연세예감치과(시청역)
[광화문/연세예감치과] 앞니 치아가 파절되었다면? 앞니 부러짐.레진/크라운/임플란트
안녕하세요 서울의 중심 시청역 7번 출구 삼성본관빌딩 바로 맞은편 연세예감치과입니다. 요즘 너무 춥죠? 갑자기 추워지면서 오늘은 눈도 내리고 길도 미끄러워서 넘어져서 이가 깨져오시는 분들이 요즘 엄청 많습니다. 아래 사진 모두 저희 치과에 앞니가 깨져서 오셔서 치료받은 분들 중 일부 분들 사진입니다. [사진공개에 동의...
아카이브 요약
이 페이지의 역할
연세예감치과(시청역) Yonsei Yegam Dental Clinic ヨンセイェガム歯科의 네이버 블로그 원문을 보존한 아카이브 페이지입니다. 치아성형 카테고리의 [광화문/연세예감치과] 앞니 치아가 파절되었다면? 앞니 부러짐.레진/크라운/임플란트 글을 통해 병원의 한국어 정보 제공 방식과 진료 관련 안내 톤을 확인할 수 있습니다.
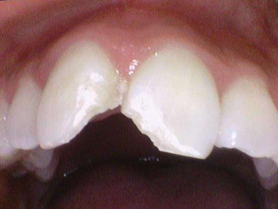
안녕하세요 서울의 중심
시청역 7번 출구 삼성본관빌딩 바로 맞은편
연세예감치과입니다.
![[광화문/연세예감치과] 앞니 치아가 파절되었다면? 앞니 부러짐.레진/크라운/임플란트 관련 이미지 1](https://pub-9f2bb3498faf4d1d8714b41df24753e3.r2.dev/content/clinics/archive/rseeanjxfu/naver_blog/yonseiyegam/assets/by_hash/1ab2fd946a3bdc312404757f9486d7fa21b7a5b60eec7f9712ceb22bc57112fd.jpg)
요즘 너무 춥죠?
갑자기 추워지면서 오늘은 눈도 내리고
길도 미끄러워서
넘어져서 이가 깨져오시는 분들이 요즘 엄청 많습니다.
아래 사진 모두 저희 치과에 앞니가 깨져서 오셔서 치료받은 분들 중 일부 분들 사진입니다.
[사진공개에 동의한 분들의 사진만 포스팅합니다]
![[광화문/연세예감치과] 앞니 치아가 파절되었다면? 앞니 부러짐.레진/크라운/임플란트 관련 이미지 2](https://pub-9f2bb3498faf4d1d8714b41df24753e3.r2.dev/content/clinics/archive/rseeanjxfu/naver_blog/yonseiyegam/assets/by_hash/2c13245499fe830d76884ff2c8718d1a7a040b1fb4c2590364f7f8e6b40d9aba.jpg)
![[광화문/연세예감치과] 앞니 치아가 파절되었다면? 앞니 부러짐.레진/크라운/임플란트 관련 이미지 3](https://pub-9f2bb3498faf4d1d8714b41df24753e3.r2.dev/content/clinics/archive/rseeanjxfu/naver_blog/yonseiyegam/assets/by_hash/10dcbea20996e909b944caf40e63e8c481d01768607848010dd89d2deae3ae7b.jpg)
![[광화문/연세예감치과] 앞니 치아가 파절되었다면? 앞니 부러짐.레진/크라운/임플란트 관련 이미지 4](https://pub-9f2bb3498faf4d1d8714b41df24753e3.r2.dev/content/clinics/archive/rseeanjxfu/naver_blog/yonseiyegam/assets/by_hash/99655ed421897c8a434e2db49ccf69b5bb59b58edbb8ddaf6e4ca341648f73f1.jpg)
![[광화문/연세예감치과] 앞니 치아가 파절되었다면? 앞니 부러짐.레진/크라운/임플란트 관련 이미지 5](https://pub-9f2bb3498faf4d1d8714b41df24753e3.r2.dev/content/clinics/archive/rseeanjxfu/naver_blog/yonseiyegam/assets/by_hash/58304014ff7624b7e4e594cd0603776d1f75238160266d5392cc9b93d76baa69.jpg)
![[광화문/연세예감치과] 앞니 치아가 파절되었다면? 앞니 부러짐.레진/크라운/임플란트 관련 이미지 6](https://pub-9f2bb3498faf4d1d8714b41df24753e3.r2.dev/content/clinics/archive/rseeanjxfu/naver_blog/yonseiyegam/assets/by_hash/033ea39a4d46819e78886398c25edb7e7686055bf710a510e8f7173f6adf0b00.jpg)
![[광화문/연세예감치과] 앞니 치아가 파절되었다면? 앞니 부러짐.레진/크라운/임플란트 관련 이미지 7](https://pub-9f2bb3498faf4d1d8714b41df24753e3.r2.dev/content/clinics/archive/rseeanjxfu/naver_blog/yonseiyegam/assets/by_hash/0da8c680dd4fde8b75212e8cc894eb7edf989fd27aa67b39fcb1818bb92b4bc1.jpg)
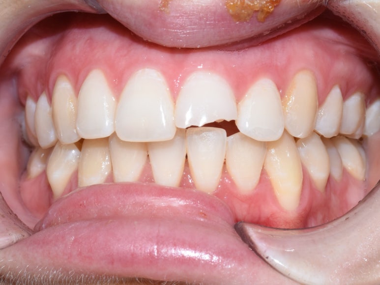
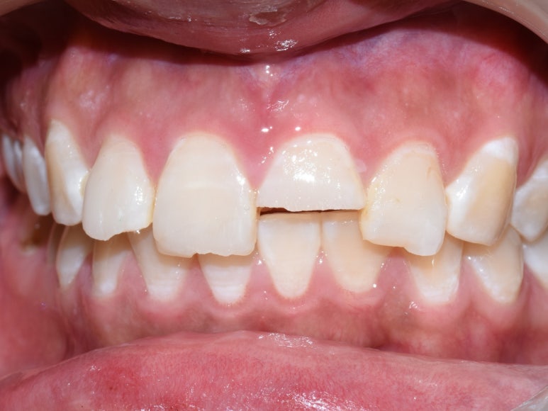
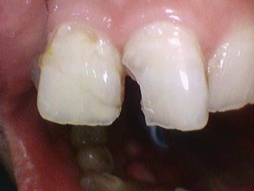
넘어지거나 여러 이유로 이가 깨져 오신 분들.
이렇게 이가 깨진 경우에
치과의사 원장님의 여러 검사와 진단이 필요하며
그에 따라 레진이나 크라운 또는 필요시 신경치료도 들어가게 됩니다.
아래는 앞니가 깨진 외상치아 환자분들의 치료 전후 사진입니다.
[공개에 동의한 환자분 사진들입니다]
![[광화문/연세예감치과] 앞니 치아가 파절되었다면? 앞니 부러짐.레진/크라운/임플란트 관련 이미지 8](https://pub-9f2bb3498faf4d1d8714b41df24753e3.r2.dev/content/clinics/archive/rseeanjxfu/naver_blog/yonseiyegam/assets/by_hash/c0988c6499b0a5353fff6cd455aa65ddb26dcbe64c646442ec56a6dc3828649e.jpg)
![[광화문/연세예감치과] 앞니 치아가 파절되었다면? 앞니 부러짐.레진/크라운/임플란트 관련 이미지 9](https://pub-9f2bb3498faf4d1d8714b41df24753e3.r2.dev/content/clinics/archive/rseeanjxfu/naver_blog/yonseiyegam/assets/by_hash/6ad30259dd902c244ca4915819ba6ea1d85c0552bfc21c96f8bbf44b73dfeea3.jpg)
![[광화문/연세예감치과] 앞니 치아가 파절되었다면? 앞니 부러짐.레진/크라운/임플란트 관련 이미지 10](https://pub-9f2bb3498faf4d1d8714b41df24753e3.r2.dev/content/clinics/archive/rseeanjxfu/naver_blog/yonseiyegam/assets/by_hash/f301c1c6b72b90409589601484eb2cb5adafd571fcd976507c15092fac7ee522.jpg)
![[광화문/연세예감치과] 앞니 치아가 파절되었다면? 앞니 부러짐.레진/크라운/임플란트 관련 이미지 11](https://pub-9f2bb3498faf4d1d8714b41df24753e3.r2.dev/content/clinics/archive/rseeanjxfu/naver_blog/yonseiyegam/assets/by_hash/8deda08c326225670efe50964d142a6e36491755193869edf667ac58d48ed110.jpg)
앞니 부러진 환자분들이
많이 하는 질문에 대한 답변입니다.
레진으로 떼우고 싶은데 꼭 크라운을 해야하나요?
보통 앞니가 부러지는 경우 씹히는 부위가 부러지다 보니
작은 부위는 레진으로 떼우기도 합니다.
또한 부위가 작은 경우 다듬기만 했을 때 주변과 조화롭게 될 부위는
떼우지 않고 살짝 다듬기만 하는 경우도 있습니다.
레진으로 떼웠을 때 괜찮을 수도 있지만
떼울 부위가 어느정도 크고 교합이 많이 되는 경우에는 크라운을 해야 오래 쓸 수 있습니다.
혹시 발치해야 하나요?
치아가 수직으로 파절되어 파절이 뿌리까지 퍼져있는 경우에는 발치해야하는 경우가 많습니다.
치과원장님과 상담하여 엑스레이 등 여러 자료와 임상진단을 바탕으로
발치가 필요한 경우는 발치와 임플란트를 해야 할 수도 있습니다.
![[광화문/연세예감치과] 앞니 치아가 파절되었다면? 앞니 부러짐.레진/크라운/임플란트 관련 이미지 12](https://pub-9f2bb3498faf4d1d8714b41df24753e3.r2.dev/content/clinics/archive/rseeanjxfu/naver_blog/yonseiyegam/assets/by_hash/e8b51ae03835977eca56969caac8b97367724780bbec8f5c746141a197ef31c4.jpg)
혹시 신경치료 해야하나요?
케이스에 따라 외상을 입은 치아는 신경치료를 해야하는 경우가 있습니다.
또한 바로 신경치료를 하지 않더라도 외상, 사고를 입은 치아이므로
추후에 증상이 나타나거나 뿌리 끝 염증이 생겨서 신경치료를 해야하는 경우도 있습니다.
지금까지 시청역 연세예감치과에서
강추위를 맞이하여 앞니 깨짐으로 오시는 환자분들이 많이 물어보시는
질문에 대해서 답변드렸습니다.
![[광화문/연세예감치과] 앞니 치아가 파절되었다면? 앞니 부러짐.레진/크라운/임플란트 관련 이미지 13](https://pub-9f2bb3498faf4d1d8714b41df24753e3.r2.dev/content/clinics/archive/rseeanjxfu/naver_blog/yonseiyegam/assets/by_hash/ddaab2a5fa3ddcd69e2ec1e588ba0677735ad4dee114a463795d0d2691071237.png)
아름답고 건강한 치아를 위해
해외에서도 찾아오는 서울 시청역 연세예감치과
![[광화문/연세예감치과] 앞니 치아가 파절되었다면? 앞니 부러짐.레진/크라운/임플란트 관련 이미지 14](https://pub-9f2bb3498faf4d1d8714b41df24753e3.r2.dev/content/clinics/archive/rseeanjxfu/naver_blog/yonseiyegam/assets/by_hash/4f9b3b6f0456c7581c78c653b8c6a2592cb61d3bb6f5cdde303cdebb8bb49169.png)
![[광화문/연세예감치과] 앞니 치아가 파절되었다면? 앞니 부러짐.레진/크라운/임플란트 관련 이미지 15](https://pub-9f2bb3498faf4d1d8714b41df24753e3.r2.dev/content/clinics/archive/rseeanjxfu/naver_blog/yonseiyegam/assets/by_hash/ae2e01b05a6e89808fc49a751fc21b81e1fc88594311994be90917aa7c697844.png)
![[광화문/연세예감치과] 앞니 치아가 파절되었다면? 앞니 부러짐.레진/크라운/임플란트 관련 이미지 16](https://pub-9f2bb3498faf4d1d8714b41df24753e3.r2.dev/content/clinics/archive/rseeanjxfu/naver_blog/yonseiyegam/assets/by_hash/2d6a3d642e5df8520a7e2a80cf3e87de181fdacdff0f98a47b605c833a44cec3.png)
![[광화문/연세예감치과] 앞니 치아가 파절되었다면? 앞니 부러짐.레진/크라운/임플란트 관련 이미지 17](https://pub-9f2bb3498faf4d1d8714b41df24753e3.r2.dev/content/clinics/archive/rseeanjxfu/naver_blog/yonseiyegam/assets/by_hash/938024df345140748d7727b369ec85be8485219745e1a11f80efa6fb9000ba64.png)
![[광화문/연세예감치과] 앞니 치아가 파절되었다면? 앞니 부러짐.레진/크라운/임플란트 관련 이미지 18](https://pub-9f2bb3498faf4d1d8714b41df24753e3.r2.dev/content/clinics/archive/rseeanjxfu/naver_blog/yonseiyegam/assets/by_hash/e879659de166645399432119b662687bc231edb1cabed7717334a9f50dd718e2.png)
![[광화문/연세예감치과] 앞니 치아가 파절되었다면? 앞니 부러짐.레진/크라운/임플란트 관련 이미지 19](https://pub-9f2bb3498faf4d1d8714b41df24753e3.r2.dev/content/clinics/archive/rseeanjxfu/naver_blog/yonseiyegam/assets/by_hash/e6d36ea6f5411c4a1ba5f6e4215876daffd1d9e4066d9fe23c9a5ee04e698a7b.png)
![[광화문/연세예감치과] 앞니 치아가 파절되었다면? 앞니 부러짐.레진/크라운/임플란트 관련 이미지 20](https://pub-9f2bb3498faf4d1d8714b41df24753e3.r2.dev/content/clinics/archive/rseeanjxfu/naver_blog/yonseiyegam/assets/by_hash/a149f8c823261633d393116aedda3002075a9685143bf9900b3f0ad0f5105a40.png)
더 보기
이 병원의 공개 콘텐츠를 계속 살펴보세요
출처 아카이브로 돌아가 더 많은 글을 보거나, 병원 프로필로 이동해 다른 공개 채널도 함께 비교해보세요.