아카이브 요약
이 페이지의 역할
연세예감치과의원의 네이버 블로그 원문을 보존한 아카이브 페이지입니다. 임플란트 카테고리의 [시청역/서울역/광화문] 전체 임플란트 사례사진, 틀니대신 임플란트 글을 통해 병원의 한국어 정보 제공 방식과 진료 관련 안내 톤을 확인할 수 있습니다.
원문 검증
필요하면 원문 블로그와 병원 프로필로 바로 이동해 문맥을 다시 확인할 수 있습니다.
출처 아카이브 열기아카이브된 블로그 글
연세예감치과의원 · Naver Blog
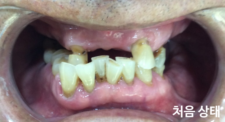
안녕하세요 서울 시청역에 위치한 시청역 연세예감치과입니다! 삼성본관 바로 맞은편에 위치합니다. 오늘은 저희 치과에서 진행한 나이 많은 어르신의 틀니 대신 임플란트를 심은 사례를 살펴보도록 하겠습니다. [환자분의 동의를 얻은 케이스만 공개합니다] 윗니 "전체 임플란트"+아랫니 "어금니쪽 임플란트" 진행하였습니다...
게시일
2023년 1월 9일
원문 기준으로 확인된 발행일입니다.
카테고리
임플란트
원문 블로그 카테고리를 정리해 함께 표시합니다.
이미지 수
5
현재 아카이브에 연결된 이미지 수입니다.
아카이브 요약
연세예감치과의원의 네이버 블로그 원문을 보존한 아카이브 페이지입니다. 임플란트 카테고리의 [시청역/서울역/광화문] 전체 임플란트 사례사진, 틀니대신 임플란트 글을 통해 병원의 한국어 정보 제공 방식과 진료 관련 안내 톤을 확인할 수 있습니다.
원문 검증
필요하면 원문 블로그와 병원 프로필로 바로 이동해 문맥을 다시 확인할 수 있습니다.
출처 아카이브 열기![[시청역/서울역/광화문] 전체 임플란트 사례사진, 틀니대신 임플란트 관련 이미지 1](https://pub-9f2bb3498faf4d1d8714b41df24753e3.r2.dev/content/clinics/archive/rseeanjxfu/naver_blog/yonseiyegam/assets/by_hash/1ab2fd946a3bdc312404757f9486d7fa21b7a5b60eec7f9712ceb22bc57112fd.jpg)
안녕하세요 서울 시청역에 위치한
시청역 연세예감치과입니다!
삼성본관 바로 맞은편에 위치합니다.
오늘은 저희 치과에서 진행한 나이 많은 어르신의
틀니 대신 임플란트를 심은 사례를 살펴보도록 하겠습니다.
[환자분의 동의를 얻은 케이스만 공개합니다]
![[시청역/서울역/광화문] 전체 임플란트 사례사진, 틀니대신 임플란트 관련 이미지 2](https://pub-9f2bb3498faf4d1d8714b41df24753e3.r2.dev/content/clinics/archive/rseeanjxfu/naver_blog/yonseiyegam/assets/by_hash/49886827fd9e2d0345357f1bf49f8bd75b3103087e3a18711be89e236538efd1.jpg)
![[시청역/서울역/광화문] 전체 임플란트 사례사진, 틀니대신 임플란트 관련 이미지 3](https://pub-9f2bb3498faf4d1d8714b41df24753e3.r2.dev/content/clinics/archive/rseeanjxfu/naver_blog/yonseiyegam/assets/by_hash/903070b48be9bf81b78331041a3d65348e1925634c3fe02383b9c14c27bfabf0.jpg)
![[시청역/서울역/광화문] 전체 임플란트 사례사진, 틀니대신 임플란트 관련 이미지 4](https://pub-9f2bb3498faf4d1d8714b41df24753e3.r2.dev/content/clinics/archive/rseeanjxfu/naver_blog/yonseiyegam/assets/by_hash/d0d75060664db57804de3cd1b050fb1beeef36c39dde036813030f8ca076cd90.jpg)
윗니 "전체 임플란트"+아랫니 "어금니쪽 임플란트" 진행하였습니다
이런 식으로 임플란트가 완성되었는데요
아래턱이 위턱보다 튀어나오는 부정교합에다가 아랫니가 삐뚤삐뚤하셨지만
최대한 정상교합처럼 보이게 만들어드렸습니다.
윗니는 흔들리는 남은 2개 치아를 뽑아 전체 임플란트를 하셨고
아래는 비교적 안흔들리는 치아는 놔두고 나머지 어금니 쪽에 자꾸 빠지는 틀니 대신 임플란트를 하여
쓸 수 있는 본인 치아는 잘 보존하게 하고 인플란트로 잘 씹을 수 있게 해드렸습니다.
사실 하악 어금니는 이미 오래전에 저희 치과에서 해드려서
환자분이 임플란트가 틀니보다 얼마나 편한지 아셨기 때문에
상악도 틀니를 쓰기보다 임플란트를 하고 싶으셔서 큰 결심하시고 상악 전체 임플란트를 진행하셨습니다.
이제 틀니는 필요없지요.
환자분이 다 완성되고 너무 기뻐하셨고
이제 밥을 잘 먹을 수 있어서 너무 좋다고 하시면서
자꾸 밥을 사주겠다고 하시네요 ^^;;
지금까지 시청역 연세예감치과에서 보여드린
틀니대신 임플란트로 대체한 사례였습니다!
어르신 건강보험임플란트
건강보험 임플란트 대상자: 만 65세이상 국민건강보험가지고 계신 어르신
적용범위: 평생 최대2개
본인이 부담하는 금액 : 치료비용의 30프로를 지불해야함(보험임플란트 개당 약38만원 정도 어르신이 지불), 70프로는 나라에서 지불합니다.
![[시청역/서울역/광화문] 전체 임플란트 사례사진, 틀니대신 임플란트 관련 이미지 5](https://pub-9f2bb3498faf4d1d8714b41df24753e3.r2.dev/content/clinics/archive/rseeanjxfu/naver_blog/yonseiyegam/assets/by_hash/c580baa85949d960f1df2ab05287ad54b5ed34e7cec4032595ead963f64a7a92.png)