 카테고리의 [서울역/시청역] 레진치료 : 화이트스팟(반상치) 케이스 & 치아패임으로 시린 케이스 & 깨진 치아 케이스 글을 통해 병원의 한국어 정보 제공 방식과 진료 관련 안내 톤을 확인할 수 있습니다.
안녕하세요
서울의 중심, 서울 시청역(1호선&2호선) 7번출구에서 직진 도보4분
삼성본관빌딩 바로 맞은편에 위치한
시청역 연세예감치과입니다.
레진치료는 충치치료 중 가장 흔한 치료, 가장 낮은 단계의 충치에 행해지는 치료로 알려져
저희 치과 환자분들 치료 사례로 레진 치료에 대해 알아보겠습니다.
[환자분의 동의를 얻은 사진만 포스팅합니다]
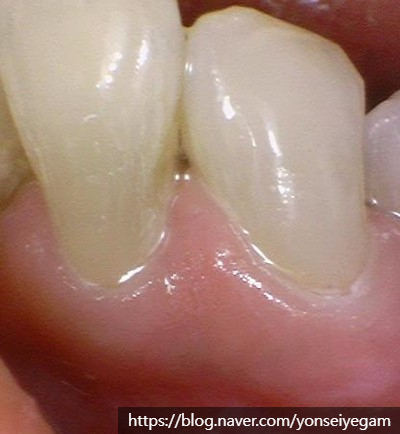
- 치아가 패여서, 또는 안쪽(상아질)이 노출되어서 시려요
![[서울역/시청역] 레진치료 : 화이트스팟(반상치) 케이스 & 치아패임으로 시린 케이스 & 깨진 치아 케이스 관련 이미지 1](https://pub-9f2bb3498faf4d1d8714b41df24753e3.r2.dev/content/clinics/archive/rseeanjxfu/naver_blog/yonseiyegam/assets/by_hash/f54dbddbde802eea8e70b391982097f9978407d388a7ebd60c03c38452eccf3c.jpg)
치아 목부분의 위치가 패여있는 치아들은 아주 흔하게 볼 수 있는데요
이런 치아들은 치아의 바깥쪽이 상실된 패인 상태이고 치아 안이 노출되어서
차가운 음식을 먹을 때, 찬물을 마실 때, 양치할 때 시린 증상이 있는 경우가 매우 흔합니다.
![[서울역/시청역] 레진치료 : 화이트스팟(반상치) 케이스 & 치아패임으로 시린 케이스 & 깨진 치아 케이스 관련 이미지 2](https://pub-9f2bb3498faf4d1d8714b41df24753e3.r2.dev/content/clinics/archive/rseeanjxfu/naver_blog/yonseiyegam/assets/by_hash/2e41d33c60b8530f73540b29042751bb3292898be08cc65b1882907841340e41.jpg)
![[서울역/시청역] 레진치료 : 화이트스팟(반상치) 케이스 & 치아패임으로 시린 케이스 & 깨진 치아 케이스 관련 이미지 3](https://pub-9f2bb3498faf4d1d8714b41df24753e3.r2.dev/content/clinics/archive/rseeanjxfu/naver_blog/yonseiyegam/assets/by_hash/c74ba229dc0f752906c3aa601ae632c47a478044b592b33ddaa07f9f9cb31e2f.jpg)
치아 패인 부분 레진으로 떼우기 전 & 후
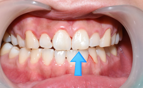
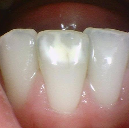
- 화이트스팟 (반상치)가 있는 치아가 보기 싫어서 치아색으로 떼우고 싶어요.
![[서울역/시청역] 레진치료 : 화이트스팟(반상치) 케이스 & 치아패임으로 시린 케이스 & 깨진 치아 케이스 관련 이미지 4](https://pub-9f2bb3498faf4d1d8714b41df24753e3.r2.dev/content/clinics/archive/rseeanjxfu/naver_blog/yonseiyegam/assets/by_hash/ed6131beb6f61dd27e51a609a16b702b4bc16d085acd493513ace21ae234267f.jpg)
외국인 환자분이신데
외국에서 위의 앞니가 보기 싫고 치아에 보기싫은 불투명한 흰색 부분을 치아색으로 보이게 싶다고 하셔서
한국말을 못하시지만 다른 외국인 분께 미용치과로 유명한 치과로 추천받았다며
저희 치과를 찾아주셨습니다.
![[서울역/시청역] 레진치료 : 화이트스팟(반상치) 케이스 & 치아패임으로 시린 케이스 & 깨진 치아 케이스 관련 이미지 5](https://pub-9f2bb3498faf4d1d8714b41df24753e3.r2.dev/content/clinics/archive/rseeanjxfu/naver_blog/yonseiyegam/assets/by_hash/e2526b59eddb7dde1fbdd4ddfebbce60865221490857c595aa616077986c4104.jpg)
![[서울역/시청역] 레진치료 : 화이트스팟(반상치) 케이스 & 치아패임으로 시린 케이스 & 깨진 치아 케이스 관련 이미지 6](https://pub-9f2bb3498faf4d1d8714b41df24753e3.r2.dev/content/clinics/archive/rseeanjxfu/naver_blog/yonseiyegam/assets/by_hash/420cd58e95e07e50fd8e43a1980a78b87b6d3e5b4f47613673a21c71ac768115.jpg)
레진치료 전(왼쪽 사진 ) -> 후 (오른쪽 사진)
아래 치아의 불투명한 하얀부분 (화이트스팟, 반상치 부위)는
간단히 레진으로 처리하기로 하여서 위의 사진과 같이 레진으로 떼워드렸고
당일 치료완료되는 레진 치료를 하시고는 매우 만족하셔서
위쪽 앞니들도 저희 치과에서 미용 라미네이트를 하기로 하셨습니다.
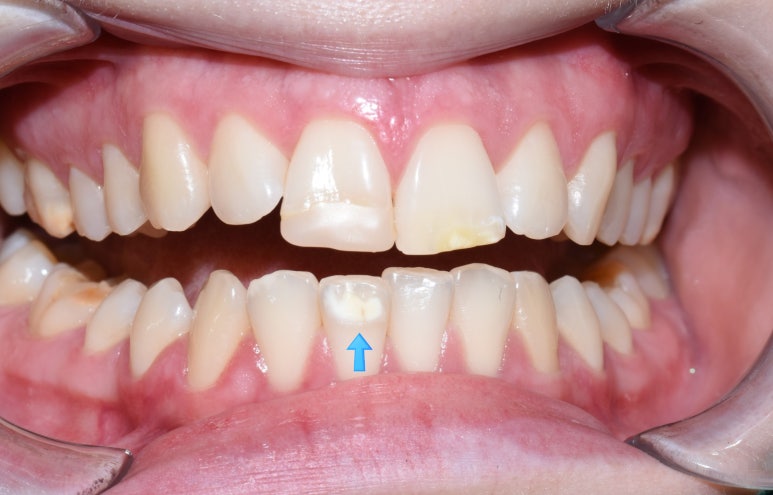
- 옥수수 먹다가 앞니 치아가 깨졌어요
![[서울역/시청역] 레진치료 : 화이트스팟(반상치) 케이스 & 치아패임으로 시린 케이스 & 깨진 치아 케이스 관련 이미지 7](https://pub-9f2bb3498faf4d1d8714b41df24753e3.r2.dev/content/clinics/archive/rseeanjxfu/naver_blog/yonseiyegam/assets/by_hash/3a817ae05bb42e1bddd81ef432cd3a50a78ba7564367cc80335ba600d8fdb904.jpg)
옥수수 먹다가 앞니가 깨졌다는 환자분입니다.
레진으로 당일 떼워서 치료 완료 하였습니다.
![[서울역/시청역] 레진치료 : 화이트스팟(반상치) 케이스 & 치아패임으로 시린 케이스 & 깨진 치아 케이스 관련 이미지 8](https://pub-9f2bb3498faf4d1d8714b41df24753e3.r2.dev/content/clinics/archive/rseeanjxfu/naver_blog/yonseiyegam/assets/by_hash/0b70217e110b6796c80e0494d05de765c39bb50fbf1db93365f428bc7fabe7c5.jpg)
![[서울역/시청역] 레진치료 : 화이트스팟(반상치) 케이스 & 치아패임으로 시린 케이스 & 깨진 치아 케이스 관련 이미지 9](https://pub-9f2bb3498faf4d1d8714b41df24753e3.r2.dev/content/clinics/archive/rseeanjxfu/naver_blog/yonseiyegam/assets/by_hash/fd9d2d6d784cbc6e830c7de492579cba67dbd497a6257121bd1d2a399ae84d9b.jpg)
깨진 부분 레진 치료 전&후
지금까지 몇가지 사례를 통해 알아본
레진치료였습니다.
보통 충치에만 레진치료를 생각하시는데,
위와 같은 여러 상황에서도 레진치료가 가능합니다.
[환자분의 동의를 얻은 사진만 포스팅합니다]
해외에서도 레진치료로 환자들이 찾아오는,
해외에서 외국인 환자들도 건강하고 아름다운 치아를 위해 찾는 치과
시청역 연세예감치과에서 알려드린 레진치료였습니다.
![[서울역/시청역] 레진치료 : 화이트스팟(반상치) 케이스 & 치아패임으로 시린 케이스 & 깨진 치아 케이스 관련 이미지 10](https://pub-9f2bb3498faf4d1d8714b41df24753e3.r2.dev/content/clinics/archive/rseeanjxfu/naver_blog/yonseiyegam/assets/by_hash/6cdeb6c4a761005199d8b032c72bfa83482d001736141e9f044722e723198091.jpg)
![[서울역/시청역] 레진치료 : 화이트스팟(반상치) 케이스 & 치아패임으로 시린 케이스 & 깨진 치아 케이스 관련 이미지 11](https://pub-9f2bb3498faf4d1d8714b41df24753e3.r2.dev/content/clinics/archive/rseeanjxfu/naver_blog/yonseiyegam/assets/by_hash/efc8b26a3be3e6e89dfb9fc7a85532a9dcdaa7a4f79a5d1ad8e5dc4f6a3a8fdb.jpg)
서울특별시 인증 서울특별시 의료관광 협력기관 [시청역 연세예감치과]
![[서울역/시청역] 레진치료 : 화이트스팟(반상치) 케이스 & 치아패임으로 시린 케이스 & 깨진 치아 케이스 관련 이미지 12](https://pub-9f2bb3498faf4d1d8714b41df24753e3.r2.dev/content/clinics/archive/rseeanjxfu/naver_blog/yonseiyegam/assets/by_hash/3bd4c838bf1a41da4c1278a7767f1706d07da98eefac8da2d1e6ec99309c5a68.png)
![[서울역/시청역] 레진치료 : 화이트스팟(반상치) 케이스 & 치아패임으로 시린 케이스 & 깨진 치아 케이스 관련 이미지 13](https://pub-9f2bb3498faf4d1d8714b41df24753e3.r2.dev/content/clinics/archive/rseeanjxfu/naver_blog/yonseiyegam/assets/by_hash/78ddbbc5e572f88494a3e4bb215b99dd262b135120fe243c597a19566cd32747.png)
시청역치과 연세예감치과
위 지도 클릭하여 네이버예약도 가능합니다.
02-318-8275
더 보기
이 병원의 공개 콘텐츠를 계속 살펴보세요
출처 아카이브로 돌아가 더 많은 글을 보거나, 병원 프로필로 이동해 다른 공개 채널도 함께 비교해보세요.