연세예감치과(시청역)
오래전 교정한 치아가 틀어져서 부분 재교정 케이스, 비용가격[광화문/서울역/치과]
안녕하세요 서울 1호선2호선 시청역 7번출구에서 직진 도보 3분 거리에 위치한 시청역 연세예감치과입니다. 삼성본관 맞은편에 위치합니다. 오늘은 많은 교정인들이 겪고 계신 교정하고 유지장치를 하지 않아 이가 다시 삐뚤어진 케이스에서의 간단한 부분교정 케이스를 보여드리고자 합니다. [환자분이 사진 공개에 동의하신 케이...
아카이브 요약
이 페이지의 역할
연세예감치과(시청역) Yonsei Yegam Dental Clinic ヨンセイェガム歯科의 네이버 블로그 원문을 보존한 아카이브 페이지입니다. 교정치료 카테고리의 오래전 교정한 치아가 틀어져서 부분 재교정 케이스, 비용가격[광화문/서울역/치과] 글을 통해 병원의 한국어 정보 제공 방식과 진료 관련 안내 톤을 확인할 수 있습니다.
![오래전 교정한 치아가 틀어져서 부분 재교정 케이스, 비용가격[광화문/서울역/치과] 관련 이미지 1](https://pub-9f2bb3498faf4d1d8714b41df24753e3.r2.dev/content/clinics/archive/rseeanjxfu/naver_blog/yonseiyegam/assets/by_hash/c4ca3f6e105e44ed47af308ce5a0d31a1e03bb26e0d103e16467a5706ec4a28e.jpg)
안녕하세요
서울 1호선2호선 시청역 7번출구에서 직진 도보 3분 거리에 위치한
시청역 연세예감치과입니다.
삼성본관 맞은편에 위치합니다.
오늘은 많은 교정인들이 겪고 계신
교정하고 유지장치를 하지 않아 이가 다시 삐뚤어진 케이스에서의
간단한 부분교정 케이스를 보여드리고자 합니다.
[환자분이 사진 공개에 동의하신 케이스만 공개합니다]
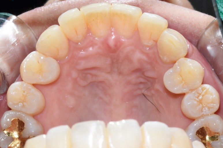
오래전 이미 치아사이도 다듬고 교정을 하셨지만
유지장치를 하지 않아서 이가 삐뚠 것을 볼 수 있습니다.
![오래전 교정한 치아가 틀어져서 부분 재교정 케이스, 비용가격[광화문/서울역/치과] 관련 이미지 2](https://pub-9f2bb3498faf4d1d8714b41df24753e3.r2.dev/content/clinics/archive/rseeanjxfu/naver_blog/yonseiyegam/assets/by_hash/acb7a1d346d4cd4c9ca4d1990e7d48d622cfbc536ed997b67d3dbf79b28437ed.jpg)
이런 치아들을 7번의 내원으로 진행되었는데요
보통 부분교정은 3주 간격으로 와이어 교체를 위해 내원하므로
21주, 즉 4~5개월 정도가 걸린 것이고
이 환자분의 경우는 환자분이 너무너무 많이 바쁘셔서 3주만에 내원을 못하시고
내원약속을 못지키신 적이 있어서 이분의 경우는 6개월이 걸렸습니다.
그러나 보통 저희 환자분들이 저희 시청역 치과 근처 직장인이시다 보니
아무리 바쁘셔도 접근성이 좋아서 보통 일하다가 잠깐잠깐 나와서
부분교정치료를 받을 수 있으니 매우 좋아하시는 것 같습니다.
![오래전 교정한 치아가 틀어져서 부분 재교정 케이스, 비용가격[광화문/서울역/치과] 관련 이미지 3](https://pub-9f2bb3498faf4d1d8714b41df24753e3.r2.dev/content/clinics/archive/rseeanjxfu/naver_blog/yonseiyegam/assets/by_hash/5e463421f2d8173784f00d5c7c783cedcd3cbc384a72f0d7ee7da06286d90cb4.jpg)
원장님께서 조금더 고르게 진행을 하고 싶어하셨지만
환자분이 직장인이라 많이 바쁘셔서 그런지 이 정도도 만족한다고 하셔서
이쯤에서 교정을 마무리 지었습니다.
![오래전 교정한 치아가 틀어져서 부분 재교정 케이스, 비용가격[광화문/서울역/치과] 관련 이미지 4](https://pub-9f2bb3498faf4d1d8714b41df24753e3.r2.dev/content/clinics/archive/rseeanjxfu/naver_blog/yonseiyegam/assets/by_hash/f4ed38183b85d71336a0005954c270c3253dbeb5cbab85f5833ca4b68c50a3d3.jpg)
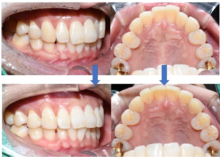
전 후 사진(위아래) 을 비교해보면
많이 달라졌고 특히 씹는면 쪽 사진(오른쪽 사진의 위아래)을 비교해보면
치아가 많이 고르게 된 것을 볼 수 있습니다.
지금까지
서대문, 광화문, 서울역, 을지로에서도 쉽게 올 수 있는
시청역치과 연세예감치과에서 알려드린
오래전 교정을 했지만 다시 틀어진 앞니의
빠르고 간단한 부분 재교정에 대해 알아보았습니다.
![오래전 교정한 치아가 틀어져서 부분 재교정 케이스, 비용가격[광화문/서울역/치과] 관련 이미지 5](https://pub-9f2bb3498faf4d1d8714b41df24753e3.r2.dev/content/clinics/archive/rseeanjxfu/naver_blog/yonseiyegam/assets/by_hash/9ea2431d207a62646e0897afe13627b67b165e750a26249f61b8d3d974295eb5.jpg)
다른 부분교정케이스 안내 ↓클릭하여 확인해주세요
https://blog.naver.com/yonseiyegam/222691493723
2023년 시청역 연세예감치과 부분교정 이벤트 가격 안내해드립니다.
(2023년12월31일까지 시작자에 한해! 기간이 얼마 남지 않았습니다)
*보이게 붙이는 장치 : 139만원 + 월비 5만원 (각 악당 : 위아래 각각)
*보이지 않게 위 사진처럼 치아뒷면(혀쪽부위)에 붙이는 설측장치:
하악:159만원 + 월비 5만원
상악:179만원+월비5만원
상악,하악 중 하나만도 가능
위 비용은 고정형유지장치 비용 포함입니다.
문의: 카카오톡 아이디 yonseiyegam 친구추가 후 문의 또는
카카오톡 플러스친구 (클릭)하여 문의
![오래전 교정한 치아가 틀어져서 부분 재교정 케이스, 비용가격[광화문/서울역/치과] 관련 이미지 6](https://pub-9f2bb3498faf4d1d8714b41df24753e3.r2.dev/content/clinics/archive/rseeanjxfu/naver_blog/yonseiyegam/assets/by_hash/8a0d074e5234257513181a213cc57e19949d3ffe4e9ac3a9ca2a3a6612a50306.jpg)
![오래전 교정한 치아가 틀어져서 부분 재교정 케이스, 비용가격[광화문/서울역/치과] 관련 이미지 7](https://pub-9f2bb3498faf4d1d8714b41df24753e3.r2.dev/content/clinics/archive/rseeanjxfu/naver_blog/yonseiyegam/assets/by_hash/ade532ca0cbf81209b310f80987509a74de6c453c98a853507c152e06579690d.png)
![오래전 교정한 치아가 틀어져서 부분 재교정 케이스, 비용가격[광화문/서울역/치과] 관련 이미지 8](https://pub-9f2bb3498faf4d1d8714b41df24753e3.r2.dev/content/clinics/archive/rseeanjxfu/naver_blog/yonseiyegam/assets/by_hash/203bb4b57da3522e7867ec5e0c1310fd8f070792e8395d66a9643f6a2dd39f37.png)
더 보기
이 병원의 공개 콘텐츠를 계속 살펴보세요
출처 아카이브로 돌아가 더 많은 글을 보거나, 병원 프로필로 이동해 다른 공개 채널도 함께 비교해보세요.