아카이브 요약
이 페이지의 역할
연세예감치과의원의 네이버 블로그 원문을 보존한 아카이브 페이지입니다. 치아성형 카테고리의 [광화문/시청역 치과]임플란트+크라운 +무삭제 라미네이트 복합 혼합 "6개 앞니 케이스" 소개/라미네이트가격 글을 통해 병원의 한국어 정보 제공 방식과 진료 관련 안내 톤을 확인할 수 있습니다.
원문 검증
필요하면 원문 블로그와 병원 프로필로 바로 이동해 문맥을 다시 확인할 수 있습니다.
출처 아카이브 열기아카이브된 블로그 글
연세예감치과의원 · Naver Blog
안녕하세요 서울의 중심부 시청역 7번출구 삼성본관맞은편에 위치한 시청역 연세예감치과입니다. 서울 중심부에 위치하여 시청역 서울역 뿐만 아니라 용산, 신촌, 마포 어디서든 환자분들이 오기 편한 위치입니다. 마스크 의무가 아예 해제되려는 기세를 보이면서 앞니 미용에 관심을 쓰는 환자분들이 많으세요 해외에서도 아주 소수의...
게시일
2022년 12월 6일
원문 기준으로 확인된 발행일입니다.
카테고리
치아성형
원문 블로그 카테고리를 정리해 함께 표시합니다.
이미지 수
9
현재 아카이브에 연결된 이미지 수입니다.
아카이브 요약
연세예감치과의원의 네이버 블로그 원문을 보존한 아카이브 페이지입니다. 치아성형 카테고리의 [광화문/시청역 치과]임플란트+크라운 +무삭제 라미네이트 복합 혼합 "6개 앞니 케이스" 소개/라미네이트가격 글을 통해 병원의 한국어 정보 제공 방식과 진료 관련 안내 톤을 확인할 수 있습니다.
원문 검증
필요하면 원문 블로그와 병원 프로필로 바로 이동해 문맥을 다시 확인할 수 있습니다.
출처 아카이브 열기안녕하세요
서울의 중심부 시청역 7번출구 삼성본관맞은편에 위치한
시청역 연세예감치과입니다.
서울 중심부에 위치하여 시청역 서울역 뿐만 아니라
용산, 신촌, 마포 어디서든 환자분들이 오기 편한 위치입니다.
마스크 의무가 아예 해제되려는 기세를 보이면서
앞니 미용에 관심을 쓰는 환자분들이 많으세요
해외에서도 아주 소수의 나라 빼놓고는
다 마스크 해제 곧 자율화가 되면서
앞니를 예쁘게 하려는 환자들이 늘고 있습니다.
오늘은 위의 앞니 6개(송곳니부터 반대쪽 송곳니까지)
치료한 케이스를 소개하고자 합니다.
[환자분의 동의를 얻은 케이스만 게시합니다]
환자분의 가장 고민은 여러가지였습니다.
앞니의 옥니 경향(옥니: 안쪽으로 들어간 치아)
오래전에 한 크라운의 금속이 비쳐보임
치아가 고르지 못함
송곳니에 충치가 있음 (유치 또는 왜소치로 추정)
![[광화문/시청역 치과]임플란트+크라운 +무삭제 라미네이트 복합 혼합 "6개 앞니 케이스" 소개/라미네이트가격 관련 이미지 1](https://pub-9f2bb3498faf4d1d8714b41df24753e3.r2.dev/content/clinics/archive/rseeanjxfu/naver_blog/yonseiyegam/assets/by_hash/4c726adf7987d3c97e767484bc9686c5c63f2d855e47b8359e9214101c993ffa.jpg)
![[광화문/시청역 치과]임플란트+크라운 +무삭제 라미네이트 복합 혼합 "6개 앞니 케이스" 소개/라미네이트가격 관련 이미지 2](https://pub-9f2bb3498faf4d1d8714b41df24753e3.r2.dev/content/clinics/archive/rseeanjxfu/naver_blog/yonseiyegam/assets/by_hash/072f33211605dc89870653757414178d91849b53591df9829acddbb5c93ca858.jpg)
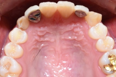
치료 전
위 사진을 보면 환자분이 왜 그런 점들을 고치고 싶으신지 알 수 있습니다.
사진상
왼쪽 송곳니: 임플란트, 오른쪽 송곳니: 색 보완과 고른 배열을 위한 신경치료+크라운
대문니 2개: 고른 배열과, 옥니 보완을 위한 무삭제 라미네이트
대문니 옆 양쪽 치아 2개: 오래된 PFM크라운을 제거하고,
요즘 많이 쓰는 재료인 더 자연스러운 지르코니아크라운
으로 위쪽 앞니(상악 전치) 총 6개의 치료를 들어가게 되었습니다.
환자분이 앞니 임플란트 (송곳니 임플란트) 도중에 서울이 아닌 아주 먼 곳으로 이사를 가셔서
저희 시청역 치과까지 토요일마다 오시느라 정말 힘드셨을 텐데도
나머지 5개 앞니를 다른 치과에서 하지 않으시고
저희 치과에 끝까지 내원하셔서 앞니 치료를 마무리 하셨습니다.
![[광화문/시청역 치과]임플란트+크라운 +무삭제 라미네이트 복합 혼합 "6개 앞니 케이스" 소개/라미네이트가격 관련 이미지 3](https://pub-9f2bb3498faf4d1d8714b41df24753e3.r2.dev/content/clinics/archive/rseeanjxfu/naver_blog/yonseiyegam/assets/by_hash/9c93cabfc6cb3e431c1ded725ec4f85a691560a6692694acd98d2c527d5f5da1.jpg)
![[광화문/시청역 치과]임플란트+크라운 +무삭제 라미네이트 복합 혼합 "6개 앞니 케이스" 소개/라미네이트가격 관련 이미지 4](https://pub-9f2bb3498faf4d1d8714b41df24753e3.r2.dev/content/clinics/archive/rseeanjxfu/naver_blog/yonseiyegam/assets/by_hash/7f316a98d0030e3d8152889ef8f9fddeff348b71c5ffbea67773e9e164c28e21.jpg)
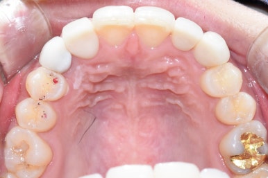
앞니 치료 후
이렇게 1개 임플란트, 2개 라미네이트, 3개 크라운 총 6개 앞니의 치료가 마무리 되었습니다.
6개 모두 똑같은 라미네이트, 6개 모두 똑같은 크라운이 아니라
여러 재료가 섞인 복합치료는 색을 맞추기 어렵지만
최대한 입술의 그늘이 지는 입안에서 자연스러우면서도 하얗게 보일 수 있게
또한 치료하지 않은 아래 치아보다 하얗게 보이면서도 자연스러울 수 있게 맞춰드렸습니다.
(이 분의 케이스의 경우 더 하얗게 할 수 있었지만 환자분께서 더 하얀것은 원치 않으셨습니다)
![[광화문/시청역 치과]임플란트+크라운 +무삭제 라미네이트 복합 혼합 "6개 앞니 케이스" 소개/라미네이트가격 관련 이미지 5](https://pub-9f2bb3498faf4d1d8714b41df24753e3.r2.dev/content/clinics/archive/rseeanjxfu/naver_blog/yonseiyegam/assets/by_hash/4661604a463a8e01c4498b719ab6640dff3716fe8a76a3ddd210790ccd86302e.jpg)
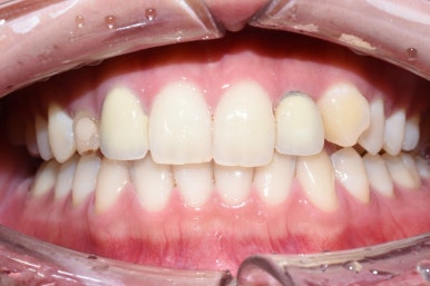
웃을 때는 이런 식으로 보이는데요,
인공물인게 티가 거의 나지 않으면서도 고르게 완성되었습니다.
제일 앞에서 많이 보이는 치아이다 보니
앞니 6개만 했지만 다른 치아들까지 환해 보이는 효과가 있습니다.
![[광화문/시청역 치과]임플란트+크라운 +무삭제 라미네이트 복합 혼합 "6개 앞니 케이스" 소개/라미네이트가격 관련 이미지 6](https://pub-9f2bb3498faf4d1d8714b41df24753e3.r2.dev/content/clinics/archive/rseeanjxfu/naver_blog/yonseiyegam/assets/by_hash/e0ed31c43bfd3696e6538b34c20713fc0838bab24e079a0a334fe106c028f3ff.jpg)
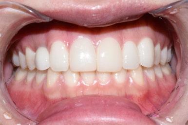
전후를 비교하면 위와 같습니다.
정면과 교합면 사진입니다.
고르고 깔끔하면서 길쭉길쭉 시원해 보이는 이로 바뀌었습니다.
오른쪽 교합면 전후를 비교해 보면 확실히 더 고르게 된 것을 볼 수 있으며
환자분이 싫어했던 쑥 안으로 들어가 있던 옥니? 옹니? 도 앞으로 나오게 개선되어서
훨씬 더 예쁜 미소를 가질 수 있게 되었습니다.
지금까지 시청역 연세예감치과에서 알아본
옥니 개선을 위한 라미네이트, 오래된 크라운을 앞니 지르코니아(PFZ) 크라운으로,
송곳니 임플란트 등의 복합적인 치료가 혼합된
앞니 치료에 대해 알아보았습니다.
2024년 기준 시청역 연세예감치과
라미네이트 가격:
치아 개당 55만원
2개이상 진행시 개당 50만원
4개이상 진행시 개당 48만원
라미네이트와 치아미백은 미용목적으로 법적인 부가세 10프로를 추가적으로 받도록 되어있습니다.
(본 가격은 2개이상 부터 구강과 입주변 전후(위와 같은) 사진공개조건 가격입니다
사진공개를 원하지 않으시면, 개당 50만원에 진행가능합니다)
또한 라미네이트 전 치과의사의 진단,상담이 필요합니다.
라미네이트 원하는 치아에 충치가 있는 경우
충치제거나 충치치료 후 라미네이트를 해야 할 수 있습니다.
라미네이트 이벤트 문의는
카톡예약과 문의 카카오톡채널 - 연세예감치과(클릭)
또는 카카오톡 ID: yonseiyegam 친구추가 후 문의부탁드립니다.
네이버예약 네이버 예약 클릭
해외에서도 아름답고 건강한 치아를 위해 찾아오는 시청역 연세예감치과
![[광화문/시청역 치과]임플란트+크라운 +무삭제 라미네이트 복합 혼합 "6개 앞니 케이스" 소개/라미네이트가격 관련 이미지 7](https://pub-9f2bb3498faf4d1d8714b41df24753e3.r2.dev/content/clinics/archive/rseeanjxfu/naver_blog/yonseiyegam/assets/by_hash/6cdeb6c4a761005199d8b032c72bfa83482d001736141e9f044722e723198091.jpg)
위 지도 클릭하여 네이버예약도 가능합니다.
![[광화문/시청역 치과]임플란트+크라운 +무삭제 라미네이트 복합 혼합 "6개 앞니 케이스" 소개/라미네이트가격 관련 이미지 8](https://pub-9f2bb3498faf4d1d8714b41df24753e3.r2.dev/content/clinics/archive/rseeanjxfu/naver_blog/yonseiyegam/assets/by_hash/239aa3db4598e65cce824326ee39c2266333a069d44c62a7bd6fa133365fd64f.jpg)
연세예감치과는 서울시에서 3단계 평가를 거쳐 선정한 서울특별시 의료관광 협력기관입니다.
![[광화문/시청역 치과]임플란트+크라운 +무삭제 라미네이트 복합 혼합 "6개 앞니 케이스" 소개/라미네이트가격 관련 이미지 9](https://pub-9f2bb3498faf4d1d8714b41df24753e3.r2.dev/content/clinics/archive/rseeanjxfu/naver_blog/yonseiyegam/assets/by_hash/e574d8ff1112dd3a43f1a9e0577bfc5b87d533e17b543d32b1606db506f79bd1.jpg)