연세예감치과(시청역)
[서울역/을지로/치과] 본인이 옥니라고 생각한다면? 무삭제 라미네이트 어떤가요? 케이스 및 가격비용
강남에서도 강북에서도 오기 좋은 서울 중심 위치에 위치한 시청역 삼성본관맞은편 시청역 연세예감치과입니다. 오늘은 저희 치과 라미네이트 환자분들 중 가장 많은 비중을 차지하는 "옥니여서 라미네이트를 하고 싶어요" 중 한 케이스를 공개합니다. [환자분의 사진공개 동의를 얻고 진행한 케이스 입니다] 이 외국인환자분...
아카이브 요약
이 페이지의 역할
연세예감치과(시청역) Yonsei Yegam Dental Clinic ヨンセイェガム歯科의 네이버 블로그 원문을 보존한 아카이브 페이지입니다. 치아성형 카테고리의 [서울역/을지로/치과] 본인이 옥니라고 생각한다면? 무삭제 라미네이트 어떤가요? 케이스 및 가격비용 글을 통해 병원의 한국어 정보 제공 방식과 진료 관련 안내 톤을 확인할 수 있습니다.
강남에서도 강북에서도 오기 좋은 서울 중심 위치에 위치한
시청역 삼성본관맞은편
시청역 연세예감치과입니다.
오늘은 저희 치과 라미네이트 환자분들 중 가장 많은 비중을 차지하는
"옥니여서 라미네이트를 하고 싶어요" 중 한 케이스를 공개합니다.
[환자분의 사진공개 동의를 얻고 진행한 케이스 입니다]
이 외국인환자분은 저희 치과에서 치아의 미용치료를 받기 위해
외국인이지만 일부러 찾아오신 분입니다.
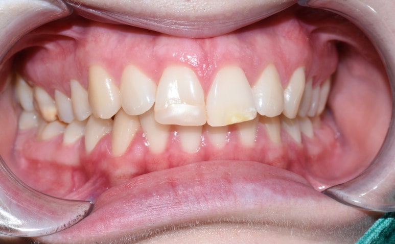
이 환자분의 앞니는 크게 옥니는 아니었지만
대문니 말고 옆에 치아들이 삐뚠 부분이 있어
상대적으로 대문이가 들어가 보여서 옥니라고 생각하신 것 같습니다.
또한 기존에 외국에서 한 레진이 티가 너무 많이 나고
앞니가 약해서 노란 부분도 있으며
치아 모양과 색의 개선이 필요한 상태였습니다.
![[서울역/을지로/치과] 본인이 옥니라고 생각한다면? 무삭제 라미네이트 어떤가요? 케이스 및 가격비용 관련 이미지 1](https://pub-9f2bb3498faf4d1d8714b41df24753e3.r2.dev/content/clinics/archive/rseeanjxfu/naver_blog/yonseiyegam/assets/by_hash/e70b02c204f37fb8cb6bec890d1efdf52064545faa9400c94ab6443a3d8b2d2d.jpg)
위쪽 앞니 치료전
![[서울역/을지로/치과] 본인이 옥니라고 생각한다면? 무삭제 라미네이트 어떤가요? 케이스 및 가격비용 관련 이미지 2](https://pub-9f2bb3498faf4d1d8714b41df24753e3.r2.dev/content/clinics/archive/rseeanjxfu/naver_blog/yonseiyegam/assets/by_hash/03cdd23e17f92f89193d5252aa91b43af7254c2247af78d729b70385aa415d29.jpg)
위쪽 앞니 치료전
![[서울역/을지로/치과] 본인이 옥니라고 생각한다면? 무삭제 라미네이트 어떤가요? 케이스 및 가격비용 관련 이미지 3](https://pub-9f2bb3498faf4d1d8714b41df24753e3.r2.dev/content/clinics/archive/rseeanjxfu/naver_blog/yonseiyegam/assets/by_hash/afe4a75da51e0ae4bbb0e51383ef332b4f5641e1a80185fe6fd402ac2f00c028.jpg)
![[서울역/을지로/치과] 본인이 옥니라고 생각한다면? 무삭제 라미네이트 어떤가요? 케이스 및 가격비용 관련 이미지 4](https://pub-9f2bb3498faf4d1d8714b41df24753e3.r2.dev/content/clinics/archive/rseeanjxfu/naver_blog/yonseiyegam/assets/by_hash/ded7ba1bef908ec6a57e8dc737a9b1eab685fbd525e1002ff158196bffffb118.jpg)
환자의 실제 치아모형(왼쪽 사진) 과 거기에 라미네이트를 끼운 모습(오른쪽 사진)
![[서울역/을지로/치과] 본인이 옥니라고 생각한다면? 무삭제 라미네이트 어떤가요? 케이스 및 가격비용 관련 이미지 5](https://pub-9f2bb3498faf4d1d8714b41df24753e3.r2.dev/content/clinics/archive/rseeanjxfu/naver_blog/yonseiyegam/assets/by_hash/b87f1d4c3608ca0fee18c14bed7fe4f7ce6e5b0b9bebb5053a16a79db37683a6.jpg)
![[서울역/을지로/치과] 본인이 옥니라고 생각한다면? 무삭제 라미네이트 어떤가요? 케이스 및 가격비용 관련 이미지 6](https://pub-9f2bb3498faf4d1d8714b41df24753e3.r2.dev/content/clinics/archive/rseeanjxfu/naver_blog/yonseiyegam/assets/by_hash/329800d495e3e64e8b124f3ce8313bfc1144ff5078657c0a95c2166366c93e43.jpg)
4개만 무삭제 라미네이트를 했지만 제일 앞에서 많이 보이는 치아이기 때문에
전체적으로도 치아가 밝아보이는 효과가 있습니다.
그리고 옥니였던 부분이 더 통통해진 치아가 되면서 입술 볼륨이 살아나
더 어려보이는 입매도 완성되었습니다.
![[서울역/을지로/치과] 본인이 옥니라고 생각한다면? 무삭제 라미네이트 어떤가요? 케이스 및 가격비용 관련 이미지 7](https://pub-9f2bb3498faf4d1d8714b41df24753e3.r2.dev/content/clinics/archive/rseeanjxfu/naver_blog/yonseiyegam/assets/by_hash/75742d3ad1d238df9fc305d39f29514da0680e331ebc14a89e5ad7b4617aa7a4.jpg)
![[서울역/을지로/치과] 본인이 옥니라고 생각한다면? 무삭제 라미네이트 어떤가요? 케이스 및 가격비용 관련 이미지 8](https://pub-9f2bb3498faf4d1d8714b41df24753e3.r2.dev/content/clinics/archive/rseeanjxfu/naver_blog/yonseiyegam/assets/by_hash/ebf8fd06eef320b7c568e06e141b3c871093cd0d6d8948f7a01d82318275ff0c.jpg)
라미네이트 전 후 (앞니 4개)
2023년 기준 시청역 연세예감치과
라미네이트 가격:
치아 개당 50만원
2개이상 진행시 개당 48만원
4개이상 진행시 개당 45만원
라미네이트와 치아미백은 미용목적으로 법적인 부가세 10프로를 받도록 되어있습니다.
(본 가격은 2개이상 부터 구강 내(치아주변) 사진공개조건 가격입니다
사진공개를 원하지 않으시면, 개당 50만원에 진행가능합니다)
또한 라미네이트 전 치과의사의 진단,상담이 필요합니다.
라미네이트 원하는 치아에 충치가 있는 경우
충치제거나 충치치료 후 라미네이트를 해야 할 수 있습니다.
라미네이트 이벤트 문의는
카톡예약과 문의 카카오톡채널 - 연세예감치과(클릭)
또는 카카오톡 ID: yonseiyegam 친구추가 후 문의부탁드립니다.
네이버예약 네이버 예약 (클릭)
![[서울역/을지로/치과] 본인이 옥니라고 생각한다면? 무삭제 라미네이트 어떤가요? 케이스 및 가격비용 관련 이미지 9](https://pub-9f2bb3498faf4d1d8714b41df24753e3.r2.dev/content/clinics/archive/rseeanjxfu/naver_blog/yonseiyegam/assets/by_hash/e6a65df3636299adb3b848758ba1eb144509a95545d63b0836a7c9e51b71d78a.png)
![[서울역/을지로/치과] 본인이 옥니라고 생각한다면? 무삭제 라미네이트 어떤가요? 케이스 및 가격비용 관련 이미지 10](https://pub-9f2bb3498faf4d1d8714b41df24753e3.r2.dev/content/clinics/archive/rseeanjxfu/naver_blog/yonseiyegam/assets/by_hash/4f9b3b6f0456c7581c78c653b8c6a2592cb61d3bb6f5cdde303cdebb8bb49169.png)
![[서울역/을지로/치과] 본인이 옥니라고 생각한다면? 무삭제 라미네이트 어떤가요? 케이스 및 가격비용 관련 이미지 11](https://pub-9f2bb3498faf4d1d8714b41df24753e3.r2.dev/content/clinics/archive/rseeanjxfu/naver_blog/yonseiyegam/assets/by_hash/e879659de166645399432119b662687bc231edb1cabed7717334a9f50dd718e2.png)
![[서울역/을지로/치과] 본인이 옥니라고 생각한다면? 무삭제 라미네이트 어떤가요? 케이스 및 가격비용 관련 이미지 12](https://pub-9f2bb3498faf4d1d8714b41df24753e3.r2.dev/content/clinics/archive/rseeanjxfu/naver_blog/yonseiyegam/assets/by_hash/e6d36ea6f5411c4a1ba5f6e4215876daffd1d9e4066d9fe23c9a5ee04e698a7b.png)
![[서울역/을지로/치과] 본인이 옥니라고 생각한다면? 무삭제 라미네이트 어떤가요? 케이스 및 가격비용 관련 이미지 13](https://pub-9f2bb3498faf4d1d8714b41df24753e3.r2.dev/content/clinics/archive/rseeanjxfu/naver_blog/yonseiyegam/assets/by_hash/a149f8c823261633d393116aedda3002075a9685143bf9900b3f0ad0f5105a40.png)
![[서울역/을지로/치과] 본인이 옥니라고 생각한다면? 무삭제 라미네이트 어떤가요? 케이스 및 가격비용 관련 이미지 14](https://pub-9f2bb3498faf4d1d8714b41df24753e3.r2.dev/content/clinics/archive/rseeanjxfu/naver_blog/yonseiyegam/assets/by_hash/ae2e01b05a6e89808fc49a751fc21b81e1fc88594311994be90917aa7c697844.png)
![[서울역/을지로/치과] 본인이 옥니라고 생각한다면? 무삭제 라미네이트 어떤가요? 케이스 및 가격비용 관련 이미지 15](https://pub-9f2bb3498faf4d1d8714b41df24753e3.r2.dev/content/clinics/archive/rseeanjxfu/naver_blog/yonseiyegam/assets/by_hash/2d6a3d642e5df8520a7e2a80cf3e87de181fdacdff0f98a47b605c833a44cec3.png)
![[서울역/을지로/치과] 본인이 옥니라고 생각한다면? 무삭제 라미네이트 어떤가요? 케이스 및 가격비용 관련 이미지 16](https://pub-9f2bb3498faf4d1d8714b41df24753e3.r2.dev/content/clinics/archive/rseeanjxfu/naver_blog/yonseiyegam/assets/by_hash/938024df345140748d7727b369ec85be8485219745e1a11f80efa6fb9000ba64.png)
더 보기
이 병원의 공개 콘텐츠를 계속 살펴보세요
출처 아카이브로 돌아가 더 많은 글을 보거나, 병원 프로필로 이동해 다른 공개 채널도 함께 비교해보세요.